營養性巨幼細胞貧血症狀體徵
營養性巨幼細胞貧血1.一般表現
多呈虛胖或顏面輕度浮腫,毛髮纖細稀疏、黃色、嚴重者皮膚有出血點或淤斑。
2.貧血表現
皮膚常呈現臘黃色,瞼結膜、口唇、指甲等處蒼白,偶有輕度黃疸,疲乏無力,常伴有肝、脾腫大。
3.精神神經症狀
可出現煩躁不安、易怒等症狀。維生素B12缺乏者表現為情緒呆滯、目光發直,對周圍反應遲鈍,嗜睡、不認親人,少哭不笑,智力、動作發育落後甚至退步。重症病例可出現不規則性震顫,手足無意識運動,甚至抽搐,感到異常,共濟失調、踝陣攣和Barbinski征陽性等。葉酸缺乏不發生神經系統症狀,但可導致神經精神異常。
4.消化系統症狀
常出現較早、如厭食、噁心、嘔吐、腹瀉和舌炎等。
疾病病因
營養性巨幼細胞貧血一、維生素B12缺乏的原因
1.攝入量不足
胎兒可通過胎盤獲得維生素B12儲存於肝內供出生後利用,如孕婦缺乏維生素B12,可致嬰兒維生素B12儲存不足,單純母乳餵養而未及時添加輔食的嬰兒,尤其是乳母長期素食或患有維生素吸收障礙疾病者,可致維生素B12攝入不足,食物中以動物性食物含維生素B12-糖蛋白複合物後由末端迴腸黏膜吸收,進入血循環後需與轉鈷蛋白結合,再運送到肝臟貯存,此過程任何一個環節異常均可致維生素B12缺乏。
2.需要量增加
嬰兒生長發育較快,對維生素B12的需要量也增加,嚴重感染者維生素B12的消耗量增加,如維生素B12攝入量不敷所需即可致缺乏。
二、葉酸缺乏的原因
1攝入量不足
羊乳含葉酸量很低,牛乳中的葉酸如經加熱也遭破壞,故單純用這類乳品餵養而未及時添加輔食的嬰兒可致葉酸缺乏。
2藥物作用
長期套用廣譜抗生素可使正常結腸內部分含葉酸的細菌被清除而減少葉酸的供給,抗葉酸代謝藥物(如甲氨蝶呤、巰嘌呤等)抑制葉酸代謝而致病,長期服用抗癲癇藥(如果苯妥英鈉、撲癇酮等)也可導致葉酸缺乏。
3吸收不良
慢性腹瀉、小腸病變、小腸切除等可致葉酸腸吸障礙。
5代謝障礙
遺傳性葉酸代謝障礙,某些參與葉酸代謝的酶缺陷也可致葉酸缺乏。
疾病病理
營養性巨幼細胞貧血體內葉酸經葉酸還原酶的還原作用和維生素B12的催化作用後變成四氫也散,後者是DNA合成過程中必須的輔酶。因此,維生素B12也散缺乏都可致四氫葉酸減少,進而引起DNA的合成減少,幼稚紅細胞內的DNA合成減少使其分裂和增殖時間延長,導致細胞核的發育落後於胞漿(血紅蛋白的合成不受影響)的發育,使紅細胞的胞體格變大,形成巨幼紅細胞。由於紅細胞生成速度慢,加之異形的紅細胞在骨髓內易被破壞,進入血循環的成熟紅細胞壽命也較短,從而造成貧血。
DNA合成不足也可致粒細胞核成熟障礙,使其胞體增大,出現巨大幼稚粒細胞核中性里細胞分葉過多現象。DNA合成不足亦可使巨核細胞的核發育障礙和致核分葉過多。
脂肪代謝過程中,維生素B12能促使甲基丙二酸轉變成琥珀酸而參與三羧酸循環,此作用與神經髓鞘中脂蛋白形成有關,因而能保持含有髓鞘的神經纖維的功能完整性,當維生素B12缺乏時,可導致中樞和外周神經色鞘受損,因而出現神經精神症狀。維生素B12缺乏還可使中性粒細胞核巨噬吞噬細菌後的殺滅細菌作用減弱,使組織、血漿及尿液中甲基丙二酸堆積,後者是結核桿菌細胞壁成分的原料,過多時有利於結核桿菌生長,故維生素B12缺乏者對結核桿菌易感性增高。
葉酸缺乏主要引起情感改變,偶見深感覺障礙,其機制尚未明了。
鑑別診斷
