簡介
急性頸椎間盤突出症急性頸椎間盤突出症是:指有輕重不等的頸部外傷史影像學檢查證實有椎間盤破裂或突出而無頸椎骨折脫位並存在
相應臨床表現者年。以前由於檢測技術所限對本病認識不足診斷也較為困難自磁共振成像問世以來本病發現率日趨增多其基礎和臨床研究也不斷深入。病因學
急性頸椎間盤突出症由頸部創傷所致。致傷原因主要是加速暴力使頭部快速運動導致頸部扭傷,多見於交通事故或體育運動,可由前方、後方、側方撞擊致傷,而以車尾撞擊(Rear-end collision)引起的頸部過伸-加速損傷(Extension-acceleration injury)所致的椎間盤損傷最為嚴重。一般認為急性頸椎間盤突出症是在椎間盤發生一定程度退行性變的基礎上,受到一定外力作用發生的,但亦可見於原無明顯退變的椎間盤。
病理改變
椎間盤是人體各組織中最早和最易隨年齡發生退行性改變的組織,由於年齡的增長,髓核喪失一部分水分及其原
病理Taylor通過屍體解剖指出,創傷性頸椎間盤損傷最具特點的病理徵象是椎間盤軟骨板破裂,而有別於椎骨鉤突裂隙和椎間盤中央裂隙等頸椎間盤退行性改變徵象。頸椎間盤軟骨板裂口常呈線性裂縫,接近椎骨終板,並與之平行,同時常累及椎間盤周圍纖維環,靠近椎體邊緣,表現為“邊緣損傷”(Rim lesion)。軟骨板裂隙與纖維環板層結構裂隙相互延續,裂隙內常有出血,髓核可通過裂隙突出。
頸椎間盤損傷多發生於上三個頸椎間盤,急性創傷性頸椎間盤突出以頸3~4間隙多見,主要原因是:(1)頸椎過伸性損傷時切應力大,頸3~4間隙較下位頸椎更接近於著力點;(2)頸3~4小關節突關節面接近水平,更易於在損傷瞬間發生一過性前後移位,類似於彈性關節。
頸脊髓由於齒狀韌帶作用而較固定,當外力致椎間盤纖維環和後縱韌帶破裂,髓核突出易引起頸脊髓受壓。頸脊髓受壓後變細變軟,並可在早期形成空洞,脊髓損傷區域不大,但不少患者可因此表現出不同程度的癱瘓狀態。
頸脊神經根在椎間盤水平橫形進入椎間孔,頸椎後外側纖維環和後縱韌帶較薄弱,髓核易從該處突出,即使突出物很小也會引起神經根受壓。
臨床表現
本病起病急,大多數病例有明顯頭頸部外傷史,有的可因輕微損傷起病,甚至伸懶腰亦可誘發。臨床表現因壓迫部位和程度不同而有較大差異。根據椎間盤突出部位及壓迫組織不同,本病可分為三型:側方型、中央型、旁中央型。
診斷
根據臨床表現和影像學檢查結果,診斷多無困難,診斷依據:病史
頭頸部外傷史,即使是輕微的頸部扭傷。起病急,發病前無症狀,起病後出現頸脊髓或神經根受壓的症狀和體徵。
影像學檢查
頸椎X線片 可觀察到:(1)頸椎生理弧度減小或消失;(2)年輕或急性外傷性突出者,椎間隙可無明顯異常,
CT掃描CT掃描 雖對本病診斷有一定幫助,但往往無法依靠常規CT掃描確診。CTM(脊髓造影+CT掃描)則可較清晰地顯示脊髓和神經根受椎間盤壓迫的影像,近年來有些學者主張採用此法來診斷頸椎間盤突出症,並認為其在診斷側方型頸椎間盤突出症的價值明顯大於MRI。
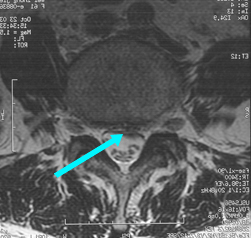
磁共振成像(MRI) 可直接顯示頸椎間盤突出部位、類型及脊髓和神經根受損的程度,為頸椎間盤突出症的診斷、治療方法選擇及預後提供可靠依據。MRI對頸椎間盤突出症診斷的準確率遠遠大於CT和CTM。在中央型和旁中央型頸椎間盤突出症中可顯示清晰影像:(1)中央型:椎間盤從受累椎間隙水平呈團塊狀突出,壓迫頸脊髓前方中央部位,受壓脊髓局部可呈彎曲、變扁或凹陷狀向後方移位,並有信號異常的表現,其中以信號增強為主,有時可見脊髓內空洞影像;(2)旁中央型:椎間盤呈塊狀或碎片狀向後外側突出,壓迫頸脊髓側方和一側神經根,頸脊髓前外側受壓變形,向後方或健側移位,局部信號增強,神經根向後外側移位或影像消失。側方型頸椎間盤突出往往需要結合CTM進行診斷。
