流行病學
脾臟原發性惡性腫瘤原發脾臟惡性腫瘤較為少見,文獻多為散在病例報告詹世林總結了1981~1995年國內50種期刊69家醫院脾惡性腫瘤194例進行分析。脾惡性腫瘤占同期報告的414例脾腫瘤的46.86%男女之比為1.66∶1。病理類型分析:原發性惡性淋巴瘤95例48.97%血管肉瘤30例,為15.46%網織細胞肉瘤10例5.15%,惡性纖維組織瘤7例,轉移性腫瘤45例,為23.2%。遠高於文獻報告的2%~4%。
病因
脾臟原發性惡性腫瘤脾臟腫瘤的起因尚未完全闡明。但近30年的研究發現了一些脾腫瘤發生的可能相關因素,如感染因素(某些病毒、分枝桿菌瘧原蟲等)遺傳因素及其他脾臟慢性疾病等。Cecconi等研究一組病例認為57%的脾臟淋巴瘤與感染有關,特別是與分枝桿菌的流行有關,也就是說它們的B超下表現一部分是結節狀的另一部分是非典型的Wakasugi報告一例慢性C型肝炎病毒感染患者暴發B細胞淋巴瘤;Ozaki等也證實B型肝炎病毒感染與脾臟T/δT細胞淋巴瘤相關;Kraus報告一例心臟移植患者在EB病毒感染致淋巴組織異常增生後發生T/δT細胞淋巴瘤;Bates等報告鵻在西非具絨毛狀淋巴細胞的脾臟淋巴瘤和高度反應性瘧疾性脾大有許多臨床和免疫學的共同點,這一點為淋巴瘤發病機制的研究提供了線索綜合這些文獻後分析,脾臟在受到病毒細菌等病原體感染後發生了非特異性的免疫反應刺激了脾臟炎症區域內B淋巴細胞或T淋巴細胞的積聚和增生,在身體內部某些因素失去平衡的情況下這種增生可能會變得不受限制而發展成腫瘤。另外遺傳因素及脾臟的一些慢性疾病與脾臟腫瘤的發病也可能有一定的關係。
發病機制
脾臟原發性惡性腫瘤根據起源組織的不同,脾臟惡性腫瘤分為3大類:
1.脾臟原發性惡性淋巴瘤 脾臟是人體及最大的淋巴器官鵻原發於其他部位的惡性淋巴瘤約有半數以上累及脾臟而真正原發於脾臟的惡性淋巴瘤卻相對少見,其發病率不足惡性淋巴瘤總數鵻的1%雖然如此,脾臟原發性惡性淋巴瘤仍然是脾臟原發性惡性腫瘤中最高者,約占脾臟惡性腫瘤的2/3以上。脾臟原發性惡性淋巴瘤系指原發於脾臟淋巴組織的惡性腫瘤,診斷時應排除淋巴結和其他器官的受累來源於淋巴結和其他器官的惡性淋巴瘤累及脾臟則不屬於此範疇。脾臟惡性淋巴瘤的分期一般採用Abmann:Ⅰ期指腫瘤組織完全局限於脾臟內;Ⅱ期指已累及脾門淋巴結者;Ⅲ期指累及肝臟或遠處淋巴結者。
2.脾血管肉瘤 脾臟惡性淋巴瘤時脾臟常常增大而且增大程度與病程有關。脾臟重100~4500g不等平均160g大體標本可分為3型:①瀰漫增大型脾臟均勻增大,無肉眼可見結節;②粟粒結節型,脾臟腫大切面散布著1~5mm大小灰白色結節,狀如脾臟粟粒性結核;③結節型脾臟顯著增大,切面見2~10cm大小結節部分相鄰結節可相互融合成巨大腫塊。顯微鏡下觀察,在低倍鏡下往往容易忽略小細胞性淋巴瘤的早期病灶,但仔細觀察後發現,幾乎在每一個Malpighi小體的中央均由具有診斷意義的稜角狀淋巴細胞所組成。脾臟原發性淋巴瘤鵻的病理類型與其他部位來源的淋巴瘤者基本相同。霍奇金淋巴瘤可在病變中找到特殊的大細胞(Reed-Sternbergscell)及其變異型因組織結構及細胞比例變化較大難以確定,故一般不做亞型診斷。非霍奇金淋巴瘤有B細胞型和T細胞型之分在病理組織形態學上二者並無明顯差異,主要依靠免疫組化區別非霍奇金淋巴瘤病理分型的臨床意義在於選擇合適的化療方案病檢中要仔細而謹慎地鑑別脾組織反應性增生與惡性淋巴瘤之間的差異因為前者常被誤診為惡性淋巴瘤仔細研究脾臟中結節的細胞成分有助於明確診斷。
