代表種
馬鈴薯Y病毒(Potato virus Y)病毒特性
理化特性
標準沉降常數S(20W)=150~160S,在氯化銫中的浮力密度為1.31 g/cm^3。核酸
為單分子線形正義ssRNA,長約9.7kb,相對分子質量3.0×10^6~3.5×10^6,核酸占病毒粒子重量的5%。蛋白質
外殼蛋白由一種多肽組成,分子質量為30~47 kDa,馬鈴薯Y病毒的外殼蛋白含267個胺基酸。基因組
單分體基因組,RNA的5’端為VPg,3’端為Poly(A)。基因組編碼一個長的多聚蛋白,隨後切割產生8~10個產物,包括外殼蛋白(在多聚蛋白C端)。馬鈴薯Y病毒的基因組長9700nt,編碼的多聚蛋白切割產生10個蛋白,分別為:32.4kDa的P1蛋白(功能未知),51.9kDa的HC-Pro蛋白(即輔助成分,與蚜蟲傳播有關),41.5kDa的P3蛋白(功能未知),6.0kDa的6K1蛋白(功能未知),71.4kDa的CI蛋白(即柱狀內含體蛋白,可能與病毒的胞間運動有關),5.5kDa的6K2蛋白(功能未知),21. 7kDa的NIa-VPg蛋白(即VPg蛋白),27.7kDa的NIa-Pro蛋白(核內含體蛋白酶),59.8kDa的NIb蛋
抗原特性
病毒具有中等免疫原性,屬內許多病毒之間存在著血清學關係,一種單克隆抗體能與絕大多數該屬的蚜傳病毒反應,在該屬的蚜傳病毒中,外殼蛋白胺基酸序列的同源性為40%~70%,一些病毒與黑麥草花葉病毒屬和大麥黃花葉病毒屬有血清學關係。細胞病理
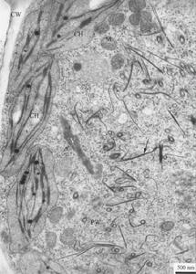
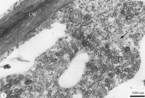
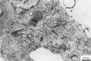
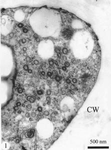
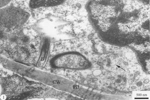
病毒存在於感病寄主植物的各個部分,線形病毒粒子在細胞質中分散或成束分布。該屬所有病毒都在寄主細胞質中產生一種圓柱狀或圓錐狀內含體,在橫切面上呈風輪狀、捲筒狀、環狀、片層狀,縱切面上呈束狀或管狀等,不同病毒的柱狀內含體有較大差異。愛德華森(Edwardson)依據內含體橫切面上的形態,將其分為四個類型:I型具有風輪狀體和捲筒體;II型具有臂伸展的風輪狀體和片層聚集體;III型具有風輪狀體、捲筒體和片層聚集體;IV型具有風輪狀體、捲筒體和短而彎曲的片層聚集體。此分型方法與依據介體傳播方式以及血清學關係的分類並不一致,但對於病理特徵的描述是有用的。柱狀內含體是由病毒基因組編碼的70 kDa蛋白所構成,與病毒外殼蛋白無血清學關係。基本結構是一個中心軸管連線5~15片放射狀排列的板狀物,多數板狀物捲曲,有的與中心軸管分離,有少數病毒粒子縱向附著在蛋白板上。內含體的基部端常連線在內質網或質膜上,有的垂直於細胞壁,與胞間連絲相連,另一端向細胞質伸展,在壞死細胞中往往還存在完整的內含體。由於內含體蛋白具有基因組編碼保守性和複雜的三維結構,其功能可能與病毒的胞間轉運有關,通過一些病毒的全序列分析還證明內含體蛋白是病毒RNA複製酶亞基之一,因此在病毒的複製裝配上可能具有某種作用。![]() | ![]() | ![]() |
一種馬鈴薯Y病毒屬病毒的分離物在大麗菊葉片細胞中引起的風輪狀體。 | 感染蕪菁花葉病毒的榨菜葉肉細胞,示細胞質中充滿了風輪狀體、捲筒體和片層聚集體,病毒粒子分散或成束分布(箭頭)。 | 甜菜花葉病毒感染的甜菜葉片細胞,示細胞質中的風輪狀體和片層聚集體。 |
![]() | ![]() | ![]() |
感染病毒病的柑桔葉片細胞,示細胞質中存在大量風輪狀體和線狀病毒粒子(箭頭)。 | 感病甘薯葉片細胞中出現的細胞核內含體。 | 感染洋蔥黃矮病毒的大蒜葉片細胞質中分布著風輪狀體和捲筒體。 |
![]() | ![]() | ![]() |
在菸草曲葉病病株的葉肉細胞中出現大量風輪狀體和束狀體,表明寄主細胞記憶體在著複合感染的馬鈴薯Y病毒屬病毒。 | 菸草蝕紋病毒引起的細胞核內含體。 | 感染豇豆皺縮花葉病毒的豇豆葉片細胞質中分布著許多風輪狀體和捲筒體。 |
![]() | ![]() | ![]() |
感病大蒜葉片細胞,示細胞質中的囊泡結構和散布的病毒粒子(箭頭),束狀體與質膜相連,處在胞間連絲附近。 | 感染高粱花葉病毒的甘蔗葉片細胞質中風輪狀體出現在胞間連絲(箭頭)附近。 | 感染芋花葉病毒的魔芋葉片細胞質中分布著大量風輪狀體和束狀體。 |
