萊姆萊姆病是由伯氏疏螺鏇體引起的一種蜱媒螺鏇體病。此病是一種多系統受損害的綜合徵,除了出現皮膚慢性遊走紅斑(ECM)、心臟損害、關節炎症外,還可以出現複雜的神經系統症狀。萊姆病是蜱咬性伯氏疏螺鏇體多系統感染引起的自己疫源性疾病,侵犯皮膚、神經系統、心臟和關節等。預防包括遠離蜱感染區、使用驅蟲劑和在疫區穿防護服。Lyme病疫苗效果仍有爭議,12歲以下兒童禁用。
概述
神經萊姆病萊姆病是由伯氏疏螺鏇體引起的一種蜱媒螺鏇體病。此病是一種多系統受損害的綜合徵,除了出現皮膚慢性遊走紅斑(ECM)、心臟損害、關節炎症外,還可以出現複雜的神經系統症狀。
其神經系統損害的發病機制目前傾向於免疫學說和血管源性學說。臨床一般分三期:一期是於蜱咬後出現特徵性、皮膚慢性遊走性紅斑;二期為心臟與神經系統症狀;三期為關節炎症。
萊姆病的神經系統損害表現:伯氏疏螺鏇體具有高度嗜神經性。
(1)在萊姆病的第一期,出現皮膚紅斑時,病原體可能已侵犯到中樞神經系統。
(2)萊姆病第二期,神經系統損害表現為腦膜炎、顱神經炎、神經根炎與末梢神經炎。
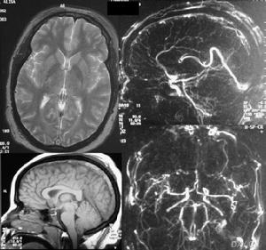
輔助檢查:血常規、血細菌培養、血沉、血清GOT、GPT、LDH。急性期從血液、腦脊液、關節液和皮膚病灶中,可查到病原螺鏇體,腦脊液中淋巴細胞輕至中度增高,蛋白正常或輕中度增多。免疫血清反應在診斷中有重要意義。頭顱CT和MRI。
描述
萊姆病是蜱咬性伯氏疏螺鏇體多系統感染引起的自己疫源性疾病,侵犯皮膚、神經系統、心臟和關節等。1975天在美國康涅敵狄格州Lyme鎮發現本病並命名,歐洲多數國家、俄羅斯、日本、歐洲和非洲均發現本病,我國自1985年首次報導,流行病學調查和病原學證實23個省(市)存在Lyme病自然疫源地。神經萊姆病是伯氏疏螺鏇體導致神經系統感染。
體徵
神經萊姆病本病多發生在夏季,病程分三期:
Ⅰ期是蜱叮咬後2-32天,除慢性遊走性紅斑,可有頭痛、肌痛、頸強直及罕見的面神經癱瘓,ECM常在3-4周后消失。
Ⅱ期自發生股部、腹股溝或腋窩ECM後數周,出現無菌性腦膜炎或腦膜腦炎,表現腦膜刺激征如頭痛、頸強,常同時或線頭出現雙側面神經麻痹,以及畏光、眼球活動疼痛、疲勞、易怒、情緒不穩、記憶和睡眠障礙、關節或肌肉疼痛、食慾下降和咽痛等;常累及周圍神經、單個或多數神經根,出現劇烈根痛或肢體無力;CSF淋巴細胞增多。可出現心臟傳導障礙、心肌炎、心包炎、心臟擴大或心功能不全等。
Ⅲ期常見於原發感染後數月,特徵是出現慢性關節炎,常見於HLA-DR2陽性病人。少數病例可見慢性腦脊髓病,如記憶和認知障礙、視神經和括約肌功能異常等。
病因病理
病原體Borreliaburgdorferi通過蜱咬蟲媒傳遞,感染人和動物,但感染蜱咬後不一定發病。
蜱叮咬後伯氏疏螺鏇體侵入皮膚病在局部孵育播散,形成慢性遊走性紅斑,受損皮膚科培養出螺鏇體(I期)。數日至數周螺鏇體經淋巴管進入淋巴結或經血液播散到各器官,形成循環免疫複合物導致血管損傷,引起心肌、視網膜、肌肉、骨骼、滑膜、脾、肝、腦膜和大腦病變,病理可見腦血管周圍淋巴細胞、漿細胞侵潤及內膜增厚,可查到螺鏇體(Ⅱ期);約10%患者變為嚴重慢性病變(Ⅲ期)時治療以效果不佳。
周圍損傷
周圍神經包括脊神經、顱神經及植物神經的周圍部分。周圍神經發自腦幹神經與脊髓的運動細胞、感覺神經節細胞以及植物神經低級中樞。萊姆病(LymediseaseLD)螺鏇體〔1〕具有高度嗜神經性,可長期潛伏在中樞神經系統,亦可在不同階段產生不同的神經病變。腦膜炎、顱神經炎和疼痛性神經根炎常稱之為神經系統“三聯症”。
1 LD的顱神經損害
