疾病概述
青年心肌梗死症狀體徵
青年心肌梗死細胞像疾病病因
青年心肌梗死2.非冠狀動脈粥樣硬化這組病因致病者較中老年心肌梗死多,病因對青年心肌梗死的診斷與治療相當有益。非冠狀動脈粥樣硬化的病因可從以下幾個方面進行分析。
(1)冠狀動脈炎:可見於系統性紅斑性狼瘡、風濕性心臟病、多發性動脈炎、川崎病。
(2)冠狀動脈痙攣:冠狀動脈痙攣可參與或誘發急性心肌梗死。誘發冠狀動脈痙攣的原因有吸菸、飲酒、高脂肪餐、吸毒(大麻、古柯鹼等)及劇烈運動等。
(3)冠狀動脈栓塞:是非冠狀動脈粥樣硬化性青年心肌梗死的重要原因之一。栓子源於感染性心內膜炎、房顫及其他心臟病附壁血栓的脫落、人工瓣膜置換術或二尖瓣和主動脈瓣鈣化等。
(4)外傷:胸部非穿透傷所致的心肌挫裂傷,發生率為16%~76%,嚴重者可引起穿壁性心肌梗死。
(5)冠狀動脈夾層:主動脈夾層及冠狀動脈夾層所致的冠狀動脈內膜損傷及夾層突向腔內阻塞管腔可引起急性心肌梗死。
(6)血管畸形:冠狀動脈起源異常。
(7)其他:嚴重缺氧、冠狀動脈低灌注壓、重度感染、嚴重失血或出血性疾病等。
病理生理
青年心肌梗死2.毒品癮吸毒或靜脈注射毒品如大麻、古柯鹼等,可以誘發冠狀動脈痙攣而導致心肌梗死。古柯鹼能夠阻礙內源性兒茶酚胺的利用,可誘發室性心律失常及猝死,可使冠狀動脈血管收縮而致心肌梗死。歲冠狀動脈結構正常患者,因古柯鹼癮而發生心肌梗死。
3.口服避孕藥物口服避孕藥物可增加心肌梗死的危險性,所以口服避孕藥物是育齡婦女發生心肌梗死的一個重要因素。妊娠或口服避孕藥物的婦女同時吸菸者,心肌梗死的發生率增高。
4.劇烈運動適當運動和體育鍛鍊可以防治冠心病,但應注意運動的強度與體育鍛鍊的方法應因人而異。不少青年因劇烈運動和過度勞累(包括情緒過分激動)而發生猝死和心肌梗死。劇烈運動誘發青年心肌梗死有以下兩種情況。
(1)有冠狀動脈病變基礎的運動性心肌梗死:
①冠狀動脈粥樣硬化性血管損害基礎為冠狀動脈中度狹窄:劇烈運動時,冠狀動脈血流量難以維持30min以上,引起心肌缺血,最終導致心肌梗死。亦可因在血管狹窄的基礎上發生血栓形成或血管痙攣而誘發心肌梗死。
②非冠狀動脈粥樣硬化性血管損害較少見:包括以下幾項:
A.先天性病變:冠狀動脈-肺動脈瘺等。
B.冠狀動脈起源異常。
C.冠狀動脈壁的易感性;正常及異位冠狀動脈可在冠狀動脈內形成夾層動脈瘤。
(2)正常冠狀動脈的運動性心肌梗當機制是:
①冠狀動脈痙攣:可能是冠狀動脈壁對兒茶酚胺的敏感性增強或運動使兒茶酚胺增多所誘發的冠狀動脈痙攣;
②冠狀動脈栓塞。
5.A型行為A型行為類型主要表現為時間緊迫感(總是希望在短時間內做最多的事)、競爭性強、易激動等等。A型行為者易患冠心病。
診斷檢查
青年心肌梗死檢查 實驗室檢查:
1.血清心肌酶學增高在急性心房心肌梗死時,可出現顯著增高的CK、CK-MB、穀草轉氨酶、乳酸脫氫酶等異常改變。
2.血沉增快。
其他輔助檢查:
1.心電圖在相應的心肌梗死的部位,可出現典型的病理性Q波、ST-T改變等,可進行定性、定位診斷。
2.放射性核素利用缺血的心肌對放射性核素及其標記的化合物可選擇性攝取之特點,放射性核素心肌顯像可以發現梗死,確定梗死的範圍和程度,測定側支血流、心肌損傷和心室功能,並可估計預後。