除了柱狀內含體外,該屬病毒還在寄主細胞質或細胞核中產生其他一些類型的內含體。如木瓜環斑病毒在細胞質中產生顆粒狀無定形體,辣椒斑駁病毒產生卷繞管狀物,還有的病毒產生電子緻密的針狀或桿狀物,這些無定形體是由病毒基因組編碼的52 kDa蛋白聚集體,為輔助成分/蛋白酶(HC-Pro),與蚜蟲傳毒有關。在菸草蝕紋病毒感染的細胞核內產生大的角錐狀結晶體,由兩種病毒基因組編碼蛋白組成,49 kDa小核內含體(NIa)蛋白由VPg和蛋白酶組成,58 kDa大核內含體(NIb)是依賴於病毒RNA的RNA聚合酶,核內含體與病毒複製有關。其他還有甜菜花葉病毒產生顆粒狀核內含體,菜豆黃花葉病毒產生核結晶體及細胞質內含體,李痘病毒、天仙子花葉病毒產生核及胞質結晶體,芹菜黃花葉病毒、菜豆普通花葉病毒、麝香石竹脈斑駁病毒產生特殊的管狀物,這些不同類型的內含體和該屬特徵性的柱狀內含體在病毒診斷上具有重要意義。
生物學
寄主範圍
一些病毒的寄主範圍窄,但大多數具有中等寬的寄主範圍,少數病毒可侵染30多科植物。馬鈴薯Y病毒的寄主範圍為茄科及一些莧科、藜科、菊科和豆科植物,機械接種可感染120種植物。傳播
蚜蟲以非持久方式傳播,可以通過機械接種傳播,有些分離物蚜傳效率低,而另一些分離物不能始終被蚜傳,可能是由於蚜傳輔助因子或外殼蛋白順反子的突變所致。一些病毒還可經種子傳播。地理分布
該屬病毒分布範圍很廣,許多是世界性的。分類
該屬共有91個種和88個暫定種,代表種是馬鈴薯Y病毒。該屬是植物病毒最大的一個屬,許多病毒是危害糧食作物、經濟作物、牧草、藥材、果樹的重要病原,在全世界範圍內造成嚴重經濟損失。在中國,一些重要的種如馬鈴薯Y病毒、大豆花葉病毒、高粱花葉病毒、小西葫蘆黃花葉病毒、甘蔗花葉病毒、蕪菁花葉病毒、玉米矮花葉病毒、芋花葉病毒、菸草蝕紋病毒、菜豆普通花葉病毒、菜豆黃花葉病毒、甜菜花葉病毒、麝香石竹脈斑駁病毒、辣椒脈斑駁病毒、洋蔥黃矮病毒、西瓜花葉病毒、鬱金香雜色病毒等已有許多研究報導。確定種
共91個種。編號 | 中文名 | 學名 | 國家基因庫登錄號碼 |
1 | 山姜花葉病毒 | Alpinia mosaic virus(AIpMV) | - |
2 | 六出花花葉病毒 | Alstroemeria mosaic virus(AlMV) | - |
3 | 莧葉斑駁病毒 | Amaranthus leaf mottle virus(AmLMV) | - |
4 | 蘿藦花葉病毒 | Araujia mosaic virus(ArjMV) | - |
5 | 菊芋潛隱病毒 | Artichoke latent virus(ArLV) | - |
6 | 天門冬病毒1號 | Asparagus virus 1(AV-1) | - |
7 | 香蕉苞片段預告葉病毒 | Banana bract mosaic virus(BBrMV) | - |
8 | 菜豆普通花葉壞死病毒 | Bean common mosaic necrosis virus(BCMNV) | [U19287] |
9 | 菜豆普通花葉病毒 | Bean common mosaic virus(BCMV) | [U05771,U34972] |
10 | 菜豆黃花葉病毒 | Bean yellow mosaic virus(BYMV) | [D83749,U47033] |
11 | 甜菜花葉病毒 | Beet mosaic virus(BtMV) | - |
12 | 鬼針草斑駁病毒 | Bidens mottle virus(BiMoV) | - |
13 | 蝦脊蘭輕型花葉病毒 | Calanthe mild mosaic virus(CalMMV) | - |
14 | 豆蔻花葉病毒 | Cardamom mosaic virus(CdMV) | - |
15 | 麝香石竹脈斑駁病毒 | Carnation vein mottle virus(CVMoV) | - |
16 | 胡蘿蔔細葉病毒 | Carrot thin leaf virus(CTLV) | - |
17 | 芹菜花葉病毒 | Celery mosaic virus(CeMV) | - |
18 | Ceratobium花葉病毒 | Ceratobium mosaic virus(CerMV) | - |
19 | 南美紅辣椒脈斑駁病毒 | Chilli veinal mottle virus(ChiVMV) | - |
20 | 三葉草黃脈病毒 | Clover yellow vein virus(ClYVV) | [AB011819] |
21 | 鴨茅線條病毒 | Cocksfoot streak virus(CSV) | - |
22 | 哥倫比亞曼陀羅病毒 | Colombian datura virus(CDV) | - |
23 | 鴨跖草花葉病毒 | Commelina mosaic virus(ComMV) | - |
