簡介
著色真菌病(chromomycosis)又名著色芽生菌病,是由著色芽生菌屬引起的慢性肉芽腫性炎症,主要侵犯皮膚和皮下組織,其特點是在真菌侵入處,緩慢形成無痛性疣狀結節,最後形成乳頭瘤樣贅生物,部分可繼發潰瘍。
病別名:著色芽生菌病
所屬部位:皮膚
就診科室:傳染科
症狀體徵:丘疹 結節 頭痛 昏迷 步態異常
病因病理
本病的病原菌是裴氏著色真菌,緊密著色真菌、疣狀著色真菌、卡氏分枝孢子菌及皮炎著色真菌,其中以裴氏著色真菌引起者最常見。但腦膿腫綜合症是由另一種暗色真菌毛狀分枝孢子所致;囊腫皮下型為高氏瓶黴菌和曾氏瓶黴菌所引起。著色真菌廣布於自然界中,好腐生於潮濕地帶,腐臭的樹木或植物上。該病的發生與機體外傷密切相關,致病菌可以從傷口處侵入皮膚而感染。一般人與人之間不直接傳染。當機體免疫功能降低時,可引發血行播散而累及臟器;本病的發生過程也與局部組織免疫有關,因皮損發生後,有時不經醫治,部分病變也可逐漸自然痊癒。
著色真菌病在世界各國都有散發,但以熱帶、亞熱帶地區尤為常見。在我國1951年于山東省首次發現,隨後吉林、遼寧、河北、河南、陝西、安徽、江蘇、江西、廣東、廣西、北京及上海等省市皆有病例報導。其中在山東的章丘及河南之滎陽為主要流行地區。該病是一種慢性病可謂沉疴頑疾,常歷經幾年,甚至數十年而不愈。最後可使患者肢體致殘,重症者還可危及性命,故對著色真菌病的防治應予以重視。
臨床表現
著色真菌病皮損初起的表現為水皰丘疹,接著逐漸演變成斑塊結節,最終變成菜花狀或乳頭瘤樣而明顯高出正常皮膚。彼等損害常因外傷或繼發感染時,可破潰而形成潰瘍。皮損之間可見少許膿性分泌物,常發生難聞的臭味。若取該分泌物直接塗片鏡檢,往往可以查見棕黃園形厚壁的真菌孢子。
損害多呈密集成群,大小不等,彼此可相互融合,有些皮疹呈衛星狀分布。皮損色澤為暗紅色或紫色。患側肢體由於淋巴管阻塞,可形成慢性淋巴水腫或象皮病。另外,在該病緩慢發展過程,有時還可觀察到部分病變組織自然痊癒,而遺留下疤痕和色素沉著。
本病呈慢性經過,可歷經數年或數十年而不愈,但一般健康尚可,如不積極堅持醫治,最終可使患者肢殘廢,喪失勞動力。某些患者可累及內臟而出現相應症狀。
腦膿腫綜合症多是病原菌經血行播散至腦,往往見於體質衰弱或長期套用皮質類固醇激素的患者,此種病人予後不佳。
囊腫皮下型多在人體暴露部位出現結節,該結節以後中央發生壞死並形成堅實的皮下囊腫。其直徑約2厘米左右。
診斷和鑑別
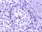
著色真菌病除了依靠病史,臨床症狀特徵以外,組織病理和真菌檢查對本病確診具有重要的意義。病理切片在浸潤的郎罕氏細胞內或真皮組織中可發現棕黃色厚壁的園形真菌孢子;取皮損處膿性分泌塗片直接鏡檢,也可查見上述的的真菌孢子。若進行真菌培養亦可獲陽性。
本病應該與疣狀皮膚結核,梅毒.鱗癌及孢子絲菌病進行鑑別。
飲食保健
1、著色真菌病吃哪些食物對身體好?
飲食清淡富有營養,注意膳食平衡。
2、著色真菌病最好不要吃哪些食物?
