發病機制
胸淋巴結X片圖(1)肉芽腫型(granulomatousform):主要由組織漿細胞病(histoplasmosis)和結核引起,由淋巴結空洞性壞死和膿腫形成,而後播散至縱隔內。局限於結締組織內受侵之淋巴結也可侵蝕至鄰近結構感染局限於右支氣管旁或氣管支氣管淋巴結時能產生上腔靜脈梗阻。隆突下淋巴結受侵能波及食管前壁一旦淋巴結穿孔至食管則引起牽引型憩室,肉芽腫侵蝕食管環時,能導致狹窄。感染沿支氣管播散,則產生支氣管擴張,單獨侵蝕氣管者甚為少見。然而兒童的結核性淋巴結能穿入氣管而產生梗阻。
肉芽腫型縱隔感染偶爾能由真菌引起,諸如放線菌病(actinomycosis)、土壤絲病菌(nocardiosis)、芽生病菌(blastomycosis)、白黴病菌(mucormycosis),感染可直接由肺侵蝕至縱隔內,則不經過中間淋巴結途徑
(2)局限性纖維性變型(localized fibrousform):無明顯肉芽腫塊表示為肉芽腫晚期病變。多數病因是組織漿細胞病及結核,有些則原因不時。此型多造成上腔靜脈梗阻,氣管變形狹窄。亦可並發肺動脈或肺靜脈狹窄、縮窄性心包炎。
原發性縱隔感染 正常狀態下,主動脈與左主支氣管、食管周圍為疏鬆結締組織,二者可以獨立運動,但在纖維性縱隔炎時,造成組織的相互粘連當食管鋇餐檢查作咽下動作時,主動脈弓和氣管可一起抬高,所謂主動脈吞咽綜合徵(aorticswallowingsign)。局限性纖維性變型縱隔炎並發粘連和縮窄性心包炎,除結核等病變外多數病因不明。支氣管狹窄也是此型縱隔感染常見的併發症。
(3)慢性縱隔膿腫(chronicabscess):慢性縱隔膿腫由於慢性縱隔淋巴結感染、急性縱隔膿腫引流不暢支氣管瘺、食管瘺等引起。來源於淋巴結或脊柱的慢性膿腫常為結核。支氣管瘺、食管瘺常常為手術併發症屬繼發性縱隔感染。
慢性縱隔膿腫幾乎難以與局部肉芽腫及纖維型縱隔炎鑑別,除非與食管或支氣管溝通。縱隔內有液平或提示與食管相通,則證明膿腫由食管破裂引起,但也可能是膿腫破入食管內。
臨床表現
血紅蛋白診斷:
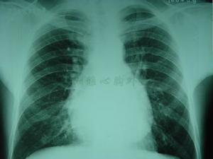
原發性縱隔感染早期診斷較為困難,一般症狀有胸前疼痛、低熱、全身無力、體重下降、咳嗽,呈慢性病的污泥生症狀,甚至發展成惡病質化驗可發現有血紅蛋白的降低,白細胞持續升高,X線攝片早期不能發現異常當發現局限的肉芽腫型縱隔感染,X線片上產生局部縱隔影增寬。最常見的X線表現為右氣管旁腫塊突出,並有胸骨後間隙密度增高,病灶由肉芽腫塊、炎症淋巴對、纖維組織混合。隆突下區有相似之腫塊於側位及斜信片上最易察見。如感染侵蝕後縱隔間隙,侵犯食管緣時,食管造影片可見局限性邊緣不整從後前位胸片上觀察隆突下腫塊僅僅是心影上部密度增高。大的腫塊使雙側主支氣管移位氣管隆突分叉角增寬腫塊輪廓不會十分具體清晰。如腫塊中心壞死或乾酷樣變,則容易鈣化鈣化灶之輪廓多不規則,斷層攝影(CT)可以顯示。局限性纖維性變型X線診斷,以縱隔內某一器官之X線影像為突出,特別常見者為上腔靜脈綜合徵右上縱隔影增寬為突出。梗阻位於上腔靜脈入口以下時,上腔靜脈血管成為主側支通路而擴大,在右支氣管角處顯示局部擴張肺動脈狹窄顯示肺野供血少及右心室肥大。肺靜脈狹窄由於回流障礙而肺野充血。廣泛纖維型縱隔感染,縱隔變硬,邊緣銳利失去正常曲度,雙側縱隔影變硬及毛糙。如是慢性縱隔膿腫繼發於椎體感染,腫塊影向雙側縱隔凸出骨結核引起的縱隔膿腫在X線片上常可以看見。
