基本釋義
踝骨踝骨 huáigǔ
(1) [ankle]∶同“踝”
(2) 指橈骨莖突。《醫宗金鑒·刺灸心法要訣》:“腕者,當外側之骨,名曰高骨,一名銳骨,亦名踝骨。”
踝骨受傷
一般在普通的生活中,行走經常會扭到腳,輕則疼痛,重則拉傷韌帶乃至骨膜受損。
踝骨一般不會出現骨折情況,多半是在扭到腳後出現骨裂,如不治療容易導致紅腫,骨質增生,骨炎等併發症,通常情況下石膏固定2個月左右就能恢復。
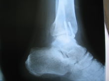
踝骨骨折
踝骨骨折會局部腫脹,壓痛和功能障礙。診斷時,首先應根據外傷史和臨床症狀以及X 線片顯示的骨折類型,分析造成損傷的機制。創傷性關節炎。
病理原因
內翻(內收)型骨折
踝骨可分 III 度。
I 度:單純內踝骨折,骨折緣由脛骨下關節面斜上內上,接近垂直方向。
II 度:暴力較大,內踝發生撞擊骨折的同時,外踝發生撕脫骨折,稱雙踝骨折。
III 度:暴力較大,在內外踝骨折同時距骨向後撞擊脛骨後緣,發生後踝骨折(三踝骨折)。
外翻(外展)型骨折
按骨折程度可分為 III 度。
I 度:單純內踝撕脫骨折,骨折線呈橫行或短斜行,骨折面呈冠狀,多不移位。
II 度:暴力繼續作用,距骨體向外踝撞擊,發生外踝斜行骨折,即雙踝骨折。如果內踝骨折的同時脛腓下韌帶斷裂,可以發生脛腓骨下端分離,此時距骨向外移位,可在腓骨下端相當於聯合韌帶上方,形成扭轉外力,造成腓骨下 1/3 或中 1/3 骨折,稱為 Dupuytren 骨折。
III 度:暴力過大,距骨撞擊脛骨下關節面後緣,發生後踝骨折,即三踝骨折。
外鏇骨折
發生在小腿不動足部強力外鏇,或足不動小腿強力內轉時,距骨體的前外側擠壓外踝前內側,造成腓骨下端斜行或螺鏇形骨折亦可分成 III 度。
I 度:骨折移位較少,如有移位,其遠骨折端為向外,向後並向外鏇轉。
II 度:暴力較大,發生內側付韌帶斷裂或發生內踝撕脫骨折,即雙踝骨折。
III 度:強大暴力,距骨向外側移位,並向外鏇轉,撞擊後踝,發生三踝骨折。
縱向擠壓骨折
高處墜落,足跟垂直落地時,可致脛骨前緣骨折,伴踝關節向前脫位。如果暴力過大,可造成脛骨下關節面粉碎骨折。凡嚴重外傷,發生三踝骨折時,踝關節完全失去穩定性並發生顯著脫位,稱為 Pott 骨折。
治療預防
踝關節面比髖、膝關節面積小,但其承受的體重卻大於髖膝關節,而踝關節接近地面,作用於踝關節的承重應力無法得到緩衝,因此對踝關節骨折的治療較其他部位要求更高,踝關節骨折解剖復位的重要性越來越被人們所認識,骨折後如果關節面稍有不平或關節間隙稍有增寬,均可發生創傷性關節炎。無論哪種類型骨折的治療,均要求脛骨下端即踝關節與距骨體的鞍狀關節面吻合一致,而且要求內、外踝恢復其正常生理斜度,以適應距骨後上窄、前下寬形態。
無移位骨折
用小腿石膏固定踝關節背伸 90 °中立位, 1~2 周待腫脹消褪石膏鬆動後,可更換一次,石膏固定時間一般為 6~8 周。
有移位骨折
踝骨骨折1.手法復位外固定 手法復位的原則是採取與受傷機制相反的方向,手法推壓移位的骨塊使之復位。如為