神經萊姆病LD中神經併發症大約占病例的10%,一半以上由顱神經麻痹引起,這些麻痹可以個別發生或者各自間合併發生,或與其它神經異常合併發生。復視是典型的眼部主訴。眼球運動障礙常在發病後2周至5個月內解除〔5-6〕。曾有1例Augyu-Robertson化瞳孔和1例可逆性Horner氏綜合症;有幾例有視神經萎縮。少數有腦膜炎的萊姆病,可觀察到雙側典型的視神經水腫,導致視力模糊,而顱內壓往往不升高。但也有報導,患視神經乳頭水腫的一些LD病人的顱內壓升高,而沒有腦膜炎的症狀,這些患者有時有第Ⅵ對顱神經麻痹,抗生素和其它藥物對降低顱內壓有用。還有報導LD引起視神經炎和眼球萎縮,1例在發生LD病後6個月出現視乳頭的進行性顳側蒼白;另1例在發病後3個月左右出現視神經乳頭炎及左眼缺血性神經病,用抗生素加皮質酮治療後病情穩定〔7〕。動眼神經及外展神經麻痹:出現內斜、外轉受限,但仍存在正常的快速掃視運動。其它可有三叉神經損傷,如出現三叉神經病及Honner征。
國內馮文祥等〔8〕自1987~1990年對牡丹江林區確診的170例LD病人進行了臨床觀察研究,1例眩暈的LD病人證實為前庭神經炎,7例發生聽力減退。王夢祥等〔9〕於1989年報導以右側面癱而就診的患者證實為萊姆病後,與LD相關的顱神經患者人數顯著增多。張哲夫〔10〕於1991年5~6月份從1例面神經麻痹病人血液中分離出LD螺鏇體,首次從病原學上證實我國西南地區有LD存在。最近有人〔1〕對31例LD作了報導,檢查結果為單側周圍性面癱6例,聽力減退4例,末梢型感覺障礙和腦膜刺激征各2例,偏癱和小腦共濟失調各1例,同時並發森林腦炎4例,與國外報導基本相似。
2 LD的脊神經及植物神經的周圍損傷
神經萊姆病綜上所述,在各種報導中,LD引起的周圍神經損傷表現越來越多,且複雜多變,但有關LD的周圍神經損傷的臨床表現的綜述尚未見報導。LD不同階段表現的周圍神經損傷的症狀不同,所以對於不典型的腦膜炎、面神經炎、多發性硬化、肌病、低鉀麻痹、末梢神經炎,尤其是周圍神經損傷不以周圍神經分布的病例應警惕LD。
診斷
神經萊姆病1、腦脊液檢查
可見淋巴細胞增多,100-200×106/L,蛋白輕度增高,糖含量正常。病後4-5周可出現CSF-IgG指數增高及CSF寡克隆帶,提示鞘內免疫球蛋白合成。ELISA法可迅速檢出CSF和血清特異性伯氏疏螺鏇體抗體,感染後3-4周出現IgM抗體,6-8周達峰,4-6個月恢復正常;6-8周出現IgG抗體,4-6個月達峰,數年內仍可測試出。患者血液、CSF和皮膚可分離培養出伯氏疏螺鏇體,但不作為常規檢查。
2、腦電圖、頭部CT和MRI檢查多為正常,慢性期CT無及MRI可顯示腦部多灶性及腦室周圍病變。
診斷及鑑別診斷
1、診斷
神經Lyme病診斷主要根據流行病學、腦膜炎、神經根炎、鬧病和脊髓病等表現和特異性血清學診斷試驗,蜱澆傷史和ECM等可高度提示診斷。
2、鑑別診斷
本病應與特發性面神經炎、無菌性腦膜炎、多發性硬化、心肌炎、關節炎等鑑別,早期症狀缺乏特異性,臨床醫生加強對本病的認識極為重要。
治療
阿莫西林①四環素:250mg口服,4次/d,每療程10-30日;
②Bell麻痹口服強力黴素(100mg,2次/d)或阿莫西林(500mg,4次/d),3-4周;
③甲紅黴素:250mg口服,2次/d,10-30日。
2、腦膜炎或中樞神經系統受累可用頭孢曲松,成人2g/d,兒童20-80mg/d(kg.d)、青黴素(200-240萬單位/d,q4h)或頭孢噻肟(2g,q8h),靜脈滴注,連用2-4周。
預防
腦膜炎1、男女各年齡均可發病,但以在林區、牧區、山野草地、水邊等野外作業之青壯年發病率高。
2、在萊姆病各階段出現的神經系統症狀,注意不要誤診為帶狀皰疹、腦膜炎、貝爾氏麻痹、腦腫瘤、多發性硬化、精神病等。
