心臟粘液瘤疾病概述
心臟粘液瘤心臟粘液瘤是臨床上最常見的心臟原發性腫瘤,多屬良性,惡性者少見。粘液瘤可發生於所有心臟的心內膜面,95%發生於心房,約75%位於左心房,20%位於右心房,左、右心室各占2.5%。左心房粘液腫瘤常發生於卵園窩附近,臨床上常因瘤體堵塞二尖瓣口,導致二尖瓣口狹窄或關閉不全,粘液瘤可發生於任一年齡,但最常見於中年,以女性多見。
病因病理
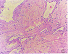
心臟粘液瘤腫瘤大小不一,多有蒂與心房或心室壁相連,外形多樣,外觀富有光澤,呈半透明膠凍狀。切面呈實質性,間有斑片狀出血區及充滿凝血塊的小囊腔。顯微鏡下可見腫瘤細胞呈星芒狀、梭形、圓形或不規則形,散在或呈閉索狀分布於大量粘液樣基質中,胞核多為單核也可呈多核瘤巨細胞。粘液肉瘤瘤細胞形態不一,胞核大,染色深,可見核分裂,瘤細胞可浸潤至小血管內形成瘤栓。
疾病分類
心臟粘液瘤國內外隨著病例數增加,資料積累以及檢查研究手段進展,對心臟粘液瘤的認識已逐漸深化,不能簡單地認為只是一種良性腫瘤。綜合文獻,可將心臟粘液瘤分為兩大類。
1.單純的或散發的心臟粘液瘤 這類粘液瘤占病例的絕大多數,多為單發,並多在典型部位(左心房內房間隔卵圓窩對應部位)生長,或多發(約占病例20%~40%)。患者身體無其他部位的粘液性病變,可於一次常規擇期手術切除後不再發生,心臟及身體各部可完全恢復正常或基本正常。
2.複雜的心臟粘液瘤 包含3個方面:粘液瘤綜合征、家族性粘液瘤、多中心發生的心臟粘液瘤。在這3方面又多有交叉重疊,患者多較年青,心內粘液瘤多不在典型部位生長,臨床表現多較複雜,病勢常較兇猛。
臨床表現
心臟粘液瘤本病的臨床表現取決於腫瘤的部位、大小、性質及蒂的有無和長短。瘤體大蒂長者易致房室瓣口狹窄或關閉不全,發生血流動力學的改變,出現一系列的症狀,瘤體小蒂短者,可長期無症狀。
1.血液回流障礙症狀:心悸、氣短、端坐呼吸、暈厥、心臟雜音(舒張期或收縮期、雙期)隨體位改變而變化。左心房粘液瘤如梗阻肺靜脈或二尖瓣口可產生酷似二尖瓣病變的肺瘀血症狀;陣發性夜間呼吸困難、咯血絲痰,重者可有頸靜脈怒張,肝腫大及下肢浮腫。右房粘液瘤如梗阻腔靜脈、三尖瓣口可出現與心包積液相似的症狀;頸靜脈怒張,肝腫大及水腫。本病的梗阻症狀有隨體位變動而發作的特點,如有與體位相關的發作性眩暈及呼吸困難,腫瘤突然堵塞房室瓣口引起心搏量顯著降低,可發生突然昏厥或心臟驟停。
2.腦動脈或肺動脈栓塞症狀:偏癱、昏迷、失語等;肺動脈栓塞可發生休克、呼吸困難、胸痛、咯血等。粘液瘤碎片或瘤體表面血栓脫落可發生體、肺循環的栓塞。左房粘液瘤約有40%發生栓塞,右房粘液瘤者栓塞少見。
3.全身症狀:發燒、消瘦、乏力、貧血、關節酸痛、血沉增快等。體重減輕及血清α2、β球蛋白異常增高,此可能與腫瘤內有出血壞死及炎症細胞浸潤有關。
臨床體徵
心臟粘液瘤1.心音的改變
