基本介紹
孢子絲菌病(Sporotrichosis),是由申克氏孢子絲菌所引起的皮膚、皮下組織及其鄰近淋巴系統的慢性感染。
由申克氏孢子絲菌引起的慢性皮膚、皮下組織及其附近淋巴管的感染。本病在中國散在發病,但多見於東北及長江以南沿海地區。孢子絲菌寄生於植物、土壤中,皮膚外傷可感染此病。真菌鏡檢不易找到病原體,需作真菌培養,取膿液、組織塊作真菌培養,鑑定菌種即可確診。常見的孢子絲菌病有皮膚淋巴管型,沿局部淋巴管有許多皮下結節,可穿破皮膚,出現肉芽腫及化膿損害。還有固定型,只局限於一處,多發於面、頸、軀幹等處,常是浸潤性肉芽腫紅色斑塊樣。還可侵犯黏膜、骨、關節,也可有系統性損害。治療主要用碘化鉀內服,也可用局部熱療。試用灰黃黴素、二性黴素B
均有一定效果。
這是由孢子絲菌引起的深部黴菌病,主要侵犯皮膚,偶爾也可侵犯黏膜,肺、腦膜和其他內臟器官。發病前,皮膚常先有外傷史,再接觸帶菌的泥土或植物,病菌就從損傷的皮膚進入人體,大約經過1~3周,就在最初侵入的部位產生象癤子樣的損害,一般不痛,也不發熱,潰破後形成潰瘍,流膿不多;也可為丘疹、疣狀損害、斑塊、菜花樣假性腫瘤等。
臨床特點
一、病因:多有外傷史,
二、好發部位:四肢和頭面部等暴露部位。
三、皮疹特點:皮下結節或暗紅色浸潤性斑塊,表面可呈輕度疣狀增生,擠壓有少許分泌物,逐漸擴大與皮膚粘連,並沿淋巴管蔓延。
四、自覺症狀:輕微。
五、分型:淋巴管型、固定型、播散型。
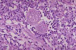
〖組織病理〗組織細胞為主的肉芽腫和嗜中性粒細胞浸潤形成的化膿性炎症。在膿腫和多核巨細胞中PAS染色有時可找到孢子或星狀體。
〖實驗檢查〗膿液或組織真菌培養有孢子絲菌生長。
預防治療
一、10%碘化鉀溶液為首選藥物,10~20ml 口服3/日,飯後服藥,並從小劑量開始,逐漸增量。如病人可以耐受,治療應延長至臨床治癒後4~6周。
二、伊曲康唑100mg口服1/日,連續個月以上。
三、特比萘芬250mg口服1/日,連續3個月。
四、5-FC口服 1.5~2g/日,可與酮康唑合用,200mg/日,連續2~3個月。
五、二性黴素B適用以上藥物治療無效者,靜滴,還可配成0.25%的溶液局部損害內注射。
局部損害可考慮切除治療,或採用物理療法、熱療或冷凍治療。