24 | 豇豆蚜傳花葉病毒 | Cowpea aphid-borne mosaic virus(CABMV) | - |
25 | 豇豆綠色脈帶病毒 | Cowpea green vein banding virus(CGVBV) | - |
26 | 芋花葉病毒 | Dasheen mosaic virus(DsMV) | - |
27 | 曼陀羅帶化病毒 | Datura shoestring virus(DSSV) | - |
28 | 苣蕒菜壞死花葉病毒 | Endive necrotic mosaic virus(ENMV) | - |
29 | 香雪蘭花葉病毒 | Freesia mosaic virus(FreMV) | - |
30 | 嘉蘭條斑花葉病毒 | Gloriosa stripe mosaic virus(GSMV) | - |
31 | 花生眼斑病毒 | Groundnut eyespot virus(GEV) | - |
32 | 羊草花葉病毒 | Guinea grass mosaic virus(GGMV) | - |
33 | 堆心菊Y病毒 | Helenium virus Y(HVY) | - |
34 | 天仙子花葉病毒 | Henbane mosaic virus(HMV) | - |
35 | 朱頂紅花葉病毒 | Hippeastrum mosaic virus(HiMV) | - |
36 | 風信子花葉病毒 | Hyacinth mosaic virus(HyaMV) | - |
37 | 暗黃鳶尾花葉病毒 | Iris fulva mosaic virus(IFMV) | - |
38 | 鳶尾輕型花葉病毒 | Iris mild mosaic virus(IMMV) | - |
39 | 鳶尾重型花葉病毒 | Iris severe mosaic virus(ISMV) | - |
40 | 石茅高粱花葉病毒 | Johnsongrass mosaic virus(JGMV) | [Z26920] |
41 | 伽藍菜花葉病毒 | Kalanchoe mosaic virus(KMV) | - |
42 | 魔芋花葉病毒 | Konjac mosaic virus(KoMV) | - |
43 | 韭蔥黃條病毒 | Leek yellow stripe virus(LYSV) | - |
44 | 萵苣花葉病毒 | Lettuce mosaic virus(LMV) | [X97704,X97705] |
45 | 百合斑駁病毒 | Lily mottle virus(LMoV) | - |
46 | 玉米矮花葉病毒 | Maize dwarf mosaic virus(MDMV) | [AJ001691] |
47 | 摩洛哥西瓜花葉病毒 | Moroccan watermelon mosaic virus(MWMV) | - |
48 | 水仙退化病毒 | Narcissus degeneration virus(NDV) | - |
49 | 水仙晚期黃化病毒 | Narcissus late season yellows virus(NLSYV) | - |
50 | 水仙黃條病毒 | Narcissus yellow stripe virus(NYSV) | - |
51 | 尼潤黃條病毒 | Nerine yellow stripe virus(NeYSV) | - |
52 | 假蔥花葉病毒 | Nothoscordum mosaic virus(NoMV) | - |
53 | 洋蔥黃矮病毒 | Onion yellow dwarf virus(OYDV) | - |
54 | 虎眼萬年青花葉病毒 | Ornithogalum mosaic virus(OrMV) | - |
55 | 木瓜環斑病毒 | Papaya ringspot virus(PRSV) | [S46722,X67673, |
X97251] | |||
56 | 歐防風花葉病毒 | Parsnip mosaic virus(ParMV) | - |
57 | 雞蛋果木質化病毒 | Passion fruit woodiness virus(PWV) | - |
58 | 豌豆種傳花葉病毒 | Pea seed-borne mosaic virus(PSbMV) | [D10930,D01152, |
X89997] | |||
59 | 花生花葉病毒 | Peanut mottle virus(PeMoV) | [AF023848] |
60 | 辣椒斑駁病毒 | Pepper mottle virus(PepMoV) | [M96425] |
