結構功能
哺乳類特有的周圍淋巴器官,由淋巴細胞集合而成。呈豆形,位於淋巴管行進途中,是產生免疫應答的重要器官之一。淋巴結的一側隆凸,連線數條輸入淋巴管,另一側凹陷,稱為“門”,有輸出淋巴管和神經、血管出進。淋巴結表面包有被膜,被膜的結締組織伸入淋巴結內形成小梁,構成淋巴結的支架。被膜下為皮質區。淋巴結的中心及門部為髓質區。皮質區有淋巴小結、彌散淋巴組織和皮質淋巴竇(簡稱皮竇)。髓質包括由緻密淋巴組織構成的髓索和髓質淋巴竇(簡稱髓竇)。淋巴竇的竇腔內有許多淋巴細胞和巨噬細胞。從輸入淋巴管流來的淋巴液先進入皮竇再流向髓竇,最後經輸出淋巴管離開淋巴結。淋巴結的主要功能是濾過淋巴液,產生淋巴細胞和漿細胞,參與機體的免疫反應。淋巴結腫大或疼痛常表示其屬區範圍內的器官有炎症或其他病變。因此按淋巴結分布規律檢查淋巴結的情況,對診斷和了解某些感染性疾病的發展具有重要意義。淋巴結對病毒的過濾效果不佳。
主要功能是濾過淋巴液,產生淋巴細胞和漿細胞,參與機體的免疫反應。當局部感染時,細菌、病毒或癌細胞等可沿淋巴管侵入,引起局部淋巴結腫大。如該淋巴結不能阻止和消滅它們,則病變可沿淋巴管的流注方向擴散和轉移。
⑴過濾淋巴液:病原體侵入皮下或黏膜後,很容易進入毛細淋巴管回流入淋巴結。當淋巴緩慢地流經淋巴竇時,巨噬細胞可清除其中的異物,如對細菌的清除率可達99%,但對病毒及癌細胞的清除率常很低。清除率常與抗原的性質、毒力、數量以及機體的免疫狀態等密切相關。
⑵進行免疫應答:抗原進入淋巴結後,巨噬細胞和交錯突細胞可捕獲與處理抗原,使相應特異性受體的淋巴細胞發生轉化。識別抗原與細胞間協作的部位在淺層皮質與深層皮質交界處。引起體液免疫應答時,淋巴小結增多增大,髓索內漿細胞增多。引起細胞免疫應答時,副皮質區明顯擴大,效應T細胞輸出增多。淋巴結內的T細胞約占淋巴細胞總數的75%,B細胞占25%,大顆粒淋巴細胞極少或無,淋巴結內細胞免疫應答和體液免疫應答常同時發生,以那一種為主視抗原性質而定。淋巴結實質內有許多神經末梢,但淋巴小結內尚未發現。淋巴細胞表面有多種神經遞質受體,說明神經系統對淋巴結內的免疫應答有一定的調作用。
主要分布
頭頸部淺表淋巴結 掌握淋巴結腫大的性質,對於疾病的診斷也有重要意義。如系急慢性炎症,淋巴結質地柔軟,能活動,與周圍組織和皮膚無粘連,有游離感,急性期有紅、腫、熱、痛的典型症狀。淋巴結結核,早期與皮膚和周圍組織無粘連,病情加重可繼續腫大。但不超過核桃大小,以後可粘連融合成片,發生變化,破潰,流出黃棕色膿液或豆腐渣樣物質。癌腫所致淋巴結腫大多呈石頭樣堅硬,表現凸凹不平,與皮膚可粘連在一起,無疼痛或壓痛。淋巴性白血病,腫大的淋巴結能活動、不粘性、不硬、光滑、不痛,也不化膿破潰。鼻咽癌病人往往在頸部也可以摸到腫大的淋巴結。腋窩部淋巴結腫大,常揭示上肢或乳房有疾患。腹股溝淋巴結腫大是下肢、臀部有感染性疾病的信號。除此以外,還提醒人們不可忽視子宮癌、睪丸癌、直腸癌導致的病理反應。左鎖骨上淋巴結腫大,多表示腹腔內有癌細胞沿胸導管上轉移。如肝癌、胃癌、結腸癌等。右鎖骨上淋巴結腫大,表示胸腔內有癌細胞沿右側淋巴管向上轉移。如肺癌、食道癌等。患淋巴性白血病時,全身各處淋巴結均表現腫大。
