腦白質病簡介
腦白質內可發生許多疾病。而腦白質對各種有害刺激的典型反應是脫髓鞘變化,
腦白質病
病因
腦白質病是一組具體病因尚不甚明確的中樞神經系統脫髓鞘性疾病。它可以是神經系統疾病如感染、中毒、退行性變、

腦白質
1、遺傳因素:在歐美白人多發性硬化症患者中HLA-A3,-B7和-DW2抗原陽性者較多;而異染性腦白質營養不良患者就是一種常染色體隱性遺傳性疾病。
2、人文地理因素:其中如多發性硬化症在寒溫帶多見,熱帶則較少。歐洲人發病率高,而東方、非洲人患病率較低;
3、感染因素:懷疑麻疹病毒、皰疹病毒和HIV病毒與多發性硬化症有關;已證明乳多空病毒科的JC病毒和SV-40(SimianVirus猴病毒)是進行性多灶性腦白質病的病原體;醫學界公認亞急性硬化性全腦炎由麻疹病毒引起。
4、中毒:由多種毒性因素引起的腦白質病包括顱腦照射;藥物治療,如某些抗腫瘤藥、抗生素及免疫製劑;濫用藥物,如甲苯、乙醇、海洛因等;還有環境毒素等。
5、血管性疾病:是成人(尤其是老年人)最常見的,臨床多有高血壓、動脈硬化病史,且伴有反覆多發梗死及腦萎縮。
6、腎上腺白質營養不良:最常見於兒童,成人多見於20~30歲男性,有腎上腺功能不全、性機能減退、小腦共濟失調和智力減退的現象發生。
病理
腦白質主要由神經纖維構成,有髓纖維由軸突髓鞘和Schwann細胞構成,髓鞘基本為同心環狀纏繞的雙層單位膜,髓鞘是神經纖維的主要組成部分,具有保護和營養神經纖維作用,任何原因的髓鞘異常均可引起臨床發病。
腦白質對各種有害刺激的典型反應是髓鞘的變化,髓鞘的異常改變是腦白質病影像表現異常的基礎,脫髓鞘病變是一種髓鞘正常形成和被供養維持後又被內源或外源致病因素破壞的疾病,主要累及腦深部白質,腦室周圍,其病理改變認為與腦室周圍白質髓鞘含量降低,室管膜細胞丟失,側腦室前角附近膠質增生,室管膜周圍間隙細胞外液含量增加及軸突變少有關。
大腦白質由兩組動脈供應,一組為向心性來自大腦動脈稱為髓內動脈,另一組為離心性來自腦室動脈。它們的吻合區在腦室旁。這些動脈若有狹窄或阻塞則會引起局限性病損。大腦的靜脈引流特點是除弓狀纖維處多會受損。由於腦室周圍深部白質主要是由穿支動脈供血,它們很少或完全沒有側支循環,在距離腦室壁3-10cm範圍內的終末區為分水嶺區,這樣的解剖特點決定了該區白質易受到缺血的影響。從以上情況看,無論是靜脈回流障礙還是分水嶺的缺血,以及各種原因引起的腦水腫,最終均會導致缺血缺氧性脫髓鞘改變。
分類
腦白質病變的分類迄今尚無統一標準。常見的分類方法如下:
按起病時髓鞘發育是否成熟分類
進行性多病灶性腦白質病又稱先天性和遺傳性腦白質病,通常又稱之為腦白質營養不良(Leukodystrophy)或遺傳性腦白質營養不良(Heredity Leukodystrophy),為先天性代謝缺陷引起,髓磷脂的產生、維持和分解異常是腦白質髓鞘形成障礙的病因。
這類疾病通常包括:腎上腺腦白質營養不良、異染性腦白質營養不良、類球狀細胞型腦白質營養不良、海綿狀腦病、亞歷山大病、皮質外軸突發育不良等。
2、髓鞘發育正常的脫髓鞘性疾病
為後天獲得,又稱獲得性腦白質病,主要指已經發育成熟的正常髓磷脂被破壞,即:腦白質脫髓鞘(demyelination)疾病。
它主要包括:多發硬化、進行性多灶性腦白質病、急性散發性腦脊髓炎、亞急性硬化性全腦炎、橋腦中央髓鞘溶解症、胼胝體變性、皮層下動脈硬化性腦病和同心圓硬化等。
按照腦白質病灶來源分類
1、繼發於中樞神經系統感染、中毒、變性和外傷等疾病的白質病灶,屬繼發性腦白質病;2、原發於腦白質的疾病稱原發性腦白質病,簡稱腦白質病(Leukoencephalopathy)。
