病因及常見疾病
幕上皮髓質交界區多見,常位於頂枕區,多自肺癌、乳腺癌、前列腺癌、胃癌、腎癌和甲狀腺癌等原發灶,經血行轉移而來。常為多發,腫瘤中心常發生出血、壞死、囊變,瘤周水腫明顯。
鑑別診斷
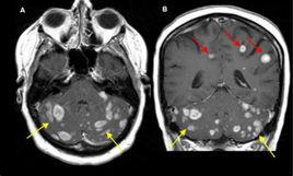
多發性病灶,周圍明顯水腫,CT上病灶均勻或環形強化,則多可診斷腦轉移瘤,特別是原發腫瘤明確時。多發腦轉移瘤需與多髮結核球、多中心性腦膠質瘤等相鑑別,單發性腦轉移瘤需與囊性星形細胞瘤和囊變淋巴瘤相鑑別。
檢查
4.1肉眼觀察
肉眼可分為結節型、瀰漫型和混合型3種。
4.1.1結節型
腫瘤大小不一,可從粟粒大到拳頭大,多發者大小相差懸殊,系瘤細胞不止一次侵入顱內所致。一般呈圓形、結節狀,有時亦可呈楔形,其尖端指向腦室,其底與腦表面相平行。腫瘤起初位於皮質下,然後內侵白質,外累及腦膜;質地不均,較脆,血運多不豐富。腫瘤切面呈灰白色或灰紅色;但絨癌則因其固有特性,為紫紅色,可因原發癌的切除或脫落,其轉移灶可隨之壞死或消退,或因化療或放療後使癌組織全部壞死而呈咖啡色泥漿狀。腦轉移瘤的切面乾而糙,肉瘤則濕而滑;較大的瘤中心部常有壞死和軟化,有時形成囊腫,腔內含有壞死或液化瘤組織,可似膿液,亦可為半透明草黃色液體或黏液,鈣化很少見。
4.1.2瀰漫型
較為少見,可考慮為腦膜種植,累及蛛網膜、軟腦膜、硬腦膜,腦膜普遍增厚變為灰白色,腦表面散在斑點狀病灶。
4.1.3混合型
為前兩種類型同時並存,腦轉移瘤所引起的腦水腫常較腦原發瘤嚴重得多。腫瘤周圍水腫明顯,但與腫瘤大小無關,由於腦組織水腫,邊界相對清楚。轉移瘤的水腫與很多因素有關,如與腫瘤的種類、腫瘤血管的數量和通透性、局部代謝和腫瘤細胞分泌的液體有關。
4.2光鏡下觀察
腫瘤細胞轉移的初期,先在腦血管腔內駐足,隨後侵入腦組織。腦轉移瘤的組織一般與原發瘤相同,有時較原發瘤的分化更低,在結構排列上可能更紊亂些,但亦有較原發瘤分化好者。
肺未分化癌轉移至腦可轉變成分化性鱗癌,肉眼界限清楚的腦轉移瘤鏡下並非如此。瘤細胞常呈條索狀或團塊狀侵入周圍腦組織,有時可借血管周圍間隙到達很遠距離,如同炎細胞那樣在此間隙中構成袖口狀排列。
轉移瘤周圍腦組織的反應明顯,血管擴張,充血或高度怒張而呈血竇狀,管壁呈增生狀態。周圍腦組織的星形細胞增生,胞突腫脹粗大或呈破折狀態。小腔質細胞亦可活躍增生,並可變為吞噬活躍的格子細胞。在轉移瘤發生出血壞死時,血管周圍常有淋巴樣細胞集聚;髓鞘脫失現象亦可出現。
4.3電鏡下觀察
電鏡在神經系統繼發性腫瘤的診斷和研究中具有重要作用,在某些情況下起決定性作用,不像免疫組化常出現交叉反應和假陽性。
腦轉移未分化癌多為腺癌,電鏡下以微腺泡、隱窩、連線複合體和基底膜等為其特徵。不明來源的轉移性腫瘤並不少見,占腫瘤臨床病例的10%~15%,占全部腦轉移瘤的80%~90%。由於這部分腫瘤惡性程度高、分化差,光鏡下難作出準確的診斷,尤其對確認原發灶更加困難。
