疾病概述
間接型頸動脈海綿竇瘺間接型頸動脈海綿竇瘺的病因尚未明確,一些可能的與疾病有關的因素包括:體內雌激素水平改變、蝶竇炎及海綿竇炎、血管肌纖維發育不良及顱腦外傷和顱腦手術等。
間接型頸動脈海綿竇瘺,即累及海綿竇的硬膜動靜脈瘺(DAVF),是Barrow分型的B、C、D型,臨床上比較少見。臨床表現取決於引流靜脈的部位、大小,與供血動脈關係不大。臨床上可以毫無症狀,也可以出現致命的腦內出血。最多見的臨床症狀有:突眼約占50%,顱內雜音,顱內出血,頭痛。
症狀體徵
間接型頸動脈海綿竇瘺1、突眼約占50%。
2、顱內雜音50%~70%的病人會出現,劇烈運動時雜音增強,壓迫患側頸總動脈雜音減輕或消失。
4、視力減退約占27%,嚴重時病人在數小時內完全失明;較輕度的視力減退經治療可能恢復,但完全失明的病人,即使瘺口閉塞,視力也無法挽救。
5、頭痛也較常見,可為海綿竇內壓力增高導致顱內壓增高,或擴張的動靜脈刺激腦膜、壓迫三叉神經半月節,甚至是少量硬腦膜下腔或蛛網膜下腔出血的刺激等引起。
上述症狀與直接型瘺相比大多較輕,病程也較緩慢。
病因病理
間接型頸動脈海綿竇瘺病理:
1、體內雌激素水平改變此病好發於女性,尤其多見於五六十歲的絕經期以後或妊娠婦女,原因可能是體內雌激素水平改變,導致血管壁變薄、彈性降低、脆性增加,並迂曲擴張,加上血流的衝擊逐漸形成瘺,推測可能與體內雌激素水平改變有關。
2、蝶竇炎及海綿竇炎正常情況下,部分硬腦膜動脈和靜脈終止於海綿竇壁附近,發出許多極細小的分支分布於竇壁硬腦膜,並與海綿竇有著極為豐富的網狀交通。當蝶竇或海綿竇發生炎症繼而引起栓塞時,靜脈回流受阻,竇內壓力增高,可促使這些網狀交通開放而形成硬腦膜動靜脈瘺。這一假說已在動物模型上得到證實。
3、血管肌纖維發育不良此病屬於先天性疾病,病人血管彈性差,易破裂形成瘺。
4、顱腦外傷和顱腦手術可引起間接型頸動脈海綿竇瘺。
診斷檢查
間接型頸動脈海綿竇瘺實驗室檢查:無特殊表現。
其他輔助檢查:
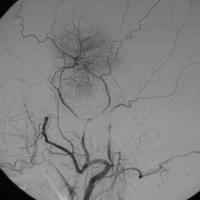
1、腦血管造影間接型頸動脈海綿竇瘺腦血管造影檢查的目的是確定瘺口的位置,供血動脈,靜脈引流形式,有無頸外動脈系統與頸內動脈系統和椎動脈系統的“危險吻合”等。腦血管造影檢查的內容包括患側頸內動脈的選擇造影,患側的椎動脈,頜內動脈,咽升動脈造影和對側頸內動脈和頸外動脈的選擇造影。微導管超選擇造影可進一步了解各供血動脈的供血情況。正常情況下,海綿竇接受眼上、下靜脈和蝶頂竇的引流,再經岩上、下竇引流到橫-乙狀竇交界處和頸靜脈球。兩側的海綿竇經海綿間竇相交通。在CCF存在的情況下,海綿竇內壓力增高,血流方向發生改變:經眼上靜脈逆流入角靜脈和面靜脈,經海綿間竇注入對側海綿竇,以及逆流入蝶頂竇等。此類頸動脈海綿竇瘺的供血情況通常非常複雜。在經動脈途徑栓塞治療前,必須仔細研究腦血管造影,特別注意有無“危險吻合”的存在。頸總動脈分叉處的情況也是腦血管造影要觀察的重要內容。如果該處有動脈粥樣硬化斑塊,則禁止採用壓迫頸總動脈的方法治療間接型頸動脈海綿竇瘺。
2、CT和MRI掃描可顯示擴張的眼上靜脈和其他眼部繼發性改變,還能發現腦水腫和顱內出血;MRI上可發現瘺口緊鄰硬腦膜處有“流空”現象。
鑑別診斷:需要與動靜脈畸形相鑑別。年齡在40歲以下的突發蛛網膜下腔出血,出血前有癲癇史或輕偏癱、失語、頭痛史,而無明顯顱內壓增高者,應高度懷疑動靜脈畸形,但明確的鑑別有賴於腦血管造影檢查。
治療方案
