流行病學
該病發病常見於35~40歲的經產婦、非哺乳婦女,其次為絕經期後老年婦女占乳腺良性疾病的4%~5%。
病因
乳腺導管擴張症 圖1其病因尚無一致認識,可能和下列因素有關。
1.導管排泄障礙 如先天性乳頭畸形、凹陷、不潔或外來毛髮、纖維等引起乳孔堵塞,導管發育異常,乳腺結構不良,導致上皮增生炎症損傷等引起導管狹窄中斷或閉塞。導管內分泌物積聚,引起導管擴張。部分中、老年婦女由於卵巢功能減退,乳腺導管呈退行性變管壁鬆弛,肌上皮細胞收縮力減退,導致導管內分泌物積聚而管腔擴張引起本病。
2.異常激素刺激 有學者發現病人血中性激素水平異常,排卵前期血中雌二醇(E2)黃體生成素(LH)水平低於正常,而泌乳素(PRL)水平高於正常。異常的性激素刺激能促使導管上皮產生異常分泌導管明顯擴張。一般來說,單有阻塞存在而無異常激素刺激促使上皮分泌,不致發生導管擴張。導管排泄不暢,常是溢乳期發展到腫塊期的主因。
3.感染 部分學者認為該病伴有厭氧菌感染或乳暈部感染,侵及皮下波及乳管,經乳管穿通後形成瘺管。或在導管阻塞的基礎上,管內脫落的上皮細胞和類脂分泌物大量積聚,並逸出管壁分解後產生化學物質,引起周圍組織的化學性刺激和抗原反應引起以漿細胞為主的炎症過程。
發病機制
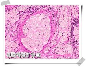
乳腺導管擴張症 圖2乳腺導管擴張症的病理改變為:
1.大體形態 在乳頭及乳暈下區有扭曲擴張的輸乳管和大導管,有的形成囊狀。受累乳管常為3~4條,多者可達十幾條同時受累。擴張的導管直徑可達3~4mm或更大。切面見擴張的導管及囊內充滿黃褐色、奶油樣或豆腐渣樣黏稠物。管周有纖維組織增生並透明變性,形成白色半透明的纖維性厚壁。相鄰的纖維性厚壁互相粘連成黃白相間的硬結,或堅實邊界不清的腫塊
2.鏡下所見 早期改變見乳暈下輸乳管及導管有不同程度的擴張,擴張的導管上皮細胞受壓萎縮變薄呈單層立方上皮或扁平上皮部分導管上皮壞死脫落,脫落的上皮細胞與類脂物質充滿和堵塞管腔若擴張導管內容物外溢或部分管壁破壞。則後期可見管周組織內有大量漿細胞、組織細胞、中性白細胞及淋巴細胞浸潤,或出現異物巨細胞反應、結核樣小結節或假膿腫形成(圖1)。此時應注意與結核及乳腺癌相鑑別。
臨床表現
根據本病的病理改變和病程經過臨床表現可分為3期
1.急性期 早期症狀不明顯,可有自發性或間隙性乳頭溢液,只是在擠壓時有分泌物溢出,溢液呈棕黃色或血性膿性分泌物,此症狀可持續多年。隨著病情的發展輸乳管內脂性分泌物分解,刺激、侵蝕導管壁並滲出到導管外乳腺間質後,引起急性炎症反應。此時臨床上出現乳暈範圍內皮膚紅、腫、發熱、觸痛。腋下可觸及腫大的淋巴結並有壓痛。全身可有寒戰、高熱等表現。此急性炎症樣症狀不久即可消退。
2.亞急性期 此期急性炎症已消退在原有炎症改變的基礎上,發生反應性纖維組織增生。在乳暈區內形成具有輕微疼痛及壓痛的腫塊。腫塊邊緣不清,似乳腺膿腫腫塊大小不一。穿刺腫物常可抽出膿汁。有時腫物自然潰破而形成膿瘺膿腫潰破或切開後,經久不愈,或癒合後又重新有新的小膿腫形成,使炎症持續發展。
3.慢性期 當病情反覆發作後,可出現1個或多個邊界不清的硬結,多位於乳暈範圍內,捫之質地堅實,與周圍組織粘連固著與皮膚粘連則局部皮膚呈橘皮樣改變,乳頭回縮,重者乳腺變形。可見漿液性或血性溢液。腋窩淋巴結可捫及。臨床上有時很難與乳癌相鑑別。本期病程長短不一,從數月到數年或更長。
