簡介
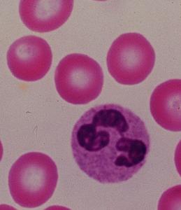
中性粒細胞(neutrophilicgranulocyte)在瑞氏(Wright)染色血塗片中,胞質呈無色或極淺的淡紅色,有許多彌散分布的細小的(0.2~0.4微米)淺紅或淺紫色的特有顆粒。細胞核呈桿狀或2~5分葉狀,葉與葉間有細絲相連。其顆粒表面有一層膜包裹,可分1~4型,顆粒中含髓過氧化物酶(myeloperoxidase)、酸性磷酸酶、吞噬素(phagocytin)、溶菌酶、β葡糖苷酸酶、鹼性磷酸酶等。中性粒細胞具趨化作用、吞噬作用和殺菌作用。
絕大部分的粒細胞屬中性粒細胞。每微升血液中約有4500箇中性粒細胞。由於這些細胞的細胞核的形態特殊,又稱為多形核白細胞。中性粒細胞在血管內停留的時間平均只有6-8小時,它們很快穿過血管壁進入組織發揮作用,而且進入組織後不再返回血液中來。在血管中的中性粒細胞,約有一半隨血流循環,通常作白細胞計數隻反映了這部分中性粒細胞的情況;另一半則附著在小血管壁上。同時,在骨髓中尚貯備了約2.5×10(12)個成熟中性粒細胞,在機體需要時可立即動員大量這部分粒細胞進入循環血流。
中性粒細胞中性粒細胞在血液的非特異性細胞免疫系統中起著十分重要的作用,它處於機體抵禦微生物病原體,特別是在化膿性細菌入侵的第一線,當炎症發生時,它們被趨化性物質吸引到炎症部位。由於它們是藉糖酵解獲得能量,因此在腫脹並血流不暢的缺氧情況下仍能夠生存,它們在這裡形成細胞毒存在破壞細菌和附近組織的細胞膜。由於中性粒細胞內含有大量溶酶體酶,因此能將吞噬入細胞內的細菌和組織碎片分解,這樣,入侵的細菌被包圍在一個局部,並消滅,防止病原微生物在體內擴散。當中性粒細胞本身解體時,釋出各溶酶體酶類能溶解周圍組織而形成膿腫。
致病原理
中性粒細胞來源於骨髓的造血幹細胞,在骨髓中分化發育後,進入血液或組織。在骨髓、血液和結締組織的分布數量比是28:1:25,成年人血液中中性粒細胞的數量約占白細胞總數的55%一70%。中性粒細胞屬多形核白細胞的一種,由於其數量在粒細胞中最多,因此有人將多形核白細胞指中性粒細胞。該細胞內含許多彌散分布的細小的淺紅或淺紫色的特有顆粒,顆粒中含有髓過氧化物酶、酸性磷酸酶、吞噬素、溶菌酶等。髓過氧化物酶是中性粒細胞所特有,即使在有強吞噬作用的巨噬細胞中也極少或完全沒有這種酶。在細胞化學上,一般將這種髓過氧化物酶作為中性粒細胞的標誌。中性粒細胞具有很強的趨化作用。所謂趨化作用,就是細胞向著某一化學物質刺激的方向移動。對中性粒細胞起趨化作用的物質,稱為中性粒細胞趨化因子。中性粗細胞膜上有趨化因子受體,受體與趨化因子結合,激活胞膜上的鈣泵,細胞向前方伸出片足,使細胞移向產生趨化因子的部位。
中性粒細胞的片足與產生趨化因子的異物接觸後,接觸處周圍的胞質形成隆起即偽足,接觸部位的細胞膜下凹,將異物包圍,形成含有異物的吞噬體或吞噬泡。中性粒細胞膜表面有IgGFc受體和補體C3受體,可加速吞噬作用。被吞噬的異物裹有抗體和補體時,與中性粒細胞膜上的相應受體結合,而加強了細胞對它的吞噬作用,稱為調理作用。
細胞隨著吞噬作用的開始,導致細胞膜紊亂而引起呼吸爆發,細胞耗氧量增加,產生大量的過氧化物及超氧化物等細胞毒性效應分子,對寄生蟲具有殺傷活性。在IFN-γ和TNF刺激下,則可產生更多的過氧代謝陰離子,殺死胞外寄生蟲。中性粒細胞在殺死吞噬的細菌等異物後,本身也死亡,死亡的中性粒細胞稱為膿細胞。
中性粒細胞受細菌產物、抗原抗體複合物等作用時,細胞的顆粒內容物向細胞外釋放。釋出的酸性蛋白酶和中性蛋白酶,可以分解血管基膜、腎小球基膜、結締組織的膠原蛋白與彈性蛋白以及血漿中的補體C5、C15和激肽原等。其分解產物有的又是中性粒細胞趨化因子,能吸引更多的中性粒細胞。中性粒細胞釋放的物質中,還有嗜酸性粒細胞趨化因子、中性粒細胞不動因子(NIF)、激肽酶原、血纖維蛋白溶酶原、凝血因子、白三烯等。
除了在抗感染中起重要的防禦作用外,中性粒細胞可引起感染部位的炎症反應並參與寄生蟲感染引發的變態反應,從而引起免疫病理損害。抗體直接作用於組織或細胞上的抗原,中性粒細胞通過其Fc受體與靶細胞表面的IgGFc段結合,發揮ADCC作用,從而導致細胞毒型變態反應損害;當抗原抗體比例適合而形成19S大小的免疫複合物,不易被吞噬,沉積於毛細血管壁,激活補體,吸引中性粒細胞至局部。中性粒細胞通過Fc受體和C3b受體與免疫複合物結合併吞噬之。吞噬過程中脫顆粒,釋放出一系列溶酶體酶類,造成血管和周圍組織的損傷;在IgE介導的速髮型變態反應的部位,也有中性粒細胞的聚集,說明中性粒細胞也參與了速髮型變態反應導致的病理損害