間接型頸動脈海綿竇瘺1、保守療法和頸動脈壓迫法有25%~30%的間接型頸動脈海綿竇瘺可自行血栓形成而消失,因此對於發病早期、症狀較輕、瘺口流量小、沒有較大的皮質引流靜脈、病情發展緩慢和沒有急劇視力下降的病人可先觀察一段時間,以期自愈,或採用頸動脈壓迫法。在壓迫頸總動脈的同時,壓迫頸內靜脈,減少動脈血供和增加靜脈壓,降低海綿竇瘺口處的動靜脈壓力梯度,促進海綿竇內血栓形成。該法還可作為其他治療方法的補充手段。方法是用手指或Mata架將頸總動脈壓向頸椎橫突,直到顳淺動脈搏動消失為止,最初每次壓迫10s,每小時數次,以後壓迫持續時間逐步延長,至每次壓迫30s;如果壓迫部位準確,病人會自覺雜音減輕或消失。一般治療4~6周后可最終治癒。壓迫時須注意觀察有無腦缺血症狀出現,如無力、麻木、失明等,一旦出現須立即終止。Halbach建議用健側手指壓迫,若出現腦缺血,則健側手指會因無力而自然終止壓迫。壓迫內眥外上方眼上靜脈和頭皮靜脈交界處,以提高眼上靜脈壓力,降低瘺口動靜脈壓差,可促進血栓形成,這也是一種靜脈壓迫法,但有皮質引流靜脈的病人不適合進行壓迫治療,因為同時壓迫頸動脈和頸靜脈會導致顱內靜脈壓升高而引起腦梗死或出血。
2、血管內介入治療
間接型頸動脈海綿竇瘺(2)經靜脈栓塞:由於間接型頸動脈海綿竇瘺往往有多支動脈供血,經動脈栓塞困難較大,未栓塞的供血支會逐漸擴張,瘺口重新開放,因此也可採用經靜脈栓塞術。常用方法是手術暴露眼上靜脈,將導管插入靜脈並注入微彈簧圈及硬化劑,瘺口可完全栓塞。此外,還可經頸內靜脈-乙狀竇-岩上竇或岩下竇到海綿竇,用栓塞劑栓塞海綿竇閉塞瘺口。栓塞劑有彈簧圈、液體粘合劑、真絲線段、可脫球囊等。可脫球囊已較少套用,因為輸送球囊的導管比較粗大,會將靜脈擴張,造成損傷;液體膠有流出瘺口、阻塞眼上靜脈和其他正常靜脈的危險;鉑制彈簧圈可通過微導管輸送,可操作性強,是目前套用廣泛的栓塞物。
3、放射外科治療立體定向放射外科治療通過放射效應促使血管內皮增生,最終達到瘺口閉塞的目的。
併發症
球結膜水腫如進行動脈途徑栓塞,主要的併發症包括:
1、穿刺部位血腫頸部穿刺插管造成血腫後病情危重,目前大多採用較為安全的股動脈插管方法。
2、腦神經麻痹因海綿竇內血栓形成或球囊機械壓迫所致,其中展神經受累最常見。
3、假性動脈瘤海綿竇內血栓基本形成後,如球囊內造影劑過早泄漏,球囊回縮,則在海綿竇內形成一個與球囊大小相同、與頸內動脈相通的空腔,即假性動脈瘤。無症狀者毋須處理,一般不會增大或再次形成瘺管,而且大多可自行閉合,有症狀者可試用彈簧圈栓塞。
4、腦梗死球囊過大或球囊過早脫落,或導管上血栓的脫落,或液體栓塞劑注射失誤,以及其他栓塞劑的漂移均可造成局部甚至大腦半球腦梗死,出現失語、肢體麻痹等神經功能障礙。
5、腦過度灌注長期嚴重盜血的病人,一旦瘺口關閉而頸內動脈保持通暢,患側半球血流驟然增加,可出現頭痛、眼脹等不適,嚴重時還可發生顱內出血。經靜脈栓塞治療的併發症:最常見、最嚴重的併發症是血液向皮質靜脈或眼上靜脈轉流,引起顱內出血及視力惡化。如果眼上靜脈急性阻塞,發生血液轉流至皮質靜脈時,可插管通過岩下竇到海綿竇進行栓塞,閉塞瘺口。有時,頸動脈海綿竇瘺栓塞後一段時間內可能出現急性視力下降,多數會在短期內不治自愈。其他併發症有操作所致靜脈破裂出血、腦神經麻痹以及栓塞劑逆流到頸內動脈系統引起腦和視網膜梗死。
預防預後
預後:有部分間接型頸動脈海綿竇瘺可自行癒合,預後良好。隨著介入栓塞技術的發展,治療效果得到很大的提高。
預防:無特殊。

