發現
落磯山斑點熱首先於1896年在美國愛達荷州的斯內克河發現,並因其皮疹的特徵而被稱為“黑麻疹”。這種可怖及致命的病症影響著這個地區數以百計的人。在1900年代早期,病症的漫延北至華盛頓州及蒙大拿州,及南至加利福尼亞州、亞利桑那州及新墨西哥州。
哈佛·泰勒·立克次就是第一個發現引發落磯山斑點熱生物的人。他記述了這個病症的流行病徵,包括壁虱在傳播時的角色。他們的研究發現落磯山斑點熱是由立氏立克次體所引致。這種生物在自然界中的生存是一個涉及壁虱及哺乳動物的複雜循環,而人類是在意外的情況下成為它們的宿主,並非它們自然傳播內的一份子。很不幸地,但亦很諷刺地,立克次博士在完成有關落磯山斑點熱的研究後不久,於1910年在墨西哥因斑疹傷寒(另一種立克次體疾病)而去世。
範圍
落磯山斑點熱這個名字帶點誤導,因為這個病於1930年代開始時,已不限於落磯山地區,並傳播至美國的其他地區。現時這個病已經漫延至美洲的其他地區,包括加拿大南部、中美洲、墨西哥,及部份南美洲。在1981年及1996年之間,除了夏威夷州、佛蒙特州、緬因州及阿拉斯加州外,以達至整個美國。
死亡
落磯山斑點熱今天仍然是嚴重及危害生命的疾病。縱然現今的治療技術的提升,仍然有3-5%的患病者死亡。但是,有效的抗體療法卻大幅減少死亡的人數:在1940年代末,未發現四環素及氯黴素前,死於此病的人數可達至患病者的30%。
病菌傳播
傳播者--蜱落磯山斑點熱與所有立克次體疾病一樣,同被分類為動物病。動物病是指一種在動物的疾病傳染至人類。大部份動物病都必須有一個帶菌者(例如蚊、虱或蟎)將疾病由動物宿主傳至人類宿主身上。而落磯山斑點熱中,虱就是自然的宿主,同時也是立氏立克次體帶菌者。虱在主要是在咬脊椎動物時將細菌傳播。另外,接觸虱的組織、體液或糞便,亦有可能受到感染。
只有硬蜱科的虱會自然地感染立氏立克次體。硬蜱科的生命周期有著四個階段,分別是卵、幼蟲、若蟲及成蟲,每一個階段必須餵哺一次以發展到另一個階段。
雌性的虱會透過一個過程將立氏立克次體傳至所產的卵。當在幼蟲或若蟲時咬到立氏立克次體宿主的血液亦會受到感染。當虱發展至另一階段時,立氏立克次體亦會透過餵哺傳染。另外,雄性的虱在交配時亦會透過體液或精子傳染雌性。這些不同種類的傳染方式,顯示不斷維持受感染的虱。一旦感染後,虱整生會是帶菌者。
虱在餵哺時的唾液會把立氏立克次體傳予脊椎動物,但需要幾個小時。因而面臨虱傳播立氏立克次體的風險是很低。一般來說,約為1%-3%的虱會帶有病菌,包括是有人類感染的地區。
在美國,有兩種立氏立克次體的帶菌者,它們是矩頭蜱屬的美洲大革蜱及落磯山革蜱。美洲大革蜱廣泛分布於洛磯山脈東面及太平洋海岸的一些地區。它們會依附在犬只或中等身型的哺乳動物,亦是現時發現一般傳播立氏立克次體至人類的品種。落磯山革蜱分布於洛磯山脈的州郡及加拿大西南部。它們約須2-3年的時間成蟲,成蟲一主要是依附在大型的哺乳動物,而幼蟲或若蟲則是依附在較細小的齧齒目。
其他種類的虱亦有發現感染立氏立克次體或是在實驗中成為帶菌者。但是,這些品種卻在病菌的生態上占有很渺小的地位。
流行病學
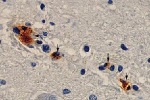
一落基山斑點熱致死病例的腦血管免疫組化分析結果。褐色區域為斑點熱群立克次體在美國,落磯山斑點熱首先於1918年發生,在過往的50年,每年約有250-1200宗個案。有超過90%的病人是在四月至八月之間感染,這個期間正是矩頭蜱屬成蟲及若蟲的增長季節。個案的60%為因被虱咬或曾經過虱的聚居地而感染。
超過一半的美國個案是在南大西洋地區發生,包括有德拉瓦州、馬里蘭州、華盛頓哥倫比亞特區、維吉尼亞州、西維吉尼亞州、北卡羅萊那州、南卡羅萊那州、喬治亞州及佛羅里達州。感染個案亦在美國其他地區發生,如太平洋區的華盛頓州、俄勒岡州及加利福尼亞州及中南區西部的阿肯色州、路易斯安那州、俄克拉荷馬州及德克薩斯州。
