慢性髓細胞白血病慢性髓細胞白血病(chronic myelocytic leukemiaCML)是一種造血幹細胞克隆增生性疾病,骨髓以髓系增生外周血白細胞增多及脾臟腫大為主要特徵90%以上患者骨髓細胞中存在特徵性的費城染色體(Ph染色體)和(或)BCR/ABL融合基因中位生存期3~4年。
流行病學
慢性髓細胞白血病全球年發病率約為l/10萬人口占成人白血病的15%~20%,發病率隨著年齡的增長,發病高峰介於50~60歲,男∶女為1.4∶1不過,各國的發病率並不一致以澳大利亞為最高(2.3/10萬人口),美國(1.3/10萬人口),日本(1.3/10萬人口)哥倫比亞(1.3/10萬人口),加拿大(1.2/10萬人口),其次,其他國家包括巴西(0.8/10萬人口),丹麥(0.8/10萬人口),英國(0.7/10萬人口),印度(0.7/10萬人口)及以色列(0.7/10萬人口),發病率均在1.0/10萬人口以下。可發生於兩性和任何年齡,但<10歲者少見患者年齡中位數為45歲,中國醫學科學院血液學研究所楊崇禮等於1986~1988年組織了我國22個省市,自治區域合作38個單位,46個調查點的大協作,調查的6157萬人群人中,CML的發病率為0.36/10萬人口,位於急性白血病之後,居第3位,地區差異不顯著,可發生於各年齡組,無明顯的家族史。
病因
離子輻射可以使CML發生率增高,在廣島和長畸核子彈爆炸後倖存者、接受脊椎放療的強直性脊椎炎患者和接受放療的宮頸癌患者中CML發病率與其他人群相比明顯增高。長期接觸苯和接受化療的各種腫瘤患者可導致CML發生,提示某些化學物質亦與CML發關CML患者HLA抗原CW3和CW4頻率增高表明其可能是CML的易感基因儘管有家族性CML的報導,但CML家族性聚集非常罕見,此外單合子雙胞胎的其他成員CML發病無增高趨勢,CML患者的父母及子女均無CML特徵性Ph染色體說明CML是一種獲得性白血病,與遺傳因素無關。
發病機制
慢性髓細胞白血病1.起源於造血幹細胞 CML是一種起源於造血幹細胞的獲得性克隆性疾病其主要證據有:①CML慢性期可有紅細胞中性粒細胞、嗜酸/嗜鹼粒細胞、單核細胞和血小板增多;②CML患者的紅系細胞中性粒細胞、嗜酸/嗜鹼粒細胞、巨噬細胞和巨核細胞均有Ph染色體;③在G-6-PD雜合子女性CML患者中紅細胞中性粒細胞、嗜酸/嗜鹼粒細胞、單核細胞和血小板表達同一種G-6-PD同工酶而成纖維細胞或其他體細胞則可檢測到兩種G-6-PD同工酶;④每個被分析的細胞其9或22號染色體結構異常都一致;⑤分子生物學研究22號染色體斷裂點變異僅存在於不同CML患者而在同一病人的不同細胞中其斷裂點是一致的;⑥套用X-連鎖基因位點多態性及滅活式樣分析亦證實了CML為單克隆造血
2.祖細胞功能異常 相對成熟的髓系祖細胞存在有明顯的細胞動力學異常,裂指數低、處於DNA合成期的細胞少細胞周期延長、核漿發育不平衡,成熟粒細胞半衰期比正常粒細胞延長採用3H自殺試驗證實僅只有20%的CML集落處於DNA合成期,而正常人為40%CML原粒、早幼粒細胞標記指數比正常人低而中晚幼粒細胞標記指數與正常對照相比無明顯差別。造血祖細胞集落培養發現CML骨髓祖細胞與外周血祖細胞的增殖能力不同骨髓CFU-GM和BFU-E數與正常對照相比通常增高,但亦可正常或減低而外周血可升高至正常對照的100倍。Ph陽性CML病人骨髓細胞長期培養研究發現經幾周培養後在培養基中可檢測到Ph陰性的祖細胞現已證實這主要為CML造血祖細胞黏附功能異常所致。
3.分子病理學 1960年,Nowell和Hungerfor描述了CML相關的Ph染色體這是首次發現的與一特異人類腫瘤相關的非隨機染色體異常。1973年Rowley採用奎寧和姬姆薩染色技術首次證實CML中發現的Ph染色體(22q-異常)是t(9;22)(q34;q11)染色體易位所致1982年在9q34斷裂區克隆出了ABL基因。1983年證實位於q34的基因片段易位到22號染色體上與22q11斷裂區一個稱為BCR的基因形成BCR-ABL融合基因。
(1)ABL基因:原癌基因c-abl定位於q34,在物種發育過程中高度保守編碼在所有哺乳動物組織和各種類型細胞中均普遍表達的一個蛋白質c-abl長約230kb,含有11個外顯子,走向為5′端至著絲粒該基因第一個外顯子有兩種形式,外顯子1a和1b,因而有兩種不同的c-abl mRNA,第一種稱為1a-11長6kb包括外顯子1a-11;另一種稱為1b,自外顯子1b開始跨越外顯子1a和第一個內含子,同外顯子2-11相接長為6kb,這兩種ABL的RNA轉錄編碼兩種不同的分子量均為145000的ABL蛋白。DNA序列分析發現c-abl屬非受體蛋白-酪氨酸激酶家族,除激酶片斷外該基因還有在信號傳導蛋白的相互作用和調節中非常重要的SH2和SH3片斷,c-abl的特徵是有一個大的C末端非催化片斷,該片斷含有DNA和細胞骨架結合的重要序列和一個參與該傳導信號的區域正常的p145ABL穿梭於細胞核和胞漿之間,主要定位於細胞核具有較低的酪氨酸激酶活性。p145ABL的活性和細胞內定位受連線細胞骨架與細胞外間質的整合素(integrins)調控,現有研究表明至少在纖維細胞ABL激活需要細胞黏附因此ABL可能通過將整合素信號傳遞至細胞核從而充當黏附和細胞周期信號之間的橋樑,參與細胞生長和分化控制