腋部淺表淋巴結 淋巴結是人體最為重要的一種免疫性器官,是接受抗原刺激產生免疫應答反應的場所,有過濾、增殖和免疫作用。正常人體淺表淋巴結很小,直徑多在0.5cm以內,表面光滑、柔軟,與周圍組織無黏連,亦無壓痛。淋巴結腫大是指頜下、腋下、腹股溝等處淋巴結在發生炎症時,因細菌及其毒素刺激而腫大而可以用手觸明顯觸及,常伴有疼痛的症狀。其發病原因較多,當身體某一部位發生感染,細菌隨淋巴液經過淋巴結時,可相應地引起淋巴結群的腫大和疼痛。在身體患惡性腫瘤時,也常沿淋巴管轉移,並停留在淋巴結內分裂增生,致使淋巴結腫大起來。
人們根據淋巴結腫大——“烽火台”報警,一般就可弄清淋巴結腫大的原發病灶。必要時還應當進行X線攝片、病理切片鏡檢、B超及CT等特殊檢查。這樣“順藤摸瓜”和綜合分析,躲在背後的病魔自然會原形畢露。
處於青春期的少年,淋巴結有時會顯得格外明顯。
主要特徵
淋巴結是淋巴管向心行程中不斷經過的淋巴器官,為大小不等的灰紅色的扁圓形或橢圓形小體,直徑約2~25mm,質軟色灰紅。其隆凸側有數條輸入淋巴管進入,而其凹陷側稱淋巴結門,有1~2條輸出淋巴管及血管和神經出入。全身淋巴結約800多個。
淋巴結常成群聚集,也有淺、深群之分。多沿血管分布,位於身體屈側活動較多的部位。在四肢,淋巴結多位於關節的屈側;在體腔內多沿血管幹排列或多位於器官門的附近。胸、腹、盆腔的淋巴結多位於內臟門和大血管的周圍。
人體某器官或某部位的淋巴引流至一定的淋巴結,該淋巴結稱為該器官或該部位的局部淋巴結。
治療方法
手術治療
1.化膿性淋巴結已伴有口底間隙膿腫或蜂窩織炎時,應作切開引流術,以排除膿液及壞死組織。
2.對抗結核藥物治療效果不佳的單個或活動增殖性淋巴結結核,可採用手術切除並作病理檢查。
3.對於普通淋巴結腫大發炎結核可以通過外敷淋巴中藥泥,透皮靶向治療無副作用。
主要分類
淋巴結腫大
淋巴結因內部細胞增生或腫瘤細胞浸潤而體積增大的現象。臨床常見的體徵。可通過觸摸頜下、頸部、鎖骨上窩、腋窩和腹股溝等部位而發現,但肺門、縱隔、腹膜後和腸系膜等體內腫大的淋巴結則要靠X射線、CT和B超等才能發現。
淋巴結腫大常見3種情況
①良性腫大。包括各種感染、結締組織病和變態反應等引起的腫大。臨床常呈良性經過,隨著病因去除,在一定時間內可以完全恢復。
②惡性腫大。包括原發於淋巴結的惡性腫瘤如淋巴瘤、淋巴細胞性白血病和惡性組織細胞病等及其他惡性腫瘤的淋巴結轉移如肺癌、胃癌和乳腺癌等。臨床呈惡性經過,淋巴結持續性進行性腫大,若不積極治療,常會進行性惡化死亡。
③介於良性與惡性間的腫大。如血管原始免疫細胞性淋巴結病和血管濾泡性淋巴結增生症等。開始常為良性,可變成惡性而致命。因此在確定淋巴結腫大後,關鍵是確定其原因和性質,局部腫大伴明顯疼痛者常提示感染;進行性無痛性腫大者常提示惡性腫瘤性疾病。骨髓穿刺特別是淋巴結活檢可幫
助確診。淋巴結腫大的治療以病因而定,如淋巴腺結核可套用鏈黴素和雷米封等,若為惡性淋巴瘤,應以聯合化療為主,若為癌症晚期轉移,則預後極差。
淋巴結腫大非常多見,可發生於任何年齡段人群,可見於多種疾病,有良性,也有惡性,故重視淋巴結腫大的原因,及時就診、確診,以免誤、漏診,是非常重要的。下面就談一談淋巴結腫大的常見原因。
慢性淋巴結炎
