概述
巨幼細胞性貧血(megaloblasticanemia)是由於脫氧核糖核酸(DNA)合成障礙所引起的一組貧血。約95%的病例系因葉酸或(和)維生素B12缺乏引起的營養性貧血,其早期階段,單純表現為葉酸或維生素B12缺乏者臨床上並不少見。營養性巨幼細胞貧血具有地區性,中國以山西和陝西省等西北地區較多見,患病率可達5.3%;惡性貧血在我國則罕見。
病理
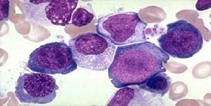
巨幼細胞貧血巨型改變也見於粒和巨核細胞系列,尤以晚幼粒細胞為突出。晚幼粒和桿狀核粒細胞形態巨大,核形腫大,畸形,核染質疏鬆,胞質中顆粒較粗,稱巨晚幼粒和巨桿狀核粒細胞。分葉核分葉過多,常在5葉以上,甚至達16葉,稱巨多葉核粒細胞。巨核細胞體積也增大,核分葉過多,並且核間可不相連線。血小板生成障礙,可見巨大和形態不規則的血小板。
骨髓呈增生象,但血象為全血細胞減少,其主要病理生理改變為無效性紅細胞、粒細胞和血小板生成,稱為髓內溶血。巨幼細胞和大型紅細胞的生存期均較正常為短,可出現血清膽紅素增高、結合珠蛋白降低、乳酸脫氫酶增高,特別是LDH1和LDH2(來自幼紅細胞)增高。血清溶菌酶增高反映幼粒細胞的破壞。
維生素B12還參與神經組織的代謝。維生素B12缺乏,蛋氨酸合成減少,後者導致膽鹼和含磷脂的膽鹼合成障礙,並且由於腺甙鈷胺缺乏,導致大量甲基丙二醯輔酶A及其前身丙醯輔酶A的堆積。合成異常脂肪酸進入神經脂質,從而導致脫髓鞘病變,軸突變性,最後可導致神經原細胞死亡。神經系統可累及周圍神經、脊髓後側索及大腦。
病因
巨幼細胞貧血(一)中醫
1、稟賦不足,因虛致病,父母體虛,胎中失養,餵養失當等因素,為體質不強的主要原因,可使臟腑失健,氣血不足,陰陽失調。
2、飲食不節,谷虛氣盛,谷虛氣虛,而氣血精微來源於飲食。攝入不足是本病的重要病因之一。
3、飲食偏嗜,飲食單一或偏食氣味不合,則可導致營養不足,精氣乏源氣血無以化生之變。
4、煩勞過度,損傷五臟 適當的勞作,為人們正常生活以及保持健康所需。
5、大病久病,失於調理 大病久病之後,邪氣過盛,髒所損傷,日久而成虛勞;久病而成虛勞者,隨疾病性質的不同,損耗人體的陰血。
(二)西醫
1、維生素B12缺乏的病因存在於
(1)攝入不足:維生素B12存在於動物的蛋白質中,肉類與內臟含量最為豐富,除嗜好素食者外,因攝入不足而致病者比較罕見。
(2)吸收不良:a、內因子缺乏:內因子生成不全(成人型);內因子缺乏(小兒型)某種疾病或者手術也可導內因子的缺乏。b、小腸疾病:迴腸遠端病變、迴腸切除、迴腸炎;口炎性腹瀉,寄生蟲病;維生素B12拮抗藥的套用等。
(3)需要量增加:a、生長期嬰幼兒,妊娠期婦女。b、某些疾病如惡性腫瘤、白血病、甲狀腺機能亢進、溶血性貧血、感染等均可使需要量大大增加。
(4)排泄增加:肝臟病所致的維生素B12排泄量增加。
(5)代謝障礙
a、維生素 B12合成障礙 如慢性粒細胞白血病。
b、先天性代謝異常 維生素B12合成輔酶產生缺乏。
症狀
巨幼細胞貧血症狀-頭暈乏力一般起病緩慢,葉酸缺乏與維生素B12缺乏共同的表現為巨幼細胞貧血和消化道症狀,而維生素B12缺乏尤其是惡性貧血患者可出現神經系統症狀。
一、巨幼細胞貧血
貧血常較嚴重,主要有嗜眠、衰弱、乏力、疲倦、心悸、氣促、頭暈、眼花、耳鳴等一般性貧血的症狀。部分病人可有輕度黃疸、皮膚由於蒼白伴有輕度黃疸,故呈特殊的檸檬黃色(蠟黃)。
二、消化道症狀
厭食、消化不良、食後腹脹、腹瀉、嘔吐、便秘、舌炎、舌痛、舌乳頭萎縮、舌面光滑(鏡面舌)、舌質絳紅如瘦牛肉樣(牛肉舌)等。
