成人型慢性粒細胞白血病流行病學
成人型慢性粒細胞白血病發病年齡在5歲以上,以10~14歲較多見,很少見於3歲以下兒童。男女差別不大。在20歲以下ACML的發病率少於1/10萬,20~50歲為1/10萬~2/10萬50歲以後慢慢上升診斷時的中位年齡67歲,男女比例1.8∶1。
病因
成人型慢性粒細胞白血病——病因大多數患者的病因不明,電離輻射是ACML惟一明確的危險因素。據報導日本核爆炸倖存者中,ACML的發病率增加了7倍,而且在這個群體中年輕人的發病率最高,特別是5歲以下的兒童。
CML是累及造血幹細胞系的惡性腫瘤,認為CML主要因為細胞的凋亡受抑而致病
慢性白血病在小兒時期較少,占兒童白血病的3%~5%,其中主要為慢性粒細胞白血病小兒的慢性粒細胞白血病臨床表現與成人慢性粒細胞白血病有顯著差別,故一般將小兒的慢性粒細胞性白血病分為幼年型和成人型。以往文獻中亦有分為嬰兒型、家族型、幼兒型、成人型四型者,其中家族型與嬰兒型的表現相似,只是常在近親中發病。1974年Smith等把兒童慢性粒細胞性白血病分為3種類型:①成人型;②家族型;③幼年型。
發病機制
CML具有特徵性的費城染色體(Philadelphia chromosome,ph)t(9;22)(q34.1;q11.21)使9號染色體上的原癌基因c-abl與22號染色體上的bcr基因融合形成bcr-abl嵌合基因是惡性克隆的基因標誌。在CML患者的粒系、紅系、巨核系以及淋巴系均帶有此標誌,表明病變發生在造血幹細胞水平。該嵌合基因轉錄-8.5Kb的mRNA,編碼-融合蛋白-P210 bcr/abl,該融合蛋白通過抑制白血病細胞的凋亡延遲而在CML發病中起重要的作用。由於是多能造血幹細胞的惡性增殖,故粒系、紅系、巨核系等多系受累,急變期可轉變為淋巴細胞白血病。
約85%以上的CML患兒存在Ph1染色體即t(9;22)。對Ph1染色體陰性者,用分子生物學技術又可分為有bcr重組(Ph-bcr+CML)和無bcr重組(Ph-ber-CML)兩亞型前者臨床症狀與Ph1染色體陽性者類似,後者臨床症狀不典型。
臨床表現
成人型慢性粒細胞白血病——症狀1.症狀 大多數患者在診斷時處於慢性期,發病緩慢,開始時症狀和體徵比較輕微,常見的症狀包括:全身不適乏力體重減輕、發熱、骨關節疼痛。少數患者無症狀,僅在血常規檢查時發現白細胞數增高而診斷此病。劇烈骨及關節疼痛、出血、不明原因的高熱或髓外浸潤多見於急變期
2.體徵
(1)肝脾淋巴結腫大:可見巨脾、肝臟腫大、淋巴結輕度腫大上腹飽滿或左上腹有腫塊。約90%的患者脾臟腫大,其程度不一,肋下可及,巨脾者質硬常有切跡。脾區劇痛或脾區有摩擦音是發生脾梗死的徵兆50%的患者有輕至中度的肝臟腫大。淋巴結腫大罕見。
(2)CNS受累:視網膜病變、視盤水腫等。
(3)皮膚:少數患者有皮膚浸潤出現皮膚結節。
(4)其他:肺功能障礙與關節炎、陰莖異常勃起也可出現約14%的患者易伴發潰瘍病,多由嗜鹼性細胞增多所致。由於原始細胞數過高引起的白細胞滯留症在兒童ACML中常見但症狀輕微
併發症:
可見巨脾,肝臟、淋巴結腫大,視盤水腫,肺功能障礙脾梗死,出血,髓外浸潤等。
診斷
成人型慢性粒細胞白血病——表1中國通常採用的診斷標準歸納如下:
1.中國診斷標準
(1)Ph1染色體陽性和(或)bcr-abl融合基因陽性:並有以下任何一項者可診斷。
①外周血:白細胞升高,以中性粒細胞為主,不成熟粒細胞>10%,原始粒細胞<10%
