枕骨大孔腦膜瘤流行病學
枕骨大孔腦膜瘤並不常見,據文獻報導,約占顱後窩腦膜瘤的7%,成年女性多見,約為男性發病的3倍。
發病機制
顱脊髓型起於腦幹腹側或腹外側硬膜,基底位於下斜坡枕大孔之上,向枕骨大孔方向生長。脊髓顱型由頸段脊膜瘤向顱內生長,血供主要來自於椎動脈、枕動脈和咽升動脈的分支。
臨床表現
枕骨大孔腦膜瘤併發症:
手術治療時如損傷第Ⅸ、Ⅹ腦神經與延髓,可發生延髓性麻痹。損傷第Ⅺ腦神經可使一側肩下垂。
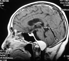
診斷
枕骨大孔腦膜瘤2.體檢 注意檢查神經系統陽性體徵,檢查頭頂部有無骨性凸出或顱骨缺損。
3.顱骨X線平片 陽性所見有:①腫瘤局部顱骨內板骨質增生,內外板均有增生時可有骨性突出,少數可有顱板破壞。②腫瘤血供豐富者可見增粗和迂曲的血管壓跡引向骨質增生或破壞區。③顱內壓增高的顱骨改變。④有時可見腫瘤鈣化和鈣化的松果體移位。
4.腦血管造影 主要用於了解腫瘤的血供來源以及與周圍重要血管間的關係。
5.CT和MRI掃描 可確定腫瘤的部位和大小,絕大多數可作出定性診斷。CT掃描示邊界清晰的均勻高密度影,增強後顯著。少數呈混合密度或低密度改變。MRI見腫瘤多數呈等信號,增強後明顯強化。
根據病史、臨床表現,結合CT及MRI影像檢查,一般可以得到確診。
鑑別診斷
枕骨大孔腦膜瘤臨床發展過程緩慢,需與高頸髓空洞症、環枕畸形、頸椎病、多發性硬化、高頸髓髓內腫瘤等相鑑別,但經CT或MRI檢查鑑別診斷並不困難。
檢查
枕骨大孔腦膜瘤無特殊表現。
其它輔助檢查:
20世紀70年代診斷主要依靠脊髓碘油和腦室碘油造影。造影片顯示枕骨大孔區邊界清晰的充盈缺損。近年國外多以甲泛影葡胺脊髓造影CT掃描,代替繁瑣的傳統脊髓造影及腦室碘油造影,經對比CT掃描,3/4的病例得以確診MRI是診斷顱後窩和上頸段腫瘤的最佳方法,經增強MRI掃描幾乎100%枕大孔區腫瘤可以得確診。
治療
枕骨大孔腦膜瘤1.腫瘤位於枕骨大孔後或側方者 可採用顱後窩正中開顱。充分暴露枕骨鱗部及將頸1~2棘突椎弓咬除,因腫瘤占位,枕大孔和頸1~2處硬脊膜飽滿張力高此時要避免壓迫頸髓和延髓,以防影響呼吸。切開硬脊膜,充分暴露腫瘤。腫瘤的基底均附著在硬腦膜、腦脊膜上,腫瘤與頸髓延髓之間有蛛網膜相隔,有條件時可在顯微鏡下分離,並分塊切除腫瘤,被腫瘤侵蝕的硬腦膜、硬脊膜連同腫瘤一併切除。術中注意保護延髓及頸髓若手術未能全切除腫瘤病人又同時合併腦積水可行腦室腹腔分流術。
2.腫瘤位於枕骨大孔前方時中國外均採用經口腔入路。此入路術後易合併腦脊液漏,故切除腫瘤後應嚴密修補硬腦膜。
3.藥療方案:神經系統疾病的治療原則 神經系統疾病的後果,可能是迅速恢復,可能遺留後遺症,甚至殘廢,也可能導致死亡。神經系統疾病的治療原則是對生命受到嚴重威脅的病人,以乾方百計搶救生命為先;已查明原因者,應同時進行病因治療;原因末明者,在搶救同時,應努力查明病因,以求根治。例如呼吸肌完全癱瘓,嚴重威脅生命者,應首先使用人工呼吸機維持呼吸;同時根據病史,體格檢查和有關實驗室檢查資料分析,判斷其呼吸肌癱瘓的原因。如由重症肌無力危象引起,應立即使用適量新斯的明一類藥物,如由其它疾病引起,則應採取其它相應治療。 神經系統疾病以慢性者居多。病人出現輕重不等的神經症狀和體徵,但尚未威脅到生命時,則以先查明病因再針對病因治療為宜。如果一時難以查明病因者,可先對症治療,繼續追查病因。 癲癇是一個特殊情況。癲癇發作本身,特別是全身性強直陣攣性發作(大發作),對病人是有損害的(腦缺氧、跌傷等)。應儘快控制其發作,同時反覆檢查,追尋其病因,使可獲根治的疾病(如某些顱內腫瘤和腦寄生蟲病)得到及時治療。 有些神經系統疾病,尚未找到根治方法,如脊髓空洞症等,應加強對症療法,減輕病人的痛苦,延長病人的生命。 有些病人所患神經系統疾病,病程遷延較長,可能因肢體癱瘓不能活動,或吞咽困難不能進食。這類病人,可能受到併發症如肺炎、褥瘡、營養不良,失水等的威脅。因此良好的護理非常重要。出現併發症時應及時治療。 對殘餘症狀和體徵,僅靠藥物不夠的,應該採取合理的康復治療,如各種物理療法,針灸療法,功能鍛鍊等。 總之,治療神經系統疾病,應以搶救生命,延長生命為先。能夠設法根治的應設法根治。暫時無法根治的,應設法阻止或延緩疾病發展。有殘餘功能障礙的,應努力設法恢復其功能。有可能產生併發症的,應努力加以防治。
預後
本病的預後取決於腫瘤是否完全切除。文獻報導手術的死亡率為5%左右。若腫瘤未能完全切除,腫瘤復發者約5%死於術後3~5年。術前有嚴重神經功能缺失者,術後恢復較困難。60%的病人術後可生活自理或從事輕工作。因此,要提高枕骨大孔腦膜瘤的手術效果,必需早期診斷、早期治療。
