介紹
蛛網膜囊腫疾病分類
蛛網膜囊腫按病因不同可分為先天性和繼發性(外傷性及感染後)兩大類。先天性蛛網膜囊腫是腦脊液被包圍在蛛網膜內所形成的袋狀結構,不與蛛網膜下腔相通。繼發性者由於蛛網膜粘連,在蛛網膜下腔形成囊腫,內含腦脊液。
按部位不同可分為顱內型及脊髓型兩類。顱內型多位於腦表的相關腦池。脊髓型可位於硬膜外,硬膜內或神經鞘膜,引起相關神經根性症狀、體徵。
病因病理
先天性
先天性蛛網膜囊腫為常見類型,其發病原因尚不全清楚,有以下推測:①本症發生原因可能是在胚胎發育時,有小塊蛛網膜落入蛛網膜下腔內發展而成。即囊腫位於蛛網膜內,鏡下可見蛛網膜在囊腫四周分裂為兩層,外層組成囊腫表面部份,內層組成囊底,在軟腦膜與囊底之間仍有一蛛網膜下腔。②還有人認為在胚胎髮育時,由於脈絡叢的搏動,對腦脊液起泵作用,可將神經組織周圍疏鬆的髓周網分開,形成蛛網膜下腔,如早期腦脊液流向反常,則可在髓周網內形成囊腫。③因本症常伴有其他先天性異常,如囊腫內有異位脈絡叢、大腦鐮局部缺失以及眶板、顳葉及頸內動脈缺失等,均證實本症發生基本原因為腦發育不全所致。蛛網膜囊腫不斷增大的原因目前亦無統一意見,可能是:①囊腫壁有小孔與蛛網膜下腔相通,腦脊液自此孔不斷流入囊內,小孔起活瓣作用,因顱底動脈搏動,使囊腫逐漸增大。亦可能某種因素致小孔堵塞而引起顱內壓增高。②囊內有異位脈絡叢,分泌過多的腦脊液,不能吸收所致。③有的病例囊腫與蛛網膜下腔不相通,囊液中蛋白增高,囊內、外滲透壓差異引起囊腫逐漸增大。④囊內或囊壁上靜脈出血,使囊腔迅速增大。
感染後
腦膜炎後因蛛網膜局部粘連而形成囊腫,囊內充滿腦脊液。大多為多發性。多見於兒童。常見於視交叉池、基底池、小腦延髓池、環池等處。腦脊液循環通路受阻。
損傷後
軟腦膜囊腫。其發生機制為損傷造成顱骨線形骨折,伴硬腦膜撕裂缺損,其下方蛛網膜下腔有出血或蛛網膜周圍邊緣處粘連,引起局部腦脊液循環障礙,致局部蛛網膜突至硬腦膜裂口及骨折線內,在腦搏動不斷衝擊下漸形成囊腫,使骨折邊緣不斷擴大,稱為生長性骨折。囊腫可突於頭皮下,同時亦可壓迫下方的腦皮層。囊內充滿清亮液體,周圍有疤痕組織。如外傷時軟腦膜破損,則腦組織亦可疝入骨折處,並有同側腦室擴大,甚至形成腦穿通畸形。本症多見於嬰幼兒。
臨床表現
症狀
本病起病隱襲,多無症狀。一些體積大的蛛網膜囊腫可出現與顱內占位病變相似臨床表現。
⑴、顱骨發育異常或巨顱畸形,特別多見於小兒;
⑵、小兒期的鞍上池囊腫可表現為抬頭-低頭頭部活動,即玩偶頭樣症狀;
⑶、左側中顱凹囊腫可合併注意力不集中症(ADHD);
⑷、頭痛,但不是所有頭痛患者均有蛛網膜囊腫;
⑸、癲癇;
⑹、腦積水(腦脊液聚集過多);
⑺、顱內壓增高;
⑻、發育遲緩;
⑼、行為改變;
⑽、噁心;
⑾、偏癱(一側肢體無力或癱瘓);
⑿、共濟失調(肌肉運動不協調);
⒀、幻聽;
⒁、早老性痴呆,多合併Alzheimer氏病。
老年患者
老年患者(>65歲)症狀與慢性硬膜下血腫或正常壓力腦積水相似:
⑴痴呆;
⑵尿失禁;
⑶偏癱;
⑷頭痛;
⑸癲癇。
部位相關症狀
⑴幕上囊腫可類似美尼爾氏病症狀;