(2)BCR基因:BCR基因定位於22q11,長130kb,有21個外顯子,起始方向5′端至中心粒有4.5kb和6.7kb兩種不同的BCR mRNA轉錄方式,編碼一分子量為160000的蛋白p160 BCR,該蛋白有激酶活性。p160 BCR之C末端與ras相關的GTP結合蛋白p21的GTP活性有關聯。
(3)BCR-ABL基因:位於9q34的c-abl基因易位於22號染色體與位於22q11的bcr基因形成BCR-ABL融合基因迄今CML患者中已發現有3個bcr斷裂點叢集區,分別為M-bcr、m-bcru-bcl和6種BCR-ABL融合轉錄方式與M-bcr相應的有b2a2、b3a2、b2a3其編碼蛋白為p210,與m-bcr相應的有ela2,其編碼蛋白為p190,與u-bcr相應的有e19a2其編碼蛋白為p230。
小鼠模型體內已證實BCR-ABL可導致CML發生,BCR-ABL融合蛋白定位於細胞漿,具有極高的酪氨酸激酶活性,通過改變作為BCR-ABL催化底物的一些關鍵的調節蛋白磷酸化狀況激活多種信號傳導途徑如通過激活參與細胞增殖和分化調控的RAS信號途徑使祖細胞數量增多幹細胞池減少,幹細胞成為增殖池的一部分,從而使未成熟粒細胞不斷擴增BCR-ABL作用的另一種機制是改變正常整合素功能正常造血祖細胞黏附於細胞外基質,而黏附是由祖細胞細胞表面受體特別是整合素來介導的,BCR-ABL通過干擾β1整合素的功能導致CML細胞的細胞黏附功能缺陷從而使未成熟細胞釋放至外周血並遷移至髓外部位
最近CML發病機制研究又取得了進展:①體外培養發現BCR-ABL通過抑制凋亡而延長CML祖細胞的因子非依賴性生長時間;②用反義寡核苷酸下調BCR-ABL表達後可能通過增加細胞對凋亡的敏感性從而抑制白血病細胞在小鼠體內生長,特別是減少CML病人早期祖細胞集落形成,降低CML樣細胞系的細胞增殖;③表達BCR-ABL的、轉化的因子非依賴性的、可致瘤的小鼠造血細胞通過上調bcl-2而增加對凋亡的敏感性當bcl-2表達受抑後,BCR-ABL陽性細胞又變成了因子依賴性和非致瘤性。以上實驗結果表明,BCR-ABL抑制細胞凋亡導致髓系細胞不斷擴增是CML的又一發病機制
(4)急變發生機制:細胞遺傳學研究發現80%的AP或BP CML患者有繼發性染色體異常,最常見的異常依次為+8、+Phi(17)、+19+21和-Y急性粒細胞白血病變(急粒變)的患者中約80%有非隨機性染色體異常其染色體核型常表現為超二倍體,最常見的異常為+8,且+8常與其他染色體異常如i(17)+Ph+19等同時出現其次為+Phi(17)和-Y。急性淋巴細胞白血病變(急淋變)的患者約30%有繼發性克隆性染色體異常常為染色體丟失,從而表現為亞二倍體或結構異常常見異常為+Ph和-Y+8少見,i(17)尚未見報導,-714q+與急淋變特異相關。儘管有研究發現急變期CML有N-Ras基因突變和c-Myc基因表達增高但其發生率極低。Rb基因在急變期CML患者亦極少有改變Sill等發現p161NK4A基因的純合子缺失與CML急淋變相關CML急性變分子機制研究較多的還是p53基因,20%~30%的急粒變的患者存在有p53基因結構和表達的異常,CMLp53基因改變特徵為:①主要改變是基因重排和突變;②主要見於急粒變,急淋變極少見;③p53突變常見於有17P-異常患者;④p53突變能導致CML的急粒變。最近又有鈣調素基因甲基化程度端粒長度和端粒酶活性改變與CML急變關係的研究報導但其意義尚待進一步闡明。
臨床表現
慢性髓細胞白血病1.慢性期
(1)症狀:通常大多數CML患者臨床上處於“慢性”或“穩定”階段此期可持續3~4年。常見的症狀包括:貧血脾區不適出血及乏力體重減輕和低熱等代謝增高的表現。20%~40%的患者無症狀,因常規體檢發現白細胞數血小板數增高或脾臟腫大而診斷。少數病人有痛風性小關節疼痛此外,還有視力障礙、神經系統病變以及陰莖異常勃起等。慢性期患者不易感染髮熱少見。
(2)體徵:主要表現為臟器浸潤。90%患者脾臟腫大程度不一,肋下可及至巨脾伸延至盆腔質硬常有明顯切跡。脾栓塞時脾區可觸及摩擦感或聞及摩擦音。可有輕到中度肝臟腫大,淋巴結腫大少見胸骨常有壓痛,以胸骨柄的下端為著眼底視網膜浸潤可見到視網膜血管迂迴擴張並可見呈片狀的出血斑以及白色浸潤中心