當中最多個案的分別是北卡羅萊那州及奧克拉荷馬州,兩個州份由1993年至1996年的總個案數目為全美的35%。雖然最初發現此症的是洛磯山脈的州份,但同期的總數卻少於3%。
而個案發生率占多數的是男性、白種人及孩童。15歲以下孩童的感染個案占孩童感染個案的三分之二,當中最高的年齡界別為5-9歲。而經常與犬只接觸,或是居住在近林木或草原地區的人會有較高的感染風險。
感染立氏立克次體的個案亦有在阿根廷、巴西、哥倫比亞、哥斯大黎加、墨西哥及巴拿馬發生。與立氏立克次體有近親關係的細菌亦在世界其他地區引發其他的病症。
病徵
因落磯山斑點熱而引發在手臂的瘀點縱然由非常熟悉落磯山斑點熱的醫生作出診斷,但病症在早期仍然是很難去診斷的。一般的病患者會在病發第一周就診,接著會有一段1-14天的潛伏期。早期的臨床病徵並不特別,甚至與其他病症相似,這些病徵包括:發熱、反胃、嘔吐、頭痛、肌痛及厭食。其後會有的病徵包括斑丘疹、瘀點、腹痛、關節痛及腹瀉。
落磯山斑點熱的典型病徵包括有發熱、皮疹及曾被虱咬。但是早期的病人多不會有以上所有的病徵。
皮疹會在發熱後的2-5日出現,在開始時非常不明顯。年幼的病人一般會較年長的病人早出現皮疹。開始時是在手腕、前臂及腳跟的細小、扁平、呈粉紅色及不癢的斑點。這些斑點會轉為淡色及最後在皮膚上凸起。呈紅色的瘀點一般在其他病徵出現前六日都是不能看見的,而約35%-60%的病人都會長這些瘀點。50%-80%的病人會在手掌及腳底長斑點,但是這些斑點在病症的後期未必會出現。而10%-15%的病卻不會長出斑點。
患有落磯山斑點熱的病人會有一些不正常的情況,包括血小板減少症、低鈉血或攀升的肝臟酶水平。
落磯山斑點熱是一種嚴重的病症,而病人都需要入院。因為立氏立克次體感染身體的血管壁細胞,嚴重的會影響呼吸系統、中央神經系統、消化系統或腎臟。大年紀及男性均是患有嚴重或致命落磯山斑點熱的因素。
因落磯山斑點熱而有的長期健康問題包括下肢局部麻痹、壞疽導致切除手指、腳趾、手臂或腳、聽力衰退、失去控制膀胱能力、運動及語言障礙。這些問題在曾患有嚴重及危及生命病症,長期住院的病人會較易出現。
治療
若在臨床及流行病學的發現中懷疑病人患有落磯山斑點熱,在初期便須使用合適的抗生素療法。治療不應因等候化驗結果而延誤。
若病人在發病的首4-5日接受治療,在使用適合的抗生素(一般是四環素)24-72小時後發熱會退下來。事實上,若對四環素沒有反應,有主張認為病人所患的並非落磯山斑點熱。嚴重病患者,尤其是多種器官受到破壞,則需要較長期的治療,直到退熱。對未發病者的預防性治療有可能會延誤病發,所以並不建議。
四環黴素是一種適合落磯山斑點熱的藥物,成人的劑量是每12小時100mg,而輕於45kg的孩童則每日每公斤4mg,分兩劑服用。在退熱後治療需要連續3日,直至有確定的臨床改善證據,整個療程一般最少是5-10日。嚴重或複雜的病症需要較長的療程。四環黴素亦是用於治療犬艾利希體症的藥物,這是另一種由虱所傳染的病症,與落磯山斑點熱有相似的病徵。
氯黴素是另一種藥物可以治療落磯山斑點熱。但是,這種藥物有著不同的副作用,且需要小心監察血液水平(因它會引發再生不良性貧血)。
防止及控制
最有效減少落磯山斑點熱感染的方法是限制曝露於虱當中。若曝露於虱群的環境中,須立即小心檢查及移除身體上的虱,以防止疾病。由虱傳染病菌至宿主需要幾個小時。現時,並未有任何落磯山斑點熱的疫苗。
外部連結
[1] 火罐 http://www.huoguan.com/disease/d8/38548/index.html
[2] 美國疾病控制與預防中心 http://www.cdc.gov/ncidod/dvrd/rmsf/Index.htm

