流行病學
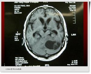
血管網狀細胞瘤CT圖血管網狀細胞瘤占所有腦腫瘤的1.5%~2%,占後顱窩腫瘤的7%~12%,好發於小腦半球,中國外資料顯示發生在小腦半球者占62.3%~80%,其次可發生在小腦蚓部或突入第四腦室顱後窩小腦占80%小腦蚓部13%第四腦室7%。腫瘤居於幕上者僅占12%左右,可見於額葉、顳葉,也可見於腦幹、丘腦及脊髓。而小腦半球中右側多於左側。據報導從新生兒到80歲均可發病,但以青壯年為多,30~40歲最易患病。男性稍多於女性。約6%的視網膜血管瘤病人伴發小腦的血管網狀細胞瘤,而小腦的血管網狀細胞瘤中約20%伴發有視網膜血管瘤。
病因:
確切的病因不明,2000年WH0將其歸為來源未明腫瘤。由於血管網狀細胞瘤常並發視網膜血管瘤胰腺囊腫、嗜鉻細胞瘤等而這些病變均來源於中胚層,且具有家族傾向,因此認為它具有遺傳因素。Oertelt等認為約有5%的病例有家族史,為常染色體顯形遺傳,男女具有相同的外顯率。VHL病的基因位於染色體3p25-p26,鄰近3p13-p14,後者在純家族性腎細胞癌中包含染色體易位。
發病機制
血管網狀細胞瘤病理圖腫瘤肉眼觀察可為囊性或囊實性,也有實質腫瘤囊性變者。腫瘤境界清,紫紅色,質較韌,直徑大小不一,同腦組織關係密切切面呈暗紫色。鄰近腦膜可有血管擴張。可有棕黃色的含鐵血黃素沉積於囊壁和腫瘤結節內。腫瘤呈囊性者占80%,特別是小腦血管囊性變者更多見。囊內含黃色或黃褐色液體,多在10~100ml之間。囊液蛋白含量較高,易凝固成膠凍樣。測定囊液蛋白質含量每100ml可達3~4g,系腫瘤滲出液腫瘤囊腔內壁光滑,有一富於血管的瘤結節,1/4腫瘤為實質性血運極為豐富如血竇樣紅色瘤結節突入囊內約2cm大小,但有些瘤結節小於1cm,有些甚至隱藏於囊壁內,不易被發現實體腫瘤多較大個別的直徑可達10cm,呈紫色鮮紅色、黃色質軟,血運豐富易出血,與周圍腦組織分界清楚。大多數病例為單發性腫瘤少數病例可有多個腫瘤分布於腦的不同部位。
臨床表現
血管網狀細胞瘤此外臨床表現與病理分型有關。毛細血管型和混合型腫瘤易形成較大的囊腫顱內壓增高症狀進展快,病程短,易出現強迫頭位及腦幹症狀。細胞型腫瘤因實質成分較高,病程進展較緩慢,症狀較晚出現。海綿型易出現瘤內出血,病程較短,症狀波動性較大,常可突然惡化。如出血破入蛛網膜下腔,可出現腦膜刺激症狀。
查體可有腦神經障礙、三叉神經感覺減退、Ⅲ、ⅣⅥ腦神經部分麻痹。90%的患者眼底可見視盤水腫,少數可見視網膜上有血管瘤或腫瘤出血引起的一些表現。內臟先天性疾病有肝囊腫、多囊腎、附睪炎、腎上腺嗜鉻細胞瘤、附睪管狀腺瘤等。
併發症:
如進行手術治療可能出現以下併發症:
1.顱內出血或血腫 與術中止血不仔細有關,隨著手術顯微鏡的套用及手術技巧的提高,此併發症已較少發生。創面仔細止血關顱前反覆沖洗即可減少或避免術後顱內出血。
2.腦水腫及術後高顱壓 可用脫水藥物降低顱內壓糖皮質激素減輕腦水腫。
3.神經功能缺失 與術中損傷重要功能區及重要結構有關,術中儘可能避免損傷,出現後對症處理。
診斷
顱內血管網狀細胞瘤絕大部分發生在幕下,成人有小腦腫瘤症狀及顱內壓增高症狀者,應考慮血管網狀細胞瘤的可能,尤其有下述表現的:
1.家族中已證實有血管網狀細胞瘤患者。2.有真性紅細胞增高症和高血紅蛋白症。3.眼部發現視網膜血管母細胞瘤。4.腹部內臟發現肝血管瘤、多囊腎、胰腺囊腫等。5.經腦血管造影、CT及MRI等檢查確診定位。
鑑別診斷:
囊性血管網狀細胞瘤應與星形細胞瘤相鑑別後者瘤結節增強,掃描強化不均勻密度較低。鈣化不能作為二者鑑別點因二者均有鈣化實體型血管網狀細胞瘤應與髓母細胞瘤鑑別,前者常伴有von Hippel-Lindau綜合徵,後者多見於小腦蚓部。對於瘤結節位於囊內者,在術前鑑別有一定困難。腫瘤位於橋小腦角者,需與聽神經瘤相鑑別,後者多為實體常有聽力改變。另外也需與供血豐富的顱後窩惡性膠質瘤及腦血管畸形相鑑別。
治療
血管網狀細胞瘤病理圖對於實體性腫瘤單純依靠手術切除困難也較大。主要因為此類腫瘤是由血管組成且腫瘤供血也較豐富,術中腫瘤出血增加了手術難度。故對此類腫瘤應做術前供血動脈栓塞術,可使腫瘤供血在為減少,利於手術全切腫瘤切除時要沿外邊的正常腦組織切開分離儘量避免直接觸動腫瘤表面,尋找到腫瘤供血動脈後予以電凝切斷,再處理引流靜脈。若血運處理得當,腫瘤迅速縮小,切除十分容易實質性腫瘤不能隨意穿刺或活檢,穿刺或試圖做腫瘤的活檢是絕對不允許的手術操作方法,以免發生難以控制的大出血。若腫瘤在腦幹附近或與其有粘連,不可勉強全切以免發生危險。當腫瘤被完整切除後,由於原先供應腫瘤的高血流被倒流入腫瘤周圍的正常腦組織內,引起瘤床的大量滲血,止血非常困難。
預後:
腫瘤全切除者,預後良好。術後復發率12%~14%。部分研究認為術後復發多在術後10年以上。復發多因腫瘤切除不徹底或另有新腫瘤所致復發後可再次手術,囊性病變如第一次未能全切,多能在二次手術中識別全切。囊性腫瘤術後死亡率在5%以下,實體腫瘤較其高出3倍,主要是手術中止血困難和腫瘤影響到腦幹及第四腦室。隨著術前供血動脈栓塞術的廣泛套用,手術難度下降,實體腫瘤手術全切率和術後死亡率定會得到改善。多發及合併內臟囊腫或血管瘤者,預後較差。
