疾病概述
高顱壓性腦積水臨床表現
高顱壓性腦積水病因病理
高顱壓性腦積水病理:
1、腦脊液循環通路的發育異常以中腦導水管先天性狹窄、閉鎖、分叉及導水管周圍的神經膠質細胞增生為多見,導水管狹窄患者常因近端的腦積水將間腦向下壓迫使導水管發生彎曲,從而加重狹窄和阻塞的程度。此外,Dandy-Walker綜合徵患者及Arnold-Chiari畸形患者均可有腦脊液循環通路的阻塞。腦脊液循環通路阻塞多為不全性,完全性阻塞者難以成活。
2、炎症性粘連腦脊液循環通路的炎症性粘連是引起腦積水的常見原因之一。部位多見於導水管、枕大池、腦底部及環池,也可發生於大腦半球凸面,部分病人可伴有局部的囊腫,引起相應的壓迫症狀。粘連可由於腦內出血,炎症及外傷引起,顱內出血可引起腦底炎症性反應,血液機化形成粘連或血液吸收阻塞蛛網膜顆粒,從而影響腦脊液的疏通循環及吸收。各種原因引起的顱內炎症,尤其是腦膜炎如化膿性腦膜炎或結核性腦膜炎亦易引起顱內的粘連或阻塞蛛網膜顆粒而引起腦積水。顱腦手術病人亦可因術後顱內積血的吸收及炎症反應而導致腦積水。有些顱內腫瘤如顱咽管瘤、膽脂瘤內容物手術過程中外溢後的反應而引起腦積水改變。
3、顱內占位性病變凡是位於腦脊液循環通路及其鄰近部位的腫瘤皆可引起腦積水,如側腦室內的腫瘤及寄生蟲性囊腫等阻塞室間孔可引起一側或雙側側腦室擴大;第三腦室內的腫瘤或三腦室前後部的腫瘤如松果體腫瘤、顱咽管瘤等可壓迫第三腦室導致三腦室以上腦室系統擴大;四腦室及其周圍區的腫瘤如四腦室腫瘤、小腦蚓部及半球腫瘤、腦幹腫瘤、橋小腦角腫瘤可壓迫阻塞四腦室或導水管出口引起四腦室以上部位的擴大;其他部位病變如半球膠質瘤,蛛網膜囊腫亦可壓迫阻塞腦脊液循環通路引起腦積水。
4、腦脊液產生過多如腦室內的脈絡叢乳頭狀瘤或增生,可分泌過多的腦脊液而其吸收功能並未增加而發生交通性腦積水。此外,維生素A缺乏亦可導致腦脊液的分泌與吸收失去平衡而引起腦積水。
5、腦脊液吸收障礙如靜脈竇血栓形成。
6、其他發育異常如無腦回畸形、扁平顱底、軟骨發育不全均可引起腦積水。
診斷檢查
腦積水實驗室檢查:腦脊液檢查壓力可升高,生化指標一般正常。但顱內壓過高時行腰椎穿刺可能誘發腦疝,需引起注意。
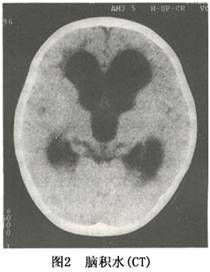
其他輔助檢查:CT或MRI可確定腦室擴大及程度及皮質萎縮的程度,有時可同時了解引起腦積水的原因。此外,CT或MRI還能了解腦積水是急性腦積水還是慢性腦積水,為臨床處理措施的套用提供依據。在腦積水的診斷中,應注意與腦萎縮引起的腦室擴大相區別,後者腦室擴大的同時可明顯地顯示出側裂或腦溝,甚至可有腦溝及腦裂的明顯擴大。另外診斷腦積水應儘可能明確是梗阻性腦積水還是交通性腦積水。
鑑別診斷:低級星形細胞瘤、腦室內囊腫,可通過MRI進行鑑別,也需要與局限性腦室擴大相鑑別。
治療方案
高顱壓性腦積水①針對病因的手術如切除引起腦積水的顱內腫瘤等手術;
②減少腦脊液產生的手術如脈絡叢切除術等已少用;
③腦脊液引流或分流術,是腦積水的主要治療方法。除手術治療外亦可套用藥物治療,主要使用脫水劑如甘露醇、利尿劑如氫氯噻嗪(雙氫克尿噻)等增加水分的排出,或以乙醯唑胺(醋氮醯胺)以抑制腦脊液分泌,但藥物治療不宜長期套用。
對顱高壓性腦積水引起視力急劇減退或喪失者,應急症處理,行腦脊液分流術,暫無分流條件,應在病房重症監護室內行腦室穿刺,持續外引流。常用穿刺部位:在鼻根後10cm,中線右側旁開3cm(即額部),頭皮局部浸潤麻醉,顱骨鑽孔或錐孔,穿刺額角,可以留置穿刺針,置入矽膠管更好,並在出頭皮切口以前在頭皮下穿行3~5cm,這可減少顱內感染。這種引流可持續5天。
腦積水患兒併發症
高顱壓性腦積水有時可表現出原發病變健康搜尋的症狀如四腦室囊腫或腫瘤可有強迫頭位或頭位改變後症狀好轉等,松果體瘤引起的腦積水病人可有眼球上視困難,瞳孔散大或不等大,可伴有性早熟或性徵發育遲緩。
預防預後
預後:對於由於明確病灶引起的高顱壓性腦積水,切除原發病灶解除梗阻後,腦積水可以得到徹底治癒,預後良好。
預防:積極治療引起梗阻的原發病灶,有助於防止腦積水的形成和發展。