左房粘液瘤時可出現:①心尖部第一心音亢進。②肺動脈瓣第二心音亢進且分裂。③胸骨左緣下段可聽到舒張早期心音一撲落音,可傳導至心尖部和心底部,為瘤體被推向左室後突然停止。心室壁或瘤蒂振動所產生。此外,心前區可聽到第四心音。
2.心臟雜音
瘤體梗阻二尖瓣、三尖瓣口可形成二尖瓣、三尖瓣狹窄,當瘤體進入心室腔可出現房室瓣的關閉不全。關閉不全可能是腫瘤干擾瓣膜關閉的結果,也可能由於腫瘤反覆與瓣膜接觸,在瓣膜上形成瘢痕以致類似慢性風濕性瓣膜炎或甚至引起腱索斷裂,因而在左房粘液瘤,心尖部可聽到舒張期隆隆樣雜音,左側臥位時增強,右側臥位時減弱,有時可聽到隨體位改變的收縮期雜音(二尖瓣返流)。右房粘液瘤時,可在胸骨左緣3-4肋間聽到收縮-舒張摩擦樣來回性雜音。左室粘液瘤可在心底部聞及3級噴射性收縮期雜音向頸部傳導,而右室粘液瘤則在胸骨左緣第2-3肋間有2-3級收縮期雜音。
化驗檢查
心臟粘液瘤1.化驗貧血、血沉塊、血清蛋白電泳α2及β球蛋白增高。
2.心電圖可有心房、心室增大,Ⅰ-Ⅱ度房室傳導阻滯,不完全右束支傳導阻滯的心電圖改變。也可有心房顫動發生。病情較重者可有ST-T的改變。
3.X線左房粘液瘤者有肺瘀血、肺動脈段突出,左房、右室擴大,右房粘液瘤者顯示上腔靜脈陰影增寬,右房、右室擴大。
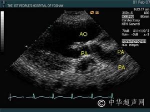
4.超聲心動圖左房粘液瘤在左心腔內見到異常的點片狀反射光團,活動於左房、左室之間,收縮期回到左房腔,舒張期達二尖瓣口進入左室,二尖瓣前葉EF斜率減低,左房增大。右房粘液瘤異常反射光團在右心腔內,收縮期在右房,舒張期隨三尖瓣向右室方向移動或通過三尖瓣口進入右室腔。右房、右室增大。
5.心血管造影選擇性肺動脈造影電影或連續攝片,可顯現左房內占位性充盈缺損陰影,間接證實心房內腫瘤,右房粘液瘤一般作腔靜脈或右房造影,也可顯現右房內占位性充盈缺損陰影。
診斷依據
心臟粘液瘤1.心悸、氣短、偏癱、心臟雜音有時隨體位變化等。
2.X線胸片顯示左心房、右心室擴大,肺鬱血;胸透如瘤體有鈣化,鈣化影隨心臟跳動。
3.超聲心動圖檢查顯示瘤體隨心臟收縮和舒張活動。心血管造影顯示心腔內占位性病變,但有一定的假陽性、自有超聲心動圖,心血管造影較少套用。
診斷鑑別
心臟粘液瘤左房粘液瘤應注意和二尖瓣狹窄相鑑別。二尖瓣狹窄者常有較響的開瓣音,很少有第四心音,雜音不隨體位而變化,無撲落音,對可疑者如能進行超聲心動圖檢查可以鑑別。左房內球形血栓亦易與左房粘液瘤相混淆,在超聲心動圖中可見左房血栓大多出現於左房後壁,它的異常反射光團缺乏隨心動周期迅速移動的特徵,左房血栓常伴發於二尖瓣狹窄,因而也可見二尖瓣活動異常的反射圖形。右房粘液瘤應注意與縮窄性心包炎,三尖瓣狹窄,肺動脈瓣狹窄相鑑別,胸骨左緣第3、第4肋間收縮舒張摩擦樣來回雜音,症狀、雜音與體位改變的相關等有鑑別診斷價值。
治療原則
心臟粘液瘤1.嚴格臥床休息;
2.心功能不全者,強心、利尿改善心功能,儘早或急診低溫體外回流手術摘除心腔內腫瘤;
