臨床表現
交通性腦積水臨床上主要為顱內高壓徵象,可出現頭痛、嘔吐、復視和視神經乳頭水腫。
輔助檢查
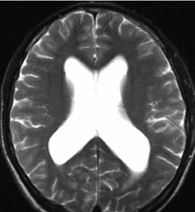
交通性腦積水交通性腦積水另一較為特徵性的表現為腦溝變淺、變平,但灰白質界限仍清楚,常可據此幫助作出診斷。但有時交通性腦積水亦可同時發生腦溝、腦池擴大,特別是側裂池、基底池和小腦橋腦池,這種情況多見於基底池等有關腦池的炎症或腫瘤所致的部分腦脊液循環通路受阻,以及蛛網膜顆粒的吸收功能障礙。
上述交通性腦積水的徵象較為典型,但有時不全部出現,造成診斷困難,Gado等提出了一種評分方法,側腦室擴大分為輕度(+1)、中度(+2)、和重度(+3);第三腦室正常(0)或擴大(+2),腦溝正常或擴大(-2)。如果分數相加大於等於3,提示交通性腦積水。
交通性腦積水可由多種原因引起,而各種原因所造成的腦脊液通路受阻部位不盡相同,CT和MRI有時可幫助明確病因。腦基底池的阻塞可由炎症和腫瘤引起,顱底感染和炎性肉芽增生在增強CT上可出現強化現象,在MRIT2加權圖像上有時也可出現高信號灶。在葡萄狀囊尾蚴病人,可出現基底池的大囊腫樣改變。
假如腦脊液可以經過基底池到達大腦半球凸面,那么病變可能是位於蛛網膜顆粒,蛛網膜顆粒位於上矢狀竇中線兩旁,正常情況下被吸收的腦脊液通過上矢狀竇入靜脈竇。蛛網膜顆粒病變的最常見原因是蛛網膜下腔出血,可由外傷、動脈瘤破裂或AVM出血所致,這種病人由於出血刺激和紅細胞的機械作用,使蛛網膜顆粒受損,在CT和MRI上表現為急性腦積水,腦室系統短時間內明顯擴大。此外,化膿性腦膜炎也可引起急性腦積水;腫瘤的腦膜轉移則表現為隱匿性腦積水過程,在成人以顱外惡性腫瘤(如乳腺癌)轉移多見,兒童則以顱內腫瘤播散為常見(如髓母細胞瘤的蛛網膜下腔播散);白血病或淋巴瘤侵犯腦膜亦可導致交通性腦積水。
皮質靜脈或靜脈竇血栓形成亦可阻礙蛛網膜顆粒吸收腦脊液而導致腦積水。乳突破壞性病變常導致乙狀竇血栓形成引起交通性腦積水,被稱為"耳源性腦積水",靜脈竇血栓形成可為靜脈性血管造影、CT增強掃描和MRI所顯示,但造影劑此時可能加重病情,而MRI則較為安全。
在交通性腦積水,腦室旁腦自質的間質水腫發生率約為40%,但長期存在的交通性腦積水往往不出現這種徵象,這是因為腦室內高壓所致的室管膜受損,可由於膠質增生,形成室管膜疤痕,阻止了腦脊液漏入腦實質。
鑑別診斷
CT和MRI所見腦室普遍擴大而腦溝正常或消失是交通性腦積水的典型表現,尤其是第四腦室擴大時,更易作出診斷。但有時交通性腦積水錶現不典型,特別是合併腦萎縮時,診斷較為困難,必要時可結合病史、腰穿腦脊液滴注試驗和腦脊液壓力測定來確診。