多數有明顯的感染灶,且常為局限性淋巴結腫大,有疼痛及壓痛,一般直徑不超過2~3cm,抗炎治療後會縮小。腹股溝淋巴結腫大,尤其是長期存在而無變化的扁平淋巴結,多無重要意義。但無明顯原因的頸部、鎖骨上淋巴結腫大,標誌著全身性淋巴組織增生性疾病,應予以重視,進一步檢查確定。
結核性淋巴結炎
有發熱、多汗、乏力、血沉增快,多見於青壯年。常伴發肺結核,淋巴結質地不均勻,有的部分較輕(乾酪樣變),有的部分較硬(纖維化或鈣化),且互相粘連,並和皮膚粘連,所以活動度差。這類患者結核菌素實驗和血中結核抗體陽性。
惡性淋巴瘤
也可見於任何年齡組,其淋巴結腫大常為無痛性、進行性腫大,可從黃豆大到棗大,中等硬度。一般與皮膚無粘連,在初、中期相互不融合,可活動。到了後期淋巴結可長到很大,也可融合成大塊,直徑達20cm以上,侵犯皮膚,破潰後經久不愈。此外,可侵犯縱隔、肝、脾及其它器官,包括肺、消化道、骨骼、皮膚、乳腺、神經系統等。確診需活組織病理檢查。臨床上惡性淋巴瘤常易誤診,以表淺淋巴結腫大為首發表現者,有70%~80%在初診時被確診為淋巴結炎或淋巴結結核,以致延誤治療。
巨大淋巴結增生
是一種易誤診的罕見病。常表現為原因不明的淋巴結腫大,主要侵犯胸腔,以縱隔最多,也可侵犯肺門及肺內。其它受侵部位有頸部、腹膜後、盆腔、腋窩以及軟組織。常易誤診為胸腺瘤、漿細胞瘤、惡性淋巴瘤等。了解本病的病理及臨床表現對早期診斷極為重要。
假性淋巴瘤
常發於淋巴結外的部位,如眼眶、胃的假性淋巴瘤及消化道的淋巴性息肉,均可形成腫塊。一般認為屬反應性的增生,由炎症引起。
淋巴結轉移瘤
淋巴結常較硬,質地不均勻,可找到原發灶。很少為全身性淋巴結腫大。急性白血病和慢性淋巴細胞性白血病也常有淋巴結腫大,特別是兒童常見的急性淋巴細胞性白血病,臨床上急,常伴有發熱、出血、肝和脾腫大、胸骨壓痛等,血液學和骨髓穿刺檢查可以確診鑑別。
結節病
在中國較少見,常侵犯雙側肺門,呈放射狀,伴有長期低熱。全身淋巴結都可腫大,尤其是耳前後、頜下、氣管旁。在臨床上很難與惡性淋巴瘤鑑別。
單核細胞增多症
多見與青壯年男性,為EB病毒所致,但病人常一般情況良好,可有發熱及全身性淋巴結腫大,也可有脾臟輕度腫大。外周血中有異形淋巴細胞,嗜異凝集實驗陽性可以確診。
血清病
為病人使用血清製品(破傷風抗毒素、狂犬疫苗等)後發生的一種疾病。少數患者以淋巴結腫大為最先出現的臨床症狀。但多為注射處及滑車上淋巴結首先腫大。根據注射史及發熱、皮疹、嗜酸性粒細胞增多等可診斷。
淋巴結腫大很常見,列舉的以上10種疾病原因,希望能給大家以啟示,及時就診、確診及鑑別,以便得到及時有效的治療。
淋巴組織
淋巴組織(lymphoid tissue),又稱免疫組織(immune tissue)是以網狀組織為基礎,網孔中充滿大量的淋巴細胞和一些巨噬細胞、漿細胞等。淋巴組織主要有兩種形態。
彌散淋巴組織
彌散淋巴組織(diffuse lymphoid tissue)無固定的形態,是以網狀細胞和網狀纖維形成支架,網孔中分布有大量鬆散的淋巴細胞,與周圍的結締組織無明顯分界,其中除含有T、B淋巴細胞外,還有漿細胞和巨噬細胞、肥大細胞等。彌散淋巴組織中有毛細血管後微靜脈(postcapillary venule),其特徵是內皮為單層立方或矮柱狀,故又稱高內皮微靜脈(high endothelial venule),是淋巴細胞由血液進入淋巴組織的重要通道。當彌散淋巴組織受抗原刺激時,可出現淋巴小結。
