關肝門管區
在幾個肝小葉之間的區域,結蒂組織較多,其中含有肝動脈,門靜脈和肝管的分支,它們分別稱為小葉間動脈,小葉間靜脈和小葉
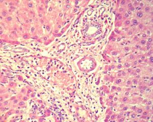
肝門管區肝門管區的組成
肝門管區:肝門處結締組織隨門V,肝A,肝管進入肝實質內,在切片中,肝小葉周圍的角緣形成小中間V、小葉間A、小葉間膽管三者伴行的門管區。
小葉間V:門V的分支,管腔大,壁薄,內皮外僅有少量散在平滑肌。
小葉間A:肝A分支,管腔小,壁厚,內皮外有幾層平滑肌。
小葉間膽管:肝管分支,壁為單層立方或柱狀上皮。

在幾個肝小葉之間的區域,結蒂組織較多,其中含有肝動脈,門靜脈和肝管的分支,它們分別稱為小葉間動脈,小葉間靜脈和小葉間膽管,此區稱為肝門管區。
在幾個肝小葉之間的區域,結蒂組織較多,其中含有肝動脈,門靜脈和肝管的分支,它們分別稱為小葉間動脈,小葉間靜脈和小葉
肝門管區肝門管區:肝門處結締組織隨門V,肝A,肝管進入肝實質內,在切片中,肝小葉周圍的角緣形成小中間V、小葉間A、小葉間膽管三者伴行的門管區。
小葉間V:門V的分支,管腔大,壁薄,內皮外僅有少量散在平滑肌。
小葉間A:肝A分支,管腔小,壁厚,內皮外有幾層平滑肌。
小葉間膽管:肝管分支,壁為單層立方或柱狀上皮。
人的肝臟每個肝小葉間含有3~6個肝門管區,在幾個肝小葉之間的區域(即一個肝小葉多邊形的角處),結蒂組織較多,其中含有肝動脈,門靜脈和肝管的分支,它們分別...
肝是脊椎動物身體內以代謝功能為主的一個器官,並在身體裡面扮演著去氧化,儲存肝糖,分泌性蛋白質的合成等,也製造消化系統中的膽汁。肝位於人體腹部位置,在右側...
科技名詞定義 位置 再生 功能 解剖學肝是脊椎動物身體內以代謝功能為主的一個器官,並在身體裡面扮演著去氧化,儲存肝糖,分泌性蛋白質的合成等,也製造消化系統中的膽汁。肝位於人體腹部位置,在右側...
科技名詞定義 位置 再生 功能 解剖學肝是脊椎動物身體內以代謝功能為主的一個器官,並在身體裡面扮演著去氧化,儲存肝糖,分泌性蛋白質的合成等,也製造消化系統中的膽汁。肝位於人體腹部位置,在右側...
科技名詞定義 位置 再生 功能 解剖學人體中肝臟是銅儲存和排泄的主要器官。銅與蛋白質有幾種結合的形式。在肝細胞中的線粒體內膜中的細胞色素C氧化酶是一種含銅的血紅素蛋白。
銅蛋白 詳細 【肝的解剖學】 【肝的血供】 【肝細胞】精準肝切除這一名詞用於肝切除手術技術方法的描述,始見於國外文獻報導,是在新世紀人文醫學和循證醫學興起的背景下,依託當前高度發達生物醫學和信息科學技術支撐...
一、精準肝切除的概念及其內涵 二、精準肝切除的理論基礎 三、肝切除術的歷史演進肝的結構和功能的基本單位,多角稜柱狀,高約2MM,寬約1MM。人的肝小葉間結締組織較少,故小葉分界不明顯,每個肝小葉中央有一條中央靜脈,肝板,肝血竇,竇...
結構 基本單位 詳解門管區又稱匯管區,人的肝臟每個肝小葉間含有3~6個肝門管區,在幾個肝小葉之間的區域(即一個肝小葉多邊形的角處),結締組織較多,其中含有肝動脈,門靜脈和肝...
