簡介
雞胸疾病分類
發病部位:肋骨其他骨就診科室:心胸外科外科
臨床症狀:胸骨突出,形如雞胸的先天胸廓畸形表現
病原學
雞胸畸形一般認為與漏斗胸畸形一樣與遺傳有關,多數人認為是肋骨和肋軟骨過度生長造成的,胸骨的畸形是繼發於肋骨畸形的。一部分人認為與膈肌附著部發育異常有關,膈肌的前部發育不全,不是附著在劍突及肋弓上,而是附著在腹直肌鞘的後而深呼氣肋弓上,而是附著在腹直肌鞘的後面,深吸氣時,腹直肌上部向內牽拉,過度生長的膈肌外側部的肌肉收縮,使郝氏溝加深,而胸骨下部因無膈肌支持而前移,致形成雞胸畸形。另一部分人認為雞胸畸形與反覆慢性呼吸道感染有關,長期慢性呼吸道感染使肺組織順應性減低,呼吸功能減弱,為滿足呼吸需要,膈肌運動加強,牽拉郝氏溝內陷,逐漸形成雞胸畸形。
雞胸臨床症狀
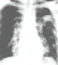
X線胸片多數雞胸不像漏斗胸那樣在出生後即能發現,往往在五、六歲以後才逐漸被注意到。一般雞胸很少發生壓迫心肺的症狀,重症雞胸常出現反覆上呼吸道感染及支氣管喘息,活動耐力較差,易疲勞。更主要的是患者因畸形而在精神上有極大的負擔。
臨床上根據胸骨不同的形態,可將雞胸分為三種類型:
船形胸
主要為胸骨伸長、向前凸起、雙側下份肋軟骨下陷,狀若船的龍骨,嚴重者使胸腔容量減小。側位X線片上見肋骨與胸骨分離,胸骨後間隙延長。
球形鴿胸
球形鴿胸的特徵為胸骨柄、胸骨體連線處與相鄰肋軟骨的隆起,若有胸骨角(louisangle)的減小,則會造成胸骨體下2ö3的下陷,使第2至第5肋軟骨在胸骨旁隆起。球形鴿胸常伴有胸骨骨化線,特別是胸骨柄、胸骨體連線處的早期骨化,在患兒3歲、甚至3歲以前即可看到。而在一般情況下,99%的人不管年齡如何,其胸骨柄、胸骨體連線處是開放的[5]。胸骨柄與體連線處的骨化和胸骨角的隆起,稱為“胸骨成角性骨連線”(angulatedsynostosisofthesternum)。
單側雞胸
單側雞胸也稱非對稱性雞胸,以胸壁的一側突出為特點,有時可伴有對側的下陷。肋軟骨畸形在此型中起重要作用,胸骨位置異常不明顯。
診斷檢查
(1)X線:胸部X線顯示胸骨下部和相鄰肋軟骨明顯下陷,脊柱與胸骨間距增加。脊柱X線觀察脊柱有無側彎等。
(2)CT掃描:用CT掃描能更準確的評價雞胸的突起程度、對稱性、心、肺影響的情況和合併其他問題。如合併肺囊性腺瘤樣畸形、隔離肺、膈膨升等。
(3)心電圖:偶見竇性心律不齊,不完全右束支傳導阻滯。
(4)心、肺功能檢查:極嚴重者心肺功能下降。
(5)血生化:部分患者有輕度貧血和血清鹼性磷酸酶增高。
治療措施
雞胸1.上、下帶血管蒂胸骨翻轉術同漏斗胸手術方法。
2.無蒂胸骨翻轉術方法亦基本同漏斗胸手術方法,只是雞胸的肋骨及肋軟骨較長,雞胸的第3、4肋骨及肋軟骨最長,而第5肋比較短,手術中應特別注意。
3.胸肋沉降術胸前正中或橫切口,分離兩側胸大肌,顯露畸形的胸肌及兩側肋軟骨,在腹直肌附著點切斷腹直肌,將其翻向下方,切開肋骨骨膜,將畸形範圍內受累的各肋軟骨過長的部分切除,並將過長的骨膜縱向縫縮,如果胸肌畸形嚴重也需作橫斷楔形截骨,使胸骨變平,然後用鋼絲固定,拉攏縫合胸大肌並將腹直肌縫合胸骨前面。手術的效果非常滿意。
手術糾正雞胸畸形時,要注意原來突出的胸骨手術後會不會壓迫心臟,因此術前要仔細研究胸片及CT片,如果胸骨與心臟之間沒有肺組織,術後就可能發生胸骨壓迫心臟,手術時要適當抬高胸骨位置。
輕度雞胸矯正
通過看孩子的身高和體重情況,說明他的總體發育狀況良好。
孩子有輕度雞胸是一種常見現象,因為在快速發育期,孩子對各種營養物質的需求量較大。當日照時間短,維生素D或鈣劑攝入不足時,就會出現雞胸、肋外翻,嚴重時還可能造成頭骨及四肢骨骼變形。
只是輕度雞胸,並非無法矯正。今後可適當讓孩子多在陽光下活動,根據微量元素化驗的結果,適量補充些鈣製劑或平時多喝牛奶、多吃蝦皮等含鈣高的食物。更重要的是要讓孩子進行適度體育訓練,每天教孩子做展臂、擴胸動作,到空氣新鮮的戶外做深呼吸,晚上臨睡前給孩子做胸部按摩等。通過一段時間的矯正,孩子的雞胸會逐漸好轉。
鑑別檢查