⑵額葉囊腫可出現抑鬱;
⑶左顳葉囊腫可有精神症狀。左額顳葉囊腫更多地表現為述情障礙;
⑷右側裂區囊腫可導致在61歲左右出現新發精神分裂症;
⑸左中顱凹囊腫可有幻聽、偏頭痛和發作性幻想;
⑹多數神經外科醫師認為蛛網膜囊腫與精神疾病存在一定關聯。
診斷
常規套用CT和MRI檢查一般可以確診,僅在少數情況下針對中線部位鞍上和後顱凹病變,套用腦脊液對比劑或流量測定檢查。對於認知功能還可套用簡易精神評分量表(MMSE)進行評價。
疾病治療
多數學者認為對於無臨床症狀者則不需手術治療。而針對有症狀者,則需手術治療對囊腫進行內減壓及囊壁切除,治療方式如下:
1.引流囊腫:
內引流囊液至硬膜下腔。
囊腫-腹腔分流,將囊液引流至腹腔內。
2.囊壁切開:
開顱手術切除囊腫。
各種內窺鏡技術以及雷射輔助技術切除囊腫。
3.鑽孔或針刺抽吸引流囊液。
4.針對癲癇或疼痛症狀的藥物治療。
1、HandbookofNeurosurgery(sixthedition),Mark.Greenberg,,Thieme(NewYork),2006,P94-96
2、AriaiS,KoerbelA,BornemannA,MorgalaM,TatagibaM.Cerebellopontineanglearachnoidcystharbouringectopicneuroglia:PediatrNeurosurg,2005:41(4):220-3
3、Gelabert-Gonzale
流行病學
多為先天性,很少一部分是因外傷、炎症或出血後蛛網膜下腔粘連引起。75%在兒童期發現。1971年,Robinson等報告,顱內蛛網膜囊腫(ICAC)占顱內占位性病變的1%。隨著CT/MRI的臨床套用,更多的ICAC被偶然發現,其臨床檢出率明顯增加。1991年,Pascaul-Castroviejo 報告,ICAC已占顱內占位性病變的13%。其屍檢發現率為0.1%~0.5%。
病因
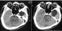
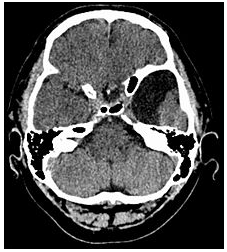
外側裂蛛網膜囊腫CT表現先天性蛛網膜囊腫發生的相關知識是相當有限的。根據大多數可靠的病因學描述,蛛網膜囊腫源於蛛網膜母細胞發育失常導致一個隔膜分裂或重迭。也有學者認為蛛網膜囊腫發源於蛛網膜與硬腦膜外層的原始間葉細胞發育缺陷形成蛛網膜腔隙進一步發展成蛛網膜囊腫,胚胎髮育早期不正常的腦脊液流動異常也可能形成蛛網膜囊腫。繼發性蛛網膜囊腫為出生後感染、外傷、出血等引起蛛網膜粘連,腦脊液被包裹形成的囊腫,內層隔膜存在炎性細胞和鐵質。關於蛛網膜囊腫增大的原因存在爭議,假說之一認為蛛網膜囊腫內液和腦脊液之間存在滲透壓差,但這種解釋同囊液與腦脊液性質相似的特徵相矛盾。被廣泛接受的蛛網膜囊腫逐步增大的原因有兩個,第一、由於蛛網膜囊腫囊壁存在分泌功能,酶超細胞生物試驗證明囊壁存在具有分泌功能的結構。 Na-K 三磷酸腺酐酶、鹼性磷酸酶可使腦脊液向囊內移動。第二、假設在解剖上存在囊內與蛛網膜下腔之間的單向活瓣,這種通路允許腦脊液向囊內移動。