肌電圖
用於確定神經根損害,對神經根的定位有一定意義。肌電圖正常表示神經根功能尚可,預後良好。
鑑別診斷
1.頸椎病
無明確外傷史,或在外傷前即有頸椎病的症狀,起病緩慢,症狀、體徵可與頸椎間盤突出症相似,影像學顯示骨
診斷2.頸椎管內腫瘤
無外傷史,起病一般較緩慢,影像學可提供重要的鑑別依據,髓內腫瘤分辨較容易,髓外腫瘤與椎間盤有明確界限。
3.肩周炎、胸腔出口綜合徵
主要與側方型頸椎間盤突出症相鑑別。肩周炎僅有肩部疼痛及活動受限,而無神經功能異常。胸腔出口綜合徵的臨床表現酷似側方型頸椎間盤突出症,但頸椎MRI卻未見椎間盤突出及神經根受壓,胸片可顯示胸腔上口狹窄或頸肋等。
治療
治療原則:以非手術治療為主,如出現脊髓壓迫症狀,應儘早施行手術治療。
非手術療法
急性頸椎間盤突出症頸部圍鄰制動主要作用是限制頸部活動和增強頸部的支撐作用,減輕椎間盤內壓力。一般可採用簡易圍頸保護,對嚴重病例伴有明顯頸椎失穩者可採用石膏圍頸固定。對牽引後症狀緩解者制動有利於病情恢復。
推拿、按摩雖有不少治療成功的報導,但推拿,特別是重手法推拿有可能加重椎間盤突出及脊髓、神經根損傷,嚴重者可在推拿瞬間發生截癱,因此採用時應謹慎。
理療對輕型病例僅有神經根刺激症狀者有一定效果,其中以蠟療和醋離子透入療法效果較好。
藥物治療對症處理,對疼痛劇烈者可採用沃卡恩聚能離子風濕骨痛貼藥物。
手術療法
急性頸椎間盤突出症頸前路減壓術適用於中央型和旁中央型椎間盤突出症患者。採用環鋸減壓摘除損傷的椎間盤並行椎體間植骨融合術效果較好。退變者應同時去除增生的骨贅,以免殘留可能的致壓物。
頸後路減壓術適用於側方型頸椎間盤突出症或多節段受累、伴椎管狹窄或後縱韌帶骨化者。單純的椎間盤突出可採用半椎板及部分關節突切除術,通過減壓孔摘除壓迫神經根的椎間盤組織。伴有椎管狹窄或後縱韌帶骨化則可採用全椎板減壓術。
頸椎間盤顯微切除術有後側和前側兩種入路,在治療頸椎軟椎間盤突出中,其入路選擇仍有較大爭議。外側入路治療單根神經根受損的外側型髓核脫出,取得良好療效,術中小關節突切除的範圍依神經根和突出椎間盤的關係而定。該法的優點是:(1)操作簡便:(2)切口小、創傷小;(3)併發症少,危險性小。但此術僅適用於單純頸椎間盤突出,而對於合併頸椎管狹窄症及後縱韌帶骨化症患者,由於減壓範圍有限,手術效果差,不宜採用此法。
頸椎間盤溶核術由法國的Bonafe和Lazorthes提出並首先作了研究。適用於需要手術的頸椎間盤突出症。尤其年輕患者,經非手術治療數周無效則可選用此法。雖有不少學者報導該法療效不亞於外科手術治療,但諸多因素限制其廣泛套用:(1)該法採用頸前路穿刺途徑,而頸前方解剖結構密集,如血管神經束、氣管食管束等,增加了穿刺的難度和危險性;(2)使用木瓜凝乳蛋白酶有損傷脊髓的潛在危險性。
康復保健
急性頸椎間盤突出症①烏粥藥物組成:生川烏12g,香米50g,慢火熬熟,下薑汁1菜匙。蜜3大匙,攪勻,空腹。 功效:散寒通痺。
②杭菊桃仁粥藥物組成:杭白菊20g,桃仁15g,粳米60g,先將白菊水煎取液500ml,再把桃仁洗淨搗爛如泥,加水研汁去渣,二汁液同粳米煮熟。功效:活血養血通絡。
③姜蔥羊肉湯藥物組成:羊肉100g,大蔥30g,生薑15g,大棗5枚,醋30g,加水適量,做湯1碗,日食1次。 功效:益氣、散寒、通絡。
2、頸椎病藥酒 藥物組成:秦艽 、當歸、防風、赤芍、桑寄生、茯神、海桐皮、川桂枝、灸甘草、獨活、川芎、北沙參、陳酒。用法:上藥浸酒內7-10天即可飲用,每次20ml,每日2次。
相關詞條
頸椎骨折脫位 | 頸椎前脫位 | 頸椎椎弓裂 | 顱底凹陷 | 脊髓型頸椎病 |
