代表種
大麥黃花葉病毒(Barleyyellowmosaicvirus)
大麥黃花葉病毒病毒特性
形態學病毒粒子為彎曲線狀,有250~300nm和500~600nm兩種典型長度,直徑約13nm,螺旋對稱結構,螺距約3.4nm。
理化特性
在氯化銫中的浮力密度為1.28~1.30g/cm^3。核酸
為二分子線狀正義ssRNA,RNA1長7.5~8.0kb,相對分子質量2.6×1了0^6;RNA2長3.5~4.0kb,相對分子質量1.5×10^6,核酸占病毒粒子重量的5%。蛋白質
外殼蛋白由一種多肽組成,分子質量為28.5~33.0kDa。大麥黃花葉病毒的外殼蛋白含297個胺基酸。
小麥黃花葉病毒基因組
二分體基因組,RNA的5'端為VPG,3'端為Poly(A)。RNA1和RNA2均翻譯成一個多聚蛋白,隨後切割成一系列的結構或非結構蛋白,其中大多數與馬鈴薯Y病毒屬的種有同源性。RNA1
小麥黃花葉病毒病毒的RNA已測序或部分測序。
抗原特性
病毒具有中等免疫原性。除了大麥輕型花葉病毒外,該屬各病毒之間存在著血清學關係,屬內各病毒間的外殼蛋白胺基酸序列同源性為35%~74%。細胞病理
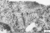
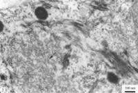
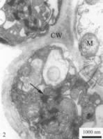
在感病植物的細胞質中存在著成束的病毒粒子,有的粒子分散分布。在表皮、葉肉組織和維管束薄壁細胞的細胞質內常可觀察到柱狀內含體和一種特殊的格線狀膜狀體,沒有核內含體。柱狀內含體橫切面為眾多薄片組成的風輪狀體,無彎曲的捲筒體。膜狀體由許多膜結構特化而成的小管組成,可在細胞質中聚集成片,其外圍與粗面內質網相連,在不同病毒感染的寄主細胞中可能形成不同的三維立體結構。葉綠體等細胞器發生腫脹畸變,病變嚴重的細胞內散布著瓦解的細胞組分、內含體和病毒粒子。病毒粒子也在禾穀多黏菌介體內被檢測到,通過電鏡和免疫金標記發現病毒粒子束存在於遊動孢子中。生物學
寄主範圍該屬病毒的寄主範圍窄,局限於禾本科植物,大麥黃花葉病毒和大麥輕型花葉病毒只侵染大麥。
傳播
病毒傳播介體為土壤中的禾穀多黏菌(Polymyxagraminis),由休眠孢子或從遊動孢子囊釋放的遊動孢子傳播病毒,在乾燥的麥根和土壤中存留多年的休眠孢子仍可以傳毒,實驗中可以通過機械接種傳毒。地理分布
該屬多數病毒在許多國家都有廣泛分布,大麥輕型花葉病毒主要分布在德國、法國、英國等西歐各國。分類
該屬有6個種,代表種是大麥黃花葉病毒。大麥黃花葉病毒、小麥黃花葉病毒、小麥梭條花葉病毒在中國大小麥產區廣泛發生,已有詳細報導。編號中文名學名國家基因庫登錄號碼1大麥輕型花葉病毒Barleymildmosaicvirus(BaMMV)[L49381,D83408-09,
2大麥黃花葉病毒Barleyyellowmosaicvirus(BaYMV)[D01091-92,D01099,
3燕麥花葉病毒Oatmosaicvirus(OMV)
4水稻壞死花葉病毒Ricenecrosismosaicvirus(RNMV)
5小麥梭條花葉病毒Wheatspindlestreakmosaicvirus(WSSMV)
6小麥黃花葉病毒Wheatyellowmosaicvirus(WYMY)[AJ131981,AJ131982]