3.超聲心動圖通過測定心室容量、室壁運動和左心室射血分數等情況,有助於確立急性心肌梗死的梗死部位、梗死範圍及左、右室功能障礙程度,提供預後信息。二維超聲心動圖檢查在幾乎全部透壁性急性心肌梗死病人中均顯示區域性室壁運動異常。
鑑別診斷
青年心肌梗死2.不穩定型心絞痛其疼痛部位和性質雖與AMI相似,但心絞痛發作時間一般不超過半小時;多不伴有噁心、嘔吐、休克等;無血清酶學的特徵性變化(心肌肌鈣蛋白T可以增高);發作時雖有ST段和T波改變,但為一過性,心絞痛發作時ST段明顯下降,或伴有T波倒置,應注意與非ST段抬高型MI鑑別。變異性心絞痛發作時,ST段明顯抬高,T波直立,並可伴有室性心律失常或緩慢性心律失常,對應導聯ST段明顯下降,類似AMI早期圖形,但發作緩解後,ST段很快回到等電位線上。心絞痛發作時一般不出現病理性Q波。動態觀察血清酶學及心肌肌鈣蛋白T的變化是鑑別診斷的要點之一。
3.肺動脈栓塞肺動脈栓塞起病突然,有胸痛、氣急、發紺、咯血或休克等表現,如無咯血症狀有時極似AMI。但前者的發熱與白細胞增高多在24h內出現;心臟體徵方面可發現肺動脈瓣區第2心音亢進;肺動脈栓塞心電圖改變較AMI快速而短暫,其心電圖呈急性電軸右偏,右室擴大及SⅠQⅢTⅢ,Ⅰ導聯新出現S波,異常Q波在Ⅲ導聯甚或aVF導聯伴有T波倒置,但Ⅱ導聯不出現Q波,有明顯順鐘向轉位;血清乳酸脫氫酶總值可增加,但其同工酶(LDH1)和磷酸肌酸激酶同工酶(cPK-MB)不升高。放射性核素肺灌注掃描有助於確診。
4.急性心包炎本病常急性起病,伴有較劇烈而持久的心前區疼痛和ST段抬高。但心包炎病人在胸痛發生前或同時常有發熱、白細胞增高,胸痛於咳嗽、深呼吸時加重,在坐位並前傾時減輕,AMI時疼痛與呼吸和體位無關;前者在發病當天甚至數小時內即可聽到心包摩擦音,AMI引起的心包摩擦音多出現於發病後2~5天,有時持續時間很短;急性心包炎引起的心電圖改變為普遍導聯ST段呈弓背向下抬高,它不引起Q波,伴有心包積液時出現低電壓;急性心包炎無血清酶學的特徵性變化;超聲心動圖可觀察心包積液的情況,AMI並有心包炎很少有積液,常見其梗死區室壁運動異常。
5.急腹症急性膽囊炎與膽石症、潰瘍病穿孔、急性胰腺炎等常有上腹疼痛伴噁心、嘔吐或休克,易與疼痛部位不典型的AMI相混淆而引起誤診。可根據病史、腹部體徵(急腹症常有上腹明顯壓痛或反跳痛)、心電圖和(或)血清酶學檢查加以鑑別。需注意的是,冠心病患者常並有膽石症,當發作膽絞痛時,易誘發心絞痛和心肌缺血的心電圖改變。
6.食管破裂食管穿孔或破裂可引起嚴重的胸痛,常很快致死。緊急手術治療可將病死率降低到30%。食管破裂的75%是由器械操作引起,此外也可因異物或存留導管、鈍器傷或穿刺傷、胃潰瘍或食管癌產生壓迫性壞死所致。飽餐後乾嘔或嘔吐也可引起食管自動破裂。病人的疼痛多位於劍突下且反射到肩胛間區,常伴有呼吸困難、大汗和發紺。接著出現蒼白、心動過速和休克以及縱隔氣體的體徵(在胸壁、頸部和鎖骨上窩觸及捻發音)。心前區聽診可發現縱隔聽診摩擦音,即所謂Hamman征。食管破裂的診斷基於嘔吐或食管機械操作後的症狀和體徵。站立位胸部X線檢查可發現縱隔氣體和胸腔積液。吞鋇X線檢查可肯定破裂的位置。有時破裂處可被封閉而不能由X線發現,此時做胸腔穿刺抽出酸性液體可說明有食管破裂。破裂處可被封閉而不能由X線發現,此時做胸腔穿刺抽出酸性液體可說明有食管破裂。