約95%的病例,電鏡可以作出具體組織學型的分類,如未分化癌的細胞常為圓形到多邊形,成組或成片排列,橋粒常較明顯,胞質內有張力絲和特殊的顆粒;肉瘤細胞常是長形或雙極性,單個分散排列,細胞間間隔細胞外基質,胞質內常有不同口徑的胞質絲,細胞間不存在真正的橋粒,多數情況下只偶見中間絲連線;淋巴瘤的瘤細胞多為圓形,均勻彌散排列,細胞器稀少,胞質無胞質絲,細胞間無任何類型連線,細胞核常出現核袋。
據文獻報導,20%~30%的腦轉移瘤,電鏡可提示原發灶,如果再加上免疫組化技術和結合臨床,可有50%~70%的病例能夠提示腫瘤的原發部位或器官,無疑這對臨床和患者的治療意義巨大。
4.4免疫組化
CK和EMA在腦轉移瘤多為陽性反應,但EMA可能與膠質母細胞瘤發生交叉反應,CK亦可在膠質母細胞瘤和膠質肉癌的上皮樣化生區出現陽性反應。CK和EMA等上皮性標記物,對轉移性乳頭狀腺癌與惡性脈絡叢乳頭狀瘤和乳頭狀腦膜瘤的鑑別上沒有幫助。
GFAP對鑑別轉移瘤與低分化性膠質瘤最為有用,但只有在陽性情況下才有意義,因所有膠質瘤均可為陽性,而在陰性情況下,則不能完全排除膠質瘤。GFAP對鑑別腦轉移性腺泡狀肉瘤與腦原發巨細胞星形細胞瘤或巨細胞膠質母細胞瘤非常靈敏,前者陰性,後二者陽性。EMA對鑑別小腦血管母細胞瘤(間質細胞)與轉移性腎透明細胞癌亦很有幫助,前者陰性,後者陽性。
LCA對CNS中的淋巴造血腫瘤和炎細胞與腫瘤細胞的識別和分辨亦很有價值,淋巴造血細胞的腫瘤及非新生物性淋巴細胞均為陽性表達。一種特殊標記物對某些特殊轉移瘤的識別更值得注意,如黑色素特異性抗原對黑色素瘤,肺癌抗原對肺未分化癌,甲狀腺球蛋白對甲狀腺腺癌,calcitonin對甲狀腺髓樣癌、HCG對絨癌等等。
治療原則
現如今對於1個~3個初治的腦轉移瘤,一般情況好和顱外病灶控制的情況下,首選的治療為手術+WBRT或SRS+WBRT,可考慮SRS或手術+SRS。
無法手術切除者,考慮WBRT、系統治療或最佳支持治療及其聯合治療等。位於顱後窩者,手術治療者建議完整切除。
對於多發腦轉移瘤患者,一般情況良好,可手術切除者建議手術聯合放療、化療等,一般情況差,顱外病灶難以控制者,WBRT或SRS仍是最基本的治療,可輔以系統治療。對於病情進展,全身廣泛轉移、體力狀態很差且無有效治療選擇的患者,最佳支持治療或姑息治療是首選。
原發腫瘤對化療敏感的患者,如小細胞肺癌、淋巴瘤、生殖細胞瘤等,首先考慮化療±放療。復發或進展的腦轉移瘤患者,治療方案的選擇取決於患者全身腫瘤是否穩定以及是否有有效的全身治療措施,可考慮再次手術、SRS、系統治療等方法。
儘管過去30年,腦轉移瘤的治療取得了突破性的進展,但腦轉移瘤的治療療效仍不理想,在選擇治療方案時應重視多學科綜合治療的策略,正確掌握各種方法的適應證,權衡利與弊,根據患者具體情況,各類原發腫瘤的特點制定合理的、個體化治療方案。另外,想要從根本上治癒腦轉移瘤或使之成為像高血壓之類的慢性病,還需要我們更進一步的研究腦轉移瘤的發生髮展機制,尋求新的治療途徑新的治療方案,期待這樣的一天能儘早到來。

