概述
視網膜中央動脈是視網膜內層營養的唯一來源。由於該動脈屬於終末動脈,分支間無吻合,一旦發生阻塞,視網膜內層血供中斷,引起急性缺血,使視功能急劇障礙。本病發病急驟。大多數為單眼,亦可在數日或數年後累及另眼。患者發病年齡多在40歲以上。性別方面無明顯差異。視網膜動脈阻塞首先由vonGraefe於1859年描述其特徵有三:
1.視力突然喪失;
2.後極部視網膜呈乳白色混濁;
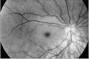
3.黃斑區有櫻桃紅點。
流行病學
視網膜動脈阻塞 病因
本病多發生在有高血壓(64%)、糖尿病(24%)、心臟病(28%)、頸動脈粥樣硬化(32%)的老年人青年患者比較少見,發病者常伴有偏頭痛(1/3)、血黏度異常、血液病、口服避孕藥和外傷等誘因,或因風濕性心臟病有心內膜贅生物者。
發病機制
視網膜血管1.血管栓塞:主要為各種類型的栓子進入視網膜中央動脈導致血管阻塞栓子常位於篩板處,因視網膜中央動脈經過篩板時管徑變窄,特別是老年人該處組織硬化,栓子更易在此處存留;其次栓子常位於後極部動脈分叉處常見的栓子有以下幾類:
(1)膽固醇栓子:為栓子中最常見者約占87%。栓子來源有67.5%發生於頸動脈、主動脈或大血管有進行性粥樣硬化的患者。由於粥樣斑壞死,潰瘍暴露在血流中含有膽固醇的物質脫落,成為栓子進入視網膜中央動脈。這種栓子比較小,呈黃色反光,通常位於顳側支動脈分叉處,尤以顳上支最易受累。可為單個栓子阻塞,也可為多數性,栓子位於黃斑周圍多支小動脈處,引起血流受阻。阻塞程度因栓子大小而異幾天后栓子移行至血管遠端約3個月後可完全消失。
(2)血小板纖維蛋白栓子:常見於缺血性心臟病、慢性風濕性心臟病和頸動脈栓塞的患者由於血管硬化,內皮細胞受損致內壁失去光滑性,且內皮下增殖,管腔變窄血小板和纖維蛋白聚集在血管內皮粗糙面形成血栓性斑塊,斑塊脫落後可進入視網膜血流。這種栓子比較大,呈灰白色小體可完全阻塞視網膜血流,患者突然完全失明。較小的栓子可在纖溶作用下數天后完全消失,血循環恢復大的栓子則可在血管內機化,導致該處血管壁白鞘形成。
(3)鈣化栓子:比較少見占視網膜栓子的4%。來源於鈣化的主動脈瓣或二尖瓣,或升主動脈和頸動脈的粥樣硬化斑,患者常有風濕性心臟病或其他心瓣膜病。栓子多為單個,色白無光澤呈卵圓形,比較堅固。栓子位於篩板附近或進入第1級分支,不易吸收,長期位於視網膜動脈內。
(4)其他少見栓子:包括腫瘤栓子,如心房黏液瘤;脂肪栓子見於長骨骨折患者;膿毒栓子見於亞急性細菌性心內膜炎;矽栓子見於作各種成型或美容手術注入矽製劑者;藥物栓子偶可發生於在眼周圍注射可的松者;其他尚有氣體栓子、滑石粉栓子等。
2.血管痙攣:發生於血管無器質性病變但血管舒縮不穩定的青年人,有早期高血壓的病人,也可發生於有動脈硬化的老年人。輕度的視網膜血管痙攣,患者感到短暫的視力模糊。強烈的陣發性血管痙攣可使血流完全阻斷產生一過性黑矇。如果痙攣迅速緩解視力可恢復正常痙攣發作頻率和時間長短隨病情程度而異可多天1次至1天數次持續時間數秒至數分鐘不等,反覆多次痙攣也可使視功能受損。血管痙攣常可因其他原因而誘發如沖洗陰道、沖洗鼻旁竇或姿勢改變。也可在各種感染性疾患如流感或瘧疾等,或外源性毒素,如煙、酒、奎寧等中毒時發生。血管痙攣還常合併有偏頭痛或聽力減退。
3.血管壁的改變和血栓形成:由於動脈硬化或動脈粥樣硬化、血管內皮細胞受損,內皮下增殖變性,使血管內皮粗糙、管腔變窄易於形成血栓。各種炎症也可直接侵犯動脈壁產生動脈炎如巨細胞動脈炎、全身性紅斑狼瘡、多發性結節性動脈炎、硬皮病以及皮肌炎等炎症使血管壁細胞浸潤、腫脹、阻塞管腔。炎症、感染或毒素也可刺激血管,發生痙攣、收縮和阻塞。
