成人多囊腎是一種常染色體顯性遺傳性疾病,幾乎都是雙側
成人多囊腎病因
已有證據提示囊腫的發生是由於收集管和腎小管及其之間連線部的結構,在發育過程中存在缺陷。一頭為盲端的排泄管與有功能的腎小球相連即成為囊腫。當這些囊腫增大時,就壓迫鄰近的腎實質,造成局部缺血而毀壞其功能並堵塞正常的腎小管,最終導致腎功能的進行性損害。
病理
多囊腎臨床表現
1、症狀:因梗阻、感染或囊腫內出血而增重的腎臟對腎血管蒂的牽拉,可引起一側或雙側腎內痛。鏡下或肉眼全程血尿常見且可相當嚴重,造成原因尚不明了。當血塊或結石下行時可表現腎絞痛。患者可自行發現有一腹部包塊。感染(塞戰、發熱、腎區痛)是多囊腎的常見併發症。膀胱刺激症狀可以是首發症狀,隨著腎功能不全的發
成人多囊腎2、體徵:常可觸及一側或雙側腎臟,表面呈結節感。並發感染時,可有壓痛。60%~70%的病人可出現高血壓,隨即可找到心臟擴大的證據。出現腎盂腎炎或囊腫發生感染時,可出現發熱。尿毒症期可有明顯的貧血和體重減輕。眼底鏡檢查可發現典型的中到重度的高血壓改變表現。
併發症
1、腎盂腎炎:是多囊腎的常見併發症。其原因尚不明了,可以
腎盂腎炎2、囊腫感染:可引起腎區疼痛並有壓痛,且出現發熱。要鑑別是多囊腎感染還是腎盂腎炎並不容易。此時行鎵掃描攝影術將很有幫助。
3、血尿:極少數病例可出現活動性持續性肉眼血尿,甚至可危及生命。
輔助檢查
1、實驗室檢查:貧血不僅可由慢性失血引起,更多的是因尿毒症所伴
多囊腎 X線表現 |
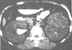
多囊腎 CT掃描 |
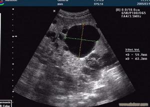
多囊腎 超聲檢查 |
2、X線檢查:在腹平片中,雙側腎影通常增大,甚至達5倍於正常大小,腎臟長度超過16cm時應疑有此病。在排泄性靜脈造影時行體層攝影有助於確立診斷,體層攝影可顯示透明的多發囊腫。在體層攝影及逆行尿路造影片中,腎臟常增大而腎盞形態則十分怪異(如蜘蛛樣畸形):腎盞增寬、變平、擴大並常彎曲包繞附近周圍的囊腫。這種改變往往在一側腎臟較輕甚至不發生,因而易導致誤診為腫瘤或其他腎疾病。囊腫並發感染時,腎周圍炎可使腎影及至於腰大肌影都模糊不清。血管造影可顯示囊腫周圍彎曲的小血管及囊腫本身所形成的“負”影(無血管分布)。
3、CT掃描:在過去用於確診多囊腎的非侵入性診斷技術中,CT是最理想的。多發囊腫薄薄囊壁內充滿的囊液及較正常增大了的腎臟,使這一成像方式在確診時極為精確(95%)。
4、腎核素檢查:γ-閃爍掃描將顯示增大的腎影中有許多無血管的“冷點”。
5、超聲檢查:超聲影象用於多囊腎的診斷優於排泄性尿路造影及腎核素檢查。
6、器械檢查:膀胱鏡可發現膀胱炎,此時尿中含有異常成分。有時還可見到輸尿管口噴血。輸尿管插管及逆行尿路造影則很少採用。
診斷
