症狀
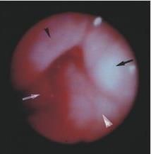
喉痛、聲嘶、喉喘鳴和呼吸困難,並可伴發熱惡寒,咽喉疼痛,喉鏡下可見黏膜呈深紅色水腫、表面發亮,喘鳴,聲嘶,呼吸困難,甚則窒息,喉鏡下可見喉黏膜瀰漫性水腫,蒼白。
護理措施
喉頭水腫(1)術中牽拉氣管、食管引起咽部水腫;
(2)頸部術區血腫壓迫氣管;
(3)咽痛、頸部制動影響呼吸道分泌物排出;
(4)手術刺激脊髓可使脊髓水腫或脊神經根水腫,造成呼吸肌麻痹,引起中樞性呼吸困難。因此術後要嚴密觀察患者呼吸頻率、節律及臉色的變化,必要時定時吸出呼吸道分泌物。痰液粘稠、喉頭水腫者予霧化吸入,若發現患者出現乏力、嗜睡、噁心等症狀時,要警惕睡眠呼吸暫停綜合徵的發生,即在睡眠時出現呼吸暫停或低通氣現象。發現異常要及時報告醫生。床邊備氣管切開包,以便急需時使用。
急性期治療
喉頭水腫喉癌患者放療症狀
喉癌患者放療過程中易發生喉頭水腫而致呼吸困難,故應密切注意呼吸情況。如出現吸氣性呼吸困難、三凹征、嘴唇發紺等症時,應考慮有喉頭水腫。如出現喉頭水腫,應在醫生指導下適當使用消腫藥及激素等以減輕反應,必要時應做好氣管切開術的準備。家庭治療
喉頭水腫不論什麼原因使你產生喉頭水腫,最要緊的是讓你的聲帶休息一段時間,甚至連低聲細語都應避免。
●使用冷空氣加濕機
覆於聲帶表面的黏膜需保持潮濕。黏膜若干燥,將增加粘性,成了過敏源(或刺激物)的極佳吸附劑。使用空氣加濕機,有助於解決問題。
●多曰水
專家建議一天喝8—10杯水,也可喝果汁及檸檬茶。最好喝溫水,冷水只會使問題更嚴重。
●用鼻子呼吸
用鼻子呼吸是保持喉嚨濕潤的天然方式。
●戒菸
抽菸是引起喉嚨乾燥的主要原因。所以當你患喉炎的時候,應戒菸。
●選用合適的潤喉糖
避免含薄荷的潤喉糖,最好選用蜂蜜或水果口味的潤喉糖。
●某些藥物應避免
某些藥物可能使你喉嚨乾燥。這類藥物可能包括降血壓劑甲狀腺藥物及抗組織胺,如果你不確定的話,可以向醫生詢問。
●用麥克風說話
如果你的工作是需要提高嗓門的,可以藉助麥克風來擴音,不要硬扯聲帶。另外,如果你將上台發言,但卻發現自己的聲音沙啞,最好將它延後,以免造成聲帶長期的損傷。
喉頭水腫●訓練發聲
你若得經常演講或說話,應練習發聲。在未經訓練的發聲中,喉嚨內的肌肉彼此壓迫。訓練過的發聲,這些肌肉將彼此分工合作。
●避免辛辣刺激的食物
辛辣刺激食物會讓腫痛的喉嚨火上澆油。油膩的食物也不利於病患的恢復。
●藥草茶
滑榆樹皮可治成茶,用來潤喉。
●補充曹養察
②蒜頭精膠囊:每天用餐時服2膠囊,它能殺菌並改善免疫功能。
③維生素A乳劑:維生素A能協助復原,增強免疫功能。
④葡萄糖鋅含片:每2小時1粒,直到疼痛減輕。使用高劑量勿超過一周以上。葡萄糖鋅含片能止痛並改善免疫功能。