少吃辛辣刺激食物。
檢查
(1)實驗室檢查:直接鏡檢可見棕色、分隔厚壁的抱子即“分裂體”,未見茵絲。真菌培養有暗色真菌生長。
(2)組織病理檢查:只侵犯表皮、真皮,不侵犯皮下組織。表皮呈假上皮瘤樣增生,表皮、真皮內有小膿腫。在小膿腫和異型多核巨細胞內可見不同形態的棕黃色硬殼細胞(厚壁抱子)。
治療方法
著色真菌病二.內用療法
(一)5-氟孢嘧啶:本藥可按每公斤每日100mg計算內服,可以獲效。但需長期連續套用,直至皮疹消失為止.。
(二)噻苯噠唑 每日2克,連用3-6月,或許可見效。
(三)大蒜素靜滴或口服咪唑類藥.球紅黴素、廬山黴素、二性黴素乙等抗真菌藥都可酌性試用。
(四)碘化鉀內服,逐漸增加劑量到3-6克,分3-4次服,連用至皮損消退,真菌檢查陰性為止。據報導用此藥治本藥,其療效不如治療孢子絲菌病。
三.外用療法
(一)早期病變的皮損可考慮手術切除。
(二)電凝固、雷射、高頻電刀等僅適面積較小的損害。
(三)局部溫熱療法:鑒於著色協菌在38℃以上即停止生長,故患處局部可使用蠟療,燈泡局烤等使病變地方濕度達到50~ 60℃,每日一次,每次30分鐘,可以獲得良好的效果。本療法最適宜在適宜在農村開展。
(四)二性黴素乙10~50mg,進行局部注射(每5mg 本品加入2%奴夫卡因1ml)。每周一次,堅持3個月,可能奏效。此療法也可用廬山黴素代替。
(五)局部外用噻苯噠唑二甲基亞硯溶液或10%5-氟胞嘧啶軟膏均可望見效。
鑑別
著色真菌病2.足菌腫:常有外傷史,好發於經常接觸泥土者。皮損為暗紅色浸潤性肉芽腫件斑塊,可形成瘦道,從中能排出顆粒。真菌直接鏡檢可見足菌腫顆粒。
預防
勞動生產中,遇有皮膚外傷,須及時妥善處理,如外塗碘酊,則可預防本病發生。
併發症
本病呈慢性經過,遷延不愈,久病可出現淋巴性水腫、象皮腿、瘢痕、攣縮、致畸、致殘,甚至癌變。
討論
1911年Pedroso首次報導CM後,1973年Ajello等根據病原學、臨床表現將CM分為PHM及CBM兩個病種,至今已得到認可。暗色孢科真菌為一類條件致病菌,生長在潮濕的土壤、木材、麥稈及雜草中。PHM由枝孢霉(cladosporium)、外瓶霉(exophiala)、瓶霉(phialophora)、交鏈孢收(alternaria)等引起,文獻報導導致中樞神經系統感染者多為斑(氏)枝孢霉(cladosporium trichoides)及裴德羅索著色霉(hormodendrum pedrosi)。組織病理為棕色分隔的菌絲。臨床表現主要分為兩種類型,其中一類為皮下組織暗色絲孢霉病,常為單一的皮下或肌肉的膿腫,有時為皮下囊腫。另一類為系統性暗色絲孢霉病,為黴菌血行播散,引起多臟器系統性感染,主要是腦部感染。CBM由裴(氏)瓶霉(fonsecaeapedrosoi)、疣狀瓶霉(phialophoraverrucosa)、緊密瓶霉(fonsecaeacompacta)、卡(氏)分枝孢子菌(cladosporiumcarrionii)及嗜脂著色霉(rhinocladiellacerophilum)5種暗色孢科真菌引起。患者多見於農民、伐木工人,常因皮膚損傷後感染,局部出現丘疹、結節、潰瘍或結痂,常數年或數10年不愈,組織病理學為棕色厚壁孢子。
疾病大全(2)
| 疾病是人體健康的殺手,了解疾病、預防疾病、治療疾病一直是廣大醫務工作者為之奮鬥的目標。然而預防疾病也是我們每個人必須做到的。在這裡讓我們通過對一些疾病的了解來加強人類對疾病的防範意識,杜絕疾病的發生,減少人間的慘劇! |