2.急變期 慢性期經過數月或數年之後,惡性造血幹細胞極度增生,骨髓原粒+早幼粒細胞≥20%,可伴由血小板衍生生長因子過多引起的骨髓纖維化改變。每個病人何時急變尚不能預測一旦發生急變病情迅速惡化,治療非常困難,存活期很少超過6~12個月
(1)症狀:有不明原因的發熱、脾進一步腫大;出現骨痛出血以及髓外腫物等浸潤現象,如淋巴結腫大、皮膚軟組織腫塊或溶骨性病變。
(2)急變類型:
①約65%為急粒變:包括:A.原始粒細胞危象病情突然驟變,骨髓或血液中出現大量的原始粒細胞,原粒+早幼粒>90%,病情發展快病程短,一般在1~2個月內死亡;B.慢粒急變指CML經數周至數月的轉變過程出現急性白血病的所有徵象骨髓中原始+早幼粒>20%。對治療耐藥生存期不超過6個月
②約30%為急淋變:包括普通型急性淋巴細胞白血病(C-ALL)非T非B淋巴細胞白血病、前B細胞白血病及BT細胞白血病急淋變經過長春新鹼及潑尼松可獲暫時的緩解但最終在0.5~1年內死亡
③5%為其他少見類型的急髓變:包括組織細胞變、紅白血病變巨核細胞變及急性單核細胞變。血象骨髓象細胞形態學等改變有其相應的特徵且預後差,絕大多數患者急變後6個月內死亡。
3.加速期 介於慢性期和急性期之間,此期臨床開始出現低熱、脾大等現象貧血逐漸加重,白細胞持續上升幼稚細胞開始增多,原粒+早幼粒≥10%對原來有效的藥物出現耐藥。在數周或數月內即可演變成典型的急性期染色體在此期已有變化如急性期故染色體的改變早於血液學和臨床的轉變,可作為疾病進展及預後判斷的指標。
併發症: 1.慢性期 部分病人可出現脾栓塞,脾破裂脾出血。
2.加速期 急變期可合併感染髮熱、貧血性心臟病心衰等併發症急性痛風性關節炎可並發肺、中樞神經系統某些特殊感覺器官和陰莖等循環血管內血流受阻出現相應的症狀和體徵,如呼吸急促呼吸困難發紺、頭暈語言不清譫妄昏迷、視物模糊、耳鳴聽力減退及陰莖異常勃起。
診斷
慢性髓細胞白血病——表1典型的CML伴有脾大外周血白細胞數增高可見各階段幼稚粒細胞,嗜酸和嗜鹼粒細胞增高。骨髓增生明顯或極度活躍以粒細胞系增生為主中性晚幼及桿狀核粒細胞明顯增生,嗜酸和(或)嗜鹼粒細胞亦增多巨核細胞系常增生。中性粒細胞鹼性磷酸酶積分(ALP)減低細胞遺傳學檢查有Ph染色體或套用分子生物學方法檢測出BCR-ABL基因重排或融合診斷並不困難
診斷標準:典型CML又稱為慢性粒細胞白血病(CGL),必須具Ph染色體陽性BCR-ABL融合基因陽性或Ph染色體陰性但BCR-ABL融合基因陽性。同時須並有下列兩項之一者:①外周血白細胞升高以中性粒細胞為主,不成熟粒細胞>10%原始細胞(Ⅰ+Ⅱ型)<10%。②骨髓增生明顯至極度活躍,以中性中幼粒細胞及以下階段中性粒細胞為主,原始細胞(Ⅰ+Ⅱ型)<10%
1.分期標準 因為90%的CML經中數時間約3年的慢性期後,不可避免地進入加速期,最後進一步發展至急變期以急性白細胞病告終,故必須了解每期的特徵。下面介紹中國套用的分期標準。
(1)慢性期:
①臨床表現:無症狀,或僅有低熱、乏力、多汗體重減輕等症狀
②血象:白細胞計數升高主要為中性中幼、晚幼桿狀和分葉粒細胞原始細胞(Ⅰ+Ⅱ型)<10%,嗜鹼和嗜酸細胞增多,可有少量幼稚紅細胞。
③骨髓象:增生明顯至極度活躍,以粒系增生為主。中、晚幼及桿狀粒細胞增多原始細胞(Ⅰ+Ⅱ型)<10%。
④Ph染色體和(或)BCR-ABL融合基因陽性。
⑤外周血CFU-GM培養:集落和集簇數較正常明顯升高。
(2)加速期具有下列任意2項者,即可診斷。
①不明原因的發熱貧血、出血加重和(或)骨骼疼痛。
②脾進行性腫大。
③非藥物引起的血小板進行性減少或增多
④外周血嗜鹼細胞>20%
⑤外周血和(或)骨髓中原始細胞(Ⅰ+Ⅱ型)≥10%,但<20%
⑥骨髓病理有膠原纖維顯著增生
⑦出現Ph染色體以外的染色體異常(8號、17號、19號及22號最為常見)。
⑧對傳統的抗CGL藥物治療失效。
⑨CFU-GM增生和分化缺陷集簇增加,集簇/集落比值增高
(3)急變期具有下列任意一項者即可診斷
①外周血或骨髓中,原始細胞(Ⅰ+Ⅱ型),或原始+幼稚淋巴細胞,或原始+幼稚單核細胞≥20%。
②外周血原始細胞(Ⅰ+Ⅱ型)+早幼粒細胞≥30%
③骨髓原始細胞(Ⅰ+Ⅱ型)+早幼粒細胞≥50%
④髓外原始細胞浸潤。
1987年國際骨髓移植登記組的分期標準和國內標準大體相同。
2.CML變異型