外翻骨折則採取內翻的姿勢,足部保持在 90 °背伸位,同時用兩手擠壓兩踝使之復位。骨折復位後,小腿石膏固定 6~8 周。 2.手術復位內固定 踝關節骨折的治療,應要求解剖復位,對手法復位不能達到治療要求者,仍多主張手術治療。 (1)適應證 a. 手法復位失敗者; b. 內翻骨折,內踝骨折塊較大,波及脛骨下關節面 1/2 以上者; c. 外翻外鏇型內踝撕脫骨折,尤其內踝有軟組織嵌入; d. 脛骨下關節面前緣大骨折塊; e. 後踝骨折手法復位失敗者; f. 三踝骨折; g. 陳舊性骨折,繼發創傷關節炎,影響功能者。
(2)手術原則 一般原則為: a. 踝穴要求解剖對位; b. 內固定必須堅強,以便早期功能鍛鍊; c. 須徹底清除關節內骨與軟骨碎片; d. 手術應儘早施行。
(3)對不同部位骨折採用的方法 a. 內踝撕脫骨折:用螺絲釘固定即可,如螺絲釘達不到固定要求,可用克氏針與鋼絲行“ 8 ”字張力帶加壓固定。 b. 外踝骨折:可用螺絲釘固定,如腓骨骨折面高於下脛腓聯合以及骨折面呈斜行者,可用鋼板或加壓鋼板固定。 c. 後踝骨折波及脛骨下端關節面的 1/4 或 1/3 ,手法復位較為困難且不穩定,一般應開放復位,螺絲釘內固定。 d.Dupuytren 骨折:可用骨栓橫行固定下脛腓關節,並同時修補三角韌帶。
康復治療
1、 內外踝無移位或輕度移位的骨折可行石膏外固定治療,固定時間為6~8周,要逐漸加強足趾活動,促進血液循環、消腫。
2、 內外踝骨折切開復位內固定治療者,亦行石膏外固定,固定時間4~6周,術後第一天可行足趾關節等張運動,下肢肌肉等張靜力性收縮,每天3~4次每次15~30分鐘。隨時間延長,可適當增加運動量。術後4~6周,可行踝關節被動跖曲、背伸運動,禁止內外翻運動。術後8周可逐漸負重訓練。術後8~12周可行踝關節主動運動訓練,術後12周可行步態訓練。踝關節僵硬者可行理療,必要時手術可分解,亦可中藥熏蒸。非手術和手術治療踝關節骨折均要按醫生要求,定期複查
人體骨骼列表
| 區塊 | 一具標準成年人的骨骼包括下面206塊(內為骨骼數量) |
| 頭顱骨 | 頭蓋骨:額骨 | 頂骨(2) | 顳骨(2) | 枕骨 | 蝶骨 | 篩骨 面骨:顴骨(2) | 上頜骨(2) | 下頜骨 | 鼻骨(2) | 齶骨(2) | 淚骨(2) | 犁骨 | 下鼻甲(2) 耳骨:錘骨(2) | 砧骨(2) | 鐙骨(2) 喉部骨骼:舌骨 |
| 軀幹骨 | 胸部骨骼(25):胸骨 | 肋骨(2 x 12) 脊椎(24):頸椎(7) | 包括寰椎和樞椎 | 胸椎(12) 腰椎(5) |
| 上肢骨 | 肩部骨骼:鎖骨(2) | 肩胛骨(2) |
| 下肢骨 | 骨盆:髖骨 | 骶骨 | 尾骨 腿骨:股骨(2) | 股骨頭 | 大轉子 | 大腿骨節 | 髕骨(2) | 脛骨的軸部和骨節(2) | 腓骨 足部 (52): 踝骨: 跟骨(2) | 距骨(2) | 足舟骨(2) | 內側楔骨(2) | 中間楔骨(2) | 外側楔骨(2) | 骰骨(2) 足背骨: 跖骨(5 × 2) 趾骨: 近節趾骨(5 × 2) | 中節趾骨(4 × 2) | 遠節趾骨(5 × 2) |
| 幼兒骨骼 | 骶椎(4 或 5),成年後融合為骶骨 尾椎(3 到 5),成年後融合為尾骨 髂骨,坐骨和恥骨,成年後融合成整體的髖骨 |