②骨髓:粒系高度增生,以中性中幼、晚幼粒細胞、桿狀粒細胞增多為主,原始細胞(Ⅰ+Ⅱ型)<10%
(2)Ph1染色體陽性和(或)bcr-abl融合基因陰性:須有以下(1)~(4)中的3項加第(5)項可診斷。
①脾大。
②外周血:白細胞計數持續升高>30×109/L,以中性粒細胞為主不成熟粒細胞>10%嗜鹼性粒細胞增多,原始細胞(Ⅰ+Ⅱ型)<10%
③骨髓象:增生明顯至極度活躍,以中性中幼粒細胞晚幼粒細胞、桿狀粒細胞增多為主,原始細胞(Ⅰ+Ⅱ型)<10%。
④中性粒細胞磷酸酶(NAP):積分降低。
⑤能排除類白血病反應、JMML或其他:類型的骨髓增生異常綜合徵(MDS)、其他類型的骨髓增殖性疾病。
2.分期 臨床上按疾病的發展過程可分為慢性期加速期和急變期。
(1)慢性期分期標準為:
①無症狀或有低熱、乏力、多汗、體重減輕等症狀
②白細胞計數增高,主要為中性中、晚幼和桿狀粒細胞,原始細胞(Ⅰ+Ⅱ型)<5%~10%,嗜酸粒細胞和嗜鹼粒細胞增多,可有少量有核紅細胞。
③增生明顯至極度活躍,以粒系增生為主,中晚幼粒細胞核桿狀核粒細胞增多,原始細胞(Ⅰ+Ⅱ型)<10%
④有Ph1染色體。
⑤CFU-GM培養呈集落或集簇較正常明顯增加
(2)加速期:幼年型與成人型的差別,見表1
確診後第1年約10%的患兒進入加速期,少數患者於短期內即發展為急性白血病,常於數周內死亡約2/3的患者確診後2~3年間發展為加速期。本期的主要表現為進行性貧血和由於溶骨性損害而發生骨痛、關節痛。凡出現下述2項者考慮已進入本期:
①不明原因的發熱、貧血、出血加重及(或)骨骼疼痛。
②脾進行性腫大。
③非藥物引起的血小板進行性降低或增高。
④血中及(或)骨髓中原始細胞(Ⅰ加Ⅱ型)>10%
⑤外周血嗜鹼粒細胞>20%
⑥骨髓中有顯著的膠原纖維增生
⑦出現Ph1染色體以外的其他染色體異常。
⑧對傳統的抗慢粒藥物治療無效。
⑨CFU-GM增殖和分化缺陷集簇增多,集簇和集落的比值增高。
(3)急變期:75%~85%患兒持續1~5年(平均3.5~4.5年)進入急變期。少數病例在確診後僅數月即發生急變偶有病例10多年後才發生急變。具備下述之一者可診斷為本期:
①外周血或骨髓中原始細胞(Ⅰ加Ⅱ型)或原淋加幼淋或原單加幼單>20%。
②外周血中原始粒加早幼粒細胞>30%
③骨髓中原始粒加早幼粒細胞≥50%。
④有髓外原始細胞浸潤。此期臨床症狀、體徵比加速期更惡化,CFU-GM培養呈小簇生長或不生長。急變中以急髓變為主包括急粒變急單變,偶見急紅變及急性巨核細胞變等。急淋變約占20%
鑑別診斷
1.類白血病反應 類白血病反應可繼發於嚴重感染、先天性心臟病和轉移癌等,這些疾病白細胞增高,但一般不超過50×109/L,中性粒細胞中有中毒顆粒,嗜鹼粒細胞缺如,原始和幼稚細胞很少見。中性粒細胞鹼性磷酸酶活性增強。細胞遺傳學檢查正常,無Ph染色體,分子生物學檢查BCR/ABL(-)。原發疾病控制後白細胞數可以恢復正常。
2.Ph+ 的ALL ACML急性淋巴細胞變與Ph+ 的ALL進行鑑別二者融合蛋白的大小不同,ACML通常是210KD,而Ph+ ALL為185KD,通過反轉錄PCR的方法檢測融合轉錄的斷裂點也有助於鑑別,對治療的反應也不同。ALL患者經過化療,完全緩解時Ph染色體消失,染色體核型恢復正常。
檢查
成人型慢性粒細胞白血病——檢查實驗室檢查:
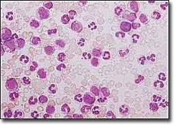