治療方案
青年心肌梗死治療1.青年心肌梗死患者重新工作的評價青年心肌梗死恢復後勞動力的判定和職業選擇對患者來說具有舉足輕重的意義,尤其是在將來漫長的歲月中能否工作、工作的性質以及職業的考慮對醫師來說至關重要,此時醫師有責任給青年心肌梗死患者提出合理的建議。在職業選擇方面應注意到以下幾點:
①能否勝任病前的職業;
②能否勝任病前的勞動強度;
③能否適應病前的勞動或工作環境;
④工作時間與休息時間的長短;
⑤所存在的危險因素及精神因素。
患者是否能夠重新工作要考慮到以下幾個方面:
①病情的輕重;
②工作量大小;
③活動量及生活的自理程度;
④工作環境是否合適;
⑤經濟情況。
2.醫師在建議青年心肌梗死患者重新工作時應考慮的問題:
(1)病情的嚴重程度:
①多支血管病變且狹窄程度比較嚴重者;出現梗死後心絞痛或復發性心肌缺血者近期不宜工作,單支血管病變狹窄程度較輕,康復後0.5~1年內無心絞痛和復發性心肌缺血者可考慮工作。
②梗死範圍大、伴梗死延伸或膨展者暫時不考慮工作。
③心臟增大、心功能不全患者及非冠狀動脈粥樣硬化所致心肌梗死的原發病未糾正者在康復期均不宜參加工作。
(2)體力強度:
①有嚴重心功能不全、預後不良的急性心肌梗死患者不宜恢復工作。
②原為體力勞動者,體力消耗大,康復後的心功能不能負荷原工作的體力強度,應考慮改換能夠勝任的體力負荷工作。
③工作時間長,有潛在危險因素的患者,應在縮短工時,消除潛在危險因素後方考慮工作。
(3)精神狀態和社會因素:精神狀況好、家庭情況優越、經濟條件富裕者,在康復一段較長時間後可根據病情選擇適當的工作。
(4)亦應考慮工作情緒、休息時間的長短、工作緊張程度及勞動環境等。
3.關於青年人劇烈運動的問題劇烈運動是誘發青年人心肌梗死的原因之一,但不能因此而反對開展體育運動鍛鍊。與之相反,定期參加各種體育運動對身體有益,只要消除危險因素,尤其是吸菸,並進行良好的醫療監護,人們就能對運動給予正確理解,對參加體育運動也就不可怕了。
預後預防
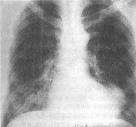
青年心肌梗死X線檢查①急性期和遠期病死率低;
②近期與遠期的預後較好。50例40歲以下心肌梗死患者急性期後生存47例,病後半年內死亡2例,其餘全部復工,無一例喪失勞動力。大部分患者在病後1年內即能上班,且可勝任病前的勞動量。
預防:流行病學研究表明,冠心病是一種受多因素影響的疾病,甚至有研究將影響因素列有246種。許多流行病學家將影響冠心病發病的主要危險因素分為:
①致動脈粥樣硬化的因素,包括高血壓、高血糖、脂肪代謝紊亂以及纖維蛋白原升高。
②一些易患冠心病的生活習慣包括過量進食、缺乏體力活動、吸菸以及A型性格。
