麴黴球體徵
麴黴球病因
麴黴球生理
麴黴球診斷
麴黴球依據
麴黴球診斷依據:
1.肺麴黴球多繼發於肺結核空洞、肺癌空洞或支氣管擴張的囊腔內。變態反應性曲菌病多發生在對麴黴過敏者,吸入大量麴黴孢子後,麴黴菌絲引起支氣管黏膜炎症及肺炎。繼發性肺麴黴病多見於重病患者及機體免疫力低下者。
2.咳嗽、咳痰、反覆咯血。
3.肺部可聞乾、濕性羅音。
4.痰塗片或培養和組織學檢查發現麴黴菌絲或孢子。
5.血嗜酸細胞增多。
6.曲酶抗原皮膚試驗及血清沉澱試驗陽性。
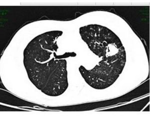
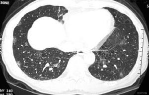
7.胸部X線檢查可呈斑點狀、結節狀或雲絮狀陰影。麴黴球典型的徵象為密度均勻似球狀,其上方有薄壁半月形透亮區,麴黴球可隨體位變動而變動,呈“鐘形陰影”。好發部位為肺上葉.
檢查
麴黴球其他輔助檢查:X線上麴黴球表現為肺空洞或胸膜腔內圓形緻密陰影,其邊緣有透光暈影。若空腔較大,尚可見球形陰影有蒂與洞壁相連,形如鐘擺,球形陰影可隨體位變化而改變形態。如果空洞較小,球形病灶填充了大部分空腔,其暈影很小,僅呈一狹長的半月形透亮帶。有學者曾在2例X線平片、體層片和支氣管造影片均無陽性發現的隱源性大咯血患者套用支氣管動脈造影定位後行手術治療,病理髮現1cm左右的細小支氣管囊腫繼發麴黴球。胸部CT檢查特別是高分辨CT的套用為發現細小麴黴球和鑑別診斷提供了有用技術。
鑑別
麴黴球2.自發性氣胸慢性阻塞性肺疾病基礎上出現的氣胸,氣胸體徵常不明顯,而表現為突發性呼吸困難。部分患者出現呼氣性哮鳴(尤其是氣胸對側),臨床上容易與哮喘混淆,要提高警惕性,有可疑者及早作X線檢查以明確診斷。
3.大氣道阻塞性疾患腫瘤、異物、炎症和先天性異常等均可引起喉、聲門、氣管或主支氣管(腔內或外壓性)阻塞,引起呼吸困難和喘鳴音。但這種喘鳴音常在某一部分特別明顯,多為以吸氣相為主的雙相性喘鳴音,常伴雙肺底支氣管呼吸音異常增粗。喉部檢查,X線氣管額面斷層攝片及纖維支氣管檢查可以明確診斷。
4.外源性過敏性肺泡炎此病可出現典型的哮喘表現,但這些病人常有變應原(枯草、鴿糞等)接觸史,X線胸片可見瀰漫性肺間質病變呈斑片狀浸潤,血嗜酸性粒細胞顯著增高,有助於鑑別。
5.急、慢性支氣管炎此類病人可出現喘鳴音和呼吸困難,而哮喘患者亦可以無喘鳴音而僅有發作性乾咳。臨床上有時難以鑑別。但支氣管炎患者的症狀沒有發作性的特點。慢性支氣管炎有長期慢性咳嗽,支氣管炎咳痰一般較多,支氣管擴張劑吸入試驗或晝夜PEF波動率測定有助於鑑別。
6.變態反應性支氣管肺曲菌病(allergicbronchopulmonaryaspergillosisABPA)常以反覆哮喘發作為特徵,伴咳嗽,咳痰,痰多為黏液膿性,有時伴血絲,可分離出棕黃色痰栓,常有低熱,肺部可聞哮鳴音或乾囉音,X線檢查可見浸潤性陰影,段性肺不張,牙膏征或指套征(支氣管黏液栓塞),周圍血嗜酸性粒細胞明顯增高,曲菌變應原皮膚點刺可出現雙相皮膚反應(即刻及遲髮型),血清IgE水平通常比正常人高2倍以上。
治療
麴黴球預防
麴黴球研究者同時回顧些患者的臨床病史,以確定土麴黴感染和分離陽性的可能危險因素。這些因素主要3組:宿主因素、免疫抑制相關因素和住院相關因素,採用多因素Logistic回歸模型分析。
結果顯示,505株分離株中共192株(38%)源於侵襲性肺部感染,土麴黴培養陽性的46例標本中有27例(58.7%)源於侵襲性肺部感染[比值比(OR)=2.53,P=0.034]。與土麴黴侵襲性肺部感染相關的危險因素是預防性霧化吸入兩性黴素B(OR=27.8,P=0.001)和機械通氣(OR=3.3,P=0.04),而移植與土麴黴分離陽性及感染的相關性較小(OR=0.2,P=0.02)。
流行病
麴黴球