淋巴細胞
可分為中樞淋巴器官(又名初級淋巴器官)和周圍淋巴器官(又名次級淋巴器官)兩類。
淋巴組織中的淋巴細胞具有下列重要特性:
①特異性(specificity):淋巴細胞表面有抗原受體,用以識別抗原;不同淋巴細胞的抗原變體是不同的,每一受體只能與相應的抗原相結合,這就是特異性;抗原受體類型約有100萬種,全身的淋巴細胞總合起來就能識別各種抗原。
②轉化性:正常體內大多數淋巴細胞均處於靜止狀態;只有當某種淋巴細胞受到相應抗原刺激後才被激活.這個過程稱為轉化性(transformation),一般需經過40小時,淋巴細胞形態上發生了明顯變化,由一個直徑5~7μm的小淋巴細胞轉變為一個20~30μm的大淋巴細胞。細胞的代謝增強,形態明顯變化,核增大,染色質變細,核仁明顯,胞體核心糖體增多,胞質染色呈較強的嗜鹼性;淋巴細胞轉化後,進行分裂增生,其中大部分可形成參與免疫應答的效應細胞,如能破壞靶細胞的T效應細胞,或能分泌抗體的漿細胞(B效應細胞);這些細胞代謝活躍,能產生免疫效應,但壽命短(約數天或數周)。
③記憶(memory):淋巴細胞經抗原激活轉化後,分裂增殖形成的細胞中,有一部分再度轉化為靜息狀態的淋巴細胞,稱為記憶性(T或B)淋巴細胞,其壽命長,可達數年或終生存在,它們在遇到相應抗原刺激後,能迅速轉化為效應細胞,及時清除抗原,使機體免於發病。淋巴細胞這些特性,保持淋巴細胞正常形態和生理的動態活動。
病因及表現
淋巴結腫大按其分布可分為局限性和全身性淋巴結腫大。
(一)局限性淋巴結腫大
l. 非特異-陛淋巴結炎 由引流區域的急、慢性炎症所引起,如急性化膿性扁桃體炎、齒齦炎可引起頸部淋巴結腫大。急性炎症初始,腫大的淋巴結柔軟、有壓痛,表面光滑、無粘連,腫大至一定程度即停止。慢性炎症時,淋巴結較硬,最終淋巴結可縮小或消退。
2.淋巴結結核 腫大的淋巴結常發生於頸部血管周圍,多發性,質地稍硬,大小不等,可相互粘連,或與周圍組織粘連,如發生乾酪性壞死,則可觸及波動感。晚期破潰後形成瘺管,癒合後可形成瘢痕。
3.惡性腫瘤淋巴結轉移 惡性腫瘤轉移所致腫大的淋巴結,質地堅硬,或有橡皮樣感,表面可光滑或突起,與周圍組織粘連,不易推動,一般無壓痛。胸部腫瘤如肺癌可向右側鎖骨上窩或腋窩淋巴結群轉移;胃癌多向左側鎖骨上窩淋巴結群轉移,因此處系胸導管進頸靜脈的入口,這種腫大的淋巴結稱為Virchow淋巴結,常為胃癌、食管癌轉移的標誌。
(二)全身性淋巴結腫大
1.感染性疾病病毒感染見於傳染性單核細胞增多症、愛滋病等;細菌感染見於布氏桿菌病、血行彌散型肺結核、麻風等;螺鏇體感染見於梅毒、鼠咬熱、鉤端螺鏇體病等;原蟲與寄生蟲感染見於黑熱病、絲蟲病等。
2.非感染性疾病
⑵血液系統疾病:如急慢性白血病、淋巴瘤、惡性組織細胞病等。
檢查
檢查順序
全身體格檢查時,淋巴結的檢查應在相應身體部位檢查過程中進行。為了避免遺漏應特別注意淋巴結的檢查順序。頭頸部淋巴結的檢查順序是:耳前、耳後、枕部、頜下、頦下、頸前、頸後、鎖骨上淋巴結。上肢淋巴結的檢查順序是:腋窩淋巴結、滑車淋巴結。腋窩淋巴結應按尖群、中央群、胸肌群、肩胛下群和外側群的順序進行。下肢淋巴結的檢查順序是:腹股溝部(上群、下群)、膕窩部。