三、神經系統症狀
典型的表現為足與手指感覺異常,麻刺感、麻木、伴有大體感覺障礙,最早的體徵是第二趾位置感喪失,音叉震動感消失。進一步發展為痙攣性共濟失調,因脊髓側索和後索退行性變性改變所引起一稱為亞急性聯合變性。站立和行路不穩、腱反射尤其膝腱及跟腱反射減弱、消失或亢進、蹴趾反射(Babinski征)和其他錐體索體徵陽性。除周圍神經和脊髓外,維生素B12缺乏也影響大腦。嗜睡、味覺、嗅覺和視覺異常,痴呆、精神抑鬱,妄想狂樣的精神分裂症,最常見的異常是步態紊亂,精神症狀發生較少。
檢查
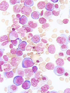
巨幼細胞貧血大細胞正色素性貧血(MCV>100fl),血象往往呈現全血細胞減少。中性粒細胞及血小板計數均可減少,但比貧血的程度為輕。血塗片中可見多數大卵圓形的紅細胞,中性粒細胞分葉過多,可有5葉或6葉以上的分葉。偶可見到巨大血小板。網織紅細胞計數正常或輕度增高。
2.骨髓象
骨髓呈增生活躍,紅系細胞增生明顯,各系細胞均有巨幼變,以紅系細胞最為顯著。紅系各階段細胞均較正常大,胞質比胞核發育成熟(核質發育不平衡),核染色質呈分散的顆粒狀濃縮。類似的形態改變亦可見於粒細胞及巨核細胞系,以晚幼和桿狀核粒細胞更為明顯。
3.生化檢查
血清葉酸和/或維生素B12水平低於正常,但因為這兩類維生素的作用均在細胞內,而非血漿中,故可進一步測定紅細胞葉酸水平、血清高半胱氨酸和甲基丙二酸水平。
4.內因子抗體測定
在惡性貧血患者的血清中,內因子阻斷抗體(I型抗體)的檢出率在50%以上,故內因子阻斷抗體測定為惡性貧血的篩選方法之一。如陽性,應做維生素B12吸收試驗
5.維生素B12吸收試驗
主要用來判斷維生素B12缺乏的病因。
診斷
診斷標準
1.有葉酸、維生素B12缺乏的病因及臨床表現。
2.外周血呈大細胞性貧血(MCV>100fl),中性粒細胞核分葉過多,5葉者>5%或有6葉者出現。
3.骨髓呈現典型的巨幼型改變,,無其他病態造血表現。
4.血清葉酸水平降低<6.81nmol/L、紅細胞葉酸水平<227nmol/L、維生素B12水平降低<75pmol/L。
5.試驗性治療有效。
鑑別診斷
巨幼細胞貧血鑑別診斷1、根據病史、臨床表現及各種實驗檢查,診斷本病並不困難,VitB12缺乏和葉酸缺乏在臨床上有許多共同之處,但治療用藥不同,血清葉酸和VitB12的測定有助於兩者的鑑別。
2、 本病常以消化道症狀為首發症狀,故易誤診為胃病、慢性胃腸炎、腸梗阻、腸結核等,須與這些病鑑別,只要作血象和骨髓象的檢查,鑑別不難。有出血,且伴有全血細胞減少,有的含有少數幼稚細胞者,需與再障、血小板減少性紫癜、白血病、骨髓異常增生綜合徵等鑑別。
3、 在細胞形態上應注意正常幼紅細胞和巨幼紅細胞之鑑別,巨幼紅細胞和正常幼紅細胞之鑑別。
中醫診斷
(1)心脾兩虛型:證候:面色蒼白、疲乏無力,食少納呆、腹脹便溏,心悸怔忡、少眠多夢,口乾舌痛,舌質紅、乾、少苔或無苔,脈細數。
證候分析:脾為後天之本,氣血生化之源,脾胃虛弱不能運化水谷精微,不能化生氣血,血虛不能榮養肌膚而見面色蒼白;脾主肌肉四肢,脾虛則疲乏無力;脾虛不能納谷消食,而見食少納呆、腹脹便清。水谷精微化生不足,不能奉心化赤而為血,致使心血虧虛,心失所養則心神不安,故心悸怔忡,少眠多夢;舌為心之苗,心血虧虛,心火上炎,灼炙舌津,故舌紅無苔而口乾舌痛。脈細數為心脾氣陰兩虛之徵。
(2)氣血兩虛型:證候:疲乏無力,面色蒼白,頭暈耳鳴,眼花、心悸,肌膚甲錯,頭髮稀疏枯槁,月經失調,經量過少,舌質淡或質紅無苔,或鏡面舌,脈細數無力。
