主要分型
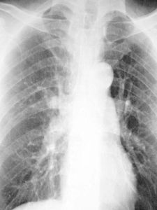
心臟各房室增大時,心臟形狀亦發生改變,在後前胸片上呈三種心型。1.二尖瓣型常見於二尖瓣病變、慢性肺原性心臟病、心間隔缺損、肺動脈狹窄等,表現為右心緣膨隆,左心緣下段圓鈍,心腰豐滿或弧形突出,主動脈結小,心影呈梨形。
2.主動脈型常見於高血壓和主動脈瓣病變,表現為左心尖向左下延伸,心腰凹陷,主動脈結突出,心影呈靴型。
3.普大型常見於心肌炎、全心衰竭、心包積液等。表現為心影向兩側增大,較對稱。
病因及症狀
病因
心臟擴大病因可能與下列因素有關:
一、病毒性心肌炎:近年來病毒性心肌增多,病毒對心肌具有親和力,心肌炎後心肌纖維化,心肌肥大最後形成心肌病。
二、變態反應:本病部分患者抗病毒抗體增高。常有抑制T細胞功能障礙,認為本病是病毒感染後,機體變態反應所致。
三、高血壓:本病中大約10%血壓增高。但血壓增高多發生在心力衰竭時,隨心力衰竭的控制,血壓下降,因而血壓增高不是本病的主要因素。
四、營養不良:門脈性肝硬化並發本病者,多於一般人群,生活貧困的居民發病率較高提示本病與營養有關,機體某些必需胺基酸或微量元素的缺乏,可能是發病因素之一。
常見疾病
1.病毒性心肌炎病毒對心肌具有親和力,心肌炎後心肌纖維化,心肌肥大最後形成心肌病。
2.變態反應
本病部分患者抗病毒抗體增高。常有抑制T細胞功能障礙,認為本病是病毒感染後,機體變態反應所致。
3.高血壓
本病中大約10%血壓增高。但血壓增高不是本病的主要因素。血壓增高多發生在心力衰竭時,隨心力衰竭的控制,血壓下降。
4.營養不良門脈性肝硬化並發本病者,多於一般人群,生活貧困的居民發病率較高,提示本病與營養有關,機體某些必需胺基酸或微量元素的缺乏,可能是發病因素之一。
鑑別診斷
心臟各房室增大時,心臟形狀亦發生改變,在後前位胸片上呈三種心型。1.普大型
表現為心影向兩側增大,較對稱。常見於心肌炎、全心衰竭、心包積液等。
2.主動脈型
表現為左心尖向左下延伸,心腰凹陷,主動脈結突出,心影呈靴型,常見於高血壓和主動脈瓣病變。
3.二尖瓣型
表現為右心緣膨隆,左心緣下段圓鈍,心腰豐滿或弧形突出,主動脈結小,心影呈梨形,常見於二尖瓣病變、慢性肺源性心臟病、心間隔缺損、肺動脈狹窄等。
檢查
X線檢查,心臟擴大包括心壁肥厚和心腔擴大,兩者常並存。是心臟病的重要徵象。治療原則
1.耐寒鍛鍊:如冷水擦臉、冷水擦身等。2.疫苗注射:如氣管炎菌苗、滅活流感病毒疫苗、減活麻疹疫苗、卡介苗素、核酪注射液、人胚注射液、免疫核糖核酸及轉移因子等。
3.積極治療基礎疾病:避開污染空氣,當寒流襲擊或流感流行時,間歇套用抗生素。
4.食物營養豐富:包括蛋白質、胺基酸和各種微量元素、各種維生素。
5.中醫中藥:本病是標實本虛,治療採用扶正固本、活血化瘀,提高機體抵抗力,改善肺循環。
預防
對確診為心臟擴大的患者,應保持良好心境,避免勞累,補充營養,注意預防呼吸道感染,戒絕菸酒,定期到醫院複查,保護或改善心功能,提高生活質量。如出現心慌、氣促、胸悶不適、乏力等表現,應及時到醫院就診。女性患者不宜妊娠。一旦出現心功能不全,應予較長時間的休息,低鹽飲食。如出現嚴重呼吸困難,平臥時加重,大汗淋漓,可能為嚴重心功能不全,應讓病人取坐位或半坐臥位,向醫療急救中心打電話求助或以最安全、平穩、快速的交通工具送往附近醫院。上呼吸道感染是誘發心臟擴大加重的最常見原因,因此預防感冒特別是流感格外重要。連日陰雨,體感濕冷,更需適時防寒保暖。平時要做到勞逸結合,充分休息能減輕心臟負擔,促進心肌恢復。長期飲酒者須戒酒,治療恢復後如再飲酒,復發後則更難治療。有充血性心力衰竭時,除了合理限制活動外,還應嚴格限制鈉鹽攝入。低鹽飲食的標準是控制每天的食鹽量在5克以下,病情嚴重者控制在每天1克以下。
本病原因未明,活動期主要包括有效控制心力衰竭和心律失常,緩解期(無活動性氣急)以提高病人的生活質量和生存率為主,可採用榮心丸、參桂膠囊結合β-受體阻滯劑、ACEI或ARB和心肌營養藥進行治療。