營養性巨幼細胞貧血1.腦發育不全:多於出生後即出現發育遲緩除神經系統症狀外,尚有智力低下,無貧血表現,用維生素B12治療後神經症狀無改善。
2.慢性肝病性巨幼紅細胞性貧血,由於慢性肝病,可能有維生素B12和葉酸代謝和貯存發生障礙,此種貧血,常伴有慢性肝功損害,肝、脾明顯腫大及門脈高壓、腹水等。
3.紅白血病的紅血期:血像中有核紅細胞增多,其治療和予後均與營養性巨幼紅細胞性貧血不同。
實驗室檢查
營養性巨幼細胞貧血1.外周血象
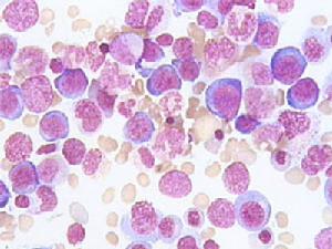
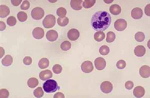
呈大細胞性貧血,MCV>94fl,MCH>32pg。血塗片可見紅細胞大小不等,以大細胞為多,易見嗜多色性和嗜鹼點彩虹細胞,可見巨變的有核紅細胞,中性粒細胞呈分葉過多現象。網織紅細胞、白細胞、血小板計數常減少。
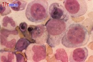
2.骨髓象
增生明顯活躍,以紅細胞系增生為主,粒、紅系統均出現巨幼變表現為胞體變大、核染色質粗而松、副染色質明顯。中性粒細胞的胞漿空泡形式,核分葉過多。巨核心一細胞的核有過度分葉現象。
3.血清維生素B12和葉酸測定
血清維生素B12正常值為200—800ng/L,<100ng/L為缺乏,血清葉酸水平正常值為5—6ug/L,<3ug/L為缺乏。
4.其他
血清乳酸脫氧酶(LDH)水平明顯升高,維生素B12缺乏者血清膽紅素水平中等程度升高,尿甲基丙二酸含量增高。
5.生化檢查
血清間接膽紅素常偏高或輕度超出正常範圍,尿膽元增高。血清乳酸脫氫酶、血清鐵和血清鐵蛋白增高。血清結合珠蛋白、尿酸和鹼性磷酸酶均減低。血清葉酸低於6.81nmol/L(3ng/ml),血清維生素B12低於74pmol/L(100pg/ml)。
6.亞胺甲基谷氨酸(formiminoglutamicacidFIGLU)
排泄試驗,當葉酸缺乏時,FIGLU排泄增高。方法是給病人口服組氨酸15-20克,以後測尿中的FIGLU,正常人為9mg/24小時尿,如尿中FIGLU增加,表示體內葉酸缺乏,因為組氨酸代謝過程中需要四氫葉酸,當葉酸缺乏時,大量的中間代謝產物FIGLU由尿中排出。
7.放射性維生素B12吸收試驗(Schilling試驗):
第一部分,受試者口服放射性鈷(57Co或Co)標記的維生素B122微克,同時肌肉注射維生素B121000微克,然後測定48小時內尿的放射作用。維生素B12吸收正常者48小時內能排出攝入放射性鈷的5-40%,維生素B12吸收有缺陷者,如惡性貧血、胃或迴腸切除後、熱帶營養性巨幼細胞性貧血,尿的放射作用不到5%,第二部分,如果吸收較差應重複試驗,在試驗時加用內因子與維生素B12同時口服,若排出量轉向正常則可將惡性貧血與熱帶營養性巨幼細胞性貧血加以鑑別。
治療方案
營養性巨幼細胞貧血1.一般治療
注意營養,及時添加輔食,加強護理,防止感染,震顫明顯而不能進食者可用鼻飼數天。
2.去除病因
對引起維生素B12和葉酸缺乏的原因應予去除。
3.維生素B12和葉酸治療
有精神症狀者,應以維生素B12治療為主,如單用葉酸反而有加重症狀的可能。維生素B12500—1000μg一次肌注。或每次肌注100ug,每周2—3次。連用數周,直至臨床症狀好轉,血向五恢復正常為止,當有神經系統受累表現時,可予每日1mg,連續肌注2周一身,由於維生素B12吸收缺陷所致的患者,每日肌注1mg為,長期套用,用維生素B12治療後6—7小時骨髓內巨幼紅細胞可轉為幼紅細胞,一般精神症狀2—4天后好轉,網織紅細胞2—4天開始增加,6—7天達高峰,二周后降至正常,精神神經症狀恢復較慢。
