疾病概述
遺傳性共濟失調本病是一種少見的家族遺傳性疾病,在挪威發病率最高,為十萬分之二十三。在我國,至1980年僅報導8例,都很少論及治療。首先採用中醫藥治療本病的,是北京友誼醫院神經科,其於1980年報導了套用薄樹芝製劑治療4例馬雷共濟失調的案例,均有一定療效。以中醫辨證論治者,自1983年至1990年共有4篇報導,共治療15例,僅2例無效,且有6例達到臨床痊癒的程度,表明中醫藥治療本病有相當潛力。
疾病類型
遺傳性共濟失調1、Friedreich共濟失調(Friedreich’sataxia)常於兒童或青春期起病。呈常染色體隱性遺傳。有的為顯性遺傳。最早症狀為步態不穩、容易絆跌、進而步態蹣跚、兩腿分得很寬。以後上肢精細動作受影響,發展到有粗大的意向性震顫。軀幹平衡受累時,病人站立或坐位時有身體不自主擺動。偶有頭部規律性震顫。深感覺也受損時,則在小腦性共濟失調的背景上又重選感覺性共濟失調的成分。病人閉目時共濟失調更為明顯;在視覺監控下,動作協調性可有所改善。常有小腦性構音障礙,言語含糊或呈吟詩狀,嚴重者不能為他人聽清。病程後期出現下肢肌力減退和胚前肌和手部小肌肉等輕度萎縮。檢查時可見肌張力減低,腱反射遲鈍或消失,以踝反射消失較早。錐體束征常陽性。感覺障礙主要影響關節位置覺及振動覺,首先發生於下肢的遠端。尚可發現眼球震顫、視神經萎縮或神經性耳聾。病兒都有脊柱後側凸,弓形足和馬蹄內翻足等骨骼畸形。疾病早期即可有心電圖異常。部分病兒的智慧型減低。病情呈緩慢進展直至嚴重殘疾而不能獨立生活。多死於間發感染或伴發的心肌病。
2、小腦皮質變性(cerebellarcorticaldegenera-tion)通常中年後起病,多數呈常染色體顯性遺傳。首先出現下肢共濟失調,站立、行走不穩。緩慢進展而有構音障礙和上肢共濟失調。病程延續20~30年。其他神經結構相對不受累。
3、橄欖橋腦小腦萎縮(olivopontocerebellarat-rophy,OPCA)成年起病。呈常染色體顯性遺傳,散發病例甚多。常以軀幹性共濟失調起病,進而發生肢體性共濟失調、構音障礙和辨距不良。幾年後,可出現肌張力增高,腱反射亢進和Babinski征。常有眼球震顫和視神經萎縮。部分病人在晚期發生肌萎縮和肌束顫動。作為本病特徵性的軟齶肌陣攣並不常見。其他尚可有肢體遠端型感覺減失、眼肌麻痹、強直、震顫、精神異常、智慧型減退和直立性低血壓等。
臨床表現
遺傳性共濟失調1、Friedreich型共濟失調Friedreich型共濟失調(Friedreich’sataxia)是表現小腦性共濟失調的最常見特發性變性疾病,由Friedreich(1863)首先報導。本病具有獨特的臨床特徵,如兒童期發病,肢體進行性共濟失調,伴錐體束徵發音困難、深感覺異常、脊柱側突、弓形足和心臟損害等。
(1)通常4~15歲起病,偶見嬰兒和50歲以後起病者男女均可受累。首發症狀為進展性步態共濟失調,步態蹣跚左右搖晃、易於跌倒;2年內出現雙上肢共濟失調,表現動作笨拙和意向性震顫;在此早期階段膝腱反射和踝反射消失,出現小腦性構音障礙或暴發性語言,雙上肢反射及部分患者雙膝腱反射可保存。雙下肢關節位置覺和振動覺受損,輕觸覺、痛溫覺通常不受累雙下肢無力發生較晚,可為上或下運動神經元損害或二者兼有。
(2)患者在出現症狀前5年內通常出現伸性跖反射,足內側肌無力和萎縮導致弓形足伴爪型趾,是常見的體徵,也可以是未患病家族成員孤立的表現。進行性嚴重脊柱後側凸畸形可導致功能殘疾和慢性限制性肺部疾病,心肌病有時只能由超聲心動圖檢出,可導致充血性心力衰竭,是主要的死亡原因。其他異常包括視神經萎縮、眼球震顫(多為水平性)、感覺異常、震顫聽力喪失、眩暈、痙攣、下肢疼痛和糖尿病等。
