簡介
血管球瘤(glomus tumor)可分單發性血管球瘤和多發性血管球瘤常有顯著觸痛和自發性疼痛,但偶亦有無疼痛者指趾部損害多見於女性,發生於其他部位者男性多見通常廣泛分布於軀幹可多達數十個,皮損群集時可融合成團塊血管球瘤雖然在身體其他部位也可發生,但多見於手上。有人稱之為血管神經瘤、血管平滑肌神經瘤可手術治療。
流行病學
指趾部損害多見於女性,發生於其他部位者,男性多見多發性血管球瘤少見,可呈常染色體顯性遺傳多見於兒童。目前沒有其他相關內容描述。
發病機制
血管球瘤臨床表現
血管球瘤血管球瘤可分單發性血管球瘤和多發性血管球瘤。單發性血管球瘤較常見呈淡紫或暗藍色結節直徑數毫米,高解析度磁共振顯像有助於手術確定腫瘤範圍。多發性血管球瘤少見,一般無觸痛。
1.生長部位
最常見為手指甲床,在身體其他任何部位也可發生好發部位為甲下但亦可發生於手指臂部等處。指趾部損害多見於女性,發生於其他部位者男性多見。為一小血細胞狀暗紅或紫藍色。透過指甲可見高起或發藍臨床上皮損類似藍色橡皮皰痣通常廣泛分布於軀幹可多達數十個皮損群集時可融合成團塊腫瘤進行性增大可引起潰瘍。
2.局部劇烈疼痛
常有顯著觸痛和自發性疼痛,嚴重者觸痛呈劇烈放射性疼痛。但偶亦有無疼痛者其特點為不碰不痛,遇冷熱及按壓刺激後疼痛明顯吃酸物及情緒波動時疼痛加重夜間疼痛明顯。
3.用大頭針圓頭可點壓出部位
若生長在其他部位的皮下,也可能觸到疼痛的皮下結節或見到局部皮膚發暗。
檢查
血管球瘤——症狀大頭針按壓試驗(以大頭針尾部壓觸腫瘤體表部位引起疼痛)陽性。
2.實驗室檢查
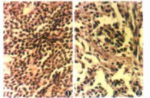
組織病理見擴張的血管腔,內襯單層扁平內皮細胞,內皮細胞周圍為數層或多層血管球細胞。腫瘤內可以有結締組織、平滑肌組織及無髓神經纖維。電鏡下瘤細胞具有平滑肌細胞的特徵,而非外皮細胞。免疫組化對Vimentin及基膜成分染色陽性。
3.影像學檢查
X線檢查用於檢查血管球瘤是否已經壓迫指骨,形成指骨壓跡,並且可以觀察血管球瘤有無硬化的囊腫樣改變。磁共振顯像可較早發現病變,清楚顯示界限,定位準確,能清楚地顯示其與周圍組織的關係,有助於手術確定腫瘤範圍。
診斷
具有典型三聯征的指(趾)部損害診斷較容易。指(趾)部的疼痛,特別是遇冷、局部碰撞和按壓產生劇烈疼痛者,應首先考慮手指血管球瘤。結合大頭針試驗陽性和X線提示末節指骨背側有腫瘤壓痕即可確診。甲床外的血管球瘤由於體積小、位置深、定位不準確,缺少血管球瘤典型的三聯征,診斷困難,經常誤診。鑑別診斷
甲下血管球瘤應與骨疣、纖維瘤、黑色毒瘤等相鑑別,甲下以外部位應與神經纖維瘤和血管瘤相鑑別,鑑別要點為血管球瘤具有固定點疼痛及冷敏感性,病理檢查可見大小一致的血管球細胞圍繞血管壁排列。多發性血管球瘤需與藍橡皮奶頭痣綜合徵(BRBNS)相鑑別。兩者的不同之處在於:後者常為先天性,而本病常起病於兒童期;BRBNS常累及胃腸道,而本病很少累及胃腸道;組織病理學上本病可見特徵性的血管球細胞,而BRBNS沒有血管球細胞。治療
手術徹底切除多可治癒去除局部指甲,甲床淺層即可見。在深層的需切開甲床術中動作要輕柔,以免將包膜弄破不能完整取出。