3.術中未阻斷主動脈前,避免搬動心臟和心內、外探查;
4.瘤蒂處房間隔或心房壁、心內膜、心肌應徹底切除;心臟瓣膜受侵不能修復則行瓣膜替換術;瓣環擴大致關閉不全行瓣環縫縮術;房間隔切除範圍較大者補片修復。
5.心臟切口宜大,便於腫瘤完整摘除;
手術時機
心臟粘液瘤心臟粘液瘤一經確診,必須積極對待,應無例外儘早作好手術切除安排。由於心臟粘液瘤患者經常受動脈栓塞及(或)猝死威脅,必須爭取時間予以解除。
1.單純心臟粘液瘤患者若無全身反應,可作常規擇期手術對待,但須最優先安排,不得延誤。
2.全身反應嚴重、病情發展快且有兇險徵象者,排除非粘液瘤因素後,應作急症手術安排。
3.反覆發作動脈栓塞有死亡威脅者,應作急症手術安排。
4.長期發熱,大量抗生素治療一段時間無效,而又不能排除高熱系由粘液瘤本身引起者,應在繼續套用抗生素同時,急行手術,不要拖延。
5.有慢性心衰表現,身體衰弱,夜間不能平臥、端坐呼吸、肝大、腹水、下肢浮腫病例,應在查明無其它因素,積極控制心衰,待病情平穩後安排手術治療。
手術禁忌
心臟粘液瘤心臟粘液瘤本身並無手術禁忌,但有下列情況之一者,不宜單獨作粘液瘤手術切除。
1.惡病體質,由心臟粘液瘤以外的惡性腫瘤所引起,而後者又不宜同期手術切除者。
3.新髒粘液瘤末期病例、瀕於死亡狀態,不堪承受體外循環心內直視手術負擔者(須待搶救病情趨穩後)。
4.體內尚有嚴重化膿性感染病灶未能加以清除控制者。
5.並存複雜先天性心血管畸形和(或)肺部器質性高壓病變無法用常規手術方法予以矯治者(應考慮心臟移植或心肺移植)。輕度心衰(心率快)、貧血、血沉快、高熱如非別的因素引起,而繫心髒粘液瘤本身所致者,並非粘液瘤切除的手術禁忌。已有的動脈栓塞及其後遺症、合併存在心內膜炎也非心臟粘液瘤的手術禁忌。
手術要點
心臟粘液瘤1.運送患者至手術室直至麻醉擺動放體位的全過程中,切須避免過多急劇翻動患者身體。
2.麻醉宜按重症患者對待,注意肝素耐藥問題,體外循環中,動靜脈端均須安放微孔(40µ)濾器以防止微小瘤栓進入體內。術野充分由外部吸引器吸走時,應注意氧合器液平面,必要時應及時補充。
3.防止瘤栓形成。整個手術過程中,時刻警惕瘤體碎片脫落,形成瘤栓。例如:①正中切口劈鋸胸骨時,避免劇烈震動;②阻斷循環前,切忌搬動、摸捏心臟,也不做手指心內探查;③術中操作輕柔;④腫瘤切除後徹底沖洗吸淨心腔;⑤心肺機動脈端與靜脈端分別安裝微孔濾器。
4.選擇合適心臟切口,充分顯露腫瘤(蒂)。不同心腔的粘液瘤或瘤體特大者,或位置特殊的瘤體(蒂),或多發粘液瘤,要採用不同的心臟切口,夠大的切口,以充分顯露瘤體、瘤蒂。
5.徹底切除,完整取瘤。連同部分正常心肌一併切除,完整取出腫瘤,不留殘跡。
7.糾正血液異常。心臟粘液瘤多有血液異常(貧血、酸鹼失調、電解質紊亂、肝素耐藥等),術中應予調整,使達到或接近正常狀態,使術後能平穩渡過。
術後處理
