臨床意義
粗球孢子菌臨床表現
粗球孢子菌為急性良性無症狀的或自限性的呼吸器官原發性感染;偶爾播散,可在皮膚,皮下組織,淋巴結,骨骼,肝臟,腎臟,腦膜,大腦或其他組織形成局灶性病變
本病是美國西南部的地方性流行病,包括加利福尼亞中部山谷,亞利桑那州,新墨西哥地區,德克薩斯帕索西部,並向墨西哥北部地區延伸.在中美洲和阿根廷部分地區有流行灶區.易感者通過吸入含真菌孢子的塵埃獲得感染.由於旅遊和臨床表現出現較晚,有時要到流行區外才出現明顯的感染症狀.
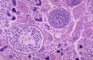
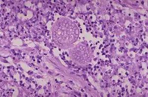
當粗球孢子菌孢子被吸入後,在37℃便轉變成大的組織侵襲性小球(直徑約30~100μm).隨著小球增大破裂,每個小球釋放出無數的小內孢子,可形成新的小球體.病理學表現為急性,亞急性或慢性肉芽腫反應,伴有不同程度的纖維化.完整的真菌小球體周圍通常被淋巴細胞包圍,伴有漿細胞,上皮樣細胞及巨細胞浸潤,但嗜中性粒細胞和嗜酸性粒細胞在小球體的破裂處常見,受感染肺可見空洞或錢幣樣肉芽腫病變.
臨床特點
a發病以青壯年和野外工作者居多,男性多於女性
b病因為粗球孢子菌感染所致
c原發性皮損多在接種感染1周~3周發生下疳樣損害,以後形成結節,沿淋巴管分布,似孢子絲菌病,有淋巴管炎和淋巴結腫大,多數可自愈
d繼發性皮損好發於鼻、頰和頭皮等處,表現為多發性無痛性結節,中央部破潰,間或呈疣狀增生
e黏膜及全身各臟器均可受累,但一般不累及肌肉及消化道、肺,重者可致死
f分原發性球孢子菌病和繼發性球孢子菌病等
g真菌鏡檢可見圓形厚壁孢子稱球體,其中可充滿內孢子,真菌培養為雙相菌
h球孢子菌素皮膚試驗陽性,血清學試驗陽性
i血象白細胞數升高,尤其是中性粒細胞數目增加,嗜酸性細胞數明顯增多,血沉持續加快
診斷
本病診斷除典型臨床表現外,主要根據:
1、皮膚丘孢子菌素試驗一般感染後2-6周即呈陽性,尤其是有皮損時更易陽性;
2、真菌檢查痰及皮損處找到球孢子菌當可確診,然陰性還不能排除本病;
3、病理活檢
4、血清學檢查包括沉澱反應及補體結合試驗等
治療
原發性
原發性肺部感染不醫治亦可自愈。原發性皮膚感染,可以切除或冰凍、雷射治療。
繼發性
肺空洞或慢性肉芽腫可以手術切除,或套用氟康唑、酮康唑、兩性黴素B等。
彌散性
未經藥物治療的彌散性球孢子菌病常是致命的,如患有腦膜炎則預後尤其如此。在確診後的1個月中,感染病人的死亡率超過70%,還不能確定治療能否改變這一狀況。
高補體結合滴度表示已發生播散,則需要治療。輕、中度非腦膜肺外受累,應當用氟康唑≥400mg/d或伊曲康唑400mg/d治療,嚴重病例最好用兩性黴素B靜脈注射,根據感染程度連續用藥,直至總用藥量達到1~3g。與伴有組織胞漿菌病一樣,
對重症、播散型患者,綜合治療有助於改善病情可用轉移因子(TF)等。
盤點最可怕的生化武器
| 我們的世界中存在很多知名的細菌、真菌和病毒。生化戰爭也就是利用它們摧毀敵人。20世紀上半葉,德國和日本使用了生化武器:炭疽膿皰。美國、英國和俄羅斯也紛紛開始了生化武器的研發。今天,根據1972年的生化武器公約和日內瓦議定,生化武器被禁用。然而即使一些國家早已銷毀了庫存的生化武器,並停止了研究,但威脅依然存在。 |