③冠狀動脈循環受累的臨床指征,包括休息、運動或監測時心電圖異常以及心肌灌注不良等。這些指征並非致冠狀動脈病變的危險因素,但可預示冠狀動脈已有相當程度的病變。
④其他先天易患因素,如早期患冠心病的家族史。由於流行病學的資料顯示出冠心病是造成人類死亡的最重要的疾病之一,而臨床上尚缺乏根治性措施,因此對冠心病的積極預防有著十分重要的意義。冠心病的預防包含著一級預防和二級預防兩方面。一級預防是指對尚未患上冠心病的人群採取措施控制或減少冠心病的危險因素,以防止患病,減少發病率。二級預防是指對已患上冠心病的患者採取藥物或非藥物措施,以預防病情復發或防止病情加重。
1.一級預防措施冠心病的一級預防措施包括兩種情況:
(1)健康教育:對整個人群進行健康知識教育,提高公民的自我保健意識,避免或改變不良習慣,如戒菸、注意合理飲食、適當運動、保持心理平衡等,從而減少冠心病的發生。
(2)控制高危因素:針對冠心病的高危人群,如高血壓病、糖尿病、高脂血症、肥胖、吸菸以及有家族史等情況,給予積極處理。這些危險因素中有些是可控制的,如高血壓、高脂血症、糖尿病、肥胖、吸菸、少活動的生活方式等;而有些是無法改變的,如冠心病家族史、年齡、性別等。處理方法包括選用適當藥物持續控制血壓、糾正血脂代謝異常、戒菸限酒、適當體力活動、控制體重、控制糖尿病等。
2.二級預防措施冠心病患者的二級預防內容也包括兩個方面,第一方面包含了一級預防的內容,也即要控制好各種冠心病的危險因素;第二方面,採用已經驗證過有效的藥物,預防冠心病的復發和病情加重。已肯定有預防作用的藥物有:
(1)抗血小板藥:已有多項臨床試驗結果證實了阿司匹林可減少心肌梗死的發生和再梗死率,急性心肌梗死後套用阿司匹林可使再梗死率下降大約25%;如有阿司匹林不能耐受或過敏者,可選用氯吡格雷。
(2)β受體阻滯藥:只要無禁忌證(如重度心力衰竭、嚴重心動過緩或呼吸系統疾病等),冠心病患者均應使用β受體阻滯藥,尤其在發生過急性冠狀動脈事件後;有資料顯示急性心肌梗死後患者套用β受體阻滯藥,可使病死率和再梗死率降低20%~25%。可採用的藥物有美托洛爾、普奈洛爾、噻嗎洛爾等。
(3)ACEI:多套用於伴有左心室功能嚴重受損或心力衰竭者。已有許多臨床試驗(如SAVE、AIRE、SMILE以及TRACE等)結果證實了ACEI降低急性心肌梗死後的病死率;因此急性心肌梗死後,射血分數<40%或室壁運動指數≤1.2,且無禁忌證的患者,均應使用ACEI。常用的有卡托普利、依那普利、貝那普利和福辛普利等。
(4)他汀類降脂藥:從4S、CARE以及新近的HPS等研究的結果顯示出冠心病患者的長期調脂治療,不但使總病死率降低,生存率提高;而且需要行冠脈介入治療或CABG的患者數量減少。這得益於他汀類藥物降脂作用以外的改善內皮功能、抗炎作用、影響平滑肌細胞增殖以及干擾血小板聚集、凝血、纖溶過程等功能。辛伐他汀、普伐他汀、氟伐他汀以及阿托伐他汀等均有此作用。另外,針對冠狀動脈造影有冠狀動脈粥樣硬化輕度狹窄性病變而臨床上尚未出現缺血症狀者,儘管還不能明確診斷為冠心病,但應視為冠心病的高危人群,給予積極預防,也可給予小劑量阿司匹林長期服用,並祛除血脂異常、高血壓等危險因素。