心臟粘液瘤低心排血量綜合徵的處理也同於其它心臟術後,即須補足血容量,用藥物強心、利尿、調整血壓,必要時宜早行主動脈內球囊反搏或左、右心輔助循環。心律失常則須糾正電解質紊亂,使用合適抗心律失常藥物,安裝臨時或永久心臟搏起器。
用藥原則
心臟粘液瘤2.術後用青黴素、丁胺卡那霉素預防感染或抗感染治療,如無效可據病情用頭孢類抗生素。
3.術後據病情用升壓藥或擴血管藥。
4.術後用強心利尿藥。
5.術後據病情靜滴GIK液。
療效評價
心臟粘液瘤2.好轉:症狀減輕,仍心悸。
3.未愈:症狀無改善。
患者有不明原因的突發性心悸、氣短,且日漸加重,尤其是隨體位改變症狀加重或減輕者,應高度懷疑本症,及時做超聲心動圖檢查,一旦確診,應在體外回流心內直視手術下切除腫瘤,預後良好。
預防保健
一、心臟粘液瘤的日常預防
1、對心臟黏液瘤的發生機制尚不十分清楚家族性黏液瘤的患者被認為是一種常染色體顯形遺傳性疾病,目前尚無特效的預防方法但提高對本病的認識,早期診斷、早期治療是改變本病預後的關鍵
2、心臟黏液瘤一旦確診應儘早安排手術治療,因為手術是本病惟一有效的治療方法在確診到手術之前這段時間內患者應儘量減少活動以防瘤體嵌頓而致猝死。
3、為進一步改善預後,對心臟黏液瘤患者出院指導就特別重要要提高自我判斷病情的能力確保按時定期隨診力爭早發現術後復發的病例應讓每位患者樹立這一觀念:這種定期術後隨診對改善預後大有益處,應長期堅持。
二、心臟粘液瘤的飲食預防
1、在飲食上多吃蔬菜,水果等。
2、適當的加強身體上的運動,養成良好的運動習慣。
3、拒絕不良的個人嗜好等。
三、心臟粘液瘤保健預防
1、對心臟粘液瘤的發生機制尚不十分清楚,家族性粘液瘤的患者被認為是一種常染色體顯形遺傳性疾病,目前尚無特效的預防方法。但提高對本病的認識,早期診斷、早期治療是改變本病預後的關鍵。
2、心臟粘液瘤患者一旦確診應儘早安排手術治療,因為手術是本病惟一有效的治療方法。在確診到手術之前這段時間內,患者應儘量減少活動,以防瘤體嵌頓而致猝死。
3、為進一步改善預後,對心臟粘液瘤患者出院指導就特別重要。要提高自我判斷病情的能力,確保按時定期隨診,力爭早發現術後復發的病例。應讓每位患者樹立這一觀念:這種定期術後隨診對改善預後大有益處,應長期堅持。
四、心臟粘液瘤的復發預防
1、術中切除要徹底粘液瘤手術瘤體切除要徹底,力爭完整取出,發現破損應徹底沖洗心腔,並吸附所有的殘存碎片。
2、術中操作要輕柔,避免心外擠壓,不做心內探查。
3、為防止復發,必須切除瘤蒂附著處(通常位於房間隔卵圓窩區或心房壁)部分房間隔或房壁組織,然後行補片重建術,才能達到根治的目的。
預防復發
1、術中切除要徹底粘液瘤手術瘤體切除要徹底,力爭完整取出,發現破損應徹底沖洗心腔,並吸附所有的殘存碎片。
2、術中操作要輕柔,避免心外擠壓,不做心內探查。
3、為防止復發,必須切除瘤蒂附著處(通常位於房間隔卵圓窩區或心房壁)部分房間隔或房壁組織,然後行補片重建術,才能達到根治的目的。