(1)慢性中性粒細胞白血病(chronic neutrophilic leukemiaCNL):患者Ph染色體陰性,BCR-ABL融合基因陰性ANL的臨床表現和血液學改變也不同於典型的CML,患者通常脾僅輕度腫大;外周血白細胞升高幅度在(30~50)×109/L,絕大多數為成熟的中性分葉核細胞,嗜鹼細胞通常不增多,ALP染色積分升高;骨髓也以成熟的中性粒細胞為主病程進展和CGL大致相同2001年WH0髓系腫瘤新分類方案已將CNL歸入骨髓增生性疾病而不再歸屬於CML
(2)慢性粒單核細胞白血病(CMML):患者Ph染色體陰性BCR-ABL融合基因陰性其臨床及血液學改變也不同於典型的CML,患者脾通常不腫大或僅輕度腫大;外周血白細胞升高幅度較低,甚少>100×109/L。幼稚中性粒細胞<5%,而成熟單核細胞明顯增多絕對數>1×109/L;骨髓中粒系增生明顯成熟單核細胞也輕度增多幼紅細胞比例常>15%但各系基本無病態造血,或甚輕;病程進展快於CGL治療效果較差2001年WHO髓系腫瘤分類方案已將CMML歸入骨髓增生異常/骨髓增生性疾病(MD/MPD)。
(3)幼年性CML(juvenlile CMLjCML):發生於青少年的DML,大多數在臨床表現、血液學改變及細胞遺傳學和典型的CML一樣僅是同一種疾病發生於年輕人但另一種青少年CML,是一種不同於典型CML的疾病:①其Ph染色體陰性,BCR-ABL融合基因也陰性,也無其他染色體異常。②臨床常有皮膚損害,病情進展迅速,雷同於急性髓性白血病(AML)③骨髓中粒和單核細胞系同時增生,原始細胞<20%,有人建議稱為青少年粒單核細胞白血病(juvenile mohocytic leukemia)。④血白細胞升高幅度低於典型的CML不成熟粒細胞的比例較高但嗜鹼細胞正常或僅稍增多,而單核細胞>1×109/L。⑤具特徵性的是血紅蛋白電泳顯示50%的患者HbF升高,而HbA2減少以及紅細胞碳酸酐酶含量降低。⑥血小板常減少,骨髓巨核細胞也減少
具有上述特點的CML,稱為jCML其和單體γ綜合徵十分相似但染色體檢查可鑑別之上述WHO新分類方案中,已將jCML歸入MD/MPD。
(4)不典型CML(Atypical CML,aCML):aCML和典型的CML,在臨床和實驗室檢查中均有相類似的異常但程度輕,故稱為aCML(包括脾腫大血白細胞升高幅度未成熟中性粒細胞比例及嗜鹼細胞數)。此外,aCML常有貧血外周血單核細胞輕度增多、1/3患者ALP積分升高骨髓紅系細胞相對較多,且伴多系細胞病態造血隨病程進展常以骨髓衰竭告終而急性變少見aCML和典型的CML最主要的區別在於其Ph染色體及BCR-ABL融合基因均陰性而常有其他染色體異常,如三體8預後明顯差於CGL,中數生存期僅1~1.5年。上述WHO新分類方案中,也已將aCML歸入MD/MPD。
3.按預後因素分期:國外有學者根據不良預後因素或回歸方程計算結果提出了一些分期標準(表1)
公式分組:儘管已提出過幾個分組模式但迄今較為公認的是Sokal等(1984)在國際CMI。預後研究組上提出的相對危險公式:
男性為1女性為2血細胞比容以%計算。按上述公式計算相對危險值,可將CML患者分為低危組(<0.8),中危組(0.8~1.2)和高危組(>1.2)。
由於上述公式主要是根據常規化療(主要是白消安和羥基脲)患者推論出來的,對用IFN-α治療的患者的價值相對較差。最近Hasford等依據1300例用IFN-α治療患者的資料提出了一新積分系統
診斷評析:臨床上遇原因不明的脾明顯腫大胸骨壓痛外周血白細胞數明顯升高和(或)嗜鹼嗜酸細胞增多的患者,均要警惕CML的存在及時進行血塗片仔細觀察有核細胞形態如出現一定數量的中性晚、中幼粒細胞,在排除了類白血病反應後,即可做出CML的初步診斷。故重視臨床查體及血常規檢查可為CML的診斷提供極有價值的信息
骨髓穿刺顯示增生明顯或極度活躍且以粒細胞係為主其中主要為中性中幼粒細胞及以下階段中性粒細胞,即可基本診斷為CML按照國際標準,診斷CML應有細胞遺傳學和(或)分子生物學證據,即檢出Ph染色體和(或)BCR-ABL融合基因或至少檢出後者所表達的BCR-ABL融合蛋白。尤其在臨床或血液學不典型的病例,更需進行這方面的檢查,以提高診斷及鑑別診斷的水平。
鑑別診斷
1.在不典型情況下CML應與類白血病反應鑑別 類白血病反應可繼發於休克、嚴重感染、結核病晚期腫瘤或妊娠中、後期白細胞數多低於50×109/L中性粒細胞鹼性磷酸酶染色積分往往升高不伴有Ph染色體及bcr/abl融合基因異常,原發疾病控制後白細胞可恢復正常尚需與原發性骨髓纖維化(MF)鑑別,MF常有明顯的脾大、白細胞和血小板可以增高血片中出現幼粒幼紅細胞易和CML相混淆。但是MF患者Ph染色體陰性骨髓活檢網狀纖維及膠原纖維增生。