多囊腎的診斷一般不難,臨床上可根據家族遺傳病史(父母、兄弟、姐妹、子女有多囊性疾病等),雙側腎臟腫大和蛋白尿作出診斷,超聲顯像檢查對確診起決定作用。腹部可見腎臟輪廓不整齊,呈不規則增大。超聲顯像可見雙腎明顯增大,腎內布滿大小不等的液性暗區,正常腎臟結構消失。此外靜脈腎盂造影或逆行腎盂造影對診斷也有所幫助,可見腎盂被拉長,腎盞變平或呈半月狀。早期可能只見一側有改變,但到晚期常可因腎功能不全而不顯影,須進行大劑量靜脈腎盂造影方能明確診斷。大部分患者早期就已有腎臟濃縮功能的改變,如尿比重降低、尿滲量降低,以及尿量明顯增多;晚期則出現腎功能不全和尿毒症。
鑑別診斷
1、雙腎積水(由先天性疾患或後天性輸尿管梗阻所致):可出現雙側脅
雙腎積水2、雙側腎腫瘤:本病罕見,但在尿路造影片中可與多囊腎非常想像。當多囊腎中一側腎較小或尿路造影未顯示扭曲變形時,要與一側腎腫瘤鑑別就有困難。但腫瘤常只局限於腎臟的某一部分,而多囊腎之囊腫則滿布整個腎臟。單側腎腫瘤其總腎功能可以是正常的,而多囊腎其總腎功能則往往已受損。CT或腎血管造影可用來鑑別這兩種疾病。閃爍掃描或超聲檢查亦有助於鑑別診斷。
3、Von Hippel-Lindau病(小腦血管瘤性囊腫、視網膜血管瘤病及胰腺腫瘤或囊腫):此病雙腎的多發囊腫或腺癌可進行性發展。尿路造影或腎斷層X光攝影術可顯示多囊腎,據其他特徵性表現可下此診斷。CT、血管造影、超聲影象或閃爍攝影術則可確定診斷。
4、結節性硬化(陣發性抽搐、智力發育遲滯及皮脂腺瘤):皮脂腺瘤常累及皮膚、大腦、視網膜、骨骼、肝臟、心臟及腎臟。腎臟病損通常為多發性雙側性的,在顯微鏡下可見到血管脂肪瘤。尿毒症期行尿路造影易提示為囊腎,其他特徵性表現及CT和超聲景象可以作鑑別。
5、單純性腎囊腫:通常為單側單發,總腎功能正常。尿路造影可顯示為單一病損,而多囊腎則是雙側且為多發的病損。
治療
除非有不常見的併發症,否則可採取保守及支持療法。
1、一般措施:患者需低蛋白飲食(攝取蛋白量為0.5~0.75/kg/d),並強制每天至少飲3000ml液體。體力勞動應量力而行,禁止劇烈的運動。當患者處於腎功能不全失代償期時,按尿毒症治療。此時,高血壓應得到控制,並可行備註透析。
透析治療2、手術:尚無證據表明切除囊腫或減輕囊腫的壓迫能改善腎功能。若發現有一大囊腫壓迫了上段輸尿管造成梗阻並使腎功能進一步受損,則可將其切除或抽吸其內囊液。當腎功能不全的程度危及患者生命時,應考慮行透析治療或做腎移植。
3、併發症的治療:腎盂腎炎應得到嚴密治療,以防腎功能進一步受損。囊腫感染時需行切開引流。當一側腎臟的出血嚴重,十分兇險時,可做腎切除或腎動脈檢塞,亦可做節段動脈栓塞。伴發的疾病(如腫瘤、梗阻性結石)都需要外科手術治療。
預後
嬰兒多囊腎一般出生後幾月內死於尿毒症,小兒多囊腎常會成年前死於肝臟病和尿毒症。成人多囊腎進展到尿毒症十分緩慢,病人的平均壽命為50歲左右,症狀出現後,平均存活時間為10年左右,但個體差異很大,也有不少終生無臨床表現者。即使到了終末期尿毒症,還可以施行血液透析、腹膜透析、腎移植等替代療法,三者的最久生存者均已超10年。

多囊腎 X線表現
多囊腎 CT掃描
多囊腎 超聲檢查