病理學
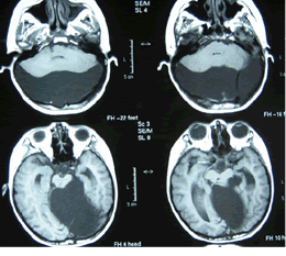
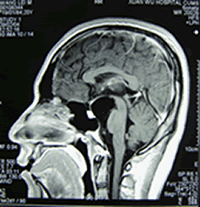
小腦蛛網膜囊腫 MRIAC 1831年,Bright首先描述AC。認為AC是位於兩層蛛網膜之間的內含清亮液體的囊腫。1958年,Starkman等對屍檢標本進行了系統正規的病理學研究,證實了127年前Bright對AC的論述。20年後,Rengachary等發表了有關AC的光鏡和電鏡照片,進一步證實了Bright的理論。該照片顯示,AC周圍的蛛網膜分為兩層,且囊腫內不含蛛網膜小梁。表明囊腫起自蛛網膜內,而並非起自蛛網膜下腔。囊腫包膜含有增殖的蛛網膜細胞和較厚的膠原層。囊腫周圍的腦組織通常結構正常,但也有部分病例伴膠質細胞增生。AC擴張的機制仍然存在爭論。囊腫壁自身可能分泌液體並使之擴張;腦脊液可能通過球瓣或裂隙瓣機制進入囊腫內並存留其中,使囊腫不斷增大;也可能囊腫與蛛網膜下腔自由交通,因腦脊液的搏動而使囊腫體積增大。
分類
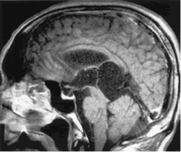
四疊體蛛網膜囊腫MRI表現一、組織學分型:
1、單純蛛網膜囊腫:蛛網膜細胞層可能有分泌 CSF 功能。
2、複雜型蛛網膜囊腫:囊壁更為複雜, 含有神經膠質, 室管膜和其他組織。
二、病理學分型:
1 、真性蛛網膜囊腫:蛛網膜兩層間分離成封閉囊袋, 其間充滿腦脊液而構成的囊腫, 與蛛網膜下腔不相通。
2 、假性蛛網膜囊腫:囊壁由蛛網膜和軟腦膜組成, 囊腔與蛛網膜下腔有一狹窄的通道,腦脊液可以互相流動。這一分法可以幫助對腦組織影響的認識,亦可確定是否需要外科處理。
三、病因學分型:
1 、先天性蛛網膜囊腫
2 、繼發性蛛網膜囊腫
四、病變部位分型:
1、顱內蛛網膜囊腫
(1)幕上蛛網膜囊腫:外側裂囊腫、鞍區囊腫、大腦凸面蛛網膜囊腫、外側裂囊腫、四疊體囊腫
(2 幕下蛛網膜囊腫:小腦囊腫、橋小腦角囊腫、四腦室囊腫
2、椎管內蛛網膜囊腫
(1)硬膜下囊腫
(2)硬膜外囊腫
3、顱骨板障內蛛網膜囊腫
輔助檢查
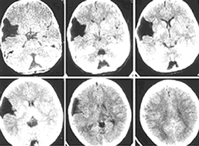
蛛網膜囊腫MRI表現CT 及 MRI 是蛛網膜囊腫最佳的診斷方法, 不但可以明確蛛網膜囊腫的部位、體積以及與周圍結構的關係,還能做出定性診斷。X線顯示蛛網膜囊腫鄰近骨質變薄、隆起或內板呈腦回壓跡樣凹陷等非特異性表現可作為輔助診斷。
1、CT 掃描顯示邊緣光滑、輪廓清晰、無鈣化、位於腦質外類似腦脊液密度的囊性病變 , CT 值為 4 ~ 8Hu , 周圍無水腫帶 , 造影劑無強化效應。毗鄰腦組織受壓,但一般多無中線移位。一些特殊部位如鞍上、四疊體的病變壓迫室間孔或導水管時可致腦室擴大、腦積水改變。
