發病原因
ALD是一組隱性遺傳性脂代謝病,由於細胞中過氧化物酶體對VLCFA的氧化發生障礙,以致VLCFA在血、腦白質、腎上腺皮質等器官和組織內大量聚積,引起中樞神經系統脫髓鞘和腎上腺皮質萎縮或發育不良。
發病機制
致病基因ABCDl(ATP-binding Cassette,Sub-family D,Memberl)位於Xq28,由10個外顯子和9個內含子組成,編碼1個含745個胺基酸殘基的蛋白質,稱為腎上腺腦白質營養不良蛋白(adrenoleukodystrophy protein,ALDP),位於過氧化物酶體膜上。ALDP和另外3個位於過氧化物酶體膜上的蛋白結合,形成二聚體,能將飽和的VLCFA轉運至過氧化物酶體內進行氧化。由於ABCDl基因突變,導致ALDP功能異常,使得VLCFA的氧化受阻,引起VLCFA聚集。VLCFA在神經系統中聚集可破壞髓鞘的正常形成和髓鞘的穩定性,在腎上腺皮質細胞中聚集可引起腎上腺皮質細胞膜表面的ACTH受體功能下降,細胞內類固醇合成受抑制,而致腎上腺功能減退。
病理生理
ALD的病理特點是大體可見腦白質病變區呈固狀或橡膠狀,腎上腺皮質萎縮,髓質不受影響;鏡下可見腦組織、腎上腺、周圍神經、睪丸內有特徵性的包涵體,包涵體內富含VLCFA 酯化的膽固醇。腦部最顯著的特徵是沿大腦前後軸由枕向額頂方向發展的脫髓鞘改變,故在任何情況下,總是枕區白質受累最重,而U型纖維保留;另一特徵是血管周圍的炎性細胞浸潤。
臨床表現
ALD是一種臨床異質性很強的遺傳性代謝性疾病。表現在同一家系可有不同表型,同一患者不同時期表現也不同。根據ALD的發病年齡及臨床表現分為7型:兒童腦型、青少年腦型、成人腦型、腎上腺脊髓神經病型(Adrenomyeloneuropathy, AMN)、Addison 型、無症狀型和雜合子型。
兒童腦型
最為常見,約占所有ALD病人的35%,多於5-12歲發病,初期表現為注意力不集中、記憶力減退、學習困難、步態不穩、行為異常等,逐漸出現視力和(或)聽力下降、構音障礙、共濟失調、癱瘓、癲癇發作、痴呆等症狀,逐步進展,最終完全癱瘓,失明或耳聾,可有驚厥,甚至出現驚厥持續狀態。有的可維持去大腦強直狀態數年,有的出現中樞性呼吸衰竭、腦疝、感染等而死亡。多數在首次出現神經系統症狀時已有腎上腺皮質功能受損。
青少年腦型
青春期腦型10-21歲起病,臨床表現類似於兒童腦型,但進展緩慢。約占所有ALD病人的4-7%。
成人腦型
於21歲以後起病,腦內迅速進展,炎症反應性脫髓鞘類似兒童腦型,無AMN表現。約占所有ALD病人的2-4%
AMN型
常於20-40歲發病,病損主要累及脊髓自質,周圍神經受累較輕,不伴炎症性損傷。表現為進行性的下肢痙攣性癱瘓、括約肌和性功能障礙等,癱瘓進展緩慢,可伴有周圍神經損害,有腎上腺皮質功能不全表現,並可見原發性性腺發育不全伴睪酮減低,可繼發腦部損害而出現不同程度的認知和行為異常,AMN進展較慢,無多發性硬化的緩解和復發的特點,約占ALD的27%。
Addison型
發病年齡在2歲至成年期間,表現為原發腎上腺皮質功能不全,臨床可見皮膚發黑,嗜鹽,多汗,疲乏無力,經常嘔吐、腹瀉、暈厥等。約占ALD病人的10-14%。
無症狀型
是指通過檢查發現血VLCFA升高或ABCD1基因突變而沒有臨床症狀的患者。
雜合子型
女性雜合子中約20%~30%可有輕微的神經系統症狀,多表現為類似AMN的痙攣性截癱,但症狀較輕,很少出現腦部症狀、周圍神經病及腎上腺皮質功能減退。
診斷及鑑別診斷
診斷
診斷依賴於臨床表現及以下指標的檢測:
(1)內分泌功能檢測:
對於腎上腺皮質功能不全患者,24h尿17-羥類固醇和17-酮類固醇排出減少;血漿促腎上腺皮質激素升高;促腎上腺皮質激素興奮試驗呈低反應或無反應。
