幼年型粒-單核細胞白血病幼年型粒-單核細胞白血病(juvenile myelomonocytic leukemia,JMML) 是一種罕見的克隆性造血幹細胞增生異常性疾病,多發生在幼年期1953年Cooke首先以幼年型慢性粒細胞白血病(JCML)的名稱報導此病JCML是兼有骨髓增生異常綜合徵(MDS)和骨髓增殖性疾病(MPD)特徵的疾病,在不同的報導中此病分別被稱為JCML、嬰幼兒單體7綜合徵或慢性粒單核細胞白血病(CMML)等。1994年國際兒童粒單核細胞白血病工作組建議將此病統一命名為JMML,更準確的描述了這種惡性髓系疾病,與Ph染色體陽性的慢性粒細胞白血病(CML)區分開來,已被廣泛接受。
流行病學
幼年型粒-單核細胞白血病慢性白血病在小兒時期較少,約占兒童白血病的3%~5%,其中主要為慢性粒細胞白血病。JMML較罕見多發生在幼年期1953年Cooke首先以JCML的名稱報導此病小兒的慢性粒細胞白血病臨床表現與成人慢性粒細胞白血病有顯著差別,故一般將小兒的慢性粒細胞性白血病分為幼年型和成人型。以往文獻中亦有分為嬰兒型、家族型幼兒型、成人型四型者其中家族型與嬰兒型的表現相似,只是常在近親中發病。1974年Smith等把兒童慢性粒細胞性白血病分為3種類型:①成人型;②家族型;③幼年型。1996年國際兒童粒單核細胞白血病工作組建議將慢性粒單細胞白血病(CMML)、幼年型慢性粒細胞白血病(JCML)、嬰幼兒單體7綜合徵統一命名為幼年型粒單細胞白血病,這一名稱提供了更準確的惡性髓系疾病的描述,排除了與Ph1陽性慢性粒細胞白血病混淆的可能,這一名稱得到了廣泛接受。近年的研究表明JMML是兼有骨髓增生異常綜合徵(MDS)和骨髓增殖性疾病MPD特徵的疾病。
病因
JMML起源於多能造血幹細胞,故可造成紅系增生障礙,血小板數與量異常以及淋巴細胞功能異常。與成人型不同,其異常增生主要在粒單系統,體外幹細胞培養主要形成CFU-GM染色體檢查多為正常,個別可見-7,+8(8三體)或+21(21三體)。6%~20%有單體7個別有t(1;13),t(7;11),t(7;20)+13(13三體)。JMML與多發性神經纖維瘤Ⅰ型(NF1)關係密切,而後被人們關注,NF1是一種常染色體顯性遺傳病,NF1兒童明顯增加發展成為惡性髓系白血病的危險,包括粒單核白血病,急性髓系白血病NF1基因位於17q21.2,1990年被克隆,編碼信號蛋白神經纖維素(neurofibromin),約15%的JMML的患兒伴有NF1,有15%無NF1證據而有NF1基因突變。NF1基因的丟失使細胞內的Ras信號傳導途徑激活,從而導致NF1患兒發展成白血病。
JMML的病因不清,20%以上的患者有7號染色體異常,如單體7。其他的染色體異常包括t(1;13)、t(7;12)t(7;20)、+13、+21、+8等,但染色體異常與JMML發病機制的相關性尚不清楚。
發病機制