2.Ph陽性ALL需與無慢性期的CML急淋變相鑑別 兩者臨床表現相似後者脾大較明顯,Ph陽性ALL在完全緩解期染色體核型可恢復正常,復發時再現。CML急淋變者Ph染色體難以消減,還伴有附加染色體異常。從分子水平檢測可發現約半數Ph陽性ALL的融合基因及其表達產物與CML相同。斷裂點在M-bcr其bcr/abl產物為p210另半數Ph陽性ALL的斷裂點在M-bcr上游約40kb的M-bcr區蛋白產物為p190。當做基因檢測時需用有別於Ph陽性CML的引物及探針以此可區別於CML
3.CML還需和原屬CML的幾種相關疾病鑑別 因為它們均有外周血白細胞數升高、出現幼稚粒細胞;骨髓增生明顯或極度活躍以粒細胞係為主;常伴脾大等徵象CML和這些相關疾病鑑別關鍵點是Ph染色體和bcr/abl融合基因的檢測CML為陽性而相關疾病為陰性。下面再簡單列出其他的鑑別要點
①慢性中性粒細胞白血病(CNL):骨髓中增生的細胞主要為成熟的中性分葉核細胞外周血中性粒細胞鹼性磷酸酶(ALP)染色積分常升高。目前WHO分類中已將CNL歸入骨髓增生性疾病範疇。
②不典型CML(aCML):實質上是一種本質上和典型CML完全不同的疾病命名也不合適。aCML在病程早期即有貧血、血小板減少而白細胞增高幅度低,或不增高;外周血嗜鹼粒細胞極少或缺如;骨髓常有一系或多系病態造血;脾大不顯著;晚期常表現為骨髓衰竭急性變者<50%
③慢性粒單核細胞白血病(CMML):原FAB分型中屬骨髓增生異常綜合徵(MDS)的CMML有明顯的病態造血及原始細胞增多(RAEB)同時伴外周血單核細胞>1×109/L,不易和CML混淆另一類稱為增生型CMML則應仔細鑑別除上述的Ph染色體及bcr/abl融合基因陰性外外周血單核細胞>1×109/L為主要鑑別點。
④幼年型粒單核細胞白血病(JMML):是一種十分少見的兒童慢性髓細胞白血病,臨床上常有發熱貧血,尤其伴皮損,如面部斑丘疹、黃色瘤及牛奶咖啡斑。其外周血單核細胞>1×109/L是和CML的鑑別要點。上述aCMLCMMIL及JMML在WHO分類中歸入骨髓增生異常綜合徵/骨髓增生性疾病(MDS/MPD)範疇。
檢查
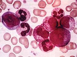
慢性髓細胞白血病——檢查實驗室檢查: 1.慢性期
(1)血象:白細胞數常>50×109/L有時可達500×109/L以上約1/3患者血紅蛋白<110g/L貧血多為正常細胞正色素性。血小板往往增多,有時高達1000×109/L,少數病人可正常減少血塗片檢查中可見不同成熟階段的粒細胞以中晚幼粒細胞階段居多原料細胞<5%,原粒+早幼粒細胞≤10%,嗜酸性及嗜鹼性粒細胞增多,有少量有核紅細胞出現
(2)骨髓象:增生極度活躍或明顯活躍,以粒係為著粒與紅之比可增至10∶1~20∶1粒系各階段均增加,以中、晚幼粒細胞增加為主。嗜酸性與嗜鹼性粒細胞比例明顯高於正常巨核細胞及血小板亦增多
(3)中性粒胞鹼性磷酸酶(ALP):染色積分減低或接近於零
(4)細胞遺傳及分子生物學檢查:90%以上的慢性期患者骨髓中期分裂細胞往往Ph染色體陽性,分帶技術證明9號染色體長臂3區4帶與22號染色體1區1帶部分片段相互易位即t(9;22)(q34;11)。螢光素染色體原位雜交術(FISH)敏感性更高提取骨髓或外周血單個核細胞的DNA經DNA印跡法可檢測到bcr基因重排發生在5'端(b3a2)若提取骨髓或血單個核細胞部RNA,經反轉錄聚合酶鏈反應(RT-PCR)術可檢測到bcr/abl轉錄產物mRNA是目前最靈敏而又特異的方法。
(5)血清生化測定:血清尿酸、乳酸脫氫酶及溶菌酶往往增高
2.急變期 貧血迅速加重骨髓及外周血中原始粒細胞明顯增多。骨髓原始粒細胞≥20%,如為急性危象則可達卡90%以上血小板減少中性分葉核細胞鹼性磷酸酶可升高或正常,遺傳學檢查常為非整倍體除t(9;22)(q341;q11)的Ph染色體外還附加其他染色體的異常,如出現第二個Ph染色體,或多一個8號染色體(+8)或者說17號染色體長臂等臂缺失(ISO17q-)
3.加速期 白細胞持續上升,幼稚細胞開始增多,原粒+早幼粒≥10%。
其它輔助檢查: 1.骨髓活檢病理切片銀染常示網狀纖維增生,約一半患者為顯著增生。
2.根據病情,症狀、體徵選擇做X線CTMRIB超心電圖等檢查
治療
慢性髓細胞白血病——表2CML的療效判斷包括血液學緩解細胞遺傳學緩解(即Ph+細胞消失率)和分子生物學緩解(即BCR-ABL融合基因轉陰率)由於此三種不同的緩解程度與CML患者的生存期顯著相關,因此現代CML治療的主要目的是如何提高后兩者的緩解率,爭取患者獲得長期無病生存
1.常規治療 CML就診或復發時常有高尿酸症因此,治療前應予別嘌醇300mg/d,口服,並充分補液以維持尿量;如果患者有大量細胞溶解的危險因素,則別嘌醇給藥量及給藥次數均應增加並應維持尿量在150ml/h由於別嘌醇可出現過敏性皮炎,因此在白細胞數下降至正常、脾大明顯縮小、無明顯高尿酸血症後應停用。
