概述
中文名:副球孢子菌病
英文名:paracoccidioidomycosis
別 名:南美芽生菌病;副球孢子肉芽腫;巴西芽生菌病;類球孢子菌病
副球孢子菌病(Paracoccidioidomycosis)又名南美(巴西)芽生菌病或副球孢子肉芽腫,是由巴西副球孢子菌引起的一種好侵犯黏膜、皮膚、肺和淋巴系統的慢性化膿性肉芽腫性疾病。
流行病學:本病流行於拉丁美洲特別是巴西健康搜尋其次是阿根廷、秘魯和委內瑞拉等。患者多為農民,年齡多在20~30歲,男性多見。中國尚未見報告。
病因
巴西副球孢子菌為雙相真菌,真菌學分類為有絲孢菌,屬於子囊菌門-爪甲團囊菌目-爪甲團囊菌科。本菌為自然界腐生菌,可能經呼吸道、消化道以及皮膚黏膜損傷處進入人體引起感染。近來還有副球孢子菌感染以眼瞼、下肢主動脈為首發,且是唯一症狀的報告。自然存在於土壤及木材中,主要分布在中、南部美洲。本菌生態環境尚不明確,但一般多為農業地區,且與接近水源、空氣濕度較大有關。
症狀
臨床表現
1.肺型副球孢子菌病 原發性肺部感染多由吸入孢子引起。大部分患者無症狀或亞臨床症狀http://www.huoguan.com,可自愈。少部分出現乏力、發熱、咳嗽、痰中帶血絲胸痛和呼吸困難胸部X線示肺部的損害常為雙側性結節狀並常有廣泛鶒的纖維化約1/3的病例可形成空洞。
2.皮膚黏膜淋巴管型副球孢子菌病 常發生口腔及口周損害,鼻腔、眼結膜及肛周也可累及。病原菌直接感染或經淋巴、血行播散皮損為小肉芽腫或潰瘍愈後遺留瘢痕造成畸形。附近淋巴結腫大鶒,變硬,但不痛,逐漸化膿壞死破潰後形成瘺管。
3.播散型副球孢子菌病 原發感染經血行播散至肝、脾、小腸以及泌尿生殖系統中樞神經系統和肌肉骨骼、臟器,引起肉芽腫和化膿性結節,全身淋巴結亦可受累腫大。根據累及臟器的不同,臨床表現多樣病情發展較快多見於青少年患者。
本病常見合併其他疾病如南美錐蟲病、蠕蟲病、營養不良、血吸蟲病和結核病等。
併發症
肺廣泛的纖維化,形成空洞鶒。臟器肉芽腫和化膿性結節。
診斷
根據臨床表現、真菌學檢查亦可結合組織病理髮現特徵性病原菌可確定診斷健康搜尋。
鑑別診斷
皮膚黏膜淋巴管炎型應與皮膚結核腫瘤皮膚利什曼病鑑別;播散型應與結核病、腫瘤等鑑別。另外還應與其他深部真菌病如皮炎芽生菌病、球孢子菌病和組織胞漿菌病等鑑別。
檢查
實驗室檢查
1.真菌學檢查
(1)直接鏡檢:痰、分泌物或黏膜刮取物、淋巴結抽取物可以KOH作直接鏡檢鏡下可見直徑約10~60µm大的單芽或多芽性厚壁孢子。
(2)真菌培養:在沙堡瓊脂上室溫下生長緩慢,菌落呈褐色扁平狀,有皺褶,表面覆短絨毛狀氣生菌絲。鏡下見菌絲兩側有不典型的小分生孢子。
2.血清試驗 有免疫擴散法和補體結合法。
其它輔助檢查
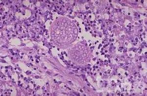
組織病理:以化膿性肉芽腫為主,有中性粒細胞浸潤,在膿液的巨細胞中有菌體孢子,多呈單芽性芽生孢子。
治療
本病較頑固難治應早期診斷,早期治療早期局限的皮膚黏膜損害可切除或電灼。磺胺類藥可治療輕、中度和播散型感染,在兩性黴素B控制病情後維持治療,與甲氧嘧啶聯合效果更佳兩性黴素B 0.25~1.2mg/(kg·d)靜脈滴注,根據病情,總量可達1~4ghttp://www.huoguan.com。口服酮康唑200~400mg/d伊曲康唑100~200mg/d,療程6個月。除細胞免疫恢復外,治癒標準包括停止治療2年後無症狀;胸部X線檢查陰性;血清學陰性。
預防
預後: 本病較頑固難治應早期診斷,早期治療。
預防:1.避免進入流行區健康搜尋是預防本病的有效措施之一。2.在流行區勞動工作者要避免吸入球孢子。