臨床上有時需對雞胸和漏斗胸進行鑑別:
雞胸與漏斗胸相反,胸骨向前方突起,一般有兩種類型,第一種是普通的、具有龍骨狀突起的胸廓,即胸骨下部向前移奉送較上部明顯。常是劍突附著部突出最明顯,胸肌的縱部面呈弓形,兩側的4至8肋軟骨呈與胸骨平行的深凹陷溝狀,使突出的部分更加明顯,就像是一隻巨手將胸骨抓起而將兩側肋軟骨壓癟了一樣。另一種雞胸比較少見,胸骨柄、胸骨體上部及上胸部的肋軟骨向前上方突出,而胸骨體中部向後彎曲,胸肌下部又突向向前方,胸骨的矢狀面呈“Z”字形,兩側肋軟骨也向內凹陷,因此有人將此類畸形也稱為漏斗胸。
雞胸和漏斗胸一樣可以是某些疾病的表現之一。如馬凡氏綜合徵、神經纖維瘤病、粘多糖病及一些骨骼發育障礙的疾病。要引起外科醫生的注意。同時雞胸也可合併其他先天性疾患,如先天性脊柱側彎、先天性心臟病、先天肺囊性病、先天膈疝等。手術前也要注意這些疾病的診斷。
預防措施
穀類2.初生寶寶應儘量採用母乳餵養,因為母乳中維生素D及其他營養易於吸收。4個月的寶寶開始添加輔食時,不要以谷類食品為主,否則會影響膳食中鈣鹽的吸收。應逐步添加蛋、肝等含維生素D多的食品。
3.曬太陽是預防佝僂病最方便經濟、最安全有效的方法。小嬰兒過了滿月後,可逐步增加日曬時間。在正常天氣下,每日曬太陽2小時左右就可以滿足維生素D的需要。夏季避免陽光直曬,可在樹蔭下玩耍。曬太陽時不要隔著玻璃、戴著帽子或口罩,否則達不到抗佝僂病的目的。
4.按時服藥也是必不可少的預防措施。寶寶出生半個月應在醫生指導下服用維生素D和鈣劑,並定期到保健單位進行健康查體。
併發症
在本病的患者中,輕型的雞可無併發症或無臨床症狀,嚴重者可因變形的胸骨使胸廓改變,擠壓心肺,使心肺功能受到嚴重影響,從而產生相應的臨床症狀,且多伴有合併症。如合併Marfan綜合徵和神經纖維瘤病等,在重症雞胸患者中還常出現反覆上呼吸道感染及支氣管喘息等呼吸系統的併發症。
相關病例
打鼾導致兒童“雞胸”
小孩打鼾不是什麼新鮮事,可是打鼾卻導致了“雞胸”,這會讓人吃驚。近日,武漢一名13歲的孩子終於解決了,可之前醫生卻一直當是缺鈣來治療。
“打鼾導致佝僂病是有可能,而在門診中更多見是打鼾導致患者胸廓變形”。北京朝陽醫院呼吸科主任郭兮恆告訴記者,這是因為睡覺時打鼾讓呼吸道狹窄,呼吸阻力增加,因此就會用力吸氣,使勁牽拉胸廓。此時孩子正處於生長發育期,骨骼比較軟,長期這樣容易導致胸廓變形。此外,打鼾還會引起一系列的問題,比如長期睡眠質量差還會導致身材瘦小,夜間缺氧導致中樞神經系統發育不良,從而表現出注意力不集中,坐不住,記憶力差。
打鼾的原因一是先天性扁桃體肥大;二是呼吸道感染所致。前者無法預防,後者就是要避免呼吸道感染嚴重。手術是治療打鼾最好的辦法。在過去,人們覺得年齡在五六歲時才能做。其實,手術治療越早越好,二三歲時也能做,但往往家長會不太注意,以為打鼾、憋氣只是偶爾發生。因此,建議家長如果發現孩子打鼾症狀持續半年左右就要及時到醫院就診,經過睡眠檢測身體檢查後採取手術治療。
小兒缺鈣可引起雞胸
嬰幼兒因為生長速度快而對鈣的需要量大,同時戶外活動又較少,很容易發生鈣的缺乏。小兒發生缺鈣可引起佝僂病。
佝僂病小孩一般多有喜哭吵、愛出汗、抵抗力下降而易發生上呼吸道感染,還可出現顱骨軟化、方顱、出牙延遲、前囟閉合延遲、雞胸、X形腿和O形腿等,治癒後還可遺留不同程度的骨骼畸形。
所以,家長們應給小兒正確補鈣。
當寶寶還在肚子裡的時候,媽媽就應該多參加戶外活動,多吃富含鈣磷以及維生素D的食物,在懷孕晚期,可適量補充維生素D。這樣寶寶在胎兒期就儲存了充足的維生素D,可滿足出生後一段時間生長發育的需要。預防兒童缺鈣的關鍵在於,日光浴和適量維生素D的補充。2至3周的嬰兒就可以進行戶外活動了,冬季也要保證寶寶每天1至2小時的戶外活動。
夏季戶外活動增多時,可以停服或減少維生素D的量。2歲後隨著戶外活動時間的增加,一般不再需要補充維生素D,日常飲食中應注意食用含鈣較多的食品,如牛奶、豆製品、蛋類和蝦皮、雞肉、肝臟、花生等。
當然補鈣和維生素D不可過量,否則可發生高鈣血症和維生素D中毒,還可引起腎結石,嚴重的中毒可以導致患兒死亡。

