概述
肺表面暴露在許多傳染物中,如果呼吸道的防禦機能減弱,就易感染髮生細菌肺炎。肺的防禦功能有會厭反射,可防止受感染的分泌物的吸入;纖毛運動,用來清除帶有微生物的呼吸道上皮細胞;咳嗽反射,使異物和下呼吸道粘液(附著空氣傳播中的微生物)排出;淋巴管,引流終末支氣管和細支氣管內容物;吞噬細胞,清除肺泡微生物。病毒感染能夠破壞這些防禦機能,它常常發生在細菌性肺炎發病前若干天。我國從50年代開始,對病毒性肺炎的研究工作成績卓著。但對細菌性肺炎還認識不足。說明我國細菌性肺炎的確切發病情況和病原譜有待進一步研究。小兒細菌性肺炎病原學診斷問題值得重視。診斷
早期金黃色葡萄球菌肺炎常不易認識。起病急,肺炎症狀迅速發展時可考慮本病。如近期有上呼吸道感染、皮膚小癤腫或乳母患乳腺炎的病史,可以協助診斷。
治療措施
金黃色葡萄球菌本病的一般治療與支氣管肺炎相同。因病情多較嚴重,在早期疑為金黃色葡萄球菌肺炎時即應給以積極治療控制感染。可用青黴素10萬~50萬U/(kg·d),肌注或靜滴。對耐青黴素G金葡菌肺炎,可用苯唑西林(P12)、鄰氯青黴素、甲氧西林、紅黴素、氯黴素、桿菌肽、利福平、萬古黴素、林可黴素等。此外可用頭孢菌素,其中第一代如頭孢唑啉、頭孢噻吩對耐藥金葡菌作用較第二代及第三代頭孢菌素強。前者可肌肉或靜脈給藥,劑量為每日20~30mg/kg,重症可加量到50~100mg/kg;後者靜脈給藥每日50~150mg/kg。對耐甲氧西林金葡感染套用萬古黴素及其新衍生物teicoplanin。一般在體溫正常後7天,大部分肺部體徵消失時始可停用抗生素,療程至少3~4周。發展成膿胸或膿氣胸時,如膿液量少可採用反覆胸腔穿刺抽膿治療;但多數患兒膿液增長快、粘稠度大而不易抽出,宜施行閉式引流術排放。胸腔內注入抗生素的療效不肯定。
病因學
溶血素金黃色葡萄球菌肺炎(staph ylococcus aureus pneumonia) 是由金黃色葡萄球菌(一般為凝固酶陽性)所致的肺炎。由於濫用抗生素的結果,抗藥性金黃色葡萄球菌的菌株明顯增加,金黃色葡萄球菌感染也見增多。本病大多並發於葡萄球菌敗血症,多見於幼嬰及新生兒,年長兒也可發生。以冬、春兩季上呼吸道感染髮病率較高的季節多見。常在醫院內或嬰兒室內發生交叉感染引起流行。葡萄球菌能產生多種毒素和酶,如溶血素、葡萄球菌激酶、凝固酶等。一般認為凝固酶和細菌毒性有一定關係,如為凝固酶陰性(如表皮葡萄球菌)則多為條件致病菌,很少引起嚴重疾病,但為醫院內感染的常見細菌之一。對青黴素G耐藥金葡菌已成為全世界難題,80年代國內外報導耐甲氧西林金葡菌(methicillin resistant staphylococcus aureus,MRSA)已成為院內感染的主要病原。
病理改變
金黃色葡萄球菌所致的原發性支氣管肺炎,以廣泛的出血性壞死、多發性小膿腫為其特點。肺臟的胸膜表面覆蓋著一層較厚的纖維素性膿性分泌物。膿腫中有金黃色葡萄球菌、白細胞、紅細胞及壞死的組織碎片。胸膜下小膿腫破裂,則形成膿胸或膿氣胸。有時可侵蝕支氣管形成支氣管胸膜瘺。若繼發於敗血症之後,則除肺膿腫外,其它器官如皮下組織、骨髓、心、腎、腎上腺及腦都可發生膿腫。
臨床表現
1.症狀和體徵
縱隔積氣金黃色葡萄球菌肺炎常見於1歲以下的幼嬰。在出現1~2天上呼吸道感染或皮膚小膿皰數日至1周以後,突然出現高熱。年長兒大多有弛張性高熱,但新生兒則可低熱或無熱。肺炎發展迅速,表現呼吸和心率增速、呻吟、咳嗽、青紫等。有時可有猩紅熱樣皮疹及消化道症狀,如嘔吐、腹瀉、腹脹(由於中毒性腸麻痹)等。患兒嗜睡或煩躁不安,嚴重者可驚厥,中毒症狀常較明顯,甚至呈休克狀態。肺部體徵出現較早,早期呼吸音減低,有散在濕羅音。在發展過程中迅速出現肺膿腫,常為散在性小膿腫。膿胸及膿氣胸是本症的特點。並發膿胸或膿氣胸時,叩診濁音、語顫及呼吸音減弱或消失。
