流行病學
本病主要流行南美、中美、墨西哥北部。歐洲亞洲、非洲等也有病例報告流行地區可從土壤或灰塵中分離出球孢子菌。可由於塵埃、自然媒介或污染物傳播引起其他地區發病。人因吸入或接觸帶孢子的灰塵或土壤通過呼吸道或破損皮膚引起感染。各年齡組均可發病男多於女。病因
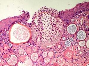
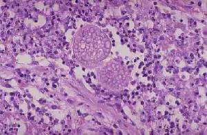
粗球孢子菌屬雙相型真菌在自然界為關節菌絲型,在宿主體內則形成小球體的孢子型,經過在成熟小球中形成內生孢子而繁殖。該菌對乾燥、日光、紫外線耐受性較強,對甲醛較敏感一般60℃ 1h可殺滅。發病機制
球孢子菌菌絲被吸入呼吸道後,在肺泡中繁殖,產生大量的孢子。早期引起中性粒細胞為主的急性炎症反應在孢子發育和形成內生孢子的過程中,組織反應逐漸由急性化膿性炎症過渡到慢性肉芽腫。對球孢子菌的免疫主要是細胞免疫。宿主的細胞免疫反應對球孢子菌的殺死並不完全。球孢子菌引起疾病的表現與宿主的免疫狀態相關。免疫力下降或受抑制使球孢子菌侵入,寄生並大量繁殖而致病。有報導某些人種(黑種人、美國印第安人等)和某種血型(B型AB型)較易感染或引起全身播散。球孢子病的組織病理改變為化膿性炎症與肉芽腫相互交替,在不同階段同一部位可見不同組織反應。
臨床表現
肺球孢子菌病60%患者呈無症狀的亞臨床經過,僅在球孢子菌皮試檢查時發現。40%的患者臨床表現各異主要有以下類型:
1.原發性肺球孢子菌病 感染10~16天后出現流感樣症狀,乾咳、偶有血絲痰。常有胸痛。胸部體徵常陰性,20%患者有結膜炎,變形性紅斑、結節性紅斑等過敏性皮膚損害可伴有多發性漿膜炎(胸膜炎、心包炎、關節炎)。病程呈自限性,6~8周內症狀可消退。感染初期易發生臨床的真菌血症,但引起肺外破壞性病變的甚少,主要見於皮膚、關節、骨骼和腦膜
X線表現為肺門淋巴結腫大胸膜反應和胸腔積液肺內結節病灶起病6~8周內可消退。極少殘留肺部異常常見的為肺球孢子菌結節及空洞。
2.慢性進行性球孢子菌肺炎 在原發感染8周以後肺部病灶持續存在且病變逐漸惡化表現為持續低熱、咳嗽、厭食、體重下降,部分患者有咯血。病程緩慢而長,可達數月至數年。
X線表現為肺段或肺葉的浸潤陰影多發性空洞和纖維結節病灶多數空洞為2~4cm,少數為大空洞(>6cm),典型的為薄壁,周圍無明顯炎症浸潤,以兩上肺多見球孢子菌性結節通常無鈣化,倍增時間為1年以上。
3.粟粒樣肺球孢子菌病 此型為原發性肺球孢子菌病的嚴重合併症,病原菌經血行播散至全肺野及肺外其他臟器。常在原發性肺孢子菌病程早期出現,亦可為慢性進行性的晚期併發症,如發於免疫抑制者和有嚴重基礎病和易感種族,臨床及X線表現酷似粟粒性肺結核免疫受損的宿主,可迅速發展為呼吸衰竭。血源播散可累及皮膚、關節、淋巴結、腦膜肝脾等臟器。
併發症:
肺孢子菌性空洞潛在的併發症有3種:
1.繼發細菌或其他真菌感染。
2.空洞破裂。
3.致命性大咯血。
診斷
在流行區域有呼吸道感染者應懷疑本病,常規行球孢子菌素試驗。根據流行區域接觸史、臨床表現和X線特徵,免疫學檢查可診斷,塗片或培養找到肺球孢子菌特有的球體可確診。
鑑別診斷:
本病應與支氣管炎、肺炎、肺結核、肺腫瘤等鑑別。
檢查
肺球孢子菌病實驗室檢查:
1.外周血象 外周血白細胞可增高原發性肺球孢子菌常有血嗜酸細胞增高,發病第2~3周最明顯
2.球孢子菌皮膚試驗 90%~95%患者原發感染4周后皮試反應即呈陽性用球孢子菌素做皮內試驗,劑量為0.1ml,皮膚紅腫範圍≥5mm為陽性,可持續24~48h。但既往感染者亦可持續陽性。血源播散患者可陰性。
3.病原學檢查 痰、穿刺液、纖支鏡標本、胸膜活檢標本,經氫氧化鉀處理塗片可見圓形厚壁,含內孢子的球體,在葡萄糖蛋白腖瓊脂上培養1周有菌絲型菌落生長。肺球孢子菌培養陽性對診斷具有特殊的意義。痰培養陽性率為40%~60%,纖支鏡標本陽性率較高。
4.血清學檢查 血清學方法檢測球孢子菌抗體極少假陽性,乳膠凝集試驗敏感性達90%,常用於初篩。補體結合試驗檢測IgG抗體,感染第4周有50%患者陽性,第8周90%患者陽性,6~8個月消失。抗體滴度與疾病嚴重程度相關。試管沉澱試驗檢測IgM抗體感染第1周有50%患者陽性,適用於早期診斷。
5.基因探針診斷 特異性基因探針已套用於肺球孢子菌病的快速診斷48h可獲結果。
其它輔助檢查:
原發性肺球孢子菌病X線表現為肺門淋巴結腫大,胸膜反應和胸腔積液。肺內結節病灶起病6~8周內可消退。極少殘留肺部異常常見的為肺球孢子菌結節及空洞。
慢性進行性球孢子菌肺炎X線表現為肺段或肺葉的浸潤陰影,多發性空洞和纖維結節病灶。多數空洞為2~4cm,少數為大空洞(>6cm),典型的為薄壁,周圍無明顯炎症浸潤,以兩上肺多見。
粟粒樣肺球孢子菌病臨床及X線表現酷似粟粒性肺結核。
治療
原發性肺球孢子菌病一般不需要治療。免疫功能低下的輕症患者可口服酮康唑400mg/d,症狀較重遷延不愈或有播散高危因素患者,可給予兩性黴素B (總量500~1000mg)或酮康唑治療以防播散和慢性化。慢性進行性球孢子菌肺炎,用兩性黴素B每天0.5~0.7mg/kg或隔天1mg/kg,靜脈注射至病情初步控制,常需10~12周,以後減為1mg/kg3次/周總量≥30mg/kg。酮康唑可以改善症狀但停藥後可能復發,一般可用400mg/d,根據臨床反應和毒性反應,逐漸增至10~20mg/kg,療程3~6個月或更長。粟粒樣肺球孢子菌病一經診斷,應立即用兩性黴素B劑量快速達到每天0.4mg/kg以上,合併腦膜炎患者,需加用鞘內注射。氟康唑亦有一定療效。對重症、播散型患者,綜合治療有助於改善病情可用轉移因子(TF)等。肺球孢子空洞持續6個月以上伴有反覆咯血繼發感染或高危患者(糖尿病)的症狀性空洞,可行外科手術治療。
預後預防
預後:
預後差。
預防:
避免進入流行區是預防本病的有效方法。