2.單藥化療
(1)白消安(馬里蘭):是第一個廣泛套用於CML治療的化療藥物。其療效於1968年經隨機比較得以肯定常用劑量為4~6mg/d,口服由於該藥有明顯的後效應因此當白細胞計數下降至30×109/L左右應減量或停藥。大部分患者需維持治療,維持劑量可降至2mg,口服2次/周約95%的慢性期患者有效白細胞計數下降、脾縮小、血細胞比容升高、一般狀況恢復正常。
白消安(馬里蘭)治療常不能使Ph染色體消失,白消安(馬里蘭)治療的目的是控制慢性期,減少死亡率。
該藥的主要副作用有嚴重骨髓抑制皮膚色素沉著、乏力發熱和腹瀉為特徵的類似於腎上腺皮質功能不全的綜合徵和肺纖維化。
(2)羥基脲:1993年通過隨機對照系列比較證實羥基脲(HU)優於白消安(馬里蘭)。其中位生存期刪組明顯好於BUS組(分別為58個月和45個月),5年生存率分別為44%和32%。由於該藥毒性小,可延長CML慢性期和有利於患者進行造血幹細胞移植等優點,現已成為CML的首選化學治療藥物依白細胞計數,起始劑量為1~4g/d口服;當白細胞下降至20×109/L時改為l~2g/d維持量為0.5~2.0g/d;當白細胞計數下降至5×109/L時應暫停HU的副作用輕可有皮膚丘疹、骨髓細胞巨幼變大紅細胞增多、月經量增多禿髮等,但骨髓抑制少沒有發生肺纖維化者部分患者可有Ph染色體陽性率減低最近有研究發現羥基脲(HU)可延緩CML患者骨髓纖維化的發生,對早期輕度纖維化患者有逆轉作用。
(3)靛玉紅及其衍生物甲異靛:靛玉紅和甲異靛是中國醫學科學院血液學研究所經過20多年研究首創用於治療CNL的新藥單用靛玉紅100~300mg/d分3~4次口服,總有效率為95.8%。單用甲異靛75~150mg/d分3次口服,總緩解率為80.6%與BUS和HU相比其縮脾效果明顯好於前者。最近,研究證實甲異靛長期療效與HU相似,甲異靛聯合羥基脲(HU)可明顯延長患者慢性期降低患者5年急變率部分患者可有Ph染色體陽性率減低主要副作用有不同程度的骨關節疼痛、噁心納差腹痛腹瀉等消化道反應,極少在治療期間出現骨髓抑制
(4)其他:國內外有單用環磷醯胺、巰嘌呤(6-巰基嘌呤)氧芬胂(馬法蘭)苯丁酸氮芥(瘤可寧)二溴甘露醇、烏拉非汀(合520)秋水仙胺、二溴衛矛醇、卡波醌、三尖杉鹼等治療CML慢性期患者,這些藥物雖均對CML有效但沒有一種藥物的療效比BUS或HU好。最近有長療程高三杉尖酯鹼2.5mg/(m2·d),靜滴,第1~14天,使6% CML患者獲得完全細胞遺傳學緩解的報導。
3.干擾素治療 1983年Talpaz等報導單用天然干擾素(IFN)治療CML CP患者51例其中71%(36例)獲血液學緩解,且7例(14%)Ph染色體消失此後關於天然和重組干擾素治療CML的療效觀察表明血液學緩解率為61%~80%(中位64%)29%~65%的患者有不同程度的細胞遺傳學緩解現已成為CML的首選治療藥物。
儘管迄今關於干擾素(IFN)治療CML取得了一些共識:①天然干擾素與重組人干擾素治療CML療效相似;②持續用藥比間歇用藥好大劑量比小劑量療效好,初治病例的血液學完全緩解明顯比復治者高加速期的療效比慢性期差;③肌內注射或皮下注射比靜脈注射好但仍存在諸多問題尚待解決:A. 干擾素(IFN)是否可以延長CML患者生存期:最近發表的干擾素(IFN)治療CML的大系列隨機對照研究結果不一致義大利協作組和英國MCR的結果顯示干擾素(IFN)治療組較羥基脲(HU)(或白消安(BUS))治療組生存期明顯延長二者有顯著性差異而德國CML研究組的結果則發現二者生存期並無區別(表2);B. 干擾素(IFN)的最適劑量和用藥時間:至今尚無一致意見但一般為干擾素(IFN)的起始劑量應為5MU/(m2·d),2~3周后劑量增至9~12MU/d,或達到獲顯著血液學療效[即WBC計數(2~4)×109/L血小板計數接近50×109/L]的最大耐受量及患者出現毒性症狀需要減少劑量可望獲細胞遺傳學緩解的最短時間為6 個月一般用至病情進展或出現不可耐受的藥物毒性;C. 干擾素(IFN)種類與療效的關係:現一般認為各種不同種類的干擾素a臨床療效無差別,干擾素γ療效不清,干擾素α聯合干擾素γ不能提高療效;D. 干擾素(IFN)聯合其他化療藥物如羥基脲小劑量阿糖胞苷20mg/(m2·d)×10天已有Ⅱ期臨床觀察表明療效優於單用IFN。
干擾素(IFN)治療CML的早期常見副反應有發熱畏寒、流感樣症狀頭痛等持續約幾天至2個月;晚期可有持續乏力、食慾下降體重下降少數病例可有貧血血小板減少、肝腎功能損害、禿髮有時有骨骼肌肉疼痛及甲狀腺功能低下、憂鬱等嚴重者可有心絞痛、注意力不集中記憶力減退及昏睡等神經系統毒性表現劑量減少時以上症狀可減輕或消失給予小劑量解熱鎮痛藥如對乙醯氨基酚(撲熱息痛)等可解除上述副作用。
