簡介
正常顱內壓腦積水症狀和體徵
正常顱內壓腦積水1.智力改變比較常見,一般最早出現,但有時先見步態異常。智力改變主要表現為反應緩慢、近事記憶減退、遲鈍、易倦、淡漠等,進一步出現思維能力減退、計算力下降、性格改變,類似於Alzheimer病。
2.輕度的步態異常表現為走路緩慢不穩、步基變寬,但無明顯的小腦體徵。重者行走、站立、起立都有困難,晚期則臥床不起。下肢的運動障礙重於上肢,表現為不完全的錐體束損害,常有腱反射亢進,病理征陽性。
3.尿失禁出現相對較晚,程度不一。
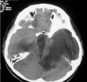
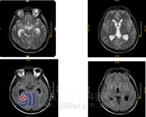
4.頭顱CT或MRI可以顯示雙側腦室對稱性擴大,第三腦室及第四腦室也擴大,腦萎縮。連續顱內壓監護可發現患者熟睡後的眼動期出現顱內壓升高現象,據此可與腦萎縮引起的老年性痴呆相鑑別。腰椎穿刺示腦脊液壓力正常,CSF檢查正常。
疾病病因
正常顱壓腦積水的主要病因是顱內動脈瘤破裂、外傷或其他原因導致的蛛網膜下隙出血,大量的紅細胞阻塞了腦室外的腦脊液循環和吸收通路;也可因各種疾病引起的腦脊液中蛋白含量異常增高或其他能阻塞腦脊液在腦室外的循環和吸收通路的原因引起。一般說來,正常顱壓腦積水是一種交通性腦積水綜合徵。
病理生理
因各種疾病引起的腦室外的腦脊液循環和吸收通路阻塞,進而引起交通性腦積水。病理改變主要表現為腦室系統擴大,腦組織因長期慢性受壓而萎縮變薄,腦回扁平,腦溝變淺。腦萎縮以額葉為著,灰質輕,白質重。兩側腦室多為對稱性擴大,額角和顳角較早受累,且明顯。室管膜可發生斷裂,可在側腦室壁形成憩室或囊腫。常可發生蝶鞍擴大,後床突脫鈣或變薄,基底核及腦幹也可出現萎縮。
正常顱內壓腦積水診斷和治療
診斷檢查診斷:根據典型的臨床表現如進行性智慧型減退、動作遲緩、下肢僵硬、步態異常、小便失禁等,結合頭顱CT或MRI、腰椎穿刺檢查及連續顱內壓監護,正常顱壓腦積水的診斷並不困難。
實驗室檢查:
1.腦脊液檢查腰椎穿刺示腦脊液壓力正常,CSF常規檢查正常。
2.必要的有選擇性的檢查依據可能的病因選擇血常規、血電解質、血糖、免疫項目檢查,如異常則有鑑別診斷意義。其他輔助檢查:
1.頭顱CT或MRI可以顯示雙側腦室、第三腦室及第四腦室擴大,腦萎縮。
正常顱內壓腦積水鑑別診斷
應與老年性痴呆及腦萎縮相鑑別。這些疾病臨床上無顱內壓增高,但有原發病的症狀與特徵。CT、MRI顯示腦室系統和蛛網膜下隙相對增大,但腦室形態正常,第四腦室多不受累。局限性腦萎縮可見局部腦溝、腦池增寬,其餘蛛網膜下隙正常,而腦積水患者的腦室擴大程度與蛛網膜下隙多不成比例,腦室形態異常,腦室周圍水腫。
治療方案
本病以手術治療為主。應根據各項檢查、有無蛛網膜下隙阻塞、年齡及病程等因素,慎重判斷以決定手術指征。
1.腦脊液分流術包括顱內分流及顱外分流兩種。顱內分流術適用於腦室系統阻塞,但無蛛網膜下隙阻塞。腦脊液吸收無障礙者。現常用的方法包括側腦室-小腦延髓池分流術和第三腦室造瘺術。顱外分流術包括將腦脊液引流至心血管的手術及引流至其他臟器或體腔的手術。常用腦室-心房分流術,側腦室-腹腔分流術,椎管-腹腔分流術。
2.藥物治療主要使用脫水劑如甘露醇、利尿藥如氫氯噻嗪(雙氫克脲噻)等以增加水分的排出,或乙醯唑胺以抑制腦脊液分泌。一般療效不明顯,不宜長期使用。
常見併發症
腦積水可導致痴呆、運動障礙、腦萎縮、癲癇等臨床併發症。預後及預防
預後:採取腦脊液分流術治療後,可明顯控制腦積水病情發展。但手術併發症較常見,如腦室胸腔分流可引起胸腔大量積液而產生呼吸困難;腦室乳突分流易引起腦膜炎或腦脊液耳漏;腦室或腦池輸尿管分流易導致患者水電解質失衡;腰蛛網膜下隙腹腔分流易誘發小腦扁桃體下疝。腦室腹腔分流術操作簡便,但可出現分流管堵塞、感染、假性囊腫形成、引流管移位、臟器穿孔等併發症;而腦室心房分流術,除可產生與其他分流術相似併發症外,還有—些較嚴重併發症.如氣體栓塞、心律失常和因引流管穿透心臟而引起的心包堵塞等心臟併發症。
預防:
1.及時診斷,及時治療。
2.根據病因不同,注意防止繼發性顱內感染。
正常顱內壓腦積水
