《呼吸系統疾病的X線診斷》基本信息
X線診斷ISRC:7887204674
作者:浙江大學醫學院
出版社:人民衛生出版社
出版單位:浙江大學醫學院
出版日期:2003年
片長:83分鐘
語種:中文
載體:VCD
類別:醫學光碟
內容簡介
支氣管擴張另外,需要引起注意:小兒胸部X線檢查所見,隨呼吸相而不同,胸部各器官和組織形態均隨呼吸相而產生相應的變化。在呼氣相,膈肌上升,肺血管充血,縱隔增寬遮蓋肺臟,使肺野面積大為縮小。因此,拍胸片時,應有合適程度的吸氣,以免與其他疾病混淆。並儘可能採用坐或站立後前位,這樣能使膈肌下降,縱隔投照放大率較小。
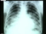
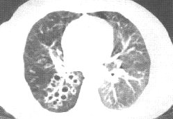
在X線胸片上,看到顏色深的部分是正常的肺組織。當肺部發炎實變時,在這中間可以見到模糊的淺顏色片狀部分,就是肺炎的病變部位,病變的範圍不同,病情也不同。有些致病力強的細菌還可以引起肺部膿腫,即在片狀陰影中間出現一個或幾個空洞。當發生支氣管炎時,因為間質組織富於血管,以致支氣管周圍的間質組織常被侵犯,在X線片上表現為肺紋理增多、粗厚且邊緣模糊。總之,X線胸部檢查,可以使人們直接了解患兒肺部的病變情況,並可以通過追蹤檢查來了解疾病的發展和變化。
相關詞條
參考文獻
1、http://bj.sina.com.cn/art/2005-09-23/095284358.shtml
2、http://www.pmph.com/product/videoDetail.aspx?articleId=14265&columnId=261
