概念
腦白質疏鬆症是一個影像學概念,主要是一種瀰漫性腦缺血所致的神經傳導纖維脫髓鞘疾病,最主要鑑別的疾病是皮質下動脈硬化性白質腦病,即Bingswanger病,典型的臨床表現為慢性進行性痴呆,思維加工速度減慢,認知功能下降。顱腦CT主要表現為腦室周圍低密度影,顱腦MRI表現為T2加權像高密度影。腦幹聽覺誘發電位的檢測可作為一個敏感、客觀的指標發現腦幹功能受累情況及亞臨床病灶,為早期診斷腦白質疏鬆症的手段之一。治療
由於腦白質疏鬆症(LA)常常導致認知能力減退,LA出現被認為是腦損害的一個早期標誌,鑒於目前對LA尚無特效療法,故預防其發生、發展具有重要的臨床意義。首先應針對各種導致LA的病因進行治療。積極防治腦血管病、高血壓、高血脂、腦外傷、糖尿病等。Vinters報導BD患者常見澱粉樣腦血管病改變,故有明顯腦室周圍WMCs的老年人不推薦使用抗血小板治療,以免出血性卒中危險性的增高。LA患者套用抗凝劑導致腦出血的危險性明顯增高。許多研究表明,與無LA的卒中病人相比,伴有LA的卒中病人再發卒中的危險性明顯增高,生存率下降,首發卒中一月後和結束隨訪時的痴呆發生率增加,日常生活依賴性增大。
腦白質疏鬆症是老年人的常見病,隨著CT和MRI的廣泛套用, 腦白質疏鬆症越來越多地在中、老年人中被發現。腦幹聽覺誘發電位的檢測也是早期診斷腦白質疏鬆症的手段之一。
主要是使用營養腦細胞的藥物如:腦活素,胞二磷膽鹼,腦復康.複合維生素b,肌苷片等,戒菸酒.避免吃含明礬的食物如油條等,另外加上對症治療的藥物如控制精神症狀的藥物。
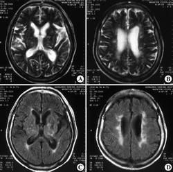
影像學表現
LA的CT表現
(1)兩側大腦半球深部白質斑片狀或瀰漫性互相融合的低密度灶,邊緣模糊,呈月暈狀。CT值較正常值低5~10HU,增強掃描不強化,常兩側對稱,以腦室周圍明顯。(2)早期病灶限於額葉白質,以後向側腦室周圍、枕葉和中央半卵圓中心發展。(3)嚴重者兩側側腦室擴大或有腦萎縮。(4)腦幹尤其是腦橋中上部、中央部易受累,較少累及弓狀纖維、胼胝體、延髓、中腦和小腦。(5)可見到原發病病灶,如多發性腔隙性腦梗死。
LA的MR表現
LA在MRI顯示兩側基本對稱的側腦室周圍腦白質T1WI為等、低信號,T2WI為高信號的片狀、點狀影,邊界模糊,常累及半卵圓中心、基底節區、放射冠等,液體恢復反轉序列(FLAIR)為高信號。由於FLAIR可顯示較多病灶,故懷疑LA的患者宜攝取FLAIR像。
LA的SPECT表現
LA在SPECT圖像上表現為密度減低。彩色顯示病灶由正常的紅色變為橙色乃至藍色。雖然MRI對LA顯示敏感性強,但SPECT對病灶的缺血程度顯示更清晰。
LA的評分與劃級
LA的嚴重程度如何評分與劃級,目前尚無統一的標準。Mirsen等用記分法表示LA的嚴重程度:兩側均無病灶為0分;1~2個病灶為1分;3~5個病灶為2分;>5個病灶為3分;融合病灶為4分。根據腦室周圍低密度範圍、相應融合程度與腦白質容積之比,將LA分為3度:(1)輕度,低密度區少於白質的1/4,限於腦室前、中、後的腦室周圍區,可見散在的局限性低密度影;(2)中度,低密度區占腦白質的1/4~1/2,在側腦室前、中、後皮質下白質區可見非融合性或部分融合的低密度影;(3)重度,低密度區占腦白質的1/2以上,融合成片,累及雙側腦室周圍及皮質下白質區。按部位及大小將LA分為4級:1級,只有腦室周圍白質異常;2級,腦室與皮質間白質均異常;將腦室前角及后角周圍白質病變分別劃級,然後將兩者級數相加即可得到3、4級。而Aharon-Ptretz則將LA分為5級:LA-0,CT未見低密度區域;LA-1,側腦室前角或后角可見低密度區;LA-2,側腦室前角和后角都可見低密度區;LA-3,沿側腦室周圍可見連續的低密度區;LA-4,側腦室周圍及放射冠可見低密度區。這些評分與劃級主要有利於比較及臨床分析。
預防
許多學者認為,腦白質疏鬆是人正常的衰老過程,因為在許多正常老年人做體檢時也可發現,因此常不被重視。但實際上它是由多種不同病因引起的一組臨床綜合徵。越來越多的研究表明,相當數量的腦白質疏鬆症患者表現有認知和行為障礙, 如表情淡漠,記憶力、判斷力和反應能力均下降,語言功能和視覺也可發生不同程度的障礙。應該從下面著手:
讀書、看報、聽音樂、練書法、下棋、打牌,從事一些小發明、小創造,這些有益於大腦保健的智力活動可以激發大腦的活力,延緩大腦衰老。
積極參加社交活動,保持與外界環境的密切接觸,多到大自然中去,參加力所能及的體育鍛鍊,呼吸新鮮空氣,使中樞神經活動得到改善,從而促進腦細胞的新陳代謝。
科學飲食,保證大腦有足夠的能量和豐富的營養,不偏食,不過飢或過飽,不吃生冷、過熱食物。減少含鋁離子食品如冬粉等的攝入。
生活規律,睡眠充足,保持良好的情緒,避免惡性精神刺激。對周圍發生的事應坦然處之,不急不躁。
不吸菸,不飲烈性酒,積極預防和治療高血壓、糖尿病、高脂血症等各種慢性疾病
多種提高記憶力的食品:捲心菜:富含維生素B,預防大腦疲勞。
大豆:含有蛋黃素和豐富的蛋白質,每天食用適量大豆或豆製品,可增強記憶力。
鮮魚:富含蛋白質和鈣質,特別是含有不飽和脂肪酸,可分解膽固醇。
牛奶:富含蛋白質和鈣質,可提供大腦所需的各種胺基酸,每天飲用可增強大腦活力。
蛋黃:蛋黃中含有蛋黃素等腦細胞所必需的營養物質,可增強大腦活力。
木耳:含有蛋白質、脂肪、多糖類、礦物質、維生素等多種營養成分,為補腦佳品。
杏:含有豐富的維生素A、C,可有效地改善血液循環,保證腦供血充足,有助於提高記憶力。

