疾病概述
鼓室球瘤是頸靜脈一鼓室副神經節瘤,該病臨床上少見,瘤體血供豐富,周圍的解剖關係複雜,在處理上有一定難度。
頸靜脈球瘤來自頸靜脈球拱部的球體,鼓室球瘤來自鼓岬上的球體.兩者均起源於副神經節,故又稱副神經節瘤。

症狀:
本病多發於中年女性,以搏動性耳鳴和聽力下降為主要臨床表現,早期體檢發現鼓膜後內側透見紅色腫物,後期可穿破鼓膜,外耳道見易出血性腫物。面神經受損可出現面癱,後組腦神經受損可出現吞咽障礙、嗆咳、聲嘶、伸舌偏向患側等症狀。頸靜脈鼓室球瘤是頸靜脈一鼓室副神經節瘤,該病臨床上少見,瘤體血供豐富,周圍的解剖關係複雜,在處理上有一定難度。
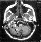
臨床診斷與影像學檢查:
由於本病出血較為兇猛,一旦懷疑本病,不應進行活檢,應先行影像學檢查。顳骨高分辨CT掃描對頸靜脈鼓室球瘤的診斷、病變範圍的判定有重要價值,鼓室球瘤的早期常表現為鼓岬表面的軟組織影,局限於鼓室內。後期常向乳突、耳咽管、外耳道發展,表現為外、中耳的腫物影。頸靜脈球瘤早期表現為頸靜脈孑L擴大,邊緣不規則,晚期頸靜脈孑L邊緣出現“蠶食樣”改變,腫瘤向上侵入鼓室、鼓竇,向下侵蝕頸靜脈和顳下窩,向內侵犯面神經骨管,巨大的頸靜脈球瘤可侵入顱後窩至腦內,乙狀竇、頸靜脈球常受壓侵蝕,亦可包繞頸內動脈周圍。MRI表現為頸靜脈孑L區軟組織,T.WI為低信號,T:WI為明顯高信號,注射增強劑後腫瘤呈明顯的不均勻強化。並可見特徵性的“撒胡椒麵表現”。磁共振血管造影術(MRA)可初步了解腫瘤周圍的頸內動脈、頸外動脈、頸內靜脈、乙狀竇等大血管情況 。

治療
治療:
頸靜脈球鼓室球瘤是由神經嵴細胞起源的副神經節發生的腫瘤,其問質血管豐富,可不斷增大,侵犯和破壞周圍結構,一旦確診,應積極治療。治療包括放射治療和手術治療,哪一種為最佳治療手段尚存在爭議。
