病因
腹膜後膿腫一般繼發於腹膜後臟器的炎症或穿孔,尤其是腹膜後前間隙內的消化道部分部分繼發於血源性感染少數發病原因不明
1.膽道穿孔膽總管下2/3段位於腹膜後間隙,結石嵌頓壓迫膽總管壁導致其壞死,或膽囊切除、膽總管探查取石時損傷膽總管,可使膽汁漏出並引起膽源性腹膜後膿腫。
2.十二指腸外傷或後壁潰瘍穿孔十二指腸大部分位於腹膜後位,遭受損傷或潰瘍穿孔後如診斷治療延誤,大量消化液可積聚在腹膜後間隙並繼發感染引起腹膜後膿腫手術探查對十二指腸損傷的漏診以及對十二指腸破裂手術處理不當,可引起十二指腸瘺並導致腹膜後間隙的嚴重感染。此外內鏡檢查或插管時(包括鼻膽管引流)也有可能造成十二指腸後側的微創,尤其內鏡檢查時難免要發生扭轉、壓迫等現象更易造成十二指腸不同程度的創傷十二指腸液就有可能滲漏到腹膜後導致腹膜後間隙感染。
3.結腸炎、損傷穿孔升結腸和降結腸位於腹膜後,其炎症、外傷穿孔均可引起腹膜後感染並常形成腹膜後膿腫
4.闌尾炎尤其闌尾位於回結腸系膜後或盲腸後位者闌尾炎症狀不典型易延誤診治形成闌尾周圍膿腫繼而擴散形成腹膜後膿腫。
5.腎周炎、腎周膿腫擴散或腎外傷尿外滲等引起腹膜後感染,繼而形成腹膜後膿腫。
6.急性壞死性胰腺炎胰腺及胰腺周圍組織壞死繼發感染後,極易向胰周侵犯,可到達小網膜囊、腸系膜根部、雙側腎周間隙、結腸後區、骼窩,乃至整個腹膜後間隙,是腹膜後膿腫最常見原因之一雷道雄等報告在1993~2000年收治經B超或CT檢查證實的腹膜後膿腫約23例,其中急性壞死性胰腺炎18例,約占78.3%
致病菌多來自大腸和泌尿系主要為大腸桿菌、變形桿菌,其次為葡萄球菌鏈球菌厭氧菌等感染。
發病機制
由於腹膜後間隙的解剖特點腹膜後感染和化膿易於擴散,而且抵抗細菌的能力較腹膜腔為差,是腹膜後膿腫發生的生理因素。腹膜後間隙感染的途徑歸納起來主要有3條
1.直接侵入如腎癰腎表面膿腫等直接侵入腹膜後間隙的周圍組織導致的膿腫。
2.周圍組織或器官感染的蔓延如直腸感染引致的骨盆直腸間隙膿腫,可以沿腹膜後間隙向上蔓延。
3.經血行和淋巴途徑擴散到腹膜後間隙的感染如敗血症。但很少見。
臨床表現
腹膜後膿腫腹膜後膿腫的臨床特點是全身症狀與腹部體徵不符全身症狀重腹部體徵輕。主要表現有:
1.原發疾病症狀與體徵。
2.全身中毒症狀多數病人常出現畏寒、高熱,中性粒細胞計數明顯升高,甚至核左移。
3.局部症狀腹痛腹脹、腹瀉、嘔吐、腰背部劇痛、腸麻痹。腰大肌強直征,腹部腫塊,肋腰部過敏墜積性水腫,腹膜刺激征較輕或不明顯是本病的特徵性體徵。
併發症:
由於腹膜後間隙部位深在、腔隙大、組織疏鬆,一旦發生感染病灶易於向潛在間隙蔓延擴散。
1.泌尿系統化膿性感染膿腫侵及腎臟輸尿管或膀胱時可出現尿急尿頻膿尿等泌尿系感染症狀。
2.腹腔臟器和組織的瀰漫性感染膿腫可破潰於胸腔、腹腔、縱隔、前腹壁腰大肌、臀部或股部等,引起膿胸腹膜炎等化膿性病變。
3.消化道出血或腸瘺急性壞死性胰腺炎並發腹膜後膿腫者由於胰腺後方、橫結腸及小腸系膜根部、腎周間隙等範圍廣泛侵犯腹膜後瀰漫性病變內含有大量的壞死組織、炎性滲出物和細菌毒素除可加重急性胰腺炎病情外,常致胃腸道出血和腸瘺等
4.ARDS和急性腎衰腹膜後瀰漫性病變時,壞死組織炎性滲出物和細菌毒素的大量吸收,可引發機體瀰漫性凝血出血腎功能衰竭甚至是多器官功能障礙等嚴重併發症。
診斷
由於腹膜後膿腫多繼發於腹膜後臟器的炎症、外傷穿孔或急性壞死性胰腺炎等嚴重疾病,少數繼發於手術後,其症狀和體徵多為原發性病變和手術後狀態掩蓋早期診斷比較困難,結合以下幾點應考慮本病:
1.臨床特點病人除原發疾病的臨床表現外,出現腹痛腹脹腹瀉、嘔吐、尿急、尿頻,以及與腹部體徵不符的全身中毒症狀,腹膜刺激症狀不明顯、有腰大肌強直征
2.血象中性粒細胞計數明顯升高、核左移。