脾血管肉瘤發病罕見。幾乎不能術前明確診斷臨床上無特徵性症狀和體徵若病變位於脾臟上極則更不易察覺與發現。同其他脾臟惡性腫瘤一樣其主要的臨床表現是脾臟腫大左上腹疼痛有時可有發熱消瘦。
脾血管肉瘤是從脾竇內皮細胞發生的惡性腫瘤也有學者將其稱為脾血管內皮細胞瘤。但少數學者認為這兩者系兩種不同的腫瘤,即使如此這些學者也同意脾血管肉瘤和脾血管內皮細胞瘤的組織特點以及生物學行為極其相似。瘤組織內出現髓外造血是脾血管肉瘤的特點。
脾血管肉瘤多表現為巨脾症重420~5300g,平均1500g脾臟組織大部分或部分被瘤組織破壞出現多個大小不等的出血性肉瘤結節,瘤體呈灰白色,質細膩。鏡下特點為高度異型性的惡性內皮細胞沿脾血竇增生擴展瘤細胞分裂象眾多,往往形成花蕾狀。多核巨細胞突入囊性擴張的竇腔內出現多個大小不等的出血性瘤結節,電鏡顯示瘤細胞質內可見Weiber-Palade小體。
3.脾原發性惡性纖維組織細胞瘤 惡性纖維組織細胞瘤(malignant fibrous histiocytoma,MFH)或稱纖維細胞肉瘤(fibrohistiosarcoma,FHS),又稱惡性黃色纖維瘤或纖維黃色肉瘤是由成纖維細胞組織細胞及畸形的巨細胞組成,發生於脾被膜或脾小梁纖維組織的惡性腫瘤稱脾臟原發性惡性纖維組織細胞瘤近幾年有關學者們注意到FHS是一種獨立類型的惡性腫瘤,包括病因在內諸多方面有待研究。
惡性纖維組織細胞瘤由腫瘤性組織細胞和成纖維細胞組成。它可能來自未分化間葉細胞,在不同情況下向組織細胞、成纖維細胞和肌纖維母細胞等不同方向分化表現出複雜的組織學形態。可分為多形細胞型、車輻狀型、束狀型、炎性纖維型、血管瘤樣型和黏液型等6種組織學類型脾臟腫大呈分葉狀,質硬切面各種灰色不,中心壞死或囊變可有骨化。
臨床表現
脾原發性惡性腫瘤早期常無特殊症狀,患者就診時往往呈現晚期癌腫狀態,具體表現在鵻:
1.脾臟自身的表現 腫大的脾臟大多鵻在臍水平以下有文獻報告最大可達臍下7.5cm,呈漸進性增大,質硬表面凹凸不平,活動度差,觸痛明顯。
2.腫塊所產生的局部壓迫症狀 如胃區飽脹食欲不振、腹脹、心悸及氣促等症狀。
3.惡性腫瘤的毒性表現 如低熱乏力、貧血消瘦等。部分病例可表現高熱近1/4的病例可伴有肝臟腫大而脾臟不規則腫大,無長期發熱無脾功能亢進等,系脾原發性惡性腫瘤的特徵。
併發症
腫大的脾臟對周圍髒口可產生壓迫症狀如壓迫腸道可引起腸梗阻,壓迫左側輸尿管可引起上尿路梗阻,也有部分病例因癌腫自發性破裂以腹腔內出血作為就診的首發症狀。
診斷
根據病史、脾臟不規則的腫大鵻不明原因的發熱、全身淺表淋巴結鵻腫大,以及實驗室和影像學鵻的檢查等,一般可以診斷出脾臟的惡性腫瘤;但最近國外文獻報導脾淋巴瘤在血循環中存在帶有絨毛的淋巴細胞(splenic lymphoma with villous lymphocyteSLVL)應與慢性淋巴細胞白血病、毛細胞白血病相鑑別,SLVL的診斷主要依靠循環中絨毛淋巴細胞的形態學和免疫分型;認為脾臟惡性腫瘤的診斷最後仍需要病理學的確定。
鑑別診斷
鑒於惡性腫瘤的早期徵象不明顯甚至部分晚期病例也無特異表現,鑑別診斷更為重要,常需與下列疾病相鑑別:
1.伴有脾大的全身性疾病 如門脈高壓所致淤血性脾大、惡性淋巴瘤和慢性白血病侵及脾臟等。
2.脾本身的良性疾患 如脾膿腫、脾結核脾囊腫及脾臟其他的良性腫瘤。
3.脾鄰近器官鵻的疾患 如腹膜後腫瘤腎臟腫瘤胰腺腫瘤等。
上述這些疾患,往往藉助於病史、體檢、實驗室檢查及影像學診斷、淋巴結穿刺活檢等手段可資鑑別。
檢查
實驗室檢查: 伴有功能亢進者可有外周血白細胞和血小板減少以及溶血性貧血。
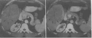