證候分析:氣血虧虛不能榮養四肢則感疲乏無力;營血不能榮養肌膚則面色蒼白;不能上榮腦髓而見頭暈眼花耳鳴,頭髮稀疏枯槁;血虛肌膚失養,而致血虛風燥,故肌膚甲錯;氣虛不能攝血,血虛經源枯竭,而見月經不調,經量過少。氣血雙虧,舌質不得孺養,舌苔逐漸脫落,新苔不能續生,故舌質淡或質紅,無苔或呈鏡面舌。脈細數無力為氣血兩虛之徵。
(3)脾腎兩虛型:證候:頭暈耳嗚、心悸氣促、腰酸腿軟、畏寒肢冷。腹脹便溏、尿頻、夜尿多或下肢麻木不仁,舌質淡、苔薄或無苔,脈沉細。
證候分析:腎主骨,腰為腎之府,腎氣不足則腰膝酸軟、尿頻、夜尿多;腎為原陽之本,陽虛火弱不能溫煦五臟六腑、四肢百骸,故畏寒肢冷;脾陽虛衰,不能運化水谷精微,而見腹脹便溏;氣血虧虛日久,不能上榮腦髓,則頭暈耳鳴;筋脈失養則下肢麻木不仁;心血不足,心失所養則心悸氣促。舌質淡,苔薄或無苔,脈沉細,皆為脾腎兩虛之徵。
併發症

巨幼細胞貧血併發症-痛風
1.嚴重的貧血可使心肌缺氧而發生心力衰竭。另一方面,心肌能量來源的激活需要藉助於Vit B12的作用,如果Vit B12缺乏,則能影響ATP的激活,而加重心肌的障礙,促使心力衰竭的發生。因此對嚴重的巨幼細胞貧血患者,在治療開始時,應注意有無心血管疾病。以便採取必要的措施,防止意外事故的發生。
2.出血:血小板減少及其他凝血因子的缺乏,本病出血者也不少見有時也可發生腦出血或其他部位出血。
3.痛風:嚴重的巨幼細胞貧血可見骨髓內無效造血引起的血細胞破壞亢進,致使血清內尿酸值異常升高,引起痛風發作,但極為罕見。
4.精神異常:嚴重的巨幼細胞貧血不僅可發生外周神經炎,亦有發生精神異常者,如興奮不安、憂鬱寡言,甚至夢遊症等。這可能與Vit B12缺乏所致的腦神經組織異常有關。
治療
西醫治療
1.一般治療
維生素B122.補充葉酸或維生素B12
(1)葉酸缺乏口服葉酸。胃腸道不能吸收者可肌肉注射四氫葉酸鈣,直至血紅蛋白恢復正常。一般不需維持治療。
(2)維生素B12缺乏肌肉注射維生素B12,直至血紅蛋白恢復正常。惡性貧血或胃全部切除者需終生採用維持治療。維生素B12缺乏伴有神經症狀者對治療的反應不一,有時需大劑量、長時間(半年以上)的治療。對於單純維生素B12缺乏的患者,不宜單用葉酸治療否則會加重維生素B12的缺乏,特別是要警惕會有神經系統症狀的發生或加重。
(3)嚴重的巨幼細胞貧血患者在補充治療後要警惕低血鉀症的發生。因為在貧血恢復的過程中,大量血鉀進入新生成的細胞內,會突然出現低鉀血症,對老年患者和有心血管疾患、納差者應特別注意及時補充鉀鹽。
中醫治療
治法方藥
一、本病一般可分為心脾兩虛、氣血兩虛、脾腎兩虛等三型,可分型治療。
(1)心脾兩虛型:治法:健脾益氣,養血安神。
方藥:歸脾湯加減。方為:黃芪、黨參、白朮、炒棗仁、當歸、龍眼肉、熟地,白芍、五味子、甘草。方中黃芪、黨參、白朮、甘草甘溫健脾益氣:當歸、白芍、熟地、龍眼肉滋陰養血;棗仁養血安神;五味子酸甘化陰。若陰虛火旺明顯者,可加丹皮、白薇、生地,以涼血熄火。脾虛不運、食少便溏、腹脹明顯者,可加砂仁、陳皮、木香、焦三仙,以健脾理氣。
(2)氣血兩虛型:治法:補氣養血。
方藥:八珍湯加減。方為:黨參、白朮、茯苓、甘草、當歸、熟地。白芍、大棗、陳皮。方中黨參、白朮、茯苓、甘草、陳皮,益氣補脾;當歸、熟地、白芍,補血養血;大棗健脾補血調和營衛。若血虛明顯而現陰虛證者,加生地、枸杞子,以滋陰生血;氣虛明顯者,可加黃芪;肌膚甲錯明顯伴癢者,可加赤芍、浮萍、防風,以涼血活血驅風。
(3)脾腎兩虛型:治法:健脾益腎。