(3)查體可見跟膝脛試驗和閉目難立征陽性,75%有上胸段脊柱畸形,約25%患者有視神經萎縮,50%伴弓形足,85%伴心律失常或心臟雜音,10%~20%伴糖尿病。
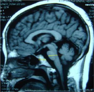
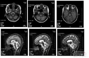
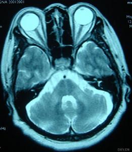
(4)輔助檢查:①X片可見脊柱和骨骼畸形;MRI可見脊髓變細;②心電圖常見T波倒置、心律失常和傳導阻滯,超聲心動圖示心室肥大,視覺誘發電位波幅下降;③DNA分析FRDA基因18號內含子GAA大於66次重複。
2、脊髓小腦性共濟失調脊髓小腦性共濟失調(spinocerebellarataxiaSCA)是遺傳性共濟失調的主要類型。包括SCA1~21成年期發病、常染色體顯性遺傳及共濟失調等是本病的共同特徵,並表現在連續數代中發病年齡提前和病情加重(遺傳早現)。各亞型症狀相似交替重疊。遺傳早現現象是SCA的典型表現,症狀逐代加重。
(1)SCA共同症狀體徵:30~40歲隱襲起病,緩慢進展,也有兒童期及70歲起病者;下肢共濟失調為首發症狀表現走路搖晃突然跌倒和講話含糊不清,以及雙手笨拙、意向性震顫眼球震顫、痴呆和遠端肌萎縮等;檢查可見肌張力障礙腱反射亢進、病理征痙攣步態、音叉振動覺及本體覺喪失。通常起病後10~20年勱不能行走。
(2)除共同臨床表現外,各亞型有各自的特點,如SCA1眼肌麻痹上視不能較明顯;SCA2上肢腱反射減弱或消失,眼球慢掃視運動較明顯;SCA3肌萎縮、面肌及舌肌纖顫、眼瞼退縮形成凸眼;SCA8常有發音困難;SCA5病情進展非常緩慢,症狀較輕;SCA6早期大腿肌肉痙攣下視震顫復視和位置性眩暈;SCA10純小腦征和癲癇發作;SCA7視力減退或喪失,視網膜色素變性,心臟損害也較突出。
疾病診斷
遺傳性共濟失調鑑別診斷
遺傳性共濟失調(2)多發性硬化:有緩解-復發病史和CNS多數病變的體徵。
(3)維生素E缺乏:可引起共濟失調,應查血清、維生素E水平。
(4)共濟失調-毛細血管擴張症:兒童期起病表現小腦性共濟失調,可見特徵性結合膜毛細血管擴張。
2、SCA鑑別診斷不典型病例需與多發性硬化CJD等引起的共濟失調鑑別。
流行病學
遺傳性共濟失調實驗檢查
遺傳性共濟失調2、確診SCA及區分亞型可行PCR分析,用外周血白細胞檢測相應基因CAG擴增,證明SCA的基因缺陷。
3.Friedreich型共濟失調(FRDA)DNA分析,FRDA基因18號內含子GAA大於66次重複。
輔助檢查
遺傳性共濟失調2、Friedreich型共濟失調(FRDA)X片可見脊柱和骨骼畸形;MRI可見脊髓變細;心電圖常見T波倒置、心律失常和傳導阻滯,超聲心動圖示心室肥大,視覺誘發電位波幅下降。
治療方法
遺傳性共濟失調神經幹細胞治療
療效判別標準:以共濟運動、步態、構音、眼球震顫四項體徵變化為指標。痊癒:患者自覺症狀消失,生活或工作能力得到完全改善,神經系統恢復正常;顯效:症狀、主要體徵明顯改善,生活或工作基本得到改善;有效:患者自覺症狀改善,體徵至少有一項改善;無效:症狀、體徵均無改善。共治60例,痊癒26例,顯效20例,有效8例,無效6例,總有效率為90%[6,7]。
針灸治療
首見於1964年,為個案報告[1],七十年代亦僅只一篇以頭針治療本病的臨床文章[2]。八十年代雖有多篇,但均為個案。所以本病的較大樣本的深入觀察實際上是在1990年之後。綜合已收集到的1990~1996年的6篇文章看,除1篇為個案外,其餘均為多病例報導,在治療方法上以頭針療法為主,或單獨用頭針,或頭針與針灸相結合,亦有單用體針的。總的來說療效亦較滿意,平均有效率在90%以上。有人還將針刺法與西醫治療作對照,結果明顯以針刺為優[3]。只要進一步積累病例,統一療效標準和觀察遠期療效,可以預見,針灸不失為本病值得開發的有效療法之一。
