類球孢子菌病概述
英文名:paracoccidioidomycosis
別 名:副球孢子菌病;副球孢子菌性肉芽腫;巴西副球孢子菌病;巴西芽生菌病;南美芽生菌病;paracoccidioides brasiliensis;paracoccidioidal granuloma
副球孢子菌病原稱巴西或南美芽生菌病,系由副球孢子菌引起的一種慢性化膿性肉芽腫性疾病,好侵犯黏膜、皮膚、肺和淋巴系統。
流行病學:
本病手工業者發病較多,發病地區有從農村轉向城市的傾向。在南美除智利及蓋亞那外,各國都有報導。中國迄今未見報導本病的感染來源還不清楚。
病因
副球孢子菌又名巴西副球孢子菌,或巴西芽生菌,培養為雙相型,在37℃培養為酵母樣菌落,在溫室培養則為絲球狀菌落。近來認為本菌的多發芽生孢子很像球孢子菌破裂後健康搜尋的內生孢子,故一般均稱為副球孢子菌。
發病機制:
本病病原菌經口、皮膚及黏膜損傷處侵入人體是本病的誘發因素。當身體抵抗力減弱而又有病原菌入侵時,不但局部發生病變,且可很快侵入淋巴和血液循環,引起內臟器官的病變。
症狀
臨床表現:
本病多發生在中年人,男多於女。皮膚及黏膜損傷是本病的誘發因素。當身體抵抗力減弱而又有病原菌入侵時,不但局部發生病變,且可很快侵入淋巴和血液循環,引起內臟器官的病變口腔黏膜是常見的最先被感染的部位,其次是肺部,近位淋巴結可腫大。根據臨床症狀的不同將其分為皮膚黏膜型和內臟型。
1.皮膚黏膜副球孢子菌病 病原菌常由口腔黏膜或皮膚進入人體病損開始時多在齒齦、口腔、上顎、咽喉鼻腔口唇和舌部。皮膚損害多由黏膜損害蔓延而來健康搜尋,或是來源於內臟血行播散或由表淺淋巴結潰破引起皮膚穿破,形成潰瘍多發生於面部,以口周和鼻部常見。
類球孢子菌病初發黏膜的損害是丘疹或水皰,繼而形成潰瘍,表面覆蓋白色滲出物,基底部有出血點健康搜尋。當病變侵入深部時,可破壞會厭、齶垂軟齶而引起穿孔,產生疼痛。口咽部受累可致吞咽困難。口唇受累可致局部發生硬性水腫。牙齦受累可破壞組織而引起牙齒脫落。病變初期附近淋巴結即腫大尤其是頸部淋巴結,可發硬,但不疼痛繼而局部可發生壞死、化膿、穿破皮膚而形成瘺管。
2.內臟副球孢子菌病 肺部感染多為原發性的,開始有倦怠、乏力、高熱、胸痛、呼吸困難咳嗽及痰中帶血絲鶒如果是繼發於其他病灶和血行播散而來,其肺部臨床症狀可很輕腸道感染多由消化道傳播,病變多在回盲部腸道可有廣泛的潰瘍伴有腹痛,噁心嘔吐、肝脾大、腹水健康搜尋,腹腔內淋巴結可以腫大,由此而易被誤認為結核或腫瘤。病變擴散時可累及胃、胰、肛門等處如果全身淋巴結腫大,常易誤診為霍奇金病病情發展時,病變可擴散至中樞神經系統、泌尿生殖系統和肌肉、軟骨等處。當腎上腺皮質被累及時,出現艾迪生病的一系列臨床症狀。X線檢查損害常位於肺的下野,多為雙側。損害可呈結節狀、浸潤性或條紋狀。結節可以分散,也可融合。浸潤可以局限,也可彌散。一般肺部病變未見有鈣化現象,胸膜也很少受累。
併發症:
可並以肺纖維化和肺氣腫嚴重時可破壞口鼻、咽喉及其附近組織而發生穿孔。
類球孢子菌病診斷:
1.本病為地方真菌病,病人常有流行區的居留史
2.肺部感染者健康搜尋,伴有經久不愈的皮膚潰瘍和淋巴結腫大,或多系統受累時需考慮本病的可能。
3.皮膚副球孢子菌病的診斷比較容易,主要是找到病原菌。
鑑別診斷:
應與皮膚利什曼病、雅司、皮膚結核及腫瘤等相鑑別。此外,還應與其他深部真菌病如組織胞漿菌病球孢子菌病、放線菌病芽生菌病隱球菌病及孢子絲菌病等相鑑別。對內臟型副球孢子菌病則應與黑熱病、結核性淋巴結炎、結核性腹膜炎等相鑑別。
檢查
實驗室檢查:
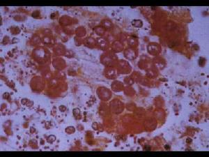
1.直接鏡檢 痰、分泌物或黏膜刮取物,鏡下可見芽生厚壁孢子。
2.真菌培養 陽性
3.血清學試驗 可檢測抗體和抗原。
其它輔助檢查:
X線檢查損害常位於肺的下野,多為雙側損害可呈結節狀、浸潤性或條紋狀。結節可以分散,也可融合。浸潤可以局限,也可彌散。一般肺部病變未見有鈣化現象。
相關檢查:
真菌培養和鑑定 。
治療
類球孢子菌病藥物1.磺胺藥 自1940年始,磺胺藥便用於治療副球孢子菌病。早期報導顯示 60%以上的病人治療成功。磺胺嘧啶的用法為每6小時給藥1次,成人每天的總量為3~5g,兒童0.2g/kg。也可選磺胺甲氧嗪(長效磺胺)每12小時1次成人每天總量為1g。治療應至少持續3年,過早中止治療可致治療失敗和對磺胺藥耐藥。復發率約為15%健康搜尋。治療失敗的病人中耐藥率為20%~30%。病人對磺胺藥的耐受性較好。少數病人有結晶尿和血尿,可通過增加水的攝入或飲用重碳酸鹽水來減少這一副作用。其他不良反應還有白細胞減少、皮疹、發熱、光敏反應和胃腸道反應等。
2.兩性梅性B 對副球孢子菌十分有效。可用作嚴重病例的初始治療在臨床改善後可改用吡咯類抗真菌藥物和磺胺類藥物。AMB從靜脈途徑每天給藥,劑量為0.25~1.2mg/(kg·d),用至累計劑量1.5g,以後改用3年磺胺類藥物或使用常規劑量的吡咯類藥物。
3.酮康唑 在體外,副球孢子菌對酮康唑高度敏感,最小抑菌濃度為0.008 µg/ml。自1978年起,酮康唑已用於治療副球孢子菌病並取得了較好的療效。 但由於其毒性作用較多目前僅作為備選藥物。連續用藥1年的臨床治癒率達 90%以上復發率低於10%。對於復發的病人可再用該藥治療。酮康唑的用法為: 每天200~400mg,口服,療程1年。胃酸降低或同時服用利福平的病人易致治療失敗。
4.伊曲康唑 伊曲康唑自1982年始用於治療副球孢子菌病。100mg/d口服,連用6個月,對93%以上的病人有效。該藥應餐後服用。副作用較少見。
5.氟康唑 氟康唑的用法為400mg/d,至少用數月。該藥的療效可能不如伊曲康唑僅用於腎髒或中樞神經系統受累的病人。
6.外科手術 口腔、喉頭和氣管的纖維性狹窄或腦部的肉芽腫須採取手術治療。
預防
預後:
早期發現,早期診斷,早期治療至關重要,否則預後差。復發率約15%。
預防:
避免進入流行區可預防本病的發生。