葉酸口服劑量為5mg,每日3次,連續數周至臨床症狀好轉,血象恢復正常為止。同時口服維生素C有助葉酸的吸收。服葉酸1—2天后食慾好轉,骨髓中巨幼紅細胞恢復正常。2—4天網織紅細胞增加,4—7天達高峰,2—6周紅細胞和血紅蛋白恢復正常,因使用抗葉酸代謝藥物而致病者,可用甲醯四氫葉酸鈣治療。先天性葉酸吸收障礙者,口服葉酸劑量應增至每日15—50mg才有效。
4.藥物治療
主要套用維生素B12100μg/次每周肌注2次,連續2-4周,直至網織紅細胞正常、已能配合添加輔食為止。
對葉酸缺乏者。口服葉酸5mg每日3次,連用2周后,可改每日1次。維生素C能促進葉酸的利用,可同時口服,以提高療效。
目前主張維生素B12和葉酸聯合套用,再加服維生素C,可提高療效。套用維生素B12和/或葉酸合治療3-4天后,一般精神神經症狀好轉,網織細胞開始增加,6-7天達高峰(15-16%),2周后降至正常,2-6周紅細胞和血紅蛋白恢復正常,骨髓巨幼紅細胞可於維生素B12治療3-72小時後。葉酸治療24-48小時後,轉為正常。但巨幼粒和分葉過多的巨核細胞可能存在數天。神經系統恢復較慢,少量患者需經數月後才能完全消失。
疾病預防
營養性巨幼細胞貧血療效評價
營養性巨幼細胞貧血1.治癒:
(1)臨床:貧血及消化道症狀,神經系統症狀消失。
(2)血象:血紅蛋白恢復正常。白細胞>40*10的9次方/L,粒細胞分葉過多及核腫脹等現象消失。血小板在100*10的9次方/L左右。
(3)骨髓象:粒細胞核腫脹、巨型變及紅系統巨型變消失,巨核細胞形態正常。
2.好轉:(1)臨床症狀明顯改善。(2)血紅蛋白增高30g/L以上。(3)骨髓中粒、紅系統的巨幼變基本消失。
3.無效:經充分治療後,臨床症狀、血象及骨髓象無改變。
隨著人民生活水平不斷提高,營養性巨幼細胞性貧血日趨少見。胃大部切除、慢性萎縮性胃炎,老年人患急慢性胃腸炎後易出現維生素B12、葉酸缺乏而引起本病,應注意合理的食譜。特別注重嬰幼兒的餵養、妊娠、產褥期的飲食調整。注意改進營養,防止偏食,懂得正確的烹煮方法。對胃切除的病人宜補充適當量維生素B12。對已治癒的病人應定期隨訪,以防停藥後復發。
嬰兒期方案
營養性巨幼細胞貧血正常嬰兒出生時,血清和紅細胞內的葉酸濃度高於母體的葉酸濃度,以後逐漸降低,到出生後8~12周時達到最低水平。發生巨幼細胞貧血者大多在出生後2~17個月間。早產兒和出生時體重較輕的嬰兒由於生長較快或感染的機會較多,血液中葉酸濃度降低往往常更為顯著。估計嬰兒每日葉酸需要量為20~50μg,比成人的需要量相對地高。牛乳中所含葉酸比較豐富,故用人乳或新鮮牛乳餵養嬰兒較適當。(牛)奶粉中葉酸已被破壞。
羊乳中葉酸含量特別低,因此用羊乳哺育嬰兒,如不另外補充其他食品或葉酸,容易發生巨幼細胞貧血。這種貧血稱為“山羊乳貧血”。我國西北地區就有這種病例。
抗壞血酸(維生素C)缺乏與嬰兒期巨幼細胞貧血的發生有一定關係。維生素C參與葉酸還原成四氫葉酸的過程,並增加四氫葉酸及其衍生物的穩定性。維生素C缺乏可能有促使葉酸缺乏的作用,故巨幼細胞貧血患兒常同時有維生素C缺乏,但在壞血病患兒中不一定有巨幼細胞貧血。