4.血管外部壓迫:如青光眼視盤埋藏性玻璃疣、視網膜脫離手術如鞏膜環扎術眼內注入膨脹氣體眼眶手術創傷、過度電凝止血、球後腫瘤或外傷致球後出血等,以上各種原因導致眼壓和眶壓的增高,均可誘發視網膜動脈阻塞。視網膜中央動脈阻塞常為多因素致病,既有血管病變的基礎,也合併有栓塞或其他誘因而綜合致病。
5.其他:如外傷、手術、寄生蟲和腫瘤等以及眼球後麻醉時球後出血,可引起視網膜中央動脈阻塞。
臨床表現
視網膜中央動脈阻塞(CRAO):常為篩板水平的粥樣硬化栓塞所致,系統性病因有偏頭痛、外傷、凝血障礙、炎症或感染性病、口服避孕藥、結締組織病包括巨細胞動脈炎等。視網膜脫離手術或眶內手術、下鼻甲或球後注射潑尼松龍等藥物偶有引起。表現為一眼突然發生無痛性完全失明。有的病人在發作前有陣發性黑曚。患眼瞳孔直接光反射消失,間接光發射存在。視網膜混濁水腫,尤其是後極部,但在中心凹,可透見其深面的脈絡膜桔紅色反光,在周圍灰白色水腫襯托下,形成櫻桃紅斑。視網膜動脈變細,少見視網膜出血。數周后,視網膜水腫消退,但視盤蒼白,視網膜萎縮,血管變細呈白線狀。治療應毫不遲緩,有數據顯示視網膜完全缺血後出現不可逆損害。
視網膜分支動脈阻塞(BRAO):血栓形成或栓塞是主要原因,系統性病因同CRAO。急性發作時眼底改變可不明顯,數小時後,受累動脈的供應區梗塞,視網膜呈灰白色水腫混濁。有時可見栓子阻塞的部位。視力可有不同程度下降,視野某一區域有陰影。數日後隨著血管再通和再灌注,水腫消退。遺留永久性視野缺損。後極部以外的阻塞,臨床症狀不明顯。治療上應尋找確定系統性病因,對因治療。
視網膜毛細血管前小動脈阻塞:可以由多種疾病引起,如糖尿病視網膜病變、高血壓、血管炎、膠原血管病、白血病、AIDS等。小動脈急性阻塞,抑制了神經纖維層的軸漿轉運,出現梗塞,即表現為棉絨斑。看到棉絨斑,即使只有一個,應尋找系統性病因,對因治療。
眼缺血綜合症:由慢性嚴重的頸動脈阻塞、或眼動脈阻塞引起。多為老年人。表現為視力逐漸喪失,眶區疼痛。檢查視網膜動脈變窄,靜脈擴張,視網膜出血及微動脈瘤,視盤或視網膜新生血管形成。螢光血管造影顯示脈絡膜充盈延遲,動靜脈期延長,血管著色。2/3出現虹膜新生血管,其中一半眼壓升高,一半因睫狀體灌注不良眼壓降低。虹膜新生血管出現後,大多數眼逐漸失明。理論上有效的成功治療是頸動脈內膜切除,但完全阻塞者無效。視力預後差。虹膜新生血管伴眼壓升高者,可行廣泛視網膜光凝。
併發症
由於視網膜內層因缺血壞死沒有能力誘發新生血管,故新生血管和新生血管性青光眼也很少發生。視網膜動脈阻塞一般不會產生新生血管性青光眼,除非同時合併有頸內動脈狹窄,造成長期視網膜動脈低灌注缺血視網膜中央動脈阻塞病人虹膜可有新生血管形成發病率為16.6%。慢性缺血和視網膜動脈阻塞是頸動脈病的兩個獨立特徵,可同時發生,也可一先一後。
診斷
無論主幹或分支阻塞,根據上述臨床表現,即可做出診斷。在主幹阻塞合併中央靜脈阻塞時,因眼底廣泛出血和水腫,動脈情況可被掩蓋,僅憑眼底所見,易誤診為單純的中央靜脈乾阻塞,但可從視功能突然喪失而予以鑑別。
檢查
實驗室檢查
1.血液流變學檢查 可了解血液的黏稠度。
2.病理學改變 視網膜中央動脈一旦阻塞,血流中斷,視網膜神經上皮層內層立即缺氧及壞死變性其嚴重程度和速度,與阻塞是否完全相一致據實驗報導完全阻塞後3h作組織學檢查,已可見到神經上皮層內層細胞膜破裂,核染色質堆積,細胞自溶及液體脫失,此後毛細血管管壁內皮細胞及壁間細胞變性,留下大片無細胞、無功能的毛細血管區視網膜內層細胞壞死被吸收後,為神經膠質所代替。