以上臨床表現不是所有病人都按其發展規律而出現,即其首發症狀不一定是先出現乳頭溢液或急性炎症表現,可能是先出現乳暈下腫塊,在慢性期中可能出現經久不愈的乳暈旁瘺管。
診斷
對本病的診斷主要依靠詳細詢問病史,了解其臨床過程,考慮其發病年齡,再結合下列幾點常可作出正確診斷。
1.本病多見於40歲以上非哺乳期或絕經期婦女常有哺乳障礙史。病變常限於一側,但亦有兩側乳腺同時受累者。
2.乳頭溢液有時為本病的首發症狀,且為惟一體徵。可見單孔或多孔溢液,其性質可為漿液性或血性。多個部位壓迫乳腺,均能使分泌物自乳頭溢出,病變常累及數目較多的乳管也可占據乳暈的一大半。乳頭溢液常為間歇性,時有時無。
3.有時乳腺腫塊為首發症狀腫塊多位於乳暈深部,邊緣不清早期腫塊即與皮膚粘連,甚似乳癌。
4.若腫塊已成膿,常伴有同側腋窩淋巴結腫大,但質地較軟有壓痛,隨病情進展腫大的淋巴結可逐漸消退。
5.因乳腺導管壁及管周纖維組織增生及炎症反應,以致導管短縮、牽拉乳頭回縮。有時由於局部皮膚水腫,而呈“橘皮樣”改變。
6.X線乳腺導管造影可清楚地顯示擴張的導管和囊腫了解其病變範圍。
7.腫物針吸細胞學檢查,常能抽出膿樣物或找到中性白細胞、壞死物及大量漿細胞、淋巴細胞及細胞殘核,對本病的診斷及鑑別診斷非常有幫助。腫物切除後行病理學檢查是最可靠的診斷依據。
鑑別診斷
由於本病的病理改變和臨床表現較為複雜,因而常易與急性乳腺炎、乳腺囊性增生病,特別是導管內乳頭狀瘤、乳腺癌相混淆。文獻報導本病術前臨床誤診率高達67.4%,其中誤診為乳腺癌的占16.5%。因誤診為乳腺癌而誤行乳腺根治術者也為數不少。由此可見本病的鑑別診斷的重點應放在乳腺癌上。
1.乳腺癌 其與乳腺導管擴張症的鑑別可歸納為以下幾點。
(1)乳腺癌起病緩慢,常在無意中發現乳內腫塊,腫塊發現之前不伴炎症表現而乳腺導管擴張症在腫塊出現之前常有局部炎症表現並由急性轉為慢性的過程。
(2)乳腺癌的腫塊多位於乳腺外上、內上象限而乳腺導管擴張症的腫塊多位於乳暈下。乳腺癌的腫塊,常是由小變大不斷發展增大的過程。由乳腺導管擴張症的腫塊,可由腫大變為縮小和反覆發作的過程
(3)乳腺癌的腫塊常在晚期才與皮膚粘連,出現“橘皮樣”改變和乳頭凹陷。而乳腺導管擴張症的腫塊早期即與皮膚粘連並出現乳頭凹陷。
(4)乳腺癌的腋下淋巴結,常隨癌症的病程進展而腫大且質硬,彼此粘連融合成
團。而乳腺導管擴張症在早期即可出現腋窩淋巴結腫大,且質軟,有壓痛。隨著局部炎症的消散,淋巴結可由大變小甚至消失
(5)乳腺X線導管造影,在乳腺癌時見導管有增生及破壞,管壁有中斷,失去連續性。而乳腺導管擴張症時,則見導管擴張增粗,管壁光滑、完整、延續,無中斷及破壞。
(6)腫塊針吸細胞學檢查,乳腺癌常可找到癌細胞。而在乳腺導管擴張症時腫物針吸及乳頭溢液塗片,常可找到壞死物、膿細胞、漿細胞、淋巴細胞泡沫細胞等。
臨床鑑別診斷還有困難時,可行術前活檢或術中冰凍切片檢查,以便確診
2.導管內乳頭狀瘤 導管內乳頭狀瘤與乳腺導管擴張症都有乳頭溢液。前者常為血性、漿液血性或漿液性,一般僅累及一支導管,按壓乳暈區某一“壓液點”時乳頭才有溢液。而後者的溢液則多為漿液性少見血性、漿液血性,常累及多個導管呈多管溢液,按壓乳腺幾個不同部位均能使乳頭溢液。乳腺X線導管造影:導管內乳頭狀瘤表現為大導管內有圓形或卵圓形充盈缺損,多為單發也可多發,可引起導管不完全阻塞或中斷。近側導管擴張。而乳腺導管擴張症時,常表現為多個大、中導管擴張,少數可呈囊狀擴張,擴張的導管常迂曲走行,呈蚯蚓狀。根據以上所見,常能鑑別診斷。