治療
慢性縮窄性心包炎支持療法加強營養提高自身抵抗力,抗感染。原發性縱隔膿腫以根除病因為主。靜脈梗阻、受壓引起的上腔靜脈綜合徵、心包炎則需要手術治療。
(二)病因治療
在明確病人存在縱隔感染時,應積極尋找病因,查找引起縱隔感染的病原菌,再根據不同的病菌給予相應敏感的抗生素。
(三)手術治療
由於縱隔膿腫和組織纖維攣縮引起的縱隔內器官受壓、破壞則需要手術治療。
1.上腔靜脈綜合徵的外科治療
(1)上腔靜脈松解術:對感染引起的組織纖維化牽拉、攣縮所造成的上腔靜脈綜合徵松解上腔靜脈周圍的纖維組織解除對上腔靜脈的壓迫。
(2)上腔靜脈壁部分切除術:當炎性腫塊侵蝕部分上腔靜脈壁,將腫塊連同靜脈壁作部分切除然後補片對小的腫塊侵及上腔靜脈內,前端超過炎性腫塊部位,導管下段要做許多側孔,使與右心房相通,用阻斷帶放在上腔靜脈受侵位置的上下端,手術時予以阻斷,使血液從已阻斷的上腔靜脈,通過導管直接回流至右心房內。使受累的部分上腔靜脈壁可以從容切除及重建,用靜脈片或心包片做縫合修補。
(3)側支旁路手術:利用擴張的側支循環間吻合,建立新的通路重建上腔靜脈的回流。其方式有直接吻合、側支靜脈架橋、異體材料架橋等。上腔靜脈旁路手術的途徑較多:自上腔靜脈或無名靜脈移植到右心耳;自上腔或無名靜脈移植到心包內上腔靜脈;奇靜脈直接與右心耳或心包內上腔靜脈吻合;自頸內靜脈到右心房;自上腔靜脈到右心房;奇靜脈遠心端直接吻合到下腔靜脈;大隱靜脈頸內靜脈吻合術。
(4)上腔靜脈移植術:上腔靜脈移植還不是一個很成功的術式,主要在於術後栓塞率高,術中存在如何選擇移植材料和移植技術問題。以上腔靜脈完全閉塞為例,手術在常溫(頭部降溫)或低溫麻醉下進行。從胸骨正中鋸開頸部可遇到豐富的側支血管。曲張靜脈如蚯狀,必須小心地一一結紮止血。游離上腔靜脈和左、右無名靜脈,探查上腔靜脈的阻塞程度及其範圍。用無損傷血管鉗阻斷上腔靜脈的近心端及左、右無名靜脈,切除閉塞段在右無名靜脈和上腔靜脈間置入人造血管用3-0號無損傷縫線先縫合遠心端血管口。右無名靜脈和人造血管各放兩根對角牽引線,結紮後,後壁做間斷外翻縫合,於血管外打結然後再縫前壁。用同樣方法做近心端吻合。吻合完成後,先開放遠端阻斷鉗,在人造血管壁上插入針頭排氣,再開放近端阻斷鉗,如有漏血,可補縫1~2針。
(5)大隱靜脈頸外靜脈吻合術:大隱靜脈頸外靜脈吻合術是解除上腔靜脈梗阻的旁路手術之一亦是惟一的胸腔外靜脈分流術手術目的是:游離大隱靜脈全長,倒轉過來與頸部靜脈吻合使上腔血液流經大隱靜脈、股靜脈途徑回流到下腔靜脈。
2.縮窄性心包炎 見縮窄性心包炎的外科治療。
預防
1.鋸胸骨必須劈正。院17例中,3例縱劈胸骨時劈偏,造成胸骨橫斷。
2.術中止血不完善,過多使用骨蠟、電灼,引流管不暢、血塊積聚和再次開胸均有增加感染的可能性。
3.經胸骨旁肋間隙穿鋼絲固定胸肌可靠,成人不少於5~6根鋼絲Culliford認為2根鋼絲放置胸骨柄,4根鋼絲放置胸骨旁肋間隙中較好。
4.胸大肌筋膜覆蓋鋼絲和胸骨間隙。
5.心包儘量縫合,防止感染侵入心包腔造成心臟感染大出血。
6.對有劇烈咳嗽咳痰的病例,疑有胸骨裂開的可能時,用胸帶包紮固定。
7.一般術後5~7d做氣管切開,同時應注意氣管切開後的護理預防傷口感染。