2、MRI 檢查蛛網膜囊腫的特點為 T1 加權圖像示低信號,T2 加權像示高信號,與腦脊液信號相同。MRI 檢查可以了解病變與腦實質、腦池的關係,建立三維圖像,制定手術方案。鞘內注射造影對鑑別蛛網膜囊腫與其它囊性病變或腦池畸形有重要意義。用泛影葡胺造影, 蛛網膜囊腫被造影劑襯托出一圓形充盈缺損。MR 相位對比電影法可以有效了解腦脊液流通動力學,可鑑別蛛網膜囊腫和蛛網膜下腔擴張,也可了解囊腫與蛛網膜下腔交通情況,較鞘內造影檢查具有無創、準確性高的優點。
3、X線平片:有時可見骨壓迫性改變,鄰近顱骨變薄、顱壁外突。
臨床症狀
一些囊腫終身無症狀,也有囊腫自行消失的報導。囊腫進行性增大,壓迫周圍神經結構或阻礙正常腦脊液循環通路,可出現下列症狀和體徵:頭圍增大、局限性顱骨膨隆、顱內壓增高症狀、癲癇發作、智力發育不全、局限性神經功能缺失。不同部位的囊腫有不同的症狀,如鞍區囊腫往往有視力、視野改變或出現內分泌症狀。
診斷
橋小腦角區囊腫內窺鏡切除術中所見1、好發於青少年患者;
2、可以沒有任何症狀,僅因頭痛、頭昏行CT、MRI檢查時發現;
3、常慢性起病,當外傷致蛛網膜囊腫囊內出血時,可突然起病;
4、腦積水由囊腫阻塞CSF循環引起,也可能與CSF吸收障礙有關,表現為顱內壓增高症狀;
5、囊腫壓迫局部腦組織可以出現癲癇、輕度運動和感覺障礙;
6、幼兒可出現頭顱增大和癱瘓;
7、CT或MRI可以確診;
8、CT或MRI增強可其它腫瘤相鑑別。
治療
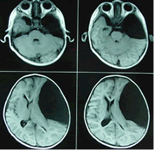
蛛網膜囊腫術前(左)術後(右)對比蛛網膜囊腫患者的最佳治療方案仍有許多爭論。有觀點認為當患者無顱內高壓症狀或無神經系統定位損害時應保守治療,因為有部分患者在行手術探察或切除術後出現不能預知的惡化或死亡。主要是囊腫過份急速減壓使腦組織移位或出現術後感染、出血等嚴重併發症。也有觀點認為即使無症狀患者手術治療可以減少微小損傷導致硬膜下血腫的機率,兒童在無症狀時手術治療可以解除腦葉發育不全,腦組織代謝異常等囊腫對腦功能潛在的影響。當囊腫不斷增大引起顱壓增高或與之相關的腦積水、硬膜下血腫、神經定位損害、與囊腫相關癲癇發作,影像學提示腦組織壓迫時應考慮手術治療。手術治療的目的是解除壓迫。
手術
一、適應症
1、有明顯頭疼、頭暈表現;
2、囊內有出血者;
3、有癲癇頻繁發作者;
4、有病側偏癱、失語者;
5、囊腫合併腦積水。
6、對兒童要採取手術解除囊腫壓迫以利腦發育和改善腦功能,尤其囊腫位於顳部者。
二、手術方法
蛛網膜囊腫2、安裝分流裝置行囊腫分流術。因為囊壁具有分泌功能,所以完全切除囊壁是最合理的方法。但是囊壁與周圍神經組織粘連緊密,所以完全切除很少能夠做到。在很多病例中廣泛但不徹底的切除囊壁或開放囊腔可以充分緩解臨床症狀,術後隨訪行CT檢查可見囊腫體積減小或消失。有報導直接切除囊壁手術的失敗率達25%,高復發率與囊壁切除不足、囊腫開口閉塞、或蛛網膜下腔腦脊液吸收不充分有關。囊腔分流術的優勢是技術成熟可靠,即使在嬰幼兒患者治療中死亡率也很低,可使腦脊液緩慢減少,避免腦組織劇烈移位產生嚴重後果,不足是囊腫復發率高,有報導可達50 %。
3、內窺鏡的使用使蛛網膜囊腫手術成功率大大提高,特別是四疊體囊腫、鞍上囊腫、腦室內囊腫,這些特殊部位囊腫治療的最佳選擇。