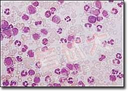
1.周圍血象 主要為白細胞增多,80%在100×109/L以上。血色素在80g/L左右。血小板增多。分類可見粒系增多,包括嗜酸、嗜鹼粒細胞增多。原始粒細胞增多不明顯,以中、晚幼和成熟粒細胞為主。
2.血液檢查 白細胞鹼性磷酸酶減低。HbF不增高。血清免疫球蛋白不增高。血清和尿溶菌酶不增高但維生素 B12和維生素 B12運載蛋白增高
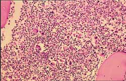
3.骨髓檢查 增生活躍,以粒系增生為主,原始粒細胞<10%,多為中晚幼粒細胞及桿狀核細胞粒∶紅為10~50∶1。部分患者可見骨髓纖維化。骨髓巨核細胞明顯增多,以成熟巨核細胞為主。骨髓培養集落與叢落皆增多
其它輔助檢查:
常規做胸片、B超、心電圖檢查,其他根據臨床需要選擇。
治療
CML型在慢性期的治療以白消安(馬里蘭)或羥基脲為首選藥物。白消安(馬里蘭)劑量為2~6mg/d。一般用藥2~4周后白細胞開始下降白細胞降至20×109/L或血小板<100×109/L時應停藥2周后用原劑量的一半,維持白細胞在15×109/L左右。應根據血象調整用量羥基脲用量為20~40mg/(kg·d)。白細胞下降後減量,白細胞降至15×109/L左右時用1/4量維持。
近年來,干擾素治療慢粒取得了令人注目的進展。在成人的慢粒中,其完全緩解率可達到60%左右但目前在兒童慢粒中套用較少。
近年新研製的ST1571(為二苯基氨基咪啶的衍生物)能抗蛋白絡氨酸激酶的活性,特定抑制CML的bcr/abl基因,而被世人重視,但其仍不能使bcr/abl轉陰,使CML達到根治
CML進入加速期,對慢性期常規治療有效的藥物不再產生療效治療比較困難。有報告套用羥基脲、干擾素對加速期有效。慢粒急變是最難治療的白血病。不少學者曾套用各種不同的化療方案進行治療,效果均不理想。
骨髓移植是目前惟一可使CML患兒獲得治癒的治療方法Gluckman 1990年統計980例CML,經異基因骨髓移植,其5年無病生存率達到50%。自體骨髓移植起步不久,尚不能作出結論。
預後預防
預後:
大約90%的患者診斷時處於慢性期,慢性期診斷需除外非侵襲性疾病。在甲磺酸鹽(格列衛或STI-571)問世以前,患者在慢性期用小劑量化療無病存活期從數月到數年不等。如不治療,大多數患者將在3~8年內病情進展。進入加速期後,通常在3個月內進展到急變期。75%~80%的患者如不治療將會發展到急變期,急變期是ACML的惡性變,很難通過化療控制短期會導致死亡。
ACML慢性期為單純費城染色體,發展到加速期或急變期時有新的異常染色體核型(如雙費城染色體,Y或8號染色體三體等)出現ACML急變類型多數為急性髓系白血病大約1/3為急性淋巴細胞變,免疫分型多為B-ALL,T-ALL極少見,急淋變患者的年齡較急性髓系白血病變的患者小。
預防:
1.避免接觸有害因素 孕婦和小兒均應避免接觸有害化學物質、電離輻射等引起白血病的因素, 接觸毒物或放射性物質時,應加強各種防護措施;避免環境污染尤其是室內環境污染;注意合理用藥,慎用細胞毒藥物等。
2.大力開展防治各種感染性疾病,尤其是病毒感染性疾病。做好預防接種。
3.做好優生工作,防止某些先天性疾病,如21-三體、范可尼貧血等。加強體育鍛鍊,注意飲食衛生,保持心情舒暢,勞逸結合,增強機體抵抗力。