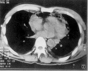
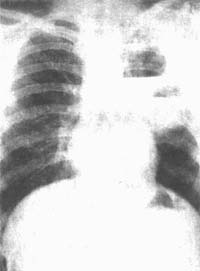
2.X線檢查
①臨床症狀與胸片所見不一致。當肺炎初起時,臨床症狀已很重,而X線徵象卻很少,僅表現為肺紋理重,一側或雙側出現小片浸潤影;當臨床症狀已趨明顯好轉時,在胸片上卻可見明顯病變如肺膿腫和肺大泡等現象。②病變發展迅速,甚至在數小時內,小片炎變就可發展成膿腫。③病程中,多合併小膿腫、膿氣胸、肺大泡。嚴重的還並發縱隔積氣、皮下氣腫及支氣管胸膜瘺。④胸片上病灶陰影持續時間較一般細菌性肺炎為長,在2個月左右陰影仍不能完全消失。
輔助檢查
白細胞白細胞一般高過15×109~30×109/L(15000~30000),中性粒細胞增高,白細胞內可出現中毒顆粒。半數幼嬰可減低到5×109/L(5000)以下,而中性粒細胞百分比仍較高。白細胞總數減低多示預後嚴重。C反應蛋白增高。對氣管咳出或吸出物及胸腔穿刺抽出液進行細菌培養陽性者有診斷意義。胞壁酸是存在於葡萄球菌外層的一種含磷的複雜多聚體,可刺激機體產生相應抗體,胞壁酸抗體測定有助於病原學診斷。
X線檢查:
①臨床症狀與胸片所見不一致。當肺炎初起時,臨床症狀已很重,而X線徵象卻很少,僅表現為肺紋理重,一側或雙側出現小片浸潤影;當臨床症狀已趨明顯好轉時,在胸片上卻可見明顯病變如肺膿腫和肺大泡等現象。②病變發展迅速,甚至在數小時內,小片炎變就可發展成膿腫。③病程中,多合併小膿腫、膿氣胸、肺大泡。嚴重的還並發縱隔積氣、皮下氣腫及支氣管胸膜瘺。④胸片上病灶陰影持續時間較一般細菌性肺炎為長,在2個月左右陰影仍不能完全消失。
鑑別診斷
金葡菌肺炎須與下列疾病相鑑別:肺炎鏈球菌、流感嗜血桿菌或肺炎桿菌肺炎,原發性肺結核伴空洞形成或乾酪性肺炎,氣管異物繼發肺膿腫及橫膈疝等。X線上表現的特點,如肺膿腫、大泡性肺氣腫及膿胸或膿氣胸等存在都可做為金葡肺炎診斷的根據;但須與其它細菌性肺炎所引起的膿胸及膿氣胸鑑別。因而病原學診斷十分重要。
預防
心包炎增強體質,提高自身的免疫力,是預防肺炎的有效途徑。1988年3月,世界衛生組織在哥本哈根召開的“老年人肺炎球菌疫苗免疫諮詢會議”上建議,對所有老人和所有高危人群均給予肺炎疫苗接種。美國2000年的衛生目標中規定,包括65歲以上老人在內的容易並發肺炎球菌感染的高危人群,肺炎球菌疫苗的接種率應達60%以上。1996年底中國衛生部批准肺炎球菌疫苗進入中國,目前已在全國各地衛生防疫部門廣泛使用。
該疫苗注射於上臂外側皮下,只需注射一次(0.5毫升),保護期可達5年以上。疫苗接種後,少數人可在注射局部有輕微腫痛,極少數人(少於1%)可出現低熱,均可在2~3天內恢復。
除肺炎概述中所敘述的預防措施之外,必須重視幼托機構居室的衛生清潔,並應及時檢查工作人員是否帶菌,帶菌者及時適當處理。
並發金葡腦膜炎和心包炎或嬰兒張力性氣胸則預後嚴重。病死率高達10%~20%。併發症如膿胸、膿氣胸預後較好,治癒者長期隨訪無後遺肺功能障礙。
預後
並發金葡腦膜炎和心包炎或嬰兒張力性氣胸則預後嚴重。病死率高達10%~20%。併發症如膿胸、膿氣胸預後較好,治癒者長期隨訪無後遺肺功能障礙。
併發症
重且可能導致死亡的併發症為進展性肺炎,有時伴有呼吸窘迫綜合徵和/或膿毒性休克.胸部X線檢查可發現約25%的病人有胸膜滲出,少部分有膿胸.有些病人產生病變鄰近部位的感染(如膿胸或化膿性心包炎).菌血症可造成肺以外的感染病灶,包括膿毒性關節炎,心內膜炎,腦膜炎及(腹水病人).有些病人出現肺部重複感染,表現為在治療過程中,暫時改善之後又出現發熱和新的肺浸潤而致病情惡化。