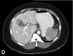
3.B超或CT檢查B超顯示腹膜後低回聲聲影,在其引導下穿刺抽出膿性積液即可明確診斷但由於外傷、炎症可致腸脹氣,而腹膜後間隙感染可使腹脹進一步加重,可影響B超檢查的準確性因此對B超多次檢查陰性而無其他原因的感染來源者不應輕易排除本病,應儘早行CT檢查以利於早期診斷和定位腹膜後膿腫。
4.臨床上不少腹膜後膿腫病人病情隱匿,表現為原發疾病病情穩定甚至無明顯不適,但突然出現不明原因的嚴重感染時應想到本病,此點亦常常是腹膜後膿腫診斷的惟一線索。
檢查
實驗室檢查:
1.血常規檢查可見白細胞計數和中性粒細胞明顯升高,核左移,甚至出現中毒性顆粒。
2.尿常規檢查膿腫侵及腎臟輸尿管或膀胱時尿液中可出現紅細胞、白細胞或膿細胞。
其它輔助檢查:
1.X線檢查
(1)腹平片:可顯示異常的腰大肌陰影,脊柱側突,腎輪廓消失或軟組織塊影。
(2)胸片:可見膈肌抬高,呼吸動度減弱或固定,胸腔積液或肺底部不張。
(3)靜脈腎盂造影:可顯示腎固定,腎充盈缺損或輸尿管移位。
(4)鋇劑消化道造影:可顯示內臟移位,如有消化道穿孔可見鋇劑外滲,據統計有此異常徵象者占38%~90%。
2.B超檢查可顯示腹膜後低回聲聲影以及膿腫的大小及範圍。有學者報告,該檢查敏感性約67%。
3.CT掃描對腹膜後膿腫的診斷和定位具有極大幫助,其敏感性可達100%,尤其對多發性膿腫的診斷再次手術入路的選擇和手術範圍的確定具有特殊重要的意義。
治療
腹膜後膿腫腹膜後膿腫的治療原則是:積極處理原發疾病,充分有效的引流膿腫,足量有效的套用抗生素治療,加強全身營養支持。
1.治療原發疾病。
2.充分有效的膿腫引流由於腹膜後發生感染形成膿腫後,膿腔內常有大量的壞死組織,而且腹膜後間隙為一巨大潛在性腔隙,組織疏鬆無明顯的間隔,感染極易擴散,如不進行有效引流或僅用抗生素治療,病死率有時可高達100%因此,一旦明確診斷後須儘早於膿腫低位處進行通暢引流。引流方式可選擇在B超或CT引導下穿刺置管引流,也可以手術切開探查引流,應視病人的全身狀況、膿腫的部位大小和範圍而定。
3.手術切開引流
(1)經腹引流:傳統的經腹途徑引流適用於首次手術的病例,如闌尾炎、十二指腸或結腸損傷穿孔引起的腹膜後膿腫可經腹行消化道穿孔引流或造瘺手術,並同時行膿腫引流,一般行多管引流。
(2)經後腰部腹膜後途徑引流:因該途徑具有避免對腹腔的污染,術後病人胃腸功能恢復快,手術直接到達腹膜後間隙,操作方便符合低位捷徑的原則,治療效果確切等優點。因此,國內外一些學者認為,膿腫未破入腹腔時,應避免經腹引流,最好採用經後腰部腹膜後途徑引流。術中須疏通各膿腫間隙對蔓延至腹股溝區等部位的膿腫亦應作切實有效的引流。
4.B超或CT引導下經後腰入路穿刺置管引流與手術引流相比有創傷小、失血量少、僅用局麻B超引導下經後腰入路穿刺置管引流可床邊進行等諸多優點,尤其全身狀況較差不能耐受手術引流的病人,可首先選擇穿刺置管引流。其治療效果與膿腫及其病灶的特性有關,單發、單房、膿液較稀薄者療效好膿液內有半固體狀壞死組織的引流可能不徹底須反覆沖洗。也有人提出,膿液黏稠、膿液內有半固體狀壞死組織者不適宜該法引流。對多發性膿腫或反覆穿刺置管引流效果不佳者,應及時改行經後腰部切開多管引流
5.根據膿液細菌培養和藥敏結果選用有效的抗生素。
6.營養支持治療因腹膜後感染可引起腸麻痹,致使腸功能障礙,影響進食。而且腹膜後膿腫常被延誤診斷,長時間的感染和消耗可導致患者貧血、低蛋白血症、機體的免疫力下降。因此,應加強營養支持治療,以利於改善患者的營養狀況和免疫力、促進組織癒合、控制和使感染局限。腸功能障礙恢復前採用腸外營養支持,感染控制腸功能障礙恢復後過渡至腸內營養並逐漸恢復正常飲食。

