疾病概述
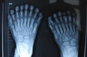
並指分類
並指的類型包括:單一併指、多指並指、不完全並指、完全並指、單純並指、複雜並指、手套樣並指等。疾病病因
診斷
並趾治療
治療時機
一般宜在3歲以後至學齡前的期間內施行為宜。過早施行手術,術後創口疤痕常會影響手指的正常發育,且手指纖細短小,也不易準確進行手術操作。手術原則
指(趾)間軟組織切開,皮膚Z性延長或缺損傷口全層植皮。手術步驟
並指注意問題
術中需特別注意血管與神經的解剖異常,防止誤傷。術後督促患兒的手指功能鍛鍊至關重要。
盤點常見的遺傳病
| 隨著分子生物學的發展,科學家們成功的把基因和疾病聯繫在一起。人們可以預先通過基因篩查來預測可能罹患的遺傳病。比如,GOOGLE公司創始人之一謝爾蓋?布林,就在其妻子的23andme生物技術公司通過測序發現自己可能在未來患帕金森氏綜合症,他積極通過各種方式來預防疾病的發生並投入巨資進行相關的研究。但如同一把雙刃劍,基因篩查也使一些攜帶突變基因的人在社會各個方面受到歧視,讓我們來關注一下遺傳疾病吧! |
| 黑棘皮症| 短趾症| 家族性高膽固醇血症| 白化病| 苯丙酮尿症| 紅綠色盲| 抗維生素D佝僂病| 先天性髖關節脫位| 脊柱裂| 先天性聾啞| 蠶豆病 | 強直性肌營養不良| 亨廷頓氏病| 老年性痴呆症| 精神分裂症| 脆性X綜合徵 | 原發性高血壓| WILSON 氏病| 成人多囊腎病| 馬凡綜合徵 | 侏儒綜合徵| 視網膜色素變性| 糖原貯積症| 神經鞘脂貯積症| 黏多糖貯積症 | 半乳糖血症| 白癜風| 性反轉綜合徵| WILMS 瘤| 視網膜母細胞瘤| 成骨不全病| 自毀容貌症| 家族性多發性結腸息肉病| 強直性脊柱炎| 假肥大性肌營養不良| 牛皮癬| 多囊腎| 脆骨病| 神經纖維瘤| 上瞼下垂| 類風濕性關節炎| 癲癇| 先天性心臟病| 高膽固醇血症| 唇裂| 齶裂| 魚鱗症| 多指| 著色性乾皮病| 腓肌萎縮症| 並指| 畸形足| 青光眼| 全身自化| 結腸息肉症| 先天聾啞| 原發性小睪症 |