61 | 辣椒重型花葉病毒 | Pepper severe mosaic virus(PepSMV) | - |
62 | 辣椒脈斑駁病毒 | Pepper veinal mottle virus(PVMV) | - |
63 | 秘魯番茄花葉病毒 | Peru tomato mosaic virus(PTV) | - |
64 | 碧冬茄花斑駁病毒 | Petunia flower mottle virus(PetFMV) | - |
65 | 李痘病毒 | Plum pox virus(PPV) | [D00424,D13751, |
M92280,X16415, | |||
X81083] | |||
66 | 商陸花葉病毒 | Pokeweed mosaic virus(PkMV) | - |
67 | 馬鈴薯A病毒 | Potato virus A(PVA) | [Z21670] |
68 | 馬鈴薯V病毒 | Potato virus V(PVV) | - |
69 | 馬鈴薯Y病毒 | Potato virus Y(PVY) | [D00441,M95491, |
U09509,X12456, | |||
X97895] | |||
70 | 倫布蘭特鬱金香碎色病毒 | Rembrandt tulip breaking virus(ReTBV) | - |
71 | 青蔥黃條病毒 | Shallot yellow stripe virus(SYSV) | - |
72 | 高粱花葉病毒 | Sorghum mosaic virus(SrMV) | - |
73 | 大豆花葉病毒 | Soybean mosaic virus(SMV) | [S42280] |
74 | 甘蔗花葉病毒 | Sugarcane mosaic virus(SCMV) | - |
75 | 甘薯羽狀斑駁病毒 | Sweet potato feathery mottle virus(SPFMV) | [D86371] |
76 | 甘薯潛隱病毒 | Sweet potato latent virus(SPLV) | - |
77 | 樹番茄花葉病毒 | Tamarillo mosaic virus(TamMV) | - |
78 | 發藤葫蘆花葉病毒 | Telfairia mosaic virus(TeMV) | - |
79 | 菸草蝕紋病毒 | Tobacco etch virus(TEV) | [L38714,M11458, |
M15239] | |||
80 | 菸草脈帶花葉病毒 | Tobacco vein banding mosaic virus(TVBMV) | - |
81 | 菸草脈斑駁病毒 | Tobacco vein mottling virus(TVMV) | [U38621,X04083] |
82 | 旱金蓮花葉病毒 | Tropaeolum mosaic virus(TrMV) | - |
83 | 晚香玉輕型花葉病毒 | Tuberose mild mosaic virus(TuMMV) | - |
84 | 鬱金香雜色病毒 | Tulip breaking virus(TBV) | - |
85 | 蕪菁花葉病毒 | Turnip mosaic virus(TuMV) | [D10927,D83184] |
86 | 西瓜花葉病毒 | Watermelon mosaic virus(WMV) | - |
87 | 野馬鈴薯花葉病毒 | Wild potato mosaic virus(WPMV) | - |
88 | 紫藤脈花葉病毒 | Wisteria vein mosaic virus(WVMV) | - |
89 | 薯蕷花葉病毒 | Yam mosaic virus(YMV) | [U24596] |
90 | 小西葫蘆黃點病毒 | Zucchini yellow fleck virus(ZYFV) | - |
91 | 小西葫蘆黃花葉病毒 | Zucchini yellow mosaic virus(ZYMV) | [L29569,L31350, |
AF014811] |
暫定種
共88個種。編號 | 中文名 | 學名 |
1 | 六出花線條病毒 | Alstroemeria streak virus(AlStV) |
2 | 亞馬孫百合花葉病毒 | Amazon lily mosaic virus(ALiMV) |
3 | 安尼米墨草花葉病毒 | Aneilema mosaic virus(AneMV) |
4 | 黃花茅花葉病毒 | Anthoxanthum mosaic virus(AntMV) |