其它輔助檢查
螢光素眼底血管造影(FFA)檢查:因造影與阻塞發生相隔時間阻塞部位和程度不同,阻塞後血循環代償與重建情況不同,以致造影所見各異。從動脈完全無灌注、遲緩充盈、小分支無灌注直至充盈完全正常等幾種情況均可見到。一般常有下列數種表現:
1.病程早期所見:臨床上在阻塞一開始立即進行FFA的機會可以說是沒有的。所謂病程早期所見,實際上是指發病數小時甚至是超過24h後的造影改變。
主幹完全性阻塞時,視網膜動脈無螢光色素灌注,但視盤有由睫狀動脈供血的毛細血管,卻很快有螢光充盈而且明顯擴張,形成側支吻合,並迅速回流於視盤上中央靜脈根部,使造影劑灌注於靜脈主幹近端同時呈現特殊的逆流現象,即螢光從靜脈主幹向視盤外靜脈支逆行充盈。
主幹完全性阻塞突然有所緩解或是不完全阻塞時造影所見因當時的阻塞程度而異,阻塞較強者表現為螢光遲緩充盈視網膜動脈完全充盈時間,正常眼1~2s,而在受阻動脈可延長30~40s。因此造影動脈期至靜脈出現螢光層流(早期靜脈期)時間也非常緩慢,正常時相差僅1~2s,而此時則長達30~40s靜脈螢光暗淡或呈顆粒狀提示血循環嚴重不暢。阻塞程度較輕者,動靜脈充盈時間稍有延長或完全正常。
分支完全性阻塞在造影時,可以見到血流至阻塞處突然中斷在該處管壁有螢光滲漏,分支完全阻塞的另一指征為逆行充盈。由於阻塞支末梢端的壓力相當低,使毛細血管來的血液回流成為可能,因而在阻塞初期螢光片上,可見該動脈末梢端螢光素灌注早於阻塞處近端。
分支不完全性阻塞,阻塞處管壁無螢光滲漏。該動脈支螢光充盈時間比其他正常分支略有延長或完全正常。
2.病程後期:是指阻塞發病後數周乃至數月之後,此時FFA在主幹或分支完全性阻塞眼雖因側支循環形成而動脈充盈時間恢復正常,但動靜脈管徑狹窄、血管鞘膜、側支管道及毛細血管無灌注區等仍能見到。有時還可以發現微血管瘤、新生血管等異常螢光及視網膜增生膜等所顯示的假螢光。視野檢查呈現象限缺損或弓形暗點,ERG正常或有輕度改變。
治療
對發病時間較短者應按急診處理,發病48h內處理最好,否則治療效果不佳。
1.降低眼壓:使動脈灌注阻力減小。可採取按摩眼球,至少1min,使眼壓下降,或作前房穿刺,也可口服或靜脈注射乙醯唑胺等。
2.吸氧:吸入95%氧和5%二氧化碳混合氣體,可增加脈絡膜毛細血管血液的氧含量,從而緩解視網膜缺氧狀態並可擴張血管白天每小時吸氧1次,每次10min;晚上每4小時1次。
3.血管擴張藥:急診時應立即吸入亞硝酸異戊酯或舌下含化硝酸甘油。球後注射妥拉唑林25mg或12.5mg,每天或隔天1次靜脈滴注罌粟鹼30~60mg1次/d。也可口服煙酸50~100mg,3次/d。
4.纖溶製劑:對疑有血栓形成或纖維蛋白原增高的患者可套用纖溶製劑。靜脈滴注或緩慢推注尿激酶10萬~20萬U;或用去纖酶靜脈點滴。治療過程中應注意檢查血纖維蛋白原,降至200mg%以下者應停藥。
5.其他:可口服阿司匹林、雙嘧達莫等血小板抑制藥和活血化瘀中藥。此外,根據可能的病因降低血壓治療頸動脈病,有炎症者可用皮質激素、吲哚美辛等藥物以及神經支持藥物等。
預後
視網膜對缺血非常敏感,有報告缺血半小時視網膜即壞死也有報告動物實驗證實猴眼視網膜能耐受缺血90~100min。視網膜中央動脈阻塞後1個半小時內進行搶救治療視力恢復仍佳。一般而論,本病視力預後較差,因阻塞的部位和程度不同而有不同結局。一般病人就診時間較晚,失去搶救時機。有人追蹤觀察60例視網膜中央動脈阻塞患者,視力在0.1以下者占73%,O.2以上者占27%。有睫狀視網膜動脈供應黃斑者預後好,91%的患者最後視力可達0.25~1.0。