頭針
(一)取穴
主穴:平衡區、感覺區、語言Ⅰ、Ⅱ、Ⅲ區。
配穴:額頂帶(前1/4和後1/4)、頂顳帶、頂枕帶。
額頂帶位置:神庭至百會穴左右各旁開半寸處的一寸寬頻,將全帶由前至後分為4等份。
頂顳帶位置:前頂穴至頭維穴,向前後各旁開半寸的條帶。
頂枕帶位置:自百會穴至腦戶穴連線左右各旁開半寸的一寸條帶。
(二)治法
可先用主穴,如效不顯,則改配穴。主穴以28號1.5~2寸毫針沿皮快速刺入1~1.5寸,用200次/分的頻率進行快速捻轉,持續5分鐘,間隔10分鐘再捻轉5分鐘,重複3次出針。配穴:額頂帶前1/4由上向下刺,額頂帶後1/4由前向後刺,頂顳帶套用4根毫針由上向下接連透刺,而第1針須與額頂帶後1/4針行交叉刺,每根毫針中間間隔1寸。採用輕而慢插針,快速而有力的抽氣法,並行快速捻轉1分鐘,留針15分鐘,期間可行針3次。上述方法每日針1次,10次為一療程。療程間隔7天。
(三)療效評價
療效判定標準:基本治癒:症狀、體徵基本消失,能勝任一般勞動;顯效:症狀、體徵明顯改善,生活可自理;有效:症狀、體徵有所改善,但生活尚需照顧;無效:症狀、體徵未見改善或惡化者。
共治共濟失調患者17例,基本痊癒8例,顯效3例,有效5例[4,5]。
體針
(一)取穴
主穴:分2組。1、百會、後頂、風府、巨骨、曲池、小海、外關、魚際、犢鼻、陽陵泉、委中、足三里、三陰交;2、百會、腦戶、大椎、風池、肩Yu、肩貞、肩髎、曲澤、足三里、委陽、太溪、崑崙、太沖。
(二)治法
上述二組穴位交替使用。令患者取坐位,以1.5寸毫針,針體與皮膚呈30度角,針尖沿著皮下淺表層刺入穴位,不提插捻轉,醫者以針下有鬆軟感為宜。若病人有酸脹感,說明進針過深,重新調整。留針30分鐘,隔日1次,10次為一療程,療程間隔5天。一般治療5個療程以上。
(三)療效評價
以上法共治30例,結果,顯效9例,有效19例,無效2例,總有效率為93.0%[2]。
綜合法
(一)取穴
主穴:分2組。1、平衡區、運動區;2、肩髃、曲池、足三里、環跳。
配穴:分2組。1、視區、暈聽區、足運感區;2、手三里、合谷、腎俞、髀關、陽陵泉、太沖、崑崙。
(二)治法
採用第一組頭針穴加第二組體針穴,以主穴為主,酌加配穴,可依據病人情況,或用頭針加針灸,或用頭針加穴位注射。
頭針刺法
,一般單側有病取健側,雙側有病取雙側,針刺至規定深度後,快速捻轉(180~200次/分)3次,第1次捻轉3分鐘,休息5分鐘後再捻轉3分鐘,再休息5分鐘後,再捻轉5分鐘,最後1次捻5分鐘即可起針。每日1次。
穴位注射法:藥液:乙醯谷醯胺注射液100mg與川芎嗪注射液2ml。混合後注入所選體穴,每穴注入0.2~0.3ml,每次上下肢各選3~4個穴位。隔日1次。
溫針法:取28號1.5~2寸毫針,進針得氣後,採用捻轉或提插補法,留針15分鐘,在留針過程中,在針柄上可置黃豆大艾團點燃,每次灸6壯。溫針法為隔日1次。
上述方法頭針可每日使用,穴位注射和溫針可交叉或單獨配合套用。
(三)療效評價
療效判別標準:以共濟運動、步態、構音、眼球震顫四項體徵變化為指標。痊癒:患者自覺症狀消失,生活或工作能力得到完全改善,神經系統恢復正常;顯效:症狀、主要體徵明顯改善,生活或工作基本得到改善;有效:患者自覺症狀改善,體徵至少有一項改善;無效:症狀、體徵均無改善。
共治60例,痊癒26例,顯效20例,有效8例,無效6例,總有效率為90%[6,7]。
遺傳性共濟失調應該如何預防?.
應進行遺傳諮詢。預防措施包括避免近親結婚、攜帶者基因檢測及產前診斷和選擇性人工流產等,防止患兒出生。本病發展緩慢,如無嚴重的的心肺併發症,多數不影響壽命。少數患者臥床不起而殘廢。