3.乳腺結核 乳腺結核在乳腺內可表現為結節性腫塊、質硬邊界不清,活動較差,病程較長。常形成經久不愈的瘺管,從瘺管中流出乾酪樣壞死物,瘺管分泌物塗片,若發現抗酸桿菌可確診。乳腺導管擴張症在膿腫形成後亦可潰破形成瘺管,從瘺管中流出膿性物。塗片檢查有膿細胞壞死物漿細胞、淋巴細胞。若診斷有困難時,可將腫物切除行病理活檢確診。
檢查
實驗室檢查:
1.腫物針吸細胞學檢查,常能抽出膿樣物;鏡檢可見中性白細胞壞死物及大量漿細胞、淋巴細胞及細胞殘核等。
2.組織病理學 腫物切除後行病理學檢查是最可靠的診斷依據。標本可見擴張的導管內充滿黃褐色、奶油樣或豆腐渣樣黏稠物。管周可有纖維組織增生和透明變性。鏡檢可見擴張的導管上皮細胞萎縮、變薄,脫落的上皮細胞與類脂物質充滿和堵塞管腔,部分管壁破壞。管周組織內有大量漿細胞、組織細胞、中性白細胞及淋巴細胞浸潤。
其它輔助檢查:
1.X線造影 導管腔呈中度至高度不規則的擴張,走行迂曲(圖2),管壁光滑、完整、延續,少數呈囊狀或梭狀擴張。擴大的管腔內無占位徵象,造影劑均勻地充盈管腔,可與乳癌區別。
2.B超檢查 導管呈中度至高度擴張,粗細不均,迂曲走行。少數可呈囊狀或梭狀擴張,管腔中央可有碎片形成的回聲影。
相關檢查:
漿細胞
淋巴細胞
治療
1.手術治療
手術治療是本病有效的治療方法。根據不同的發展階段採取不同的手術方法。
(1)乳管切除術:適用於病程早期,乳暈下導管普遍性擴張及乳暈下腫塊伴乳頭溢液者,其方法是沿乳暈邊緣作弧形切口,保留乳頭,從乳頭以下切除所有擴張導管,並楔形切除乳暈下的乳腺腫塊組織
(2)乳腺區段切除術:適用於乳暈下腫塊且伴有乳腺導管周圍炎者。術中應將此區域所屬大導管及腫塊周圍組織,從乳頭起一併切除以防止術後形成乳暈下囊腫乳腺瘺管及乳頭溢液。
(3)單純乳腺切除術:適用於病變廣泛,腫塊過大,特別是位於乳暈下與皮膚粘連形成竇道者。可行經皮下乳腺全切或乳腺單純性切除術。
2.中醫中藥治療
(1)初期:乳頭凹陷有粉刺樣分泌物,氣味臭穢,或伴有乳暈部疼痛不明顯的腫塊時,治以疏肝理氣,調攝沖任。
柴胡、鬱金、延胡索、生山楂、芡實、蓯蓉、仙靈脾、路路通(各)9g,牡蠣、蒲公英、白花蛇舌草、生谷麥芽(各)30g。
(2)急性期:乳暈部腫塊增大脹痛顯著,形成膿腫,有波動感,全身出現怕冷、發熱、頭痛等症狀,治以清熱解毒,祛瘀消腫。
銀花、連翹、黃苓、皂角刺(各)12g,蒲公英30g,全瓜萎、赤芍生地、半枝蓮、丹參、生黃芪(各)15g,炙僵蠶9g,白花蛇舌草50g。
(3)亞急性期:此時全身及局部炎症反映減輕,局限性腫塊已潰破,膿性溢液不止,形成竇道或瘺管時,治以清熱消腫,活血祛瘀。
蒲公英、全瓜蔞丹參、虎杖(各)15g,銀花、連翹莪術、生山楂、夏枯草留行子、桃仁、赤芍(各)9g,當歸12g白花蛇舌草30g
(4)慢性期:亞急性過後,局部感染得到控制,殘留竇道、瘺管、潰口常有膿性分泌物溢出,乳房皮膚“橘皮樣”或變形,此時一般不內服中藥治療,應行竇道或瘺管切開、搔刮術,切去外露的硬韌管壁及 瘢痕組織、變形的皮膚,儘量保存乳頭組織術後用提膿祛腐的八二丹棉球嵌塞創面,每天換藥1次,5~7天后膿腐減少,改用九一丹嵌塞,7~10天膿腐排盡後,創面嫩紅有肉芽形成時,改用生肌散斂創收口。此類手術的優點是病人痛苦小組織損傷少,復發率低基本保持乳房外形。
預防
婦女應每年定期做乳腺檢查做到及早發現正確診斷治療。