方藥:十四味建中湯加減。方為:黨參、黃芪、茯苓、白朮、熟地、白芍、麥冬、肉桂、附片、肉蓯蓉、制半夏、甘草。方中黨參、黃芪、白朮、茯苓、甘草、半夏、麥冬健脾補中,益氣生血;熟地、白芍、肉桂、肉蓯蓉、附子補腎壯陽,填精生髓。腰痛下肢不仁者,可加川牛膝、雞血藤,以活血通絡;腹脹便溏者,可加補骨脂、吳茱萸以補陽溫中。
中成藥(1)人參歸脾丸:2丸,每日2次,用於心脾虛兩型。
(2)八珍丸或人參養榮丸,2丸,每日2次,用於氣血兩虛型。人參健脾丸、金匱腎氣丸各1丸,每日2次,用於脾腎兩虛型。
其它療法
1.氣功療法:氣功是一種獨特的自我鍛鍊方法,是醫療與體育相結合的健身活動。它能發揮人體潛能,通過調身、調心、調息,鍛鍊人的精、氣、神,培植和增強真氣,調整機體的功能,增強體質,提高抗病能力,從而達到治病強身的目的。中西藥物治療,均屬被動療法,是靠藥物而發揮治療作用,而氣功是一種主動療法,它靠發揮人的主觀能動性,依靠自己的力量來調節和增強自身的生理功能。練功無副作用,而且節約,隨時可以鍛鍊。通過練功,不僅可以改善脾胃功能,而且可以改變一些不良的飲食習慣,對本病有較好的治療和預防作用。動功和靜功都可以練,如自控氣功、養氣功、智慧型氣功,六字訣及香功等。只要堅持不懈,練功得法,均可取得較好效果。
2.足穴按摩:可按摩以下反射區:腎上腺、腎、輸尿管、膀胱、心、脾、胃、大腦、垂體、小腸、脊椎等。
預防
巨幼細胞貧血以葉酸缺乏占大多數,維生素B12缺乏造成的巨幼細胞貧血少見。巨幼細胞性貧血以妊娠婦女、嬰幼兒和素食者多見。
人體雖不能合成葉酸而僅能合成部分維生素B12,但富含葉酸和維生素B12的食物在日常生活中廣泛存在。因此,巨幼細胞性貧血是可以預防的。主要的預防措施是針對不同的原因而採取不同的方法:
(1)營養性巨幼細胞貧血:長期葉酸攝入不足所引起的巨幼細胞貧血比維生素B12缺乏引起的巨幼細胞貧血常見。主要原因是缺乏新鮮綠葉蔬菜、水果和動物食品、長期素食,日常生活中對食物烹煮過度也是造成葉酸或維生素B12缺乏的原因之一。因此,日常生活中應注意進食新鮮綠色蔬菜,對食物進行合理的搭配,防止偏食,同時改進烹調方法。

(2)妊娠期巨幼細胞貧血:主要原因是婦女因胎兒的需要而增加葉酸的攝入量,腸道對葉酸的吸收能力較差,妊娠時的偏食、妊娠反應等引起的食欲不振等。妊娠期巨幼細胞貧血的預防首先應補充足夠的葉酸。世界衛生組織推薦孕婦每日葉酸的需要量為800微克,哺乳期為600微克。
(3)嬰兒期巨幼細胞貧血:主要是由於生長發育較快和紅細胞生成加速對葉酸的需要量增加造成的。牛乳中雖然含有豐富的葉酸,但經過煮沸或經過力D2(牛奶粉),大部分葉酸均已破壞。另外,由於山羊乳中缺乏葉酸,用山羊乳餵育嬰兒易出現巨幼細胞貧血。為防止嬰兒期巨幼細胞貧血應提倡人乳或新鮮牛乳餵育,及時添加各種輔食。對已發生巨幼細胞貧血者套用葉酸進行治療。世界衛生組織推薦的每日葉酸需要量為:6個月內嬰兒40微克~50微克,7~12個月120微克,1~12歲200微克,13歲以上400微克。
(4)其他:由於胃大部切除引起的巨幼細胞貧血患者應注意飲食結構,若已發生葉酸和維生素B12缺乏應及時補充;溶血、腫瘤和代謝引起的巨幼細胞貧血首先應治療原發病,同時要補充足量的葉酸和維生素B12。
(5)巨幼細胞貧血運用葉酸和維生素B12治療不滿意時,應注意思者是否同時缺鐵。因為大量紅細胞生成時需要一定量的鐵,且巨幼細胞貧血本身可合併缺鐵,所以應及時補充鐵劑。運用葉酸和維生素B12及鐵劑治療時,可同時服用維生素C,因維生素C有助於葉酸、維生素B12和鐵劑的吸收。