4. 伊馬替尼(ST1571、格列衛) 1998年6月伊馬替尼(STl57l)(亦稱CGP57148或Gleevec)開始Ⅰ期臨床試驗共83例干擾素治療失敗的慢性期CML患者,按25~1000mg/d共分14個劑量組接受了治療,結果證實獲最大臨床療效的最低劑量為300mg/d54例接受300mg/d或以上劑量的患者中53例(98%)獲完全血液學緩解31%的患者獲顯著細胞遺傳學緩解。受此結果鼓舞,58例慢粒急變或Ph+急性白血病患者接受了治療劑量為300~1000mg/d55%(21/38例)的CML急粒變和70%(14/20例)的Ph+ALL患者獲血液學療效其後454例CP CML、181例AP CML和229例CML急粒變患者進入了Ⅱ期臨床試驗完全血液學緩解率分別為91%、69%和29%顯著細胞遺傳學緩解率分別為55%24%和16%2001年5月10日該藥獲美國FDA批准上市現正在全球範圍進行Ⅲ期臨床試驗
伊馬替尼(ST1571)的作用機制是抑制BCR-ABL融合基因的酪氨酸激酶活性。迄今伊馬替尼(STl571)的最適臨床使用劑量尚不十分明確CP CML的推薦起始劑量為400mg/d加速期(急變期)推薦起始劑量為600mg/d,無效患者可增量至800mg/d由於伊馬替尼(STl571)的半衰期為14~16 h,因此1次/d給藥即可。主要副作用有骨髓抑制、噁心肌肉痙攣骨骼疼痛、關節痛皮疹腹瀉、水腫體液瀦留和肝功能受損等。
5.聯合化療 採用阿糖胞苷、蒽環類藥物硫鳥嘌呤(6-TG)環磷醯胺門冬醯胺酶、巰嘌呤(6-MP)、依託泊苷(VP-16)和白消安(馬里蘭)等藥物組成不同的聯合強烈化療方案治療CML,Ph染色體減少率高於常規單藥治療。但絕大部分研究表明並不能明顯延長生存期(表3)。最近人們又採用聯合化療加干擾素a療法試圖提高生存率和細胞遺傳學緩解率但迄今結果並不理想。
慢性髓細胞白血病——表36.造血幹細胞移植(SCT)
(1)自體幹細胞移植(ASCT):CP CML患者採用ASCT的結果表明,CP期進行淨化幹細胞的ASCT能明顯延長CML的生存期。
近年來,人們採用聯合化療動員Ph-外周血幹細胞干擾素α單獨或聯合羥基脲治療CML等“體內淨化”和長期骨髓細胞培養4-HC和ASTA-Z等藥物、干擾素、反義寡核苷酸等“體外淨化”方法來篩選Ph-外周血幹細胞,儘管使ASCT後Ph轉陰率有所提高,但淨化幹細胞移植患者的生存率並無明顯提高。最近,McGlare等總結分析歐美8個BMT中心報告的ASCT治療CML的效果200例患者中,CP142例,AP30例,BP或第二次慢性期((cp2)28例,中位年齡42歲,診斷至移植的中位時間為15個月123例幹細胞來源於骨髓,73例來源於外周血,有21例骨髓經體外10天培養淨化23例骨髓經干擾素γ淨化,移植後中位隨訪48個月,CP期移植的患者5年生存率為95%±5%AP期為27%±10%,而急變後移植的患者全部於移植後2年半內死亡。預後分析表明:年齡>40歲和診斷至移植的時間過長為不利因素,而幹細胞來源(骨髓或外周血)及“體外淨化”對生存無影響
(2)異體幹細胞移植(Allo-SCT):迄今異體骨髓移植(Allo-BMT)是惟一可以治癒CML的手段CP移植的存活率比在AP或BP好且復發率低。CP、APBP移植後3年存活率分別為55%~70%10%~30%、0~20%,復發率分別為20%50%和75%BMT前接受過BUS治療的患者療效差且3年無病生存率(DFS)為45%,而接受過HU治療者則可為61%IFN-a治療對BMT治療療效無影響各種預處理方案如Cy+TBI、白消安(BUS)+Cy對療效無明顯影響Allo-BMT的主要移植相關死亡原因是GVHD。去T細胞Allo-BMT雖然可以降低GVHD發生率,但復發率則明顯增高,提示移植物抗白血病(GVL)效應是Allo-BMT治療CML顯示療效的重要因素。
儘管Allo-BMT治療CML取得了滿意的效果但僅有20%~25%的患者有HLA匹配的同胞供體。近年來對無關供體的Allo-BMT治療CML的研究已取得了可喜的成績,2年DFS為31%,但其移植失敗率高達16%,Ⅲ和Ⅳ級急性GVHD發生率約為54%,嚴重慢性GVHD亦高達52%。
已有研究表明套用異體外周血幹細胞移植比Allo-BMT、移植後髓系和免疫重建要快二者近期療效相似,遠期療效尚待確定此外,相關的/無關的臍血移植、非骨髓清除性造血幹細胞移植也有初步報導
為了更好地指導臨床選擇合適的患者進行異體外周血和骨髓移植歐洲外周血和骨髓移植組根據3142例患者的資料提出了預後判定積分系統(表4)根據該積分系統積分為0、1、2、3、4、5和6的患者其5年無病生存率分別為72%70%、62%48%、40%18%和22%,移植相關死亡率為20%23%、31%、46%、51%、71%和73%