檢查方法
檢查淋巴結的方法是視診和觸診。視診時不僅要注意局部徵象(包括皮膚是否隆起,顏色有無變化,有無皮疹、瘢痕、瘺管等)也要注意全身狀態。
觸診是檢查淋巴結的主要方法。檢查者將示、中、環三指併攏。其指腹平放於被檢查部位的皮膚上進行滑動觸診。這裡所說的滑動是指腹按壓的皮膚與皮下組織之間的滑動;滑動的方式應取相互垂直的多個方向或轉動式滑動,這有助於淋巴結與肌肉和血管結節的區別。
檢查內容
檢查淋巴結應注意部位、大小與形狀、數目與排列、表面特性、質地、有無壓痛、活動度、界限是否清楚及局部皮膚有無紅腫、瘢痕、瘺管等。
淋巴結引流
面部淋巴引流手法
1、將食指、中指和無名指貼在耳朵前面。
2、雙手的食指、中指、無名指一起用力,邊用力邊緩慢向下移動,從耳前到頸部,再到鎖骨。
3、將雙手的食指、中指、無名指放在額頭中央。
4、用手指的第一關節和第二關節施加壓力,並朝著兩側太陽穴的方向輕輕推動。將2~4重複三次。
胸部淋巴排毒引流
1、洗澡後,滴兩滴精油在熱水中,以熱毛巾敷面及前胸。 雙手抱肩至頭部後頸處,揉按風池穴。
2、雙手拇指、食指輕拉鎖骨向外,重複三次。
3、雙手掌在鎖骨橫位放平,一手退一手進,推滑至左邊腋下,交替推抹數秒雙手重疊提拉數秒,甩手,重複三次。右邊同上。
4、雙手掌在左邊頸部交替推滑數次,一手托住下巴,一手順頸側推至腋下,提拉數秒,甩手,重複三遍。 右邊頸部同上。
5、雙手在整個頸部,由上而下交替推滑數次,推至胸鎖乳突肌停留數秒,再分別向兩邊推至腋下。
腿部淋巴排毒引流
1、按摩前熱身:雙手在腹股溝淋巴結也就是小肚子附近,以畫圓圈的方式揉捏按摩2分鐘。
2、大腿前、外側淋巴引流:雙手分別放在大腿前、外側靠近膝蓋處,從下往上按摩,將水腫引流到腹股溝淋巴結,並重複1的動作揉捏按摩。
3、膝後窩淋巴結:平躺抬一條腿屈膝,雙手在膝後窩淋巴結給予揉捏按摩。另外一條腿方法相同。
4、小腿肚引流:雙手放在腳跟處,從下往上按摩,將水腫引到膝後窩淋巴結,並重複3的動作,持續給予膝後窩淋巴結繞圓圈式的揉捏按摩。
實驗介紹
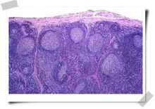
淋巴結:49號切片,牛淋巴結,HE染色。
⑴.被膜:由較緻密的結締組織構成,被膜伸入淋巴結內,形成小梁。
⑵.皮質:淋巴小結:在被膜下方,圓形或卵圓形。在淋巴小結內可看到三種結構:帽區、亮區、暗區。
皮質淋巴竇:被膜下或小梁旁,以及與淋巴小結之間,竇壁由內皮細胞組成,靠被膜或小梁側竇壁完整;有網狀細胞的突起在皮質淋巴竇中形成網眼,網眼中有少量淋巴細胞。巨噬細胞。
副皮質區:位於淋巴小結和髓質之間,有大量散在淋巴細胞,主要是T淋巴細胞,還有巨噬細胞。
高倍顯微鏡下淋巴結HE染色圖 ⑶.髓質:即位於淋巴結的
中央部分,由髓索和髓質淋巴竇組成。
髓索:淋巴組織排列成索狀,與副皮質區相連。髓索內有淋巴細胞,漿細胞,巨噬細胞等。
髓質淋巴竇:夾於髓索之間,與皮質淋巴竇相通,結構也相同、巨噬細胞。
⑷.切片:被摸切片不能太薄。
⑸.素制:素制對皮質很重要。
人體器官系統及組織
| 人作為世界上最高級的動物,小小的身軀里包含了無數的秘密,我們要通過科學來了解自己的身體,了解組成人身體的器官、系統、及組織。才能更好的開發運用和保護自己的身體。 |