5 | 耬斗菜壞死環斑病毒 | Aquilegia necrotic ringspot virus(AqNRSV) |
6 | 滇芎Y病毒 | Arracacha virus Y(AVY) |
7 | 垣河十萬錯斑駁病毒 | Asystasia gangetica mottle virus(AGMoV) |
8 | 鬼針草花葉病毒 | Bidens mosaic virus(BiMV) |
9 | 歐洲黑莓黃花葉病毒 | Bramble yellow mosaic virus(BrmYMV) |
10 | 瀉根斑駁病毒 | Bryonia mottle virus(BryMoV) |
11 | 草蘆花葉病毒 | Canary reed mosaic virus(CRMV) |
12 | 海刀豆花葉病毒 | Canavalia maritima mosaic virus(CnMMV) |
13 | 胡蘿蔔花葉病毒 | Carrot mosaic virus(CtMV) |
14 | 決明黃斑病毒 | Cassia yellow spot virus(CasYSV) |
15 | 芹菜黃花葉病毒 | Celery yellow mosaic virus(CeYMV) |
16 | 鷹嘴豆叢矮病毒 | Chickpea bushy dwarf virus(CpBDV) |
17 | 鷹嘴豆線形病毒 | Chickpea filiform virus(CpFV) |
18 | 蝶豆黃花葉病毒 | Clitoria yellow mosaic virus(CtYMV) |
19 | 豇豆皺縮花葉病毒 | Cowpea rugose mosaic virus(CPRMV) |
20 | 文殊蘭花葉病毒 | Crinum mosaic virus(CriMV) |
21 | 克羅埃西亞三葉草病毒 | Croatian clover virus(CroCV) |
22 | 杓蘭褪綠線條病毒 | Cypripedium chlorotic streak virus(CypCSV) |
23 | 瑞香Y病毒 | Daphne virus Y(DVY) |
24 | 曼陀羅437病毒 | Datura virus 437(DV-437) |
25 | 曼陀羅扭曲花葉病毒 | Datura distortion mosaic virus(DDMV) |
26 | 曼陀羅花葉病毒 | Datura mosaic virus(DTMV) |
27 | 曼陀羅壞死病毒 | Datura necrosis virus(DNV) |
28 | 山螞蛾花葉病毒 | Desmodium mosaic virus(DesMV) |
29 | 三淺裂薯蕷病毒 | Dioscorea trifida virus(DTV) |
30 | 雙腺藤花葉病毒 | Dipladenia mosaic virus(DipMV) |
31 | 酸模斑駁花葉病毒 | Dock mottling mosaic virus(DMMV) |
32 | 茄綠花葉病毒 | Eggplant green mosaic virus(EGMV) |
33 | 茄重型斑駁病毒 | Eggplant severe mottle virus(ESMoV) |
34 | 大戟環斑病毒 | Euphorbia ringspot virus(EuRSV) |
35 | 榕葉褪綠病毒 | Fig leaf chlorosis virus(FigLCV) |
36 | 瓜爾豆無症病毒 | Guar symptomless virus(GSLV) |
37 | 玉鳳花花葉病毒 | Habenaria mosaic virus(HaMV) |
38 | 絨毛草線條病毒 | Holcus streak virus(HSV) |
39 | 匈牙利毛曼陀羅病毒 | Hungarian datura innoxia virus(HDIV) |
40 | 印度辣椒斑駁病毒 | Indian pepper mottle virus(IPMoV) |
41 | 柳葉箬花葉病毒 | Isachne mosaic virus(IsaMV) |
42 | 甘迺迪豆Y病毒 | Kennedya virus Y(KVY) |
43 | 百合輕型斑駁病毒 | Lily mild mottle virus(LiMMoV) |
44 | 錦葵脈明病毒 | Malva vein clearing virus(MVCV) |
45 | 萬壽菊斑駁病毒 | Marigold mottle virus(MaMoV) |
46 | 草木樨花葉病毒 | Melilotus mosaic virus(MeMV) |