症狀
腦白質病最顯著的臨床表現是精神狀態的改變,即在沒有失語的情況下有注意力、記憶力、視覺空間技能、執行功能和情感狀態等其中至少一項缺陷。
輕度病例表現為:慢性意識模糊狀態,伴注意力不集中、記憶力喪失和情感功能障礙;
更為嚴重的病例:產生痴呆、意識缺失、木僵和昏迷等嚴重後遺症。
如果腦白質發生了局灶性壞死,則精神狀態改變比一般體徵如偏癱、感覺障礙和視力喪失突出。
診斷
一般診斷
初步精神狀態檢查,包括評價注意力不集中的試驗、鑑定記憶力障礙的三詞延遲回憶試驗、評價視覺功能障礙的時鐘繪畫和評價腦功能的交替運動序列。如果精神狀態檢查結果可疑,可進一步進行神經精神學測試。如果初步精神狀態檢查的前兩類試驗未發現任何缺陷,則可確定無可察覺的大腦損害;如果前兩類試驗發現異常,可進行大腦神經影像學檢查。
影像學表現
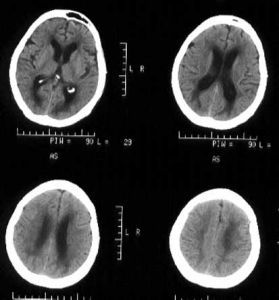
腦白質病合併腦萎縮的CT表現腦白質病的影像學檢測手段中,加權磁共振成像是首選檢查手段,是鑑別早期或輕微腦白質病與精神疾病的重要手段,而CT僅能顯示重度腦白質損害。
1、傳統X線診斷
X線平片檢查能顯示海綿狀腦病(Canavan’sdisease)所致的進行性頭顱增大,對其它類型的腦白質疾病均無陽性發現。腦室及氣腦造影可顯示腦白質疾病晚期腦萎縮的改變。當多發硬化斑塊較大時,腦血管造影可顯示有血管移位,但多數腦白質疾病病灶的血管造影像呈陰性改變。總之,傳統X線檢查對腦白質疾病的診斷價值非常有限。
2、CT診斷
CT具有高密度解析度和空間解析度,平掃即可較清晰區分大腦半球和小腦半球的白質和灰質,增強CT掃描則可增加腦白質病灶的顯示能力。但是CT的軟組織對比解析度較低,顯示腦幹和小腦不佳。所以,CT不能完全顯示某些腦白質病灶、其定位和定性診斷能力均受限。
3、MRI(磁共振)診斷
MRI是顯示腦白質及白質病灶最敏感的方法,以T2加權像更為敏感。除橫斷位外,還應包括冠狀斷掃描,有些病理變化僅在冠狀斷T2加權像上才能充分顯示。T2加權像顯示的髓磷脂沉積過程與屍檢切片髓磷脂染色所見,相關良好。在矢狀斷像上,MRI可顯示腦幹腦白質的發育情況。若常規掃描發現腦白質信號異常,可行增強掃描,以確定病灶的嚴重程度、活動性和進行鑑別診斷。
鑑別診斷
1、腦白質偏少:是腦白質營養不良的一個表現。
2、腦白質稀疏:好發於50歲以上者,常見於痴呆及腦血管患者。CT特徵表現為雙側腦白質對稱性低密度灶,或並發腦梗塞、腦出血及腦萎縮。
3、腦白質萎縮:MRI顯示腦白質萎縮是遺傳性多發腦梗死性痴呆的臨床診斷的症狀。
預防和治療
多數腦白質病患者的病情可逆,但有少部分是不可逆的。所以,如果採取適當的預防措施,患者的症狀可明顯改善。而腦白質病的治療方法有一定的局限性,截至2012年也無統一的治療方案,因此,預防非常重要。應增強機體免疫功能,提高機體抗病能力。營養神經,擴張微循環使受損殘餘神經得到充分的血供,控制預防病情繼續發展。
腦白質病的治療大多採用大量糖皮質類固醇,亦可用抗凝治療。
未來非特異性治療包括誘導完好少突膠質細胞對脫髓鞘軸突重新進行修復,形成新的髓鞘;或進行胚胎幹細胞移植。後者可分化成有功能的,成髓鞘的少突膠質細胞。
病例
42歲的麥可·克拉克(左)與39歲的馬修·克拉克(右)2012年5月,據香港《文匯報》報導,英國一對分別為40多歲和30多歲的兄弟倆患上罕見病症(腦白質病),導致他們逐漸喪失說話和活動能力,思維也越來越向兒童靠攏,如同電影《班傑明·巴頓奇事》中“返老還童”的真實版。