幼年型粒-單核細胞白血病——發病機制在分子生物學水平上JMML中有15%~30%的患者發現有Ras基因的點突變。Ras基因是一種原癌基因,Ras基因的突變使Ras信號傳導途徑激活,是腫瘤發生的機制之一。另外,JMML的患兒中約15%伴有多發性神經纖維瘤Ⅰ型(NF1),有15%無NF1證據而有NF1基因突變。NF1是一種常染色體顯性遺傳病發生惡性髓系疾病的危險增加包括粒單核細胞白血病和急性髓系白血病等NF1基因位於17q11.2,編碼Ras-GPT酶活性蛋白,在GM-CSF信號途徑中起作用。NF1基因在不成熟髓細胞中作為腫瘤抑制基因,通過影響Ras-GPT負性調節造血生長。NF1基因的丟失使細胞內的Ras信號傳導途徑激活,從而導致NF1患兒發展成白血病。異常克隆的形成和Ras途徑的失調是白血病形成的兩個不同階段Ras途徑激活是JMML形成的前提條件。約50%的JMML有通過Ras或NF1突變激活RAS信號途徑的證據。儘管如此,仍有50%的JMML患者未觀察到NF1/Ras通路異常這些患者的發病機制以及與Ras通路的關係尚不能確定。p53基因是抑癌基因有報導發現在JMML診斷時NF1基因第31外顯子有種系突變,在疾病進展時有野生型p53等位基因第6外顯子的丟失而未發現NF1等位基因丟失,說明在JMML腫瘤形成和進展中,NF1和p53有關聯。
JMML也為來自多能造血幹細胞的疾病,但其分子生物學異常與成人MPD有明顯區別。體外培養JMML細胞對GM-CSF高度敏感但對其他生長因子如IL-3,未觀察到此現象。不加人外源性造血因子JMML患者的粒單系祖細胞可大量自發生長,這種自發生長不是由於GM-CSF濃度增加所致,而是由於祖細胞對GM-CSF的敏感性增加所致。這種自發克隆生長很少見於其他MPD和Ph+ CML及正常人因此,細胞培養粒單核克隆自發生長對JMML診斷起重要作用。JMML細胞經長期培養保持單克隆性質,而Ph+ CML細胞在相同的培養體系中形成多克隆。
臨床表現
幼年型粒-單核細胞白血病——患者95%的患兒在診斷時年齡小於4歲,其中60%發生在2歲以前。男性多於女性,男∶女為1.4~2.5∶1。
起病可急或緩,常以呼吸道症狀為主訴最常見的表現是發熱、不適、咳嗽腹脹。扁桃體炎、支氣管炎、肺部感染常見。最主要的是骨髓增殖性疾病的表現,肝、脾、淋巴結腫大。皮膚損害是常見且重要的特徵,見於半數以上的患兒,表現為多見面部斑丘疹或濕疹樣皮疹,甚至為化膿性皮疹,黃色瘤,牛奶咖啡斑由於血小板減少而繼發出血亦非罕見。對激素治療無反應。
併發症:
並發支氣管炎、肺部感染;肝、脾、淋巴結腫大;濕疹樣皮疹、化膿性皮疹;由於血小板減少而發生出血。
診斷
幼年型粒-單核細胞白血病——表11997年國際JMML協作組制定標準:此標準目前得到廣泛認可。
1.臨床特徵 ①肝脾腫大;②淋巴結腫大;③蒼白;④發熱;⑤皮膚損害
2.最低實驗室標準(滿足全部3個條件)
(1)Ph-或bcr/abl-。
(2)外周血單核細胞計數>1×109/L。
(3)骨髓原始細胞<20%。
3.為明確診斷要求的標準
(1)HbF隨年齡增加。
(2)外周血塗片可見髓系幼稚細胞。
(3)白細胞>10×109/L
(4)克隆性異常(包括單體7)。
(5)體外培養髓系細胞對GM-CSF高度敏感。
鑑別診斷
1.嬰幼兒期類白血病反應 可有肝脾大,血小板減少,末梢血象中偶見中晚幼粒及有核紅細胞,但往往存在慢性感染灶,無單核細胞增高及HbF明顯升高。
2.巨細胞病毒及EB病毒感染 可有發熱、肝脾淋巴結腫大,白細胞增多血小板減少,但骨髓常呈增生低下,巨核細胞不減少,無明顯單核細胞增高及HbF明顯升高。病毒學檢查為陽性