其它輔助檢查: 影像檢查在脾腫瘤的診斷中有舉足輕重的作用X線檢查可發現脾影增大及局部壓迫徵象但不具特殊性B超檢查可確定脾臟有無腫塊,系實質或囊性但不能區分良惡性經皮穿刺活檢危險性較大且穿刺部位難以定準。CT及磁共振不僅顯示脾臟本身鵻的病變尚可顯示腫塊與鄰近臟器的關係淋巴結或肝臟的侵犯以及腹腔和胸腔的其他病變。選擇性脾動脈造影可顯示脾實質缺損等徵象。
治療
為提高脾臟惡性腫瘤的治癒率提倡早期發現早期診斷和早期的綜合治療;其主要手段鵻是脾切除術術中注意脾包膜的完整及脾門周圍淋巴結的清掃,術前後輔以化療或放療中藥、免疫治療等。
多數學者主張對脾臟原發性惡性淋巴瘤行脾切除,並術後輔助化學治療手術的目的在於明確診斷以及分期並且可以起到治療作用術應切除病變的脾臟,並對脾臟周圍區的淋巴結進行清除同時楔形切除小塊肝臟,進行準確的病理分期,以期指導術後的輔助化療確定合適的化療方案術中注意脾臟包膜完整並對腹腔其他部位進行探查。若腫瘤已侵犯鄰近臟器但尚屬可切除範圍者,應爭取行根治性聯合臟器切除。
絕大多數患者手術後給予聯合化學治療要爭取首次治療即獲得完全緩解為長期無病生存創造有利條件。
霍奇金淋巴瘤:MOPP為首選方案,即氮芥(M)4mg/m2靜脈注射第1天及第8天長春新鹼(O)1~2mg靜脈注射第1天及第8天丙卡巴肼(P)70mg/(m2·d)口服第1~14天,潑尼松(P)40mg/d口服第1~14天(僅用於第1及第4療程)休息1周開始第2個療程,至少用6個療程對MOPP耐藥者可採用ABVD方案即阿黴素(A)25mg/m2,博來黴素(B)10mg/m2長春鹼(V)6mg/m2達卡巴嗪(D)375mg/m2,均在第1及第15天靜脈用藥1次每4周重複1次。用MOPP治療復發的病例可再用ABVD方案,59%的患者可獲得第2次緩解。
非霍奇金淋巴瘤:化療療效決定於病理組織類型按分類的惡性程度分別選擇聯合化療方案對於低度惡性者切除脾臟後可不予化療,定期密切觀察。如病情有發展或發生併發症者可給COP即環磷醯胺(C)400mg/m2,每天口服,第1~5天,長春新鹼(O)1.4mg/m2靜注,第1天,潑尼松(P)100mg/m2,每天口服,第1~5天每3周為一周期;對於中度惡性者術後應給予COP,每月1療程計6~9個月;對於高度惡性者應給予強烈化療即COP-BLAM Ⅲ方案每3周為一周期。
有人認為脾惡性淋巴瘤行脾切除後,對脾床應進行放射治療,可能治癒或緩解症狀鵻此處應特別指出的是以上所述為脾臟原發性惡性淋巴瘤的治療原則。而對於淋巴瘤患者行脾切除術目前最常用於對霍奇金病進行分期,這一方面的研究國外報導較多。其意義在於可以提供有關疾病進展程度更為準確的信息,以便於血液學家和放療學家選擇更為合適的治療方案近年的研究顯示對淋巴瘤患者行脾切除術僅對部分患者有益,具體說包括Ⅰ和Ⅱ期沒有廣泛縱隔受累者。對於這部分患者可以先行放射治療,若以後疾病復發則可再行化學治療其效果較先行化學治療者為佳。此外,對於晚期淋巴瘤伴明顯脾功能亢進者行脾切除有助於消除脾功能亢進,增加患者對化療及放療的耐受性。對於脾血管肉瘤和惡性纖維組織細胞里採取手術切除脾臟為惟一有效的治療方法鵻術中應強調施行規範的整塊切除注意勿使脾包膜或腫瘤破裂,以免種植轉移必要時連用胰尾一併切除。
預後
脾的惡性腫瘤診治晚,預後較差,尤其是脾血管肉瘤,容易經血行轉移往往同時累及肝臟及其他器官85%的病人在確診前已有轉移也有人認為這種現象系肉瘤多中心性發生的結果脾惡性腫瘤較易破裂除外傷性破裂外尚有自發性破裂,均可形成致死性腹腔內出血,並且可引起腫瘤的迅速播散。