47 | 甜瓜脈帶花葉病毒 | Melon vein-banding mosaic virus(MVBMV) |
48 | 綠豆花葉病毒 | Mungbean mosaic virus(MbMV) |
49 | 綠豆斑駁病毒 | Mungbean mottle virus(MMoV) |
50 | 尼潤病毒 | Nerine virus(NV) |
51 | 尼潤Y病毒 | Nerine virus Y(NVY) |
52 | 棕櫚花葉病毒 | Palm mosaic virus(PalMV) |
53 | 木瓜葉扭曲花葉病毒 | Papaya leaf distortion mosaic virus(PLDMV) |
54 | 雞蛋果斑駁病毒 | Passion fruit mottle virus(PFMoV) |
55 | 雞蛋果環斑病毒 | Passion fruit ringspot virus(PFRSV) |
56 | 廣藿香斑駁病毒 | Patchouli mottle virus(PatMoV) |
57 | 花生綠斑駁病毒 | Peanut green mottle virus(PeGMoV) |
58 | 白蝶蘭花葉病毒 | Pecteilis mosaic virus(PcMV) |
59 | 辣椒輕型花葉病毒 | Pepper mild mosaic virus(PMM V) |
60 | 辣椒脈帶病毒 | Pepper vein banding virus(PVBV) |
61 | 紫蘇斑駁病毒 | Perilla mottle virus(PerMoV) |
62 | 車前草病毒7號 | Plantain virus 7(PlV-7) |
63 | 苦竹花葉病毒 | Pleioblastus mosaic virus(PleMV) |
64 | 楊樹衰退病毒 | Poplar decline virus(PopDV) |
65 | 報春花花葉病毒 | Primula mosaic virus(PrMV) |
66 | 報春花斑駁病毒 | Primula mottle virus(PrMoV) |
67 | 蘿蔔脈明病毒 | Radish vein clearing virus(RaVCV) |
68 | 毛茛斑駁病毒 | Ranunculus mottle virus(RanMoV) |
69 | 金光菊花葉病毒 | Rudbeckia mosaic virus(RuMV) |
70 | 斯里蘭卡雞蛋果斑駁病毒 | Sri Lanka passion fruit mottle virus(SLPMoV) |
71 | 向日葵花葉病毒 | Sunflower mosaic virus(SuMV) |
72 | 甘薯輕型斑點病毒 | Sweet potato mild speckling virus(SPMSV) |
73 | 甘薯脈花葉病毒 | Sweet potato vein mosaic virus(SPVMV) |
74 | 劍豆磕藤子畸變花葉病毒 | Sword bean distortion mosaic virus(SBDMV) |
75 | 芋羽狀斑駁病毒 | Taro feathery mottle virus(TFMoV) |
76 | 川續斷花葉病毒 | Teasel mosaic virus(TeaMV) |
77 | 菸草萎蔫病毒 | Tobacco wilt virus(TWV) |
78 | 同甘香果蘭病毒 | Tongan vanilla virus(TVV) |
79 | 紫露草花葉病毒 | Tradescantia mosaic virus(TraMV) |
80 | 栝樓斑駁病毒 | Trichosanthes mottle virus(TrMoV) |
81 | 旱金蓮病毒1號 | Tropaeolum virus 1(TV-1) |
82 | 旱金蓮病毒2號 | Tropaeolum virus 2(TV-2) |
83 | 鬱金香帶狀碎色病毒 | Tulip band breaking virus(TBBV) |
84 | 塊根落葵花葉病毒 | Ullucus mosaic virus(UMV) |
85 | 石蒜花葉病毒 | Vallota mosaic virus(ValMV) |
86 | 香果蘭花葉病毒 | Vanilla mosaic virus(VanMV) |
87 | 白瀉根病毒 | White bryony virus(WBV) |
88 | 結縷草花葉病毒 | Zoysia mosaic virus(ZoMV) |












