病因
病因:腎動脈狹窄2、大血管病變,如大血管畸形(先天性主動脈縮窄)、多發性大動脈炎等;
3、妊娠高血壓綜合徵,多發生於妊娠晚期,嚴重時要終止妊娠;
4、內分泌性病變,如嗜鉻細胞瘤、原發性醛固酮增多症等;
5、腦部疾患,如腦瘤、腦部創傷等;
6、藥源性因素,如長期口服避孕藥、器官移植長期套用激素等。與原發性高血壓的治療不同,繼發性高血壓首先是治療原發疾病,才能有效地控制血壓的升高,單用降壓藥治療效果不佳。有些原發性高血壓與繼發性高血壓的鑑別診斷對於高血壓的治療是非常重要的。
發病因素
1、年齡發病率有隨年齡增長而增高的趨勢,40歲以上者發病率高;2、食鹽攝入食鹽多者,高血壓發病率高,食鹽2g/日,幾乎不發生高血壓;
3、體重肥胖者發病率高;
4、遺傳大約半數高血壓患者有家族史,可能與遺傳性腎排鈉缺陷有關;
5、環境與職業有噪音的工作環境,過度緊張的腦力勞動均易發生高血壓。
臨床表現
1、腎實質病變 急性腎小球腎炎,多見於青少年,有急性起病鏈球菌感染史,有發熱、血尿、浮腫史,鑑別並不
腎實質病變2、腎動脈狹窄 可為單側或雙側性。病變性質可為先天性、炎症二指性或動脈粥樣硬化性,後者見於老年人,前兩者主要見於青少年。反進展迅速的高血壓或高血壓突然加重,呈惡性高血壓表現,藥物治療無效,均應懷疑本症。本症多有舒張壓力中、重度升高,體檢時可在上腹部或背部肋脊處聞及血管雜音。大劑量斷層靜脈腎盂造影、放射性核素腎圖有助於診斷,腎動脈造影可明確診斷。
3、嗜鉻細胞瘤 腎上腺髓質或交感神經節等嗜鉻細胞腫瘤可間歇或持續分泌過多的腎上腺素和去甲腎上腺素,出現陣發性或持續性血壓升高。反血壓波動明顯,陣發性血壓增高伴心動過速、頭痛、出汗、蒼白症狀,對一般降壓藥物無效,或高血壓伴血糖升高、代謝亢進等表現者均應懷疑及嗜鉻細胞瘤。
4、原發性醛固酮增多症 系腎上腺皮質增生或腫瘤分泌過多醛固酮所致。臨床上以長期高血壓伴頑固的低血鉀為特徵,可有肌無力、周期性麻痹、煩渴、多尿等。血壓多為輕、中度增高。實驗室檢查有低血鉀、高血鈉、代謝性鹼中毒、血漿腎素活性降低、尿醛固酮排泄增多等。螺內酯(安體疏通)試驗陽性具有診斷價值。超聲、放射性核素、此可作定位診斷。
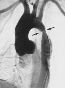
庫欣綜合徵 6、主動脈縮窄 多數為先天性血管畸形,少數為多發性大動脈炎所引起。特點為上肢血壓增高而下肢血壓布告或降低,呈甚至血壓高於下肢的反常現象。在肩胛間區、胸骨旁、腋部可有側支循環動脈的搏動和雜音或腹部聽診有血管雜音。胸部X線攝影可顯示肋骨受側支動脈侵蝕引起的切跡。
輔助檢查
主動脈造影2、顱內蝶鞍X線檢查、腎上腺CT掃描及放射性碘化膽固醇腎上腺掃描可用於病變定位。
3、主動脈造影可確定診斷主動脈縮窄。
4、大劑量斷層靜脈腎盂造影、放射性核素腎圖有助於診斷,腎動脈造影可明確診斷腎動脈狹窄。
5、在血壓增高期測定血或尿中兒茶酚胺及其代謝產物香草基杏仁酸(VMA),如有顯著增高,提示嗜鉻細胞瘤。
6、超聲、放射性核素及電子計算機X線體層顯像(CT)、磁共振顯示腫瘤的部位。
診斷
在診斷原發性高血壓臨床醫師凡遇到以下情況,要進行認真詳盡的篩選檢查:
1、無高血壓家族史,有腎臟疾病,糖尿病家族史及其病史。2、30 歲前出現中、重型高血壓,中老年後(有時50 歲左右) 病情進展迅速,而無原發性高血壓病史者。
3、在病史、體徵和初步的實驗室檢查結果有SH 的線索,例如有怕熱、多汗、陣發性血壓增高、頭痛、甚至噁心、嘔吐、心悸、心率加快,面色蒼白及手腳發冷,肢體脈搏搏動不對稱、減弱或缺如,在頸部、耳後、眼部、胸部、上腹部、腰背部及髂窩可聞及粗糙的血管雜音:有明顯多尿、夜尿多、血尿、蛋白尿、低血鉀。
4、降壓藥物治療效果差或無效,或在血壓控制良好的病人短期內血壓又升高。
5、服用含雌激素的避孕藥的年輕女性與絕經期後服用雌激素等。
為防止延誤治療,甚至誤診誤治,我們認為應注意以下幾點:
1、醫師在接診高血壓病人時,從思維方法上就不能忽視SH 存在的可能,提高對SH 的警惕,在採取病史、體檢及實驗室檢查等方面,做到針對性強,目的明確,抓住線索,直到肯定或否定SH 為止。
2、熟記SH 的病因,掌握其病理過程及每一種SH 的臨床特點,從而從眾多高血壓病人中篩選出來,以期得到確診。
3、認真收集與SH 有關的病史,有針對性地在高血壓人群中,發現SH 病人的體徵,有價值的實驗室檢查。
4、初步確立某種SH 的可疑對象時,應進行相關的全面細緻的認真檢查,正確選擇特殊檢查方法。
治療
繼發性高血壓有明確的病因,治療方法與原發性者完全不同。
手術治療2、ACE抑制劑對腎臟有保護作用,除降低血壓外,還可減少蛋白尿,延緩腎功能惡化。腎動脈狹窄治療包括手術、經皮腎動脈成形術(PTRA)和藥物治療。手術治療包括血流重建術、腎移植術、腎切除術。經皮腎動脈成形術手術簡便、療效好,為首選治療。不適宜上述治療者只能用藥物治療以降低血壓,ACE抑制劑有降壓效果,但可能使腎小球濾過率進一步降低,使腎功能惡化,尤其對雙側腎動脈狹窄不宜套用。鈣通道阻滯劑有降壓作用,並不明顯影響腎功能。
3、大多數原發性醛固酮增多症是由單一腎上腺皮質腺瘤所致,手術切除是最好的治療方法。癌症也許應作切除治療,如無轉移,療效也很好。對增生病例,可作腎上腺大部分切除術,但效果差,一般需用藥物治療。螺內酯是醛固酮節抗劑,可使血壓降低,血鉀升高,症狀減輕。
藥物禁忌
1、激素類藥物 如強的松、地塞米松等。這些藥物可導致循環血量增加,而發生高血壓;甲狀腺激素類藥物則能興奮神經系統,引起血壓升高;
2、止痛藥物 如消炎痛、保泰松等,可抑制前列腺素合成,使血管趨向收縮而致高血壓;
3、避孕藥 可使血管收縮,並刺激腎上腺皮質激素釋放而造成高血壓;
4、降壓藥如常用的甲基多巴、胍乙啶等,服用降壓藥物優降寧時,如果進食含有酪胺的食物,如乾酪、動物肝臟、朱古力等,血壓反而會大大升高;而突然停用某些降壓藥物,如心得安、甲基多巴等,也可引起同樣嚴重後果;
5、其他藥物還有腎上腺素、去甲腎上腺素、利他林及中藥甘草等。
預防
預防:合理飲食2、少吃肥肉及動物內臟,因肥肉和動物內臟多含飽和脂肪酸和膽固醇,多食會加重高血壓。
3、科學的生活規律:起居有常,有勞有逸,飲食有節,低鹽少脂,戒菸限酒。
4、保持良好心境:學會自我心理調適,自我心理平衡,自我創造良好心境。
5、忌排大便用力,避開易使人大悲大喜的激動場面。