3.郎格罕組織細胞增生症 可表現為白細胞增多,單核細胞增多,肝脾腫大,皮膚損害與JMML特徵性的鑑別是絕大多數患兒有骨骼的損傷並在骨髓、脾、皮膚等組織中發現S-100+的郎格罕細胞。
4.成人型CML 鑑別見表1。
檢查
幼年型粒-單核細胞白血病實驗室檢查:
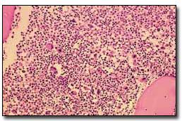
1.血象 Hb輕中度減低,Plt減少,半數在50×109/L以下,白細胞增多,2/3患兒在50×109/L以下,少數患兒(<10%)大於100×109/L單核細胞增多外周血出現幼粒細胞和幼紅細胞嗜酸細胞和嗜鹼細胞可增多但不似Ph1CML明顯
2.骨髓 粒系增生,可見病態造血紅系病態造血少見,巨核細胞減少,單核系占5%~10%。骨髓病理在部分患兒可見纖維增生,但較Ph1CML少見。
3.JMML 患兒表現HbF增多,2/3患兒HbF>10%,HbA2減低。免疫球蛋白呈多克隆增加,血清溶菌酶增加,中性粒細胞鹼性磷酸酶減低、正常或增加,並不能提供診斷依據。
4.細胞培養 多數實驗研究顯示,在缺乏外源性造血因子情況下,粒單系祖細胞(CFU-GM)可大量自發生長,而正常造血祖細胞生長受抑,並且這種自發生長表現為對粒-巨噬細胞集落刺激因子(GM-CSF)具有選擇性,抗GM-CSF抗體可選擇性的抑制JMML克隆的生長,而其他生長因子抗體不能抑制其克隆生長。故細胞培養GM克隆自發性生長對JMML診斷起重要作用。
其它輔助檢查:
B超可見肝、脾腫大;胸片可見支氣管或肺部炎症陰影。
相關檢查:乳糜微粒 單核細胞 嗜鹼細胞 溶菌酶 鹼性磷酸酶 腦脊液壓力 血紅蛋白
治療
強化療(似AML)方案巰嘌呤(6-MP)+潑尼松,巰嘌呤(6-MP)+皮下注射阿糖胞苷等方案治療JMML均未獲得緩解(CR)生存期平均8個月,強化療組與非化療組生存相似。維A酸療效不肯定,干擾素(IFN-α)難於確定療效
骨髓移植(BMT)是惟一明確能改善JMML預後的治療方法接受HLA匹配的家族供者骨髓,患兒預計生存期明顯好於接受無關供者或不匹配供者骨髓移植患兒。
Niemeyer等報導110例JMML,38例行異基因骨髓移植,中位生存期8.5個月(0.3~112個月),10年生存期可能是39%;非移植組72例,10年生存可能是6%,BMT組明顯優於非BMT組。
預後預防
預後:
JMML預後差,多數生存期短於2年,但其病程存在異質性,約1/3患兒不管是否治療,均表現為進展迅速、臟器腫大、惡病質、骨髓衰竭而在數月內死亡;1/3患兒不經治療可獲得臨床部分改善,甚至細胞計數完全正常,生存期達2年或以上,文獻中報導最長達9年提示預後好的因素有:①年齡<2歲者生存期長,特別是小於1歲者生存期明顯長;②HbF>10%;③Plt>40×109/L;④缺乏克隆性遺傳學異常者而外周血原始細胞和幼紅細胞多者預後差。
預防:
1.避免接觸有害因素 孕婦和小兒均應避免接觸有害化學物質、電離輻射等引起白血病的因素,接觸毒物或放射性物質時,應加強各種防護措施;避免環境污染,尤其是室內環境污染;注意合理用藥,慎用細胞毒藥物等。
2.大力開展防治各種感染性疾病尤其是病毒感染性疾病。做好預防接種。
3.做好優生工作,防止某些先天性疾病,如21-三體、范可尼貧血等。加強體育鍛鍊,注意飲食衛生,保持心情舒暢,勞逸結合增強機體抵抗力。