(2)血漿、皮膚成纖維細胞VLCFA測定: VLCFA增高是目前診斷的主要生化指標,見於幾乎所有男性患者及80%女性攜帶者。VLCFA檢測套用氣相色譜法檢查血漿、紅細胞和培養的皮膚成纖維細胞中VLCFA的異常升高是診斷本病的特異方法,見於所有男性患者及85%的女性雜合子。VLCFA的升高水平與病情的嚴重程度無關。檢測培養的羊膜細胞和絨毛膜細胞中VLCFA,可作為產前診斷。
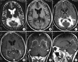
(3) 影像學表現
CT表現為局限於腦白質的低密度蝶形病灶;MRI優於CT,能顯示視覺、聽覺傳導通路和運動傳導通路上的病灶。
顱腦MRI具有特徵性改變,MRI的表現可以領先或與ALD症狀同時出現,並隨著病情的發展而發展。
表現為對稱性位於雙側頂枕區白質長Tl長T2號,周邊呈指狀,胼胝體壓部早期受累,呈“蝶翼狀”,是ALD所特有的,其他腦白質病少見;ALD的一個顯著特點是病變由後向前進展,逐一累及枕、頂、顳、額葉;可累及腦幹皮質脊髓束,皮質下U形纖維免於受累;增強掃描病灶周邊強化,提示處於活動期;晚期增強後無強化,多伴有腦萎縮。ALD的不同階段在頭部MRI上表現不同,可藉此作為治療轉歸和判斷預後的指標。
1HMRS 人腦的MRS技術是近十幾年來開始套用於臨床的。由於人體氫質子含量較多,具有較高靈敏度及空間分辨力,故1H-MRS套用最為廣泛。在ALD中,1HMRS表現為Cho波峰顯著增高,NAA波峰降低或消失,Lac波峰增高。 1HMRS對ALD的早期診斷有重要幫助,可以先通過MRI發現中樞神經系統的脫髓鞘病變,在MRI表現正常區代謝產物已有改變,MRI和1HMRS表現可以直接反映病變的嚴重程度。
(4)病理檢查
腦組織、周圍神經、腎上腺、直腸黏膜等處的病理檢查發現細胞內含有板層狀結構的胞漿包涵體可確診本病。
鑑別診斷
要與其它類型的腦白質病變相鑑別。
疾病治療
ALD目前尚無特效治療,多種方法正在探索之中。ALD的治療目前主要有:
飲食治療
目前有人採用飲食療法,限定飲食中VLCFA的攝入,同時進食Lorenzo油,以減少VLCFA的合成,使C26:C22恢復正常。經以上治療,病人的末梢神經傳導速度有改善,脂肪蓄積減少,病情緩解。但大多數人認為飲食治療既不能改變該病情的進展過程也不能提高患者的生活質量。儘管能改變周圍神經的功能,但仍不能改變臨床進程。無症狀的ALD患者在服用Lorenzo油的同時限制脂肪攝入( 脂肪攝入量以不超過總熱量的30-34%為宜),可以起到預防作用,對於有症狀的患者則無明確療效,因此飲食治療被建議用於無症狀患者。
藥物治療
A. 腎上腺皮質激素替代治療:大部分患兒存在腎上腺皮質功能不全,因而皮質激素替代治療常常是必需的,但是此治療對神經系統病損無效,不能改善症狀,也不能阻止病變惡化。主要適用於Addison患者,對於腦型患者未見明顯改善。
B. 考慮到腦型ALD的炎性脫髓鞘反應,有人試用環磷醯胺和免疫球蛋白治療,但未見療效。
其它藥物治療
洛伐他汀(Lovastatin)是一種3-HMG-CoA合成酶抑制劑,能夠阻止星形細胞、小神經膠質細胞以及巨噬細胞釋放炎性介質,加強VLCFA的-氧化作用,可使ALD患者皮膚成纖維細胞中的VLCFA水平降低。
(3)骨髓移植:骨髓移植可以糾正VLCFA的代謝紊亂、重建酶的活性,改善臨床症狀,防止痴呆,以早期治療效果更好。隨著骨髓移植技術的提高和無症狀ALD的早期檢出,骨髓移植有一定的治療前途。但骨髓移植本身有一定的病死率,且價格昂貴,一般認為 適應於起病早期的兒童型ALD。
(4)基因治療這是最有前途的治療手段,但因技術問題有待進一步探討。
(5)造血幹細胞治療:最近,造血幹細胞治療也有用於ALD患者並獲得了一定的療效,目前認為宜用於早期患者,進展型患者可以作為候選治療。但不推薦用於頭顱MRI正常的無症狀患者、單純AMN型患者。
疾病預後
本病預後差,一般出現神經症狀後1-3年死亡。
疾病預防
目前尚無有效的預防措施。
疾病護理
食用富含不飽和脂肪酸飲食,避免含長鏈脂肪酸的食物。