異基因移植後復發患者的治療包括第2次移植,rIFN-α和供體白細胞輸注(donor Leukocyte infusion,DLI可使約75%患者再獲CR血液學復發患者8年存活率可達60%,細胞遺傳學復發患者8年存活率約80%達細胞遺傳學和分子生物學療效的中位時間為4~6個月,那些細胞遺傳學/血液學復發者移植時為第一次慢性期(CPI)、移植後緩解時間1年以上、移植後無慢性GVHD為嵌合體造血的患者療效較佳
7.急變期的治療 急性髓系細胞變患者可採用原發性AML治療方案但CR率<20%且完全緩解期僅幾周或幾個月25%~35%的急變患者為急淋變或雙表型白血病變儘管採用VDLP方案約60%的患者有效約有1/3患者可返回CP2,但其總生存率亦僅為4~6個月造血幹細胞移植3年DFS可達15%~20%
慢性髓細胞白血病——表48.新的治療方法
(1)“良性”祖細胞篩選和擴增:已有實驗證實在CML患者骨髓CD34+、HLA-DR-組分中可以富集Ph-的造血祖細胞,因此可以據此篩選非白血病性乾/祖細胞,通過體外擴增後用於移植另一種方法是根據“正常”細胞和白血病細胞對細胞因子的不同反應,用幹細胞因子缺陷的基質來進行長期培養有利於“良性”細胞增長等特徵來進行細胞的功能篩選可以預測,隨著富集和擴增方法的不斷改進富集Ph-細胞進行體外擴增後用於移植是今後CML的治療方向之一。
(2)反義寡核苷酸:以BCR/ABL為靶標設計的反義寡核苷酸(amtisense oligonucleotide)可以降低BCR/ABL的轉錄水平和體外培養的CML細胞的增長(可能通過誘導凋亡),現主要用作CML自身幹細胞移植的“淨化”。已有用BCR/ABL和C-MYB反義寡核苷酸體外淨化後骨髓成功植活和獲部分細胞遺傳學緩解的初步報導反義寡核苷酸聯合化療藥物方案現已在SCID小鼠動物實驗證實可顯著延緩白血病的發生。
(3)基因治療:已有用反轉錄病毒載體構建的BCR/ABL反義基因聯合一個甲氨蝶呤(MT)X耐藥基因的所謂“雙基因治療策略”的報導體外實驗結果表明該方法可用於CML自身幹細胞移植體外淨化和移植後化療,以進一步根除微小殘留病。
(4)免疫調節治療:現已有具有免疫源性的P210 BCR/ABL融合片段和結合主要組織相容性工類抗原等位基因複合物多肽的報導亦已建立識別BCR/ABL表達細胞的肽特異性CD4+ T細胞系體外實驗證實利用肽特異性CD4+ T細胞可以使P210 b3a2產物降解。這些結果提示可以用人T細胞介導的腫瘤相關抗原的識別來進行CML的治療。此外,有治療潛能的還有白介素-2激活NK細胞和細胞毒T細胞CML患者自身NK細胞能抑制CML祖細胞生長,因此可利用自身激活的NK細胞經體外擴增後用於自身幹細胞移植淨化和CML免疫治療。最近,又有實驗發現CML患者骨髓體外培養獲得的樹狀突細胞能刺激自身細胞並具有抗增殖作用,而抗正常骨髓活性極低提示該方法可用於CML的過繼免疫治療。
9.治療策略的選擇 隨著CML治療方法的不斷增多如何根據病人具體情況制訂出一個最佳的個體化治療方案已成為每位血液學工作者面臨的一個問題,已提出了幾個CML治療選擇模式;最近美國血液學會組織全世界CML專家詳盡分析了迄今發表的CML治療較有價值的文獻資料提出一個CML治療指南:①首先根據患者年齡、身體狀況,是否有相關的或無關的骨髓供體決定是否進行幹細胞移植;②如果選擇非移植治療方案則應作出一個詳盡的給藥方案,如,用rIFN-a必須對其劑量、療程是否聯用羥基脲或阿糖胞苷作出決定;③應制定一個系統計畫來觀察細胞遺傳學療效程度和起效時間及分子生物學療效;④一旦明確了診斷和治療意見,作出涉及治療療效和病人意願的改動時必須經過審查。
預後預防
預後: 尚無可靠的預測方法但是大量研究證實:年齡、脾臟大小、血小板計數外周血或骨髓中原始細胞比例嗜鹼性粒細胞比例均為影響預後的因素1984年Sokal提出一個預測危險比率(risk ratio,RR)的公式以年齡(年)、脾(肋中線下cm)血小板數(109/L)及血中原粒細胞數(%)為變數公式如下:
RR={0.0116(年齡-43.4)+0.0345(脾-7.51)+0.188[(血小板數/700)2-O.563]+0.087(原粒-2.10)}
RR<0.8為低危RR<0.8~1.2為中危RR>1.2為高危。有資料表明低危組中位存活期為60個月中危組為46個月,高危組32個月但是對於接受IFN治療的患者,此公式的判斷結果不肯定,而對IFN治療的反應則是影響預後的重要因素。
預防: 避免或減少有害物質如放射性物質化學物質化學藥物的接觸。